Thérapie par champ électromagnétique pulsé

Thérapie par champ électromagnétique pulsé
Description de l'image Rhumart MBI 3000 RESC Controller.JPG.
Synonymes Thérapie magnétique pulsée, Magnétothérapie pulsée, PEMFT

La thérapie par champs électromagnétiques pulsé (PEMFT) utilise le champ électromagnétique pour tenter de guérir les pseudarthrose (fracture non-soudées) et la dépression. En 2007, la FDA avait autorisé plusieurs dispositifs de stimulation de ce type.

Utilisation

Fractures non-soudées, douleurs articulaires

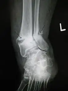
Une fracture ancienne avec pseudarthrose des fragments de fracture.

Le mécanisme de l'ostéogenèse n'est pas clair. La thérapie PEMF revendique un certain avantage dans le traitement des fractures, mais avec des preuves issues d'essais randomisés « insuffisantes pour conclure à un bénéfice de la stimulation de la croissance osseuse » dans la pratique clinique actuelle du traitement des pseudarthroses et fractures aiguës[1]. Une revue systématique et méta-analyse récente suggèrent néanmoins que « PEMF ou LIPUS peuvent être bénéfiques dans le traitement des fractures aiguës (subissant un traitement non opératoire et les fractures aiguës du membre supérieur) en ce qui concerne le temps de consolidation radiologique et clinique »[1]. Une stimulation de la croissance osseuse PEMF ou LIPUS accélère aussi la consolidation de fractures diaphysaires aiguës[1].

Elle peut par soulager les douleur liées à l'ostéoarthrite[2].

La PEMF a aussi été testée en contexte vétérinaire via des via des bobines inductives[3]. Selon Gaynor & al. (2018) « l'accumulation de preuves cliniques plaide en faveur de l'utilisation de la thérapie PEMF chez les animaux et les humains pour des indications cliniques spécifiques, notamment la cicatrisation osseuse, la cicatrisation des plaies, l'arthrose et l'inflammation, et le traitement de la douleur et de l'œdème postopératoires ».

Dépression

La stimulation magnétique transcrânienne est approuvée par la FDA depuis 2008 pour les personnes qui n'ayant pas répondu aux antidépresseurs.

Cette stimulation magnétique faible du cerveau est une technique non-invasive de neuromodulation cérébrale, souvent dite thérapie transcrânienne par champ électromagnétique pulsé (tPEMF) ou rTMS (pour repetitive transcranial magnetic stimulation) quand elle est faite de manière répétitive[4].

Le traitement est généralement administré une ou deux fois par jour pendant deux semaines ou plus[5]. « De fortes impulsions électriques sont utilisées pour produire de forts champs magnétiques pulsés qui sont dirigés vers le cortex cérébral du patient où les champs induisent des impulsions électriques »[4].

Un article récent alerte sur le fait que les bonnes pratiques de protection du personnel médical sont rarement respectée, et que cette thérapie peut involontairement exposer le personnel médical au delà des seuils recommandés comme sûrs[4]

Mécanismes biologiques

Histoire

La thérapie par champ électromagnétique pulsé est utilisée depuis l'invention de l'électricité. Il a été largement adopté en Europe de l'Est et de l'Ouest mais son utilisation était limitée aux animaux en Amérique du Nord jusqu'à récemment. Les vétérinaires sont devenus les premiers professionnels de la santé à utiliser la thérapie PEMF, généralement pour soigner les jambes cassées chez les chevaux de course.

En 2004, la thérapie de champ électromagnétique pulsé a été approuvé par la FDA comme un complément à la chirurgie de fusion cervicale chez les patients à haut risque de non fusion[6]. Le , la FDA a reclassé les dispositifs PEMF de Classe 3 à Classe 2. Les dispositifs PEMF qui ont été autorisés par la FDA à présenter des allégations de santé nécessitent une prescription médicale[7]

Bien que le potentiel de l'électricité pour aider la guérison osseuse ait été signalé dès 1841, ce n'est qu'au milieu des années 1950 que les scientifiques ont sérieusement étudié le sujet. Durant les années 1970, Bassett et son équipe ont introduit une nouvelle approche pour le traitement des pseudarthroses, une technique qui employait un signal biphasique très spécifique à basse fréquence à appliquer pour fractures retardées et non-soudées. L'utilisation de la stimulation électrique dans la région lombo-sacrée a d'abord été tentée par Alan Dwyer d'Australie. En 1974, il a signalé l'initiation réussie de l'incorporation de greffe chez 11 des 12 patients de fusion.

Appareils de bien-être

Les dispositifs PEMF originaux étaient constitués d'une bobine de Helmholtz qui générait un champ magnétique. Le corps du patient était placé à l'intérieur du champ magnétique pour délivrer le traitement. Aujourd'hui, la majorité des dispositifs de bien-être de PEMF ressemblent à un tapis de yoga typique dans les dimensions mais sont légèrement plus épais pour loger plusieurs bobines de spirale plates pour produire un champ électromagnétique pair. Un Générateur de fréquence est ensuite utilisé pour activer les bobines et créer un champ électromagnétique "pulsé". Une grande variété d'appareils PEMF professionnels et grand public sont vendus et commercialisés en tant que dispositifs de bien-être enregistrés par la FDA. La plupart des produits sont fabriqués en Allemagne, en Autriche et en Suisse et importés en Amérique du Nord sous forme de masseurs électriques ou de tapis de yoga électriques complets. Ils sont soit placés sur une table de massage à usage clinique ou directement sur le sol à la maison pour pratiquer des postures de yoga simples. Les entreprises qui les vendent et les fabriquent en tant que «produits de bien-être général» ne sont pas autorisées à faire des allégations médicales d'efficacité dans le traitement des maladies[7].

Notes et références

  1. 1 2 3 (en) P. F. W. Hannemann, E. H. H. Mommers, J. P. M. Schots et P. R. G. Brink, « The effects of low-intensity pulsed ultrasound and pulsed electromagnetic fields bone growth stimulation in acute fractures: a systematic review and meta-analysis of randomized controlled trials », Archives of Orthopaedic and Trauma Surgery, vol. 134, no 8, , p. 1093–1106 (ISSN 0936-8051 et 1434-3916, DOI 10.1007/s00402-014-2014-8, lire en ligne, consulté le )
  2. (en) Tommaso Iannitti, Beniamino Palmieri, Fistetto et Esposito, « Pulsed electromagnetic field therapy for management of osteoarthritis-related pain, stiffness and physical function: clinical experience in the elderly », Clinical Interventions in Aging, , p. 1289 (ISSN 1178-1998, PMID 24106421, PMCID PMC3791961, DOI 10.2147/CIA.S35926, lire en ligne, consulté le )
  3. (en) James S. Gaynor, Sean Hagberg et Blake T. Gurfein, « Veterinary applications of pulsed electromagnetic field therapy », Research in Veterinary Science, vol. 119, , p. 1–8 (DOI 10.1016/j.rvsc.2018.05.005, lire en ligne, consulté le )
  4. 1 2 3 (en) Ole Jacob Møllerløkken, Helen Stavang et Kjell Hansson Mild, « Staff exposure to pulsed magnetic fields during depression treatment with transcranial magnetic stimulation », International Journal of Occupational Safety and Ergonomics, vol. 23, no 1, , p. 139–142 (ISSN 1080-3548 et 2376-9130, DOI 10.1080/10803548.2016.1223193, lire en ligne, consulté le )
  5. Martiny K, Lunde M, Bech P., Lunde et Bech, « Transcranial low voltage pulsed electromagnetic fields in patients with treatment-resistant depression », Society of Biological Psychiatry, vol. 68, no 2, , p. 163–9 (PMID 20385376, DOI 10.1016/j.biopsych.2010.02.017)
  6. « Electrical stimulation of the spine as an adjunct to spinal fusion procedures », Blue Cross & Blue Shield of Mississippi : « Pulsed electromagnetic field systems with FDA PMA include the EBI Bone Healing System from Electrobiology, Inc., which was first approved in 1979 and indicated for nonunions, failed fusions, and congenital pseudarthroses; and the Cervical-Stim from Orthofix, which was approved in 2004 as an adjunct to cervical fusion surgery in patients at high risk for non-fusion. »
  7. 1 2 « General Wellness: Policy for Low Risk Devices - Guidance for Industry and Food and Drug Administration Staff », U.S. Food and Drug Administration, (consulté le )

Voir aussi

Articles connexes

Bibliographie

  • Patrick Vavken, Ferdi Arrich, Othmar Schuhfried et Ronald Dorotka, « Efficacité de la thérapie par champs électromagnétiques pulsés dans la prise en charge de l'arthrose du genou: une méta-analyse d'essais contrôlés randomisés », Revue de Médecine de Réadaptation, vol. 41, no 6, , p. 406-411 (ISSN 1651-2081, PMID 19479151, DOI 10.2340 / 16501977-0374, lire en ligne)
  • icône décorative Portail de la médecine
Cet article est issu de Wikipedia. Le texte est sous licence Creative Commons – Attribution – Partage à l’identique. Des conditions supplémentaires peuvent s’appliquer aux fichiers multimédias.