Leucoaraïose

Démence vasculaire sous-corticale
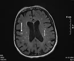
Description de cette image, également commentée ci-après
IRM : lésions vasculaires multiples disséminées (flèches).
Classification et ressources externes
CIM-10 F01.2
CIM-9 290.4
DiseasesDB 8393
MedlinePlus 000746
eMedicine med/3150
neuro/227
MeSH D015161

Wikipédia ne donne pas de conseils médicaux Mise en garde médicale

La leucoaraiose (ou leucoaraïose) est une maladie du système nerveux central provoquée par des altérations vasculaires (microangiosclérose) avec épaississement fibrohyalin, au niveau de la substance blanche du cerveau. Ce terme vient du grec leukos : « blanc » et araios : « raréfaction ».

Attention, ce diagnostic est souvent réalisé sur des IRM alors qu'il s'agit de patients sains, sans lésions sous-jacentes.

Décrite par Vladimir Hachinski en 1987, c'est une maladie fréquente qui est aussi connue sous la dénomination de « démence vasculaire sous-corticale ».

Premiers signes

La maladie s'installe plus ou moins brutalement chez un sujet de plus de 65 ans qui se plaint de céphalées répétées et qui présente des troubles cognitifs de plus en plus marqués (perte de mémoire, difficulté à accomplir des tâches et des raisonnements complexes, apraxie à la marche[1]) sans trouble sensitif. Des troubles de l'humeur (dépression) et un désintérêt pour ce qui l'entoure apparaissent peu à peu[2].

La maladie apparaît souvent chez un sujet hypertendu ou au décours d'un accident cardiovasculaire (maladie athéromateuse, angine de poitrine…).

Examen radiologique

L'imagerie par résonance magnétique (IRM) en phase T2, et la tomodensitométrie (scanner) montrent la présence de lésions de la substance blanche, disséminées dans le cerveau ; ces images, sous forme d'un hypersignal, témoignent des lésions vasculaires. Ces lésions vont plus ou moins confluer avec l'évolution de la maladie et aboutir à donner une image de « cerveau en gruyère ».

Évolution

Elle se fait progressivement vers une dégradation des fonctions intellectuelles (il était autrefois question d'état de « démence sénile »). Sa physiopathologie diffère légèrement de celle de la maladie de Binswanger (décrite par Otto Binswanger)[3] et il ne faut pas la confondre avec la maladie d'Alzheimer, mais elle peut être associée à cette dernière.

Épidémiologie

La démence vasculaire sous-corticale est la deuxième cause la plus fréquente des démences en Europe et en Amérique du Nord. Elle représente 50 % des démences au Japon et 20 % à 40 % en Europe pour seulement 15 % en Amérique Latine.

Notes et références

  1. Yannick Nadeau et Steve Verreault,, « La leucoaraïose : plus qu’une découverte fortuite ! », Le clinicien, (lire en ligne)
  2. Démotivation et dysfonctionnements frontaux chez le sujet âgé : place de la leucoaraïose : P. THOMAS, C. HAZIF-THOMAS, F. SACCARDY, P. VANDERMARQ, in L’Encéphale, 2004
  3. (en) « Binswanger's disease is not a single entity » Neurological Sciences 2000 Volume 21, Number 6, 343-348, DOI 10.1007/s100720070048

Voir aussi

Articles connexes

Bibliographie

  • Feuillets de radiologie (ISSN 0181-9801) (CODEN FERAD3)
  • (en) Olszewski J. « Subcortical arteriosclerotic encephalopathy. Review of the literature on the so-called Binswanger's disease and presentation of two cases » World Neurol. 1962; volume 3, pages 359–75.
  • (en) « Vascular Cognitive Impairment » Nature Clinical Practice Neurology 2006;2:538-547. DOI 10.1038/ncpneuro0294
  • icône décorative Portail de la médecine
  • icône décorative Portail des neurosciences
  • icône décorative Portail de la psychologie
Cet article est issu de Wikipedia. Le texte est sous licence Creative Commons – Attribution – Partage à l’identique. Des conditions supplémentaires peuvent s’appliquer aux fichiers multimédias.