Neurosarcoïdose
| Diagnostic | Biopsie |
|---|---|
| Traitement | Immunosuppression |
| Spécialité | Neurologie |
| OMIM | 181000 |
|---|---|
| MedlinePlus | 000720 |
| eMedicine | 1147324 |
| MeSH | C535814 |
Mise en garde médicale
La neurosarcoïdose (parfois abrégée en neurosarcoïde) fait référence à un type de sarcoïdose, une affection de cause inconnue caractérisée par des granulomes dans divers tissus qui, dans ce cas précis, touchent le système nerveux central (cerveau et moelle épinière). La neurosarcoïdose peut se manifester de diverses façons, mais les atteintes des nerfs crâniens, qui forment un groupe de douze nerfs responsables de l'innervation de la tête et du cou, sont les plus fréquentes. Elle peut évoluer selon une progression aiguë, subaiguë ou chronique. Environ 5 à 10 % des personnes atteintes de sarcoïdose touchant d'autres organes, tels que les poumons, développent une atteinte du système nerveux central. En revanche, seule 1 % des patients atteints de sarcoïdose présentent une neurosarcoïdose isolée, sans atteinte d'autres organes. Le diagnostic reste complexe, car aucun test, en dehors de la biopsie, n’offre une précision élevée. Le traitement repose principalement sur l’immunosuppression[1]. Le premier cas de sarcoïdose impliquant le système nerveux a été signalé en 1905[2],[3].
Signes et symptômes
Neurologique
Des anomalies des nerfs crâniens sont présentes dans 50 à 70 % des cas de neurosarcoïdose. L'atteinte la plus fréquente concerne le nerf facial, responsable d'une faiblesse musculaire touchant un ou les deux côtés du visage (65 % et 35 % des cas de neuropathies crâniennes, respectivement). Elle est suivie par une réduction de l’acuité visuelle due à une atteinte du nerf optique. Plus rarement, les symptômes incluent une vision double (atteinte des nerfs oculomoteur, trochléaire ou abducens), une diminution de la sensibilité du visage (nerf trijumeau), une perte auditive ou des vertiges (nerf vestibulocochléaire), des difficultés de déglutition (nerf glossopharyngien), une faiblesse des muscles de l’épaule (nerf accessoire) ou de la langue (nerf hypoglosse). Par ailleurs, les troubles visuels peuvent également résulter d’un œdème papillaire (gonflement du disque optique) causé par l’obstruction de la circulation normale du liquide céphalo-rachidien (LCR) par des granulomes[1].
Des crises d'épilepsie (principalement de type tonico-clonique /« grand mal ») sont présentes chez environ 15 % des patients et peuvent être le phénomène révélateur chez 10 % des patients[1].
Une méningite (inflammation de la muqueuse du cerveau) survient dans 3 à 26 % des cas. Les symptômes peuvent inclure des maux de tête et une rigidité de la nuque (incapacité à pencher la tête vers l’avant). Elle peut être aiguë ou chronique[1].
L'accumulation de granulomes dans des régions spécifiques du cerveau peut altérer le fonctionnement de ces zones. Par exemple, une atteinte de la capsule interne peut entraîner une faiblesse d'un ou de plusieurs membres du même côté du corps. Lorsque les granulomes atteignent une taille importante, ils peuvent provoquer un effet de masse, se manifestant par des maux de tête et un risque accru de convulsions. Par ailleurs, l'obstruction du flux de liquide céphalo-rachidien peut entraîner des céphalées, des troubles visuels (comme mentionné précédemment) et d'autres signes évocateurs d'une augmentation de la pression intracrânienne ou d'une hydrocéphalie[1].
L'atteinte de la moelle épinière est rare, mais peut entraîner une sensation anormale ou une faiblesse dans un ou plusieurs membres, ou des symptômes liés à une affection de la queue-de-cheval (incontinence urinaire ou fécale, diminution de la sensation dans les fesses)[1].
Endocriniens
Les granulomes de l'hypophyse, glande productrice de nombreuses hormones, sont rares mais peuvent se manifester par l'un des symptômes de l'hypopituitarisme : aménorrhée (arrêt du cycle menstruel), diabète insipide (déshydratation due à l'incapacité de concentrer l'urine), hypothyroïdie (diminution de l'activité de la thyroïde) ou hypocortisolisme (déficit en cortisol)[1].
Mentaux et autres
Des problèmes psychiatriques surviennent dans 20 pour cent des cas ; de nombreux troubles différents ont été signalés, par exemple une dépression et une psychose. Une neuropathie périphérique a été signalée dans jusqu'à 15 % des cas de neurosarcoïdose[1].
D'autres symptômes dus à la sarcoïdose d'autres organes peuvent être l'uvéite (inflammation de la couche uvée de l'œil), la dyspnée (essoufflement), l'arthralgie (douleurs articulaires), le lupus pernio (éruption cutanée rouge, généralement du visage), l'érythème noueux (grosses plaques rouges sur la peau, généralement sur les tibias) et des symptômes d'atteinte hépatique (jaunisse) ou cardiaque (insuffisance cardiaque)[1].
Physiopathologie
La sarcoïdose est une maladie d'origine inconnue caractérisée par la formation de granulomes dans divers organes. Bien que les poumons soient le plus souvent affectés, d'autres organes peuvent également être impliqués. Certaines formes spécifiques de la maladie, comme le syndrome de Löfgren, présentent des déclencheurs particuliers et une évolution distincte. Les facteurs prédisposant les patients atteints de sarcoïdose à développer une atteinte cérébrale ou médullaire restent encore mal compris[1].
Diagnostic

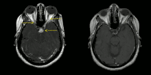
Image de droite : IRM cérébrale avec contraste montrant une résolution proche de celle du rehaussement après traitement.
Le diagnostic de la neurosarcoïdose est souvent complexe. Il ne peut être confirmé de manière définitive que par une biopsie (prélèvement chirurgical d’un échantillon de tissu). Cependant, en raison des risques associés aux biopsies cérébrales, ces dernières sont évitées autant que possible. Pour explorer les symptômes évoqués, divers examens peuvent être réalisés, tels que la tomodensitométrie (TDM), l’imagerie par résonance magnétique (IRM) du cerveau, la ponction lombaire, l’électroencéphalographie (EEG) et les études de potentiels évoqués (PE). En cas de suspicion de sarcoïdose, des radiographies ou des TDM thoraciques révélant des caractéristiques typiques peuvent renforcer cette hypothèse. Une élévation de l’enzyme de conversion de l’angiotensine et du calcium sanguin constitue également un indice supplémentaire en faveur du diagnostic. Par le passé, le test de Kveim était utilisé pour diagnostiquer la sarcoïdose. Bien qu’il présentait une sensibilité élevée (85 %), ce test est désormais obsolète, car il nécessitait du tissu splénique prélevé chez un patient atteint de sarcoïdose, injecté dans la peau du cas suspect[1].
Seule la biopsie de lésions suspectes dans le cerveau ou ailleurs est considérée comme utile pour un diagnostic définitif de neurosarcoïdose. L'échantillon de tissu démontrerait des granulomes (collections de cellules inflammatoires) riches en cellules épithélioïdes et entourés d'autres cellules du système immunitaire (par exemple, des plasmocytes, des mastocytes). Une biopsie peut être réalisée pour distinguer les lésions de masse des tumeurs (par exemple les gliomes)[1].
L’IRM avec rehaussement au gadolinium est l’examen de neuroimagerie le plus utile. Il peut montrer une amélioration de la pie-mère ou des lésions de la substance blanche qui peuvent ressembler aux lésions observées dans la sclérose en plaques[1].
La ponction lombaire peut révéler un taux élevé de protéines, une pléiocytose (c'est-à-dire une présence accrue de lymphocytes et de granulocytes neutrophiles ) et des bandes oligoclonales. D'autres tests (par exemple le taux d'ACE dans le LCR) ont peu de valeur ajoutée[1].
Critères
Certaines publications récentes suggèrent de catégoriser les diagnostics de neurosarcoïdose en fonction de leur degré de probabilité[1] :
- Le diagnostic définitif de neurosarcoïdose repose sur la présence de symptômes évocateurs, une biopsie positive et l'absence d'autre cause pouvant expliquer ces symptômes.
- La neurosarcoïdose probable peut être diagnostiquée en présence de symptômes évocateurs, accompagnés de preuves d’inflammation du système nerveux central (par exemple, anomalies du LCR ou de l’IRM), à condition que d’autres diagnostics aient été écartés. La confirmation d’une sarcoïdose systémique n’est pas indispensable.
- Une possible neurosarcoïdose peut être diagnostiquée lorsque des symptômes inexpliqués par d'autres affections sont présents, même si les autres critères diagnostiques ne sont pas entièrement remplis.
Traitement
Une fois la neurosarcoïdose confirmée, le traitement repose généralement sur des glucocorticoïdes comme la prednisolone. En cas d’efficacité, la dose peut être progressivement réduite, bien que de nombreux patients nécessitent un traitement prolongé par stéroïdes, souvent associé à des effets secondaires tels que le diabète ou l’ostéoporose. D’autres traitements, comme le méthotrexate, l’hydroxychloroquine, le cyclophosphamide, la pentoxifylline, la thalidomide et l’infliximab, ont montré leur efficacité dans de petites études. Chez les patients réfractaires au traitement médical, une radiothérapie peut être envisagée. En cas d’obstruction ou d’effet de masse lié au tissu granulomateux, une intervention neurochirurgicale peut s’avérer nécessaire. Les crises peuvent être prévenues grâce à des anticonvulsivants, et les troubles psychiatriques pris en charge avec les traitements habituellement utilisés dans ces cas[1].
Pronostic
Parmi les manifestations de la neurosarcoïdose, seule l’atteinte du nerf facial est généralement associée à un pronostic favorable et à une bonne réponse au traitement. En revanche, un traitement à long terme est souvent requis pour les autres manifestations[1]. Le taux de mortalité est estimé à 10 pour cent[4].
Épidémiologie
La sarcoïdose a une prévalence de 40 cas pour 100 000 habitants dans la population générale. Toutefois, les individus portant le génotype GG du gène ANXA11 présentent un risque de sarcoïdose 1,5 à 2,5 fois plus élevé que ceux ayant le génotype AG, tandis que ceux avec le génotype AA ont un risque environ 1,6 fois plus faible[5],[6]. De plus, les individus souffrant d’un déficit immunitaire commun variable (DICV) peuvent être exposés à un risque encore plus élevé. Une étude menée auprès de 80 patients atteints de DICV a révélé que huit d'entre eux étaient également touchés par la sarcoïdose, suggérant une prévalence pouvant atteindre un cas sur dix[7] dans cette population. Étant donné que moins de 10 % des personnes atteintes de sarcoïdose présentent une atteinte neurologique, souvent à un stade avancé de la maladie, la prévalence de la neurosarcoïdose est inférieure à quatre cas pour 100 000 habitants[1].
Cette maladie affecte principalement les jeunes adultes des deux sexes, bien que certaines études aient rapporté une fréquence plus élevée chez les femmes. L'incidence est maximale chez les personnes de moins de 40 ans, avec un pic dans la tranche d'âge de 20 à 29 ans, et un second pic observé chez les femmes de plus de 50 ans[8],[9].
La sarcoïdose est présente dans le monde entier et chez toutes les races, avec une incidence moyenne de 16,5/100 000 chez les hommes et de 19/100 000 chez les femmes. La maladie est plus répandue dans les pays d’Europe du Nord et l’incidence annuelle la plus élevée, soit 60/100 000, est observée en Suède et en Islande. Aux États-Unis, la sarcoïdose est plus fréquente chez les personnes d'origine africaine que chez les Caucasiens, avec une incidence annuelle rapportée à 35,5 et 10,9/100 000, respectivement[10].
L'incidence variable de la neurosarcoïdose à travers le monde peut être en partie due à l'absence de programmes de dépistage dans certaines régions, ainsi qu'à la prédominance d'autres maladies granulomateuses, comme la tuberculose, qui peuvent compliquer le diagnostic de la sarcoïdose dans les zones où elles sont endémiques[9]. Des différences de gravité de la maladie peuvent également exister entre les individus de différentes origines ethniques. Plusieurs études indiquent que la présentation chez les personnes d'origine africaine pourrait être plus grave et plus diffuse que chez les Caucasiens, qui sont plus enclins à présenter une forme asymptomatique de la maladie[11].
La manifestation de la maladie semble varier légèrement en fonction de la race et du sexe. L'érythème noueux est nettement plus fréquent chez les hommes que chez les femmes, et chez les Caucasiens par rapport aux autres groupes raciaux. Chez les patients japonais, les atteintes ophtalmologiques et cardiaques sont plus courantes que chez les autres populations[8].
La sarcoïdose est l’une des rares maladies pulmonaires dont la prévalence est plus élevée chez les non-fumeurs[12].
Cas notables
La personnalité de la télévision américaine et actrice Karen Duffy est l'auteur du livre Model Patient: My Life As an Incurable Wise-Ass sur ses expériences avec la neurosarcoïdose[13].
Références
- 1 2 3 4 5 6 7 8 9 10 11 12 13 14 15 16 17 18 « Sarcoidosis of the nervous system », Practical Neurology, vol. 7, no 4, , p. 234–44 (PMID 17636138, DOI 10.1136/jnnp.2007.124263, S2CID 9658767)
- ↑ Colover J, « Sarcoidosis with involvement of the nervous system », Brain, vol. 71, no Pt. 4, , p. 451–75 (PMID 18124739, DOI 10.1093/brain/71.4.451)
- ↑ Burns TM, « Neurosarcoidosis », Archives of Neurology, vol. 60, no 8, , p. 1166–8 (PMID 12925378, DOI 10.1001/archneur.60.8.1166)
- ↑ Sarcoidosis, UK, European Respiratory Society, , 164–187 p. (ISBN 1-90409-737-5), « Neurosarcoidosis »
- ↑ Li, Pabst, Kubisch et Grohé, « First independent replication study confirms the strong genetic association of ANXA11 with sarcoidosis », Thorax, vol. 65, no 10, , p. 939–940 (PMID 20805159, DOI 10.1136/thx.2010.138743)
- ↑ Hofmann, Franke, Fischer et Jacobs, « Genome-wide association study identifies ANXA11 as a new susceptibility locus for sarcoidosis », Nature Genetics, vol. 40, no 9, , p. 1103–1106 (PMID 19165924, DOI 10.1038/ng.198, S2CID 205344714)
- ↑ M. B. Fasano, K. E. Sullivan, S. B. Sarpong, R. A. Wood, S. M. Jones, C. J. Johns, H. M. Lederman, M. J. Bykowsky, J. M. Greene et J. A. Winkelstein, « Sarcoidosis and common variable immunodeficiency. Report of 8 cases and review of the literature », Medicine, vol. 75, no 5, , p. 251–261 (PMID 8862347, DOI 10.1097/00005792-199609000-00002
) - 1 2 « Sarcoidosis », Orphanet J Rare Dis, vol. 2, , p. 46 (PMID 18021432, PMCID 2169207, DOI 10.1186/1750-1172-2-46)
- 1 2 « Sarcoid heart disease », Can J Cardiol, vol. 20, no 1, , p. 89–93 (PMID 14968147)
- ↑ Henke, Henke, Elveback et Beard, « The epidemiology of sarcoidosis in Rochester, Minnesota: a population-based study of incidence and survival », Am J Epidemiol, vol. 123, no 5, , p. 840–5 (PMID 3962966, DOI 10.1093/oxfordjournals.aje.a114313)
- ↑ « Statement on sarcoidosis. Joint Statement of the American Thoracic Society (ATS), the European Respiratory Society (ERS) and the World Association of Sarcoidosis and Other Granulomatous Disorders (WASOG) adopted by the ATS Board of Directors and by the ERS Executive Committee, February 1999 », American Journal of Respiratory and Critical Care Medicine, vol. 160, no 2, , p. 736–755 (PMID 10430755, DOI 10.1164/ajrccm.160.2.ats4-99, S2CID 251816742)
- ↑ Warren, « Extrinsic allergic alveolitis: a disease commoner in non-smokers », Thorax, vol. 32, no 5, , p. 567–569 (PMID 594937, PMCID 470791, DOI 10.1136/thx.32.5.567)
- ↑ Duffy, Karen Grover, Model Patient : My Life As an Incurable Wise-Ass, New York, NY, Perennial, (ISBN 978-0060957278)
Liens externes
- Ressources relatives à la santé :
- Portail de la médecine