CADASIL

CADASIL
Référence MIM 125310
Transmission Dominante
Chromosome 19p13.2-p13.1
Gène NOTCH3
Empreinte parentale Non
Mutation Ponctuelle
Porteur sain Sans objet
Prévalence 2 pour 100 000 habitants[1]
Pénétrance proche de 100 %
Maladie génétiquement liée Non
Diagnostic prénatal Possible
Liste des maladies génétiques à gène identifié
CADASIL
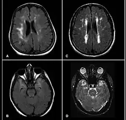
Description de cette image, également commentée ci-après
IRM cérébrale montrant des lésions et lacunes ischémiques multiples chez un patient atteint de CADASIL.
Causes Mutation
Symptômes Démence, céphalée et accident vasculaire cérébral
Traitement
Traitement Antiagrégant et statine
Spécialité Neurologie, cardiologie et génétique médicale
Classification et ressources externes
OMIM 125310
DiseasesDB 2161
MeSH D046589
GeneReviews
Patient UK Cerebral-Autosomal-Dominant-Arteriopathy

Wikipédia ne donne pas de conseils médicaux Mise en garde médicale

CADASIL est une maladie génétique touchant les petits vaisseaux sanguins au niveau du cerveau (microangiopathie). Elle entraîne une mauvaise irrigation sanguine dans certaines zones du cerveau, qui provoque des symptômes très variables d’un malade à l’autre. Les manifestations les plus courantes de la maladie, qui apparaissent à l’âge adulte, sont des crises de migraine, des troubles psychiques et des accidents vasculaires cérébraux lacunaires responsables de troubles du langage, de la mémoire, de la vision[2],[3], etc.

CADASIL est un acronyme pour Cerebral Autosomal Dominant Arteriopathy with Subcortical Infarcts and Leukoencephalopathy (en français, artériopathie cérébrale autosomique dominante avec infarctus sous-corticaux et leucoencéphalopathie). La maladie a été caractérisée et nommée en 1991 par le Pr Marie-Germaine Bousser, neurologue de l'hôpital Lariboisière et son équipe[4].

Pathophysiologie

CADASIL est causé par une mutation située dans le gène NOTCH3 sur le chromosome 19. La mutation du gène a été identifié en 1996[5]. NOTCH3 code un récepteur transmembranaire impliqué dans le développement embryonnaire[6]. Le récepteur NOTCH3 se trouve sur la surface des cellules musculaires lisses des artères environnantes. Les mutations sont généralement situés dans les domaines de répétition de facteur de croissance épidermique dans la partie extracellulaire du récepteur NOTCH3[7]. L'accumulation pathologique du récepteur NOTCH3 dans les petites et moyennes artères cérébrales est responsable de la pathogenèse et de la présentation phénotypique de CADASIL[8]. Les infarctus cérébraux résultent de l'épaississement et de la fibrose des parois des petites et moyennes artères.

Épidémiologie

C'est la cause la plus fréquente des démences vasculaires héréditaires.

Description

C'est une maladie qui se manifeste à l'âge adulte (vers 30 ans) avec des signes non spécifiques tels que :

  • des crises de migraine, souvent avec aura (qui peuvent commencer à l'adolescence) ;
  • des accidents vasculaires cérébraux ;
  • des troubles psychiques ;
  • une évolution vers des troubles de la mémoire, des difficultés de déplacement et parfois une perte d’autonomie.

L'expression clinique de la maladie est en fait très variable selon les cas. Rarement, la maladie peut se manifester par une atteinte vasculaire des membres[9].

Diagnostic

Histologique

Une angiopathie des petites et moyenne artères est caractéristique sans artériosclérose ou dépôt amyloïdien mais avec dépôts osmiophiliques[10].

Génétique

Mise en évidence de mutations responsables de la maladie, au niveau du gène NOTCH3.

Radiologique

CT-scan cérébral

L'image au scanner cérébral n'est pas spécifique, montrant une faible atténuation de la substance blanche[4].

IRM

L'IRM est l'examen de choix, elle montre des hyperintensités confluents de la substance blanche[11]. Des lésions hyperintenses plus circonscrites sont également observées dans les noyaux gris centraux, le thalamus et le pont[12].

Bien que la substance blanche sous-corticale peut être diffusément impliquée, initialement la maladie implique surtout le lobe antérieur temporal (86%) et la capsule externe (93%). Il y a une épargne de la substance blanche sous-corticale occipitale et orbitofrontale[11].

Des micro-hémorragies cérébrales ont été démontrées dans environ 45% (intervalle de 25-70 %) des cas[13].

Finalement, l'atrophie cérébrale se développe, ce qui est bien corrélée avec le degré de déclin cognitif.

Traitement et prise en charge

Aucun traitement préventif spécifique de la maladie n’est, à ce jour, connu dans CADASIL. En cas d’infarctus cérébral (symptomatique ou non), la prise en charge associe un antiagrégant plaquettaire (aspirine en première intention) et le traitement des facteurs de risque vasculaire (dyslipidémie, diabète, HTA, tabagisme). Attention, les antihypertenseurs sont à manier avec prudence en raison du risque d’hypoperfusion. Les anticoagulants ne sont pas recommandés.

Un traitement symptomatique devient souvent nécessaire avec la progression de la maladie. Pour traiter les crises de migraine avec aura, les vasoconstricteurs tels que les triptans sont déconseillés en raison du risque théorique de réduction du débit sanguin cérébral. Les techniques de rééducation sont importantes lors de l’apparition du handicap moteur ou cognitif. L’apprentissage des techniques d’aide au transfert, à la mobilisation et à l’alimentation doit être proposé aux aidants. Le soutien psychologique est essentiel dans la prise en charge des conséquences psychologiques du handicap et du risque lié à la maladie. Il est aussi important, compte tenu du caractère familial et héréditaire de cette maladie grave.

Notes et références

  1. (en) Razvi SS, Davidson R, Bone I, Muir KW., « The prevalence of cerebral autosomal dominant arteriopathy with subcortical infarcts and leucoencephalopathy (CADASIL) in the west of Scotland », J Neurol Neurosurg Psychiatry., no 76, 2005b, p. 739-41
  2. (en) Desmond DW, Moroney JT, Lynch T, Chan S, Chin SS, Mohr JP, « The natural history of CADASIL: a pooled analysis of previously published cases », Stroke, vol. 30, , p. 1230-1233 (lire en ligne)
  3. (en) Dichgans M, Mayer M, Uttner I, Brüning R, Müller-Höcker J, Rungger G, Ebke M, Klockgether T, Gasser T, « The phenotypic spectrum of CADASIL: clinical findings in 102 cases », Ann Neurol, vol. 44, , p. 731-739
  4. 1 2 (en) Tournier-Lasserve E, Iba-Zizen M.T, Romero N., Bousser M.G, « Autosomal dominant syndrome with stroke-like episodes and leukoencephalopathy », Stroke, vol. 22, , p. 1297-1302 (lire en ligne)
  5. (en) Joutel A, Corpechot C, Ducros A, Vahedi K, Chabriat H, Mouton P, et al, « Notch3 mutations in CADASIL, a hereditary adult-onset condition causing stroke and dementia », Nature, , p. 707-710 (lire en ligne)
  6. (en) Artavanis-Tsakonas S, Rand MD, Lake RJ, « Notch signaling: cell fate control and signal integration in development », Science, vol. 284, , p. 770
  7. (en) Peters N, Freilinger T, Opherk C, Pfefferkorn T, Dichgans M, « Effects of short term atorvastatin treatment on cerebral hemodynamics in CADASIL », J Neurol Sci, , p. 100-105
  8. (en) Meschia JF, Brott TG, Brown RD Jr, « Genetics of cerebrovascular disorders », Mayo Clin Proc, , p. 122-132
  9. (en) Briceno DF, Bhattacharjee MB, Supsupin E, Navarro P, Bhattacharjee N., « Peripheral artery disease as a manifestation of Cerebral autosomal Dominant Arteriopathy With Subcortical Infarcts and Leukoencephalopathy (CADASIL) and practical implications », Circulation, no 127, , e568-e570 (résumé)
  10. (en) Tikka S, Mykkänen K, Ruchoux MM. et al., « Congruence between NOTCH3 mutations and GOM in 131 CADASIL patients », Brain, no 132, , p. 933–939 (lire en ligne)
  11. 1 2 (en) Yousry TA, Seelos K, Mayer M et al., « Characteristic MR lesion pattern and correlation of T1 and T2 lesion volume with neurologic and neuropsychological findings in cerebral autosomal dominant arteriopathy with subcortical infarcts and leukoencephalopathy (CADASIL) », AJNR Am J Neuroradiol, vol. 20, , p. 91-100
  12. (en) Auer DP, Pütz B, Gössl C et al., « Differential lesion patterns in CADASIL and sporadic subcortical arteriosclerotic encephalopathy: MR imaging study with statistical parametric group comparison », Radiology, vol. 218, , p. 443-451
  13. (en) Blitstein MK, Tung GA, « MRI of cerebral microhemorrhages », AJR Am J Roentgenol, vol. 189, , p. 720-725

Voir aussi

Article lié

Lien externe

  • icône décorative Portail de la médecine
Cet article est issu de Wikipedia. Le texte est sous licence Creative Commons – Attribution – Partage à l’identique. Des conditions supplémentaires peuvent s’appliquer aux fichiers multimédias.