Pseudarthrose

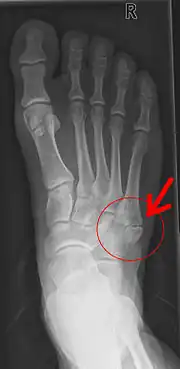
Pseudarthrose de la base du 5e métatarsien après un arrachement osseux.
Une pseudarthrose est une « fausse » articulation d'un os à l'endroit d'une fracture résultant de la cicatrisation indépendante des pièces de la fracture.
Une pseudarthrose peut également résulter d'un échec d'un développement.
On parle plus précisément de pseudarthrose en cas de persistance du trait de fracture plus de 6 mois après la lésion initiale.
- Portail de la médecine
Cet article est issu de Wikipedia. Le texte est sous licence Creative Commons – Attribution – Partage à l’identique. Des conditions supplémentaires peuvent s’appliquer aux fichiers multimédias.