Leucoencéphalopathie multifocale progressive

Leucoencéphalopathie multifocale progressive
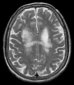
Description de l'image Progressive multifocal leukoencephalopathy 002.jpg.
Causes Virus JC
Traitement
Médicament Mirtazapine
Spécialité Neurologie
Classification et ressources externes
CIM-10 A81.2
CIM-9 046.3
DiseasesDB 10718
MedlinePlus 000674
eMedicine 343475
MeSH D007968

Wikipédia ne donne pas de conseils médicaux Mise en garde médicale

La leucoencéphalopathie multifocale progressive, ou LEMP, est une affection démyélinisante (affectant la substance blanche) du système nerveux central observée au cours de l'immunodépression cellulaire profonde : SIDA en particulier, leucémies, lymphome de Hodgkin

Cause

Il s'agit d'une infection opportuniste, le plus souvent observée chez des individus immunodéprimés, liée à la réactivation d'un polyomavirus (anciennement papovavirus), le virus JC[1].

La maladie pourrait être favorisée par l'utilisation d'anticorps monoclonaux, comme le natalizumab, le rituximab ou l'ocrélizumab utilisés dans le traitement de la sclérose en plaques[2].

Symptômes

La LEMP constitue une démence subaiguë notée par l'apparition progressive de troubles neurologiques divers (déficits sensitifs ou moteurs, troubles du comportement, syndrome cérébelleux), en fonction de la localisation des lésions cérébrales. La plupart du temps, elle conduit au décès au bout de quelques mois.

Diagnostic

Le diagnostic est évoqué devant l'apparition, chez un sujet immunodéprimé, des symptômes précédents et de lésions évocatrices sur l'IRM cérébrale (hypersignaux T2 dans la substance blanche, non rehaussés par le produit de contraste). La détection du virus JC par PCR dans le liquide cérébrospinal constitue le meilleur argument en faveur du diagnostic. Sa négativité peut faire envisager le recours à la biopsie cérébrale en cas de doute.

Traitement

Le pembrolizumab permet, dans certains cas, une réduction de la charge virale et une amélioration des symptômes[3].

Victime célèbre

Bruno Carette, l'humoriste membre des Nuls, meurt de cette maladie au bout de 5 à 6 mois (maladie contractée lors de ses vacances en Égypte) en 1989[4].

Notes et références

  1. Major EO, Yousry TA, Clifford DB, Pathogenesis of progressive multifocal leukoencephalopathy and risks associated with treatments for multiple sclerosis: a decade of lessons learned, Lancet Neurol, 2018;17:467-480
  2. (en) Yousry TA, Major EO, Ryschkewitsch C et al. « Evaluation of patients treated with natalizumab for progressive multifocal leukoencephalopathy » N Engl J Med. 2006;354:924-933
  3. Cortese I, Muranski P, Enose-Akahata Y et al. Pembrolizumab treatment for progressive multifocal leukoencephalopathy, N Engl J Med, 2019;380:1597-1605
  4. Pierrick Butty, « L'humoriste Bruno Carett est mort : 8 décembre 1989 », sur www.live2times.com,

Voir aussi

  • icône décorative Portail de la médecine
  • icône décorative Portail de la virologie
Cet article est issu de Wikipedia. Le texte est sous licence Creative Commons – Attribution – Partage à l’identique. Des conditions supplémentaires peuvent s’appliquer aux fichiers multimédias.