Maladie trophoblastique gestationnelle
_complete_type.jpg)
La maladie trophoblastique gestationnelle est une pathologie tumorale du tissu placentaire, principalement liée à la grossesse, et qui se présente sous deux formes : la môle hydatiforme (partielle ou complète) et la néoplasie trophoblastique gestationnelle[1].
.jpg)
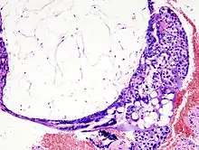
Môle hydatiforme
La môle hydatiforme (grossesse môlaire) est le type le plus courant de maladie trophoblastique gestationnelle. Elle est généralement non cancéreuse, et composée de villosités choriales détériorées et remplies de liquide.
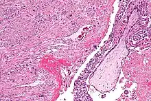
Môle hydatiforme complète
La môle hydatiforme complète survient lorsque l’ADN de la mère disparaît complètement après la fécondation et qu’il y a doublement de l’ADN du père. En l'absence d'ADN maternel, le fœtus ne se forme pas et un tissu ressemblant à une grappe de raisin se développe.
Un fœtus normal peut se développer à côté d’une môle hydatiforme.
Môle hydatiforme partielle
La môle hydatiforme partielle apparaît habituellement quand un ovule est fécondé par deux spermatozoïdes. La tumeur qui en résulte est un mélange de tissu fœtal et de tissu trophoblastique anormal. S’il y a un fœtus, celui-ci est anormal.
Néoplasie trophoblastique gestationnelle
Les néoplasies trophoblastiques gestationnelles peuvent être liée à la môle hydatiforme. Il en existe quatre types. Leur cause est inconnue. Le diagnostic repose sur le dosage sérique de l'hCG totale, recommandé dans les suites d'une môle hydatiforme, devant toute métrorragie persistant plus de six semaines après une grossesse, et chez toute patiente en âge de procréer ayant des métastases sans tumeur primitive connue.

Môle invasive
La môle invasive est une môle hydatiforme qui envahit la paroi musculaire de l’utérus. Elle survient chez moins d’une femme sur cinq à qui on a enlevé une môle hydatiforme complète. Cette forme est cancéreuse, mais elle reste généralement confinée à l’utérus. La môle hydatiforme complète risque davantage de devenir invasive que la môle hydatiforme partielle. La môle invasive peut causer d’importants saignements si elle traverse la paroi musculaire de l’utérus.
Choriocarcinome gestationnel
Généralement formé à partir d’une môle hydatiforme, le choriocarcinome gestationnel se manifeste parfois après un avortement (spontané ou volontaire) ou une grossesse (ectopique ou normale). C'est une tumeur agressive qui peut croître et se propager facilement[2].
Plus rarement, un choriocarcinome peut apparaître spontanément dans un ovaire (chez les femmes), dans un testicule (chez les hommes) ou dans l’abdomen. Il s'agit dans ce cas d'un choriocarcinome non gestationnel.
C'est la forme la plus fréquente de néoplasies trophoblastiques gestationnelles. L'incidence rapportée est estimée à 1/33 000 naissances et 1/41 000 grossesses (Pays-Bas et États-Unis). La pathologie semble plus fréquente dans la population asiatique. Cette pathologie est à distinguer des choriocarcinomes non gestationnels qui sont le plus souvent ovariens[2].
Tumeur trophoblastique du site placentaire
La tumeur trophoblastique du site placentaire est une forme très rare de maladie trophoblastique gestationnelle, prenant naissance dans des cellules spécialisées du placenta. Elle survient généralement après une grossesse normale, mais peut apparaître après un avortement (spontané ou non), ou après le retrait d’une môle hydatiforme. Elle ne se propage généralement pas, mais peut envahir la paroi utérine.
L'incidence aux Pays-Bas est d'environ 1/100 000[2].
Tumeur trophoblastique épithélioïde
La tumeur trophoblastique épithélioïde est extrêmement rare qui se développe le plus souvent à bas bruit après une grossesse normale. On la trouve parfois dans le col de l’utérus. Diagnostiquée tardivement en raison de la discrétion des symptômes, elle peut métastaser.
L'incidence rapportée aux Pays-Bas est d'environ 1/1 000 000[2].
Symptômes, diagnostic et traitement
Môles hydatiformes
Môle complète
Il n’y a pas d’embryon identifiable. Le placenta a un aspect en "grappe de raisin".
Môle partielle
Un embryon anormal se développe sans pouvoir survivre. Les soupçons apparaissent habituellement au premier trimestre de la grossesse suite à des saignements inexpliqués (échographie et dosage de l’hormone de grossesse hCG)[3] .
Le traitement des môles consiste à leur évacuation de l’utérus par aspiration. Il existe un risque d’évacuation incomplète et, dans ce cas, un risque d'évolution tumorale et de métastase.
10 à 20 % des môles hydatiformes complètes 0,5% des môles hydatiformes partielles évoluent vers une tumeur trophoblastique gestationnelle. Une surveillance biologique est justifiée par leur potentiel évolutif .
Les môles hydatiformes avec une évolution favorable des hCG après aspiration curetage ne nécessitent aucun traitement.
Tumeurs trophoblastiques gestationnelles
Les symptômes sont l’absence de normalisation des taux d’hCG après évacuation d’une môle, des métrorragies persistantes inexpliquées à distance d’un avortement (spontané ou non). Le diagnostic est confirmé par échographie pelvienne et dosage d’hCG.
Plus rarement, le diagnostic est suspecté devant des métrorragies inexpliquées dans les semaines ou dans les mois suivant un accouchement normal ou une grossesse ectopique.
Exceptionnellement, le diagnostic peut être suspecté devant des manifestations thoraciques par la découverte de métastases pulmonaires.
Tout diagnostic de tumeur trophoblastique gestationnelle déclenche un bilan d’imagerie complet afin de déterminer l’extension de la maladie. Ce bilan d’extension détermine le traitement approprié. Les môles invasives et les choriocarcinomes sont traités par mono ou polychimiothérapie. Une hystérectomie peut être proposée en cas de bilan d’imagerie négatif, si la patiente n'a plus de projet de grossesse. Les tumeurs trophoblastiques du site d’implantation et les tumeurs trophoblastiques épithélioïdes sont très rares et peu chimiosensibles. Le traitement de référence est chirurgical, même chez les patientes jeunes, traitement associé à une chimiothérapie en présence de métastases). Le diagnostic anatomopathologique doit donc au préalable être confirmé par 2 experts pathologistes.
Références
- ↑ « Types de maladie trophoblastique gestationnelle », sur Société canadienne du cancer (consulté le )
- 1 2 3 4 « Orphanet: Tumeur trophoblastique gestationnelle », sur www.orpha.net (consulté le )
- ↑ « Maladies trophoblastiques gestationnelles | Fiche santé HCL », sur www.chu-lyon.fr (consulté le )
- Portail de la médecine