Neuropathie périphérique

Neuropathie périphérique
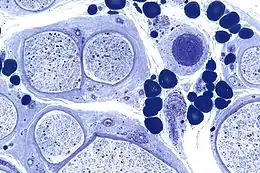
Description de cette image, également commentée ci-après
Coupe histologique révélant une neuropathie périphérique secondaire à une vascularite. Coloration au bleu de toluidine. Fixation époxy.
Traitement
Médicament (S)-duloxétine, capsaïcine, gabapentine, fentanyl, diclofénac, buprénorphine et prégabaline
Spécialité Neurologie
Classification et ressources externes
CISP-2 N94
CIM-10 G64, G90.0
CIM-9 356.0, 356.8
DiseasesDB 9850
MedlinePlus 000593
MeSH D010523
Patient UK Mononeuropathies

Wikipédia ne donne pas de conseils médicaux Mise en garde médicale

Le terme de neuropathie périphérique, désigne l'ensemble des maladies des nerfs appartenant au système nerveux périphérique[1], par opposition aux atteintes du système nerveux central qui comprend l'encéphale et la moelle épinière.

Types de neuropathies

Sous cette dénomination commune sont regroupées des atteintes neurologiques très diverses.

En cas d'atteinte asymétrique on parle de mononeuropathie :

  • unique, avec atteinte tronculaire, radiculaire (hernie discale) ou d'un plexus nerveux ;
  • multiple, avec atteinte tronculaire (mononeuropathie multiple ou multineuropathie) ou radiculaire (syndrome canalaire, méningo-radiculite).

En cas d'atteinte symétrique on parle de polyneuropathie :

Neuropathie démyélinisante

Dans le cas de ce type de neuropathie ce sont les fibres axones périphériques de gros diamètre qui sont lésés. Ce type de lésion peut aboutir à une paralysie flasque avec perte du tonus musculaire, perte des réflexes (fonction des axones moteurs) et perte de la discrimination fine au tact (fonction des axones sensoriels) ; sans qu’il y ait altération des fibres du système nerveux autonome ou des fibres amyéliniques (fibres contrôlant la sensibilité à la douleur et à la température). 

Neuropathie diabétique

Ce type de neuropathie est causé par des lésions des différentes fibres nerveuses par le diabète. Elle est souvent détectée par une neuropathie sensitive détectée par l'absence de réponse à la vibration ou au touché.

Neuropathie dysautonomique

Ce type de neuropathie affecte les fibres post-ganglionnaires sympathiques et para-sympathiques. Différents symptômes sont possibles : hypotension orthostatique, une aréflexie pupillaire à la lumière, un iléus paralytique, une constipation, une dysfonction vésicale, une anhydrose, une vasoconstriction périphérique, une piloérection, ou une diarrhée. Les neuropathies dysautonomiques peuvent être la conséquence d’une agression auto-immune. Pour traiter cette neuropathie, il faut des traitements spécifiques (exemple. pour ralentir les sécrétions dans le cas d’une diarrhée) et un régime riche en fibres.

Causes

Symptômes

Les symptômes et les signes cliniques peuvent être de siège variable, selon l'étiologie. L'atteinte d'un nerf périphérique entraîne des signes moteurs (parésie ou paralysie, amyotrophie, fasciculations, diminution ou abolition des réflexes ostéotendineux), des signes sensitifs subjectifs (douleurs, dysesthésies, paresthésies) et objectifs (troubles de la sensibilité superficielle - épicritique et thermo-algique - et proprioceptive) et des troubles neurovégétatifs (signes vasomoteurs, troubles trophiques, hypotension orthostatique, trouble de l'érection et de la miction). La douleur des nerfs causées par la neuropathie périphérique peut être très forte, voire intolérable.

Selon l'étiologie, le diagnostic est clinique, biologique, radiologique, électromyographique.

Traitement

Le traitement est celui de la cause. Un traitement symptomatique est également possible.

Dans le cas des neuropathies post-chimiothérapie, des recommandations ont été publiées par l'« American Society of Clinical Oncology », mise à jour en 2020[3]. La prégabaline semble peu efficace[4]. La duloxétine semble mieux marcher que la fluoxétine[5].

Le TENS peut être prescrit pour soulager les douleurs liées à la neuropathie diabétique. Des séances quotidiennes de TENS permettent de diminuer les douleurs 4 et 6 semaines après le début du traitement, mais pas 12 semaines après[6].

Pour la neuropathie diabétique, l'huile de nigelle en application cutané a des effets positifs[7]. L'acide gamma-linolénique semble être un biofacteur sûr et efficace pour l'amélioration des symptômes de celle-ci[8].

Notes et références

  1. « Les neuropathies périphériques », sur Doctissimo (consulté le ).
  2. (en) Alexandra E Levitt, Anat Galor, Jayne S Weiss et Elizabeth R Felix, « Chronic Dry Eye Symptoms after LASIK: Parallels and Lessons to be Learned from other Persistent Post-Operative Pain Disorders », Molecular Pain, vol. 11, no 1, , s12990–015-0020 (ISSN 1744-8069 et 1744-8069, DOI 10.1186/s12990-015-0020-7, lire en ligne, consulté le ).
  3. Loprinzi CL, Lacchetti C, Bleeker J et al. Prevention and management of chemotherapy-induced peripheral neuropathy in survivors of adult cancers: ASCO guideline update, Journal of Clinical Oncology, 2020;38:3325-3348
  4. Shinde SS, Seisler D, Soori G et al. Can pregabalin prevent paclitaxel-associated neuropathy ?, Support Care Cancer, 2016;24(:547-553
  5. Farshchian N, Alavi A, Heydarheydari S, Moradian N, Comparative study of the effects of venlafaxine and duloxetine on chemotherapy-induced peripheral neuropathy, Cancer Chemother Pharmacol, 2018;82:787-793
  6. Dong-mei Jin, Yun Xu, Deng-feng Geng et Tie-bin Yan, « Effect of transcutaneous electrical nerve stimulation on symptomatic diabetic peripheral neuropathy: a meta-analysis of randomized controlled trials », Diabetes Research and Clinical Practice, vol. 89, no 1, , p. 10–15 (ISSN 1872-8227, PMID 20510476, DOI 10.1016/j.diabres.2010.03.021, lire en ligne, consulté le )
  7. Seyed-Ali Khodaie, Haniyeh Nikkhah, Nasim Namiranian et Marzie Abotorabi, « Topical Nigella sativa L. product: a new candidate for the management of diabetic peripheral neuropathy », Inflammopharmacology, vol. 32, no 1, , p. 551–559 (ISSN 1568-5608, PMID 37957516, DOI 10.1007/s10787-023-01338-2, lire en ligne, consulté le )
  8. Mario B. Prado et Karen Joy B. Adiao, « Ranking Alpha Lipoic Acid and Gamma Linolenic Acid in Terms of Efficacy and Safety in the Management of Adults With Diabetic Peripheral Neuropathy: A Systematic Review and Network Meta-analysis », Canadian Journal of Diabetes, , S1499–2671(24)00023–6 (ISSN 2352-3840, PMID 38295879, DOI 10.1016/j.jcjd.2024.01.007, lire en ligne, consulté le )


Voir aussi

Articles connexes

Liens externes

  • icône décorative Portail de la médecine
Cet article est issu de Wikipedia. Le texte est sous licence Creative Commons – Attribution – Partage à l’identique. Des conditions supplémentaires peuvent s’appliquer aux fichiers multimédias.