Syndrome de Gougerot-Sjögren

Syndrome de Gougerot-Sjögren
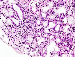
Description de cette image, également commentée ci-après
Image histopathologique d'une infiltration lymphoïde focalisée de la glande salivaire accessoire, associée au syndrome de Gougerot-Sjögren. Biopsie de la lèvre. Coloration à l'hématoxyline et à l'éosine.
Causes Auto-immunité (en)
Symptômes Xérostomie et xérophtalmie
Traitement
Médicament Acide alpha-linolénique
Spécialité Immunologie et rhumatologie
Classification et ressources externes
CIM-10 M35.0
CIM-9 710.2
OMIM 270150
DiseasesDB 12155
MedlinePlus 000456
eMedicine 332125
emerg/537 derm/846 ped/2811 oph/477 oph/695
MeSH D012859
Patient UK Sjogrens-syndrome-pro

Wikipédia ne donne pas de conseils médicaux Mise en garde médicale

Le syndrome de Gougerot-Sjögren, ou syndrome de Sjögren, est une maladie auto-immune systémique caractérisée par une atteinte des glandes exocrines, en particulier des glandes lacrymales et salivaires. Il peut être « primitif » (c’est-à-dire isolé), ou « secondaire » (50/50) et associé à une autre maladie auto-immune : lupus érythémateux disséminé, polyarthrite rhumatoïde

Épidémiologie

Le SGS primitif touche environ 0,02 % de la population (prévalence), plus souvent les femmes que les hommes (9/1)[1]. La prévalence de la maladie fait l'objet de débat. En France, la SNFMI (Société nationale francaise de médecine interne) parle d'un peu moins d'une personne sur 10 000[2], tandis qu'une autre source parle de 0,1 % à 0,4 %[3] de la population adulte, soit entre 50 000 et 200 000 personnes. L'incidence de la forme primitive est d'environ sept cas annuels pour 100 000 personnes[1].

Aux États-Unis, la Sjögren's Syndrome Foundation (SSF) parle de plus de quatre millions d'Américains affectés, soit 1,2 %[4] de la population, sans distinguer les formes primitives des secondaires.

Causes et physiopathologie

Les causes sont souvent difficiles à établir, restant généralement inconnues. Elles sont parfois au moins en partie génétiques[5] et/ou environnementales et probablement souvent multifactorielles. L'ANSES a conclu en que l'exposition chronique par inhalation à des particules fines de silice est une source de risque pour cette maladie[6].

Les interférons semblent participer à la maladie[7].

Description

La sécheresse buccale et oculaire, la fatigue et les douleurs articulaires sont présents dans près de 80 % des Sjögren primitifs[8].

L'atteinte la plus fréquente est celle des glandes salivaires, se manifestant par une xérostomie (la bouche est sèche en permanence). L'atteinte des glandes lacrymales (xérophtalmie) entraîne une sécheresse des tuniques protégeant l'œil (conjonctive, et surtout cornée), ce qui peut entraîner des ulcérations cornéennes, des conjonctivites. La xérose (peau très sèche) est plus rare, de même que l'atteinte du poumon (pneumopathie lymphoïde), qui se manifeste par une toux sèche chronique, parfois très invalidante.

Ce tableau spécifique est souvent enrichi de signes systémiques n'ayant rien à voir avec une atteinte des glandes, mais découlant du caractère auto-immune de la maladie. Ils sont présents entre 15 %[9] et 40 %[8] des patients :

Examens complémentaires

Le test de Schirmer explore la production des larmes. Le test du « Break-up time » le complète utilement en évaluant le temps de rupture du film lacrymal. Par contre, ce dernier est davantage une mesure de la stabilité du film lacrymal et est lié à la composante lipidique des larmes plutôt qu'à sa composante aqueuse. La mesure objective du flux salivaire et le test au sucre explorent la production de salive.

Le bilan des anomalies immunitaires montre que la recherche du facteur rhumatoïde est positive dans un cas sur deux[8] (réactions de Latex et de Waaler-Rose),les anticorps anti-SSA et anti-SSB sont positifs chez deux tiers des patients[8], le reste du bilan immunologique est généralement négatif. Il peut exister une cryoglobulinémie (plutôt de type II[12]), une hypergammaglobulinémie, un rapport abaissé du rapport C3/C4, ces trois anomalies étant des marqueurs d'un risque d'atteinte systémique[9].

Il n'y a que peu de syndrome inflammatoire : CRP le plus souvent normale, mais accélération de la vitesse de sédimentation par hyper-gamma-globulinémie polyclonale, etc.

S'il n'existe pas d'anticorps anti-SSA ou anti-SSB dans le sérum, le diagnostic de certitude est apporté par l'analyse anatomo-pathologique d'une biopsie des glandes salivaires accessoires.

Diagnostic

Un score est utilisé pour définir le syndrome de Sjögren primitif, basé sur les tests ophtalmologiques, la biopsie des glandes salivaires, la présence d'anticorps anti SSA et la mesure du débit salivaire[13].

Évolution

L'atteinte peut dégrader la qualité de vie[14].

Dans de rares cas, le syndrome peut évoluer vers un lymphome non hodgkinien[15],[16], surtout en cas de vascularite, d'une baisse des fractions du complément, de la présence d'une cryoglobuline, d'une atteinte importante de la glande parotide[17] ou d'une glomérulonéphrite[18].

Traitement

Le traitement du syndrome de Gougerot-Sjögren primitif est uniquement symptomatique : on utilise des larmes artificielles, de la salive artificielle, des anti-tussifs, et des savons surgras pour la xérose cutanée. Un seul médicament s'est montré efficace contre la sécheresse : le chlorhydrate de pilocarpine[19].

Personnalités connues atteintes du syndrome

La joueuse de tennis américaine Venus Williams a déclaré en qu'elle souffrait de cette maladie[20].

Notes et références

  1. 1 2 Qin B, Wang J, Yang Z et al. Epidemiology of primary Sjögren’s syndrome: a systematic review and meta-analysis, Ann Rheum Dis, 2015;74:1983-1989
  2. Pierre-Yves Hatron, « Gougerot-Sjögren (syndrome de) », SNFMI (consulté le )
  3. « Le syndrome de Gougerot-Sjögren », CHU de Nîmes (consulté le ).
  4. (en) Jody K. Hargrove, « Sjögren’s FAQs », Sjögren's Syndrome Foundation (consulté le ).
  5. (en) Lessard CJ, Li H, Adrianto I et al. Variants at multiple loci implicated in both innate and adaptive immune responses are associated with Sjögren’s syndrome, Nat Genet, 2013;45:1284-1292
  6. Dangers, expositions et risques relatifs à la silice cristalline Rapport d’expertise collective - Saisine « no 2015-SA-0236 - Silice cristalline » | mars.
  7. (en) Emamian ES, Leon JM, Lessard CJ et al. Peripheral blood gene expression profiling in Sjögren’s syndrome, Genes Immun, 2009;10:285-296
  8. 1 2 3 4 (en) X. Mariette, L.A. Criswell, Primary Sjögren’s syndrome, N Engl J Med, 2018;378:931-939
  9. 1 2 (en) Chiara Baldini, Pasquale Pepe, Luca Quartuccio et al., « Primary Sjögren’s syndrome as a multi-organ disease: impact of the serological profile on the clinical presentation of the disease in a large cohort of Italian patients », Rheumatology (Oxford), vol. 53, no 5, 24 décembre 2013, [lire en ligne]
  10. (en) Jasiek M, Karras A, Le Guern V et al. A multicentre study of 95 biopsy-proven cases of renal disease in primary Sjögren’s syndrome, Rheumatology (Oxford), 2017;56:362-370.
  11. Par Rédac CM La Hulpe, « Qu'est ce que le Syndrome de Sjögren? Tout savoir », (consulté le )
  12. (en) Manel Ramos-Casals, Richard Cervera, Jordi Yagüe et al., « Cryoglobulinemia in primary Sjögren’s syndrome: prevalence and clinical characteristics in a series of 115 patients », Seminars in Arthritis and Rheumatism, vol. 28, no 3, Décembre 1998, pp. 200-205, [présentation en ligne]
  13. (en) Shiboski CH, Shiboski SC, Seror R et al. 2016 American College of Rheumatology/European League Against Rheumatism classification criteria for primary Sjögren’s syndrome: a consensus and data-driven methodology involving three international patient cohorts, Ann Rheum Dis, 2017;76:9-16
  14. (en) Meijer JM, Meiners PM, Huddleston Slater JJR et al. Health-related quality of life, employment and disability in patients with Sjogren’s syndrome, Rheumatology (Oxford), 2009;48:1077-1082
  15. (en) Elke Theander, Rolf Manthorpe et Lennart T. H. Jacobsson, « Mortality and causes of death in primary Sjögren’s syndrome: a prospective cohort study », Arthritis & Rheumatology, vol. 50, no 4, avril 2004, pp. 1262–1269, [lire en ligne]
  16. Voulgarelis, M., Dafni, U. G., Isenberg, D. A., & Moutsopoulos, H. M. (1999). Malignant lymphoma in primary Sjögren's syndrome: a multicenter, retrospective, clinical study by the European Concerted Action on Sjögren's Syndrome. Arthritis & Rheumatology, 42(8), 1765-1772.
  17. (en) P. Brito-Zerón, M. Ramos-Casals, A. Bove, J. Sentis, J. Font, « Predicting adverse outcomes in primary Sjögren's syndrome: identification of prognostic factors » , Rheumatology (Oxford), vol. 46, no 8, 14 juin 2007, [lire en ligne]
  18. (en) Andreas V. Goules, Ioanna P. Tatouli, Haralampos M. Moutsopoulos et Athanasios G. Tzioufas, « Clinically Significant Renal Involvement in Primary Sjögren's Syndrome: Clinical Presentation and Outcome », Arthritis & Rheumatology, vol. 65, no 11, novembre 2013, pp. 2945–2953, [lire en ligne]
  19. (en) Ramos-Casals M, Tzioufas AG, Stone JH, Sisó A, Bosch X, Treatment of primary Sjögren syndrome: a systematic review, JAMA, 2010;304:452-460
  20. (en) Amanda Chan, « Sjogren's Syndrome Causes Venus Williams' Withdrawal From US Open: What Is It? », Huffington Post,

Voir aussi

Liens externes


  • icône décorative Portail de la médecine
  • icône décorative Portail de l’œil et de la vue
Cet article est issu de Wikipedia. Le texte est sous licence Creative Commons – Attribution – Partage à l’identique. Des conditions supplémentaires peuvent s’appliquer aux fichiers multimédias.