Virus JC

Le virus JC (JCPyV ou JCV) appartient à la famille des Polyomaviridae humains, précisément au genre Polyomavirus. Le virus JC présente une certaine homologie génomique avec les virus BK humain et SV40 murin.
Historique
Il a été isolé pour la première fois en 1971[1] chez un patient (John Cunningham, ses initiales donnant le nom au virus) souffrant de la maladie de Hodgkin et de leucoencéphalopathie multifocale progressive (LEMP, ou PML en anglais), une affection opportuniste liée à la réactivation d'un Papovavirus, dont le virus JC.
Génome et structure
Le virus JC est un petit virus non enveloppé (sans péplos, ou nu), de poids moléculaire 3,2 x 106 Da et d’un diamètre d’environ 45 nm. Son génome est constitué d’une seule copie d’ADN double-brin circulaire d’approximativement 5300 paires de bases. La capside est de symétrie icosaédrique et composée de 72 capsomères. Tel que mentionné plus haut, le virus JC présente une homologie de séquence avec les polyomavirus BK et SV40, respectivement de 75 % et 69 %.
Le génome est divisé en trois parties fonctionnelles distinctes. D’une extrémité à l’autre, on retrouve d’abord une séquence de contrôle non codante de 0,4 kilobase (kb), qui contient le gène d’initiation de la transcription de l’ADN viral (site ori). Suivent ensuite les séquences codant les protéines précoces (large T et small T) de 2,4 kb. Finalement, les dernières 2,4 kb contiennent les gènes codant les protéines tardives (VP1, VP2, VP3 et agnoprotéine).
Protéines virales
Deux protéines sont synthétisées précocement en raison de leur lien avec la réplication virale. L’antigène large T est une grosse phosphoprotéine qui initie la réplication de l’ADN viral en s’y fixant et en déroulant la double hélice d’ADN. Elle recrute aussi d’autres protéines cellulaires nécessaires à la synthèse du génome. La protéine small T joue aussi un rôle dans la réplication, mais de moindre importance.
D’autres protéines sont traduites plus tardivement, en raison de leur fonction dans l’assemblage de la capside des nouvelles particules virales, l’une des dernières étapes du cycle réplicatif. VP1 est la protéine constituant la majeure partie de la structure de la capside. Elle est de plus impliquée dans le processus de l’internalisation de la particule virale. Finalement, cette protéine joue un rôle dans la médiation de l’agglutination des hématies. VP2 et VP3 sont pour leur part des protéines de capside mineures. Une quatrième protéine, l’agnoprotéine, a pour principale fonction l’assemblage de la capside. On la soupçonne par ailleurs de jouer un rôle dans le développement de tumeurs au cerveau, mais le mécanisme impliqué est encore peu connu.
Séroprévalence, ou épidémiologie
La prévalence dans la population générale de la séroconversion serait proche de 33 %[2].
La primo-infection du virus JC s’observe normalement chez les enfants vers l’âge de 10 à 14 ans et n’occasionne pas de pathologie visible, sinon, dans de très rares cas, un léger trouble respiratoire temporaire. La guérison est souvent totale si l’enfant présente un système immunitaire fonctionnel et une bonne santé générale. À la suite de la primo-infection silencieuse, le virus JC reste latent dans l’organisme au niveau des reins, des lymphocytes B, de la moelle osseuse, de la rate et possiblement du cerveau[3]. Des tests sérologiques ont démontré qu’environ 60 à 80 % de la population adulte mondiale possèdent des anticorps sériques dirigés contre le virus JC, ce qui en fait un virus ubiquitaire. Chez les individus adultes sains, aucune manifestation clinique n’est observée. Cependant, au cours de l’existence, il arrive que le virus soit réactivé. Cela n’est observé qu’en cas d’une immunodéficience sévère pouvant, entre autres, être causée par une infection du VIH, à la suite de l’allogreffe d’un rein, d'une grossesse ou d'un traitement du cancer par chimiothérapie ou radiothérapie. Dans les cas d’immunosuppressions, le virus JC est associé à la leucoencéphalopathie multifocale progressive, qui cause une démyélinisation de la substance blanche à la suite de l’atteinte des oligodendrocytes. La réactivation du virus peut être constatée grâce à l’analyse des urines, dans lesquelles des particules virales seront retrouvées. Il est à noter que le mécanisme moléculaire de l’immunosuppression conduisant à la réactivation du virus JC est toutefois encore mal connu.
Hôte et tropisme
L’hôte du virus JC est strictement humain. Dans le cas de ce virus, c’est son promoteur (enhancer) qui détermine son tropisme, c’est-à-dire le type de cellule que le virus pourra infecter. Des expériences in vitro et in vivo ont démontré que le promoteur n’est activé que dans les oligodendrocytes, et donc que la réplication du virus est limitée à ces cellules.
Transmission
La transmission du virus JC se fait par l’inhalation de particules aérosols, contenues dans la salive, qui suivront ensuite le tractus respiratoire. Le virus infecte premièrement les cellules épithéliales des muqueuses respiratoires, qu’il traversera pour ensuite passer dans la circulation sanguine. Il se rend alors aux reins, où il restera normalement latent pour le reste de l’existence, à moins que ne survienne une immunodéficience. Dans ce cas, le cycle de réplication s’enclenche et le virus migre vers le système nerveux central. Au cerveau, le virus causera éventuellement la leucoencéphalopathie multifocale progressive, et la mort cellulaire des oligodendrocytes, causant la démyélinisation des neurones. La mort de l’hôte suit malheureusement assez rapidement. Ce mécanisme est nommé « infection lente » (ou slow infection), et c’est ce qui permet au virus de rester en incubation pour une période de temps aussi longue. Ce concept d’infection lente a été introduit dans les années 1930 par l’équipe d’un vétérinaire islandais, Björn Sigurdsson, alors qu’il étudiait l’évolution d’une maladie chez un troupeau de moutons infecté par un lentivirus[4].
Il est à noter que certains points restent obscurs quant au mode de transmission du virus JC. D’abord, la forme sous laquelle il est transmis (archetypal ou prototypical) est toujours inconnue. Techniquement, les deux formes sont assez similaires mais diffèrent au niveau de la région non-codante. En second lieu, on ne sait pas si une surinfection au virus JC est possible à la suite de la primo-infection dans l’enfance. Ces points, et bien d’autres, restent ainsi encore à élucider.
N.B. : Une étude italienne récente fait état de la possibilité d’une transmission verticale, i.e. de la mère au fœtus, durant la grossesse ou peu après. Le processus est cependant peu documenté[5].
Réplication
Dans le cas des petits virus ADN double-brin, le cycle de réplication peut se résumer ainsi. Tout d’abord, le génome viral d’ADN est transcrit en plusieurs séquences d’ARN messager (ARN+), lesquelles sont ensuite traduites en protéines virales de structure, qui serviront à l’assemblage de nouvelles particules virales. En ce qui concerne la production de nouveaux génomes viraux, la synthèse débute aussi au niveau de l’ADN viral. Les deux brins sont transcrits en ARN, à partir duquel sont alors produites plusieurs copies d’ADN viral, qui seront intégrées dans les nouveaux virions.
Pathologies humaines associées
Le virus JC est l’agent pathogène principal causant la leucoencéphalopathie multifocale progressive (LEMP) dans les cas d’immunosuppressions sévères[6], c’est-à-dire quand les concentrations sériques en lymphocytes T CD4+ sont en deçà de 100 cellules/mm3. Cette pathologie est caractérisée histologiquement par une démyélinisation progressive du tissu neuronal du système nerveux central. Les plus grands dommages cérébraux sont causés par l’infection, et éventuellement la destruction, des oligodendrocytes par le virus JC. Cette maladie, excessivement rare chez les sujets immunocompétents, a été observée chez des individus affectés par la maladie de Hodgkin. Les cas de LEMP sont actuellement en très nette augmentation, puisque cette maladie est une des infections opportunistes liées à l’infection par le VIH. Des autopsies et des études épidémiologiques font état d’une prévalence de la LEMP d’environ 5 % chez les individus séropositifs. Cependant, depuis l’introduction des trithérapies (HAART, ou highly active antiRetroviral treatment) contre le VIH en 1996, l’incidence de la LEMP tend à diminuer, suivant l’incidence du VIH. L’issue de la leucoencéphalopathie multifocale progressive est malheureusement fatale dans les deux à six mois suivant le diagnostic. Des cas de LEMP ont été décrits à titre exceptionnel comme complications de traitements immunomodulateurs[7] dans le psoriasis, la maladie de Crohn ou la sclérose en plaques (atalizumab, rituximab, efalizumab ou natalizumab). Néanmoins, la réactivation de ce virus par traitement immunomodulateurs n'entraîne que rarement des cas de LEMP, d'où la nécessité de dépistages précoces et de suivis réguliers, de la présence ou de la réactivation du virus afin de pallier le déficit immunitaire éventuel par la suppression du traitement, notamment pour la sclérose en plaques traitée par natalizumab (Tysabri).
En dehors de la LEMP, le virus pourrait être responsable de méningites, d'encéphalopathies ou de neuronopathies[8].
Des études récentes faites au Japon sur des modèles animaux indiquent le virus JC présenterait des capacités mutagènes, i.e. qu'il aurait la capacité de transformer les cellules saines en cellules tumorales. Leurs résultats suggèrent un lien entre l’infection par le virus JC et l’incidence de plusieurs types de cancers humains, spécialement des cancers bronchiques et pulmonaires[9]. Le virus pourrait être également impliqué dans le cancer du côlon[10].
Évolution
La coévolution avec l’hôte est une caractéristique des petits virus à ADN tels que les polyomavirus. Le virus JC est ubiquitaire et existe sous plus de cinq génotypes différents, identifiés aux États-Unis, en Afrique et dans une partie de l’Europe et de l’Asie. De récentes analyses au PCR (réaction en chaine par polymérase) du génome de ces sous-types viraux ont démontré que le virus JC n’a pas simplement coévolué avec l’humain, mais s’est plutôt développé parallèlement à certaines populations humaines. La trouvaille la plus frappante de ses études fait suite au séquençage des génotypes du virus JC. Ceux-ci varient suffisamment de l’un à l’autre pour permettre de les utiliser comme marqueurs de population. En d’autres termes, en suivant l’évolution du virus JC chez l’humain, il est possible de suivre en parallèle les migrations des populations depuis l’Asie jusqu’en Amérique, et ce, aussi bien dans les temps modernes que préhistoriques.
Diagnostic et isolement
Diagnostic direct
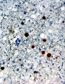
Dans les cas de suspicion d’une leucoencéphalopathie multifocale progressive, il est possible de mettre en évidence les antigènes viraux JC par immunohistochimie dans les cellules du culot urinaire et dans les cellules du système nerveux central. La microscopie optique permet dans certains cas une orientation diagnostique par l’observation de la morphologie des particules virales.
L’isolement du virus JC est réalisé sur cellules gliales embryonnaires humaines enrichies en spongioblastes (cellules embryonnaires qui donneront les cellules gliales, dont les astrocytes et certaines cellules de l’hypophyse). L’effet cytopathogène (ECP) est tardif et non spécifique ; l’identification virale demande donc l’immunomarquage.
Diagnostic sérologique
Le virus JC est hémagglutinant, c’est-à-dire qu’il a la capacité d’agglutiner les érythrocytes du sang humain de groupe sanguin O. Le dosage de l’hémagglutination est chose courante en laboratoire et permet une évaluation quantitative des particules virales.
Les anticorps sériques dirigés contre les protéines de capside du virus JC peuvent aussi être recherchés par la technique d’ELISA (enzyme-linked immunoSorbent assay). Dans le cas d’une leucoencéphalopathie multifocale progressive, on comparera le titre des anticorps anti-JC dans le liquide céphalo-rachidien et dans le sérum sanguin. Toutefois, la mise en évidence des anticorps n’est pas aisée à déchiffrer.
Traitement et vaccination
Il n’existe aucune préparation vaccinale contre le virus JC, ni aucun traitement antiviral. Étant donné que l’infection est somme toute assez bénigne chez les sujets immunocompétents, la seule façon de se prémunir contre ses manifestations les plus sévères réside en la prévention de l’immunodéficience. Citons simplement la prophylaxie en relation avec l’infection au VIH, pour laquelle on observe une corrélation avec les cas de LEMP. Les comportements à risques pour contracter le VIH sont l’usage de drogues par intraveineuse, les relations sexuelles sans protection, en particulier celles entre hommes, les greffes et les transfusions sanguines. Dans les cas de leucoencéphalopathie multifocale progressive, l’issue est souvent rapide et fatale. Une des rares solutions consiste en la reconstitution du système immunitaire, par l’administration d’interférons, par exemple.
Intérêt pour la médecine légale
Il est souvent difficile d'identifier l'origine géographique de cadavres non identifiés, cadavres dont le nombre augmente dans le monde[11].
Génotyper l'ADN du virus JC échantillonné dans le rein ou dans l'urine peut apporter des informations sur l'origine géographique d'une personne non identifiable dont le corps a été retrouvé[12] car les virus qui infectent nos reins durant notre enfance y persistent jusqu'à notre mort, et ils présentent des différences géographiques[13],[12],[14],[15],[16],[17].
On connaissait en 2004 plus de 10 génotypes du virus, correspondant chacun à une zone du monde[18],[19]
Notes et références
- H.J.A. Fleury, Virologie humaine, 2e édition, Masson SA, 1997, Paris, p. 110
- Karl Habel, Norman P. Salzman, Fundamental Techniques in Virology, Academic Press Inc., New York
- Heinz Frankenkel-Contrat, Paul C. Kimball, Jay A. Levy, Virology, 2e édition, Prentice-Hall Inc.
- S.J. Flint, L.W. Enquist, V.R. Racaniello, A.M. Skalka, Principles of Virology – Volume 11 Pathogenesis and Control, 3e édition, ASM Press, 2009, USA.
- Edward K. Wagner, Martinez J. Hewlett, Basic Virology, Second Edition, Blackwell Publishing, 2004
- Nasimul Ahsan, Polyomaviruses and Human Diseases, Eureka.com and Springer Science + Business Media, 2006, USA.
- Pierre-Marie Girard, Christine Katlama, Gilles Pialoux, VIH, Édition 2007, Doin Éditeurs, France
- A. Mammette, Virologie Médicale, Collection Azay, Presses universitaires de Lyon, 2002
- Pathogenesis of Progressive Multifocal Leukoencephalopathy - http://jid.oxfordjournals.org/content/203/5/578.full, consulté le
- Progressive multifocal leukoencephalopathy and other forms of JC virus disease – https://www.ncbi.nlm.nih.gov/pubmed/21131916, Consulté le
- ↑ Padgett BL, Walker DL, ZuRhein GM, Eckroade RJ, Dessel BH, Cultivation of papova-like virus from human brain with progressive multifocal leucoencephalopathy, Lancet, 1971;1:1257-60
- ↑ Knowles WA, Pipkin P, Andrews N et al. Population-based study of antibody to the human polyomaviruses BKV and JCV and the simian polyomavirus SV40, J Med Virol, 2003;71:115-23.
- ↑ Tan CS, Ellis LC, Wüthrich C et al. JC virus latency in the brain and extraneural organs of patients with and without progressive multifocal leukoencephalopathy, J Virol, 2010;84:9200-9.
- ↑ Sur Björn Sidurdsson, Consulté le 25 avril 2011
- ↑ Serological evidence of vertical transmission of JC and BK polyomaviruses in humans, Consulté le 25 avril 2011
- ↑ White MK, Khalili K, Pathogenesis of progressive multifocal leukoencephalopathy—revisited, J Infect Dis, 2011;203:578-86
- ↑ Focosi D, Marco T, Kast RE, Maggi F, Ceccherini-Nelli L, Petrini M, Progressive multifocal leukoencephalopathy: what’s new?, Neuroscientist, 2010;16:308-23.
- ↑ Tan CS, Koralnik IJ, Progressive multifocal leukoencephalopathy and other disorders caused by JC virus: clinical features and pathogenesis, Lancet Neurol, 2010;9:425-37
- ↑ Oncogenic role of JC virus in lung cancer, Consulté le 25 avril 2011
- ↑ Rollison DE, JC virus infection: a cause of colorectal cancer?, J Clin Gastroenterol, 2010;44:466-8
- ↑ Cattaneo, C., Ritz-Timme, S., Shutz, H.W., Collins, M., Waite, E., Boor- mann, H., Grandi, M., Kaatsch, H.J., (2000) Unidentified cadavers and human remains in the EU: an unknown issue. Int. J. Legal Med. 113, N2–N3.
- 1 2 Ikegaya, H., Iwase, H., Sugimoto, C., Yogo, Y., 2002. JC virus genotyping offers a new means of tracing the origins of unidentified cadavers. Int. J. Legal Med. 116, 242–245.
- ↑ Chesters, P.M., Heritage, J., McCance, D.J., 1983. Persistence of DNA sequences of BK virus and JC virus in normal human tissues and in diseased tissues. J. Infect. Dis. 147, 676–684.
- ↑ Ikegaya, H., Iwase, H., Yogo, Y., 2004. Detection of identical JC virus DNA sequences in both human kidneys. Arch. Virol. 149, 1215–1220
- ↑ Kitamura, T., Sugimoto, C., Kato, A., Ebihara, H., Suzuki, M., Taguchi,F., Kawabe, K., Yogo, Y., 1997. Persistent JC virus (JCV) infection is demonstrated by continuous shedding of the same JCV strains. J. Clin. Microbiol. 35, 1255–1257
- ↑ Padgett, B.L., Walker, D.L., 1973. Prevalence of antibodies in human sera against JC virus, an isolate from a case of progressive multifocal leukoencephalopathy. J. Infect. Dis. 127, 467–470.
- ↑ Tominaga, T., Yogo, Y., Kitamura, T., Aso, Y., 1992. Persistence of archetypal JC virus DNA in normal renal tissue derived from tumor- bearing patients. Virology 186, 736–741.
- ↑ Sugimoto, C., Kitamura, T., Guo, J., Al-Ahdal, M.N., Shchelkunov, S.N., Otova, B., Ondrejka, P., Chollet, J.-Y., El-Safi, S., Ettayebi, M., Gre ́senguet, G., Kocago ̈z, T., Chaiyarasamee, S., Thant, K.Z., Thein, S., Moe, K., Kobayashi, N., Taguchi, F., Yogo, Y., 1997. Typing of urinary JC virus DNA offers a novel means of tracing human migra- tions. Proc. Natl. Acad. Sci. U.S.A. 94, 9191–9196
- ↑ Yogo, Y., Sugimoto, C., Zheng, H.-Y., Ikegaya, H., Takasaka, T., Ki- tamura, T., 2004. JC virus genotyping offers a new paradigm in the study of human populations. Rev. Med. Virol. 14, 179– 191
- Portail de la virologie
- Portail de la médecine