Vascularite
| Symptômes | Inflammation |
|---|
| Médicament | Pentoxifylline |
|---|---|
| Spécialité | Immunologie, angiologie et rhumatologie |
| CIM-10 | I77.6, I80, L95, M30-M31 |
|---|---|
| CIM-9 | 446, 447.6 |
| DiseasesDB | 13750 |
| MeSH | D014657 |
| Patient UK | Vasculitis |
Mise en garde médicale
En médecine, une vascularite est une maladie impliquant l'inflammation des parois des vaisseaux sanguins.
Elle est principalement due à une migration et attaque anormale de leucocytes et aux dommages qui en résultent.
La plupart des vascularites sont des maladies rares ou émergentes (comme par exemple la maladie de Kawazaki). Elles s'en prennent généralement à divers groupes d'organes et peuvent provoquer un handicap grave.
Les causes principales en sont des maladies auto-immunes et, occasionnellement, des infections ou l'exposition à certains produits chimiques, médicaments ou drogues tels que les amphétamines, la cocaïne ou les vaccins contre l'anthrax.
Bien qu'elles se produisent dans une vascularite, les inflammations des veines seules (phlébites) ou des artères seules (artérites) sont traitées comme des entités à part. Les termes de vasculite et angéite sont en français des synonymes de vascularite[1].
La lymphangite (inflammation des vaisseaux lymphatiques) est parfois considérée comme une des différentes formes de vascularite[2].
Symptômes et diagnostic
Les symptômes peuvent notamment être[3] :
- symptômes généraux : fièvre, perte de poids ;
- symptômes dermatologiques : purpura, livedo reticularis ;
- symptômes musculaires et articulaires : myalgie ou myosite, arthralgie ou arthrite ;
- symptômes nerveux : neuropathie multiple, maux de tête, accident vasculaire cérébral, acouphènes, perte d'acuité visuelle voire déficience visuelle sévère ;
- symptômes cardiaques et artériels : infarctus du myocarde, hypertension, gangrène ;
- symptômes respiratoires : saignements de nez, toux sanglante, poumon infiltré ;
- symptômes gastro-intestinaux : douleur abdominale, selles sanglantes, perforations intestinales ;
- symptômes rénaux : glomérulonéphrite.
Le diagnostic est confirmé par les analyses de sang (ou d'autres liquides corporels) en laboratoire pour des patients apparemment touchés par une vascularite active. Les résultats d'analyse montrent alors généralement des marqueurs d'inflammation, dont :
- une augmentation de la vitesse de sédimentation (VS), une élévation du taux de protéine C réactive (CRP), une anémie, une leucocytose (nombre accru de globules blancs) et une éosinophilie ;
- d'autres résultats possibles sont un taux élevé d'anticorps antineutrophiles cytoplasmatiques et une hématurie ;
- des tests portant sur d'autres organes fonctionnels que le sang peuvent aussi être anormaux, avec des anomalies spécifiques au type d'organe touché et selon la gravité de l'affection.
Le diagnostic définitif de vascularite est établi après une biopsie des organes ou des tissus impliqués, tels que peau, sinus, poumon, nerf et rein. La biopsie met en évidence le type d'inflammation des vaisseaux sanguins.
Une alternative à la biopsie peut être une angiographie (observation des vaisseaux sanguins aux rayons X), qui peut montrer des motifs caractéristiques associés à l'inflammation de vaisseaux sanguins[4].
Classification
Les vascularites sont des maladies inflammatoires dégradant la paroi vasculaire. Elles peuvent être primitives ou secondaires à d'autres affections par exemple le lupus érythémateux disséminé (LED).
Plusieurs systèmes de classification existent :
- un classement par causes sous-jacentes. Par exemple, l'aortite syphilitique est une aortite infectieuse se référant simplement à l'artérite de l'aorte. Cependant, les causes de nombreuses formes de vascularites restent mal comprises. Elles ont habituellement une composante immunitaire, mais le déclencheur est souvent non-identifié. Dans ces cas, l'anticorps trouvés est parfois utilisé dans la classification, comme dans vascularites ANCA ;
- un classement par zone ou organe touchés. Par exemple, la classification internationale des maladies (Liste de codes CIM-10) classe les « vascularites limitée à la peau », dans les affections cutanées (sous la rubrique « L »), et les « vasculopathies nécrosantes » avec les troubles du système musculosquelettique et du tissu conjonctif (sous la rubrique « M »). Artérite/phlébites sont individuellement classées avec les troubles de la circulation (rubrique « I ») ;
- classement selon le type ou la taille des vaisseaux sanguins principalement affectés[5].
En dehors de l'artérite/phlébite des distinctions mentionnée ci-dessus, la vascularite est souvent classée selon le calibre du vaisseau touché. Cependant, il peut y avoir quelques variations dans la taille des vaisseaux atteints.
Type de vascularites selon la nomenclature de Chapel Hill (1994 révisée en 2012)[5]
- Vascularites de l'aorte et des gros troncs
- Vascularites des artères de moyen calibre
- Vascularites de petits vaisseaux
- Microvascularites associées aux ANCA
- Microvascularites liées à des dépôts complexes immuns (sans ANCA)
- Purpura rhumatoide ou vascularite à immunoglobulines A
- Vascularite cryoglobulinémique (mixte essentielle)
- Vascularite glomérulaire médiée par des anticorps antimembrane basale glomérulaire (anti-MBG)
- Vascularite urticairienne hypocomplémentémique ou vascularite anti-C1q
- Vascularite de taille de vaisseaux variable
- Maladie de Behçet
- Vascularite de Cogan
- Polychondrite chronique atrophiante
Divers troubles ou maladies ont une vascularite comme principale caractéristique. Les principaux types sont :
| Vascularites | Organes touchés | Histopathologie |
|---|---|---|
| Vascularite des petits vaisseaux cutanés | Peau, reins | Neutrophiles, nécrose fibrinoide |
| Granulomatose de Wegener | Nez, poumons, reins | Neutrophiles, giant cells |
| Syndrome de Churg-Strauss | poumons, reins, cœur, peau | Histiocytes, éosinophiles |
| Maladie de Kawasaki | Peau, cœur, bouche, yeux | Lymphocytes, nécrose endothéliale |
| Maladie de Buerger | Artères et veines des jambes (gangrène) | Neutrophiles, granulomes |
L'artérite de Takayasu, la périartérite noueuse et maladie de Horton sont parfois classées parmi les vascularites, mais le sont plus souvent dans les artérites car impliquant surtout une inflammation des artères.
En outre, des vascularites sont des symptômes d'accompagnement ou atypiques d'autres maladies :
- Maladies rhumatismales, dont polyarthrite rhumatoïde, érythème systémique et dermatomyosite ;
- Cancer (dont lymphomes) ;
- Infections (dont hépatite C) ;
Traitements
Ils dépendent des causes et de la gravité de l'inflammation ;
ils visent généralement d'abord à stopper l'inflammation et inhiber le système immunitaire.
Des médicaments à base de cortisone ou en dérivant, tels que le Prednisone et Cortancyl, sont utilisés.
D'autres médicaments provoquant une suppression immunitaire, tels que le cyclophosphamide ou autres, sont éventuellement utilisés.
Dans le cas d'une infection, des antimicrobiens (céfalexine) peuvent aussi être prescrits.
Certains organes affectés (cœur ou poumons en particulier) peuvent imposer un traitement médical spécifique destiné à améliorer leur fonction lors de la phase active de la maladie.
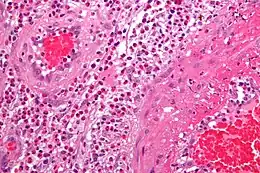
Exemple illustré : vascularites leucocytoclastiques
Vascularites et vaccinations
L’existence de vascularites postvaccinales reste toujours à démontrer[7]. Cependant la littérature rapporte des observations suggérant la responsabilité éventuelle d’une vaccination dans le déclenchement et/ou la réactivation d’une vascularite systémique. Les deux vaccins le plus souvent incriminés sont l’anti-VHB et l'antigrippal[8].
Il faut savoir évoquer l'hypothèse vaccinale devant une vascularite cutanée en saison automnale vaccinale[9]. La vaccination antigrippale est donc contre-indiquée formellement chez les sujets ayant fait une vascularite après vaccination antigrippale, et fortement déconseillée chez les sujets ayant des antécédents même lointains de vascularite[10].
Les imputations au vaccin antihépatite B doivent être mises en regard avec les cas imputés au virus lui-même : avant la mise au point du vaccin contre l'infection par le virus de l'hépatite B, plus de 50 % des cas des périartérites noueuses étaient liés à une infection par le VHB[11].
Notes et références
- ↑ « Vascularite », sur Dictionnaire médical de l'Académie de Médecine, (consulté le ).
- ↑ Dictionnaire médical Dorland eight/000114505 ; Vascularite
- ↑ « The Johns Hopkins Vasculitis Center - Symptoms of Vasculitis »(Archive.org • Wikiwix • Archive.is • Google • Que faire ?), consulté 2009-05-07
- ↑ E. Tancrède-Bohin, « Vascularites cutanées des vaisseaux de petits calibres », sur www.therapeutique-dermatologique.org, (consulté le )
- 1 2 (en) J. C. Jennette, R. J. Falk, P. A. Bacon et N. Basu, « 2012 Revised International Chapel Hill Consensus Conference Nomenclature of Vasculitides », Arthritis & Rheumatism, vol. 65, no 1, , p. 1–11 (ISSN 1529-0131, PMID 23045170, DOI 10.1002/art.37715, lire en ligne, consulté le )
- ↑ Sauf précision contraire, la référence est Stevens & Lowe: Pathology. At Fleshandbones.com
- ↑ http://www.panafrican-med-journal.com/content/article/7/18/pdf/18.pdf
- ↑ « toxicologie-clinique.org/stc20… »(Archive.org • Wikiwix • Archive.is • Google • Que faire ?).
- ↑ « snfmi.org/Data/ModuleProgramme… »(Archive.org • Wikiwix • Archive.is • Google • Que faire ?).
- ↑ « Vaccins anti-infectieux (complications cutanées et cutanéo-muqueuses) », sur therapeutique-dermatologique.org (consulté le ).
- ↑ « Vasculitides », sur CanVasc (consulté le ).
Voir aussi
Articles connexes
Liens externes
- (fr) « Les vascularites des nerfs »(Archive.org • Wikiwix • Archive.is • Google • Que faire ?)
- (fr) Le site des vascularites en France
Bibliographie
- Jenette JC, Falk RJ. Small-vessel vasculitis. N Engl J Med 1997; 337(21):1512-23. (Résumé, en anglais).
- Portail de la médecine
