Môle hydatiforme

Môle hydatiforme
Description de cette image, également commentée ci-après
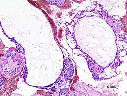
Image histologique d'une môle hydatiforme dans sa forme complète. Coloration H & E.
Traitement
Médicament Actinomycine D
Spécialité Pathologie
Classification et ressources externes
CIM-10 O01, D39.2
CIM-9 630
ICD-O M9100/0
OMIM 231090
DiseasesDB 6097
MedlinePlus 000909
eMedicine 254657
med/866
MeSH D006828

Wikipédia ne donne pas de conseils médicaux Mise en garde médicale

Une môle hydatiforme (ou grossesse môlaire) est une forme rare de grosseur anormale, définie par la dégénérescence kystique des villosités choriales associée à une prolifération pseudo-tumorale du trophoblaste. Il n'y a pas de développement possible d'un embryon dans les môles hydatiformes complètes. Il arrive qu'un embryon anormal se développe sans pouvoir survivre, dans les môles hydatiformes partielles.

Le risque potentiellement grave d'une môle hydatiforme est l'évolution secondaire, après interruption de la grossesse, en une forme rare de cancer du placenta appelée tumeur trophoblastique gestationnelle dont il existe 4 formes histologiques (môle invasive, choriocarcinome gestationnel, tumeur trophoblastique du site d’implantation, tumeur trophoblastique épithélioïde), dont le pronostic est lié notamment à la rapidité du diagnostic.

Épidémiologie

Cette maladie concerne une à trois grossesses pour 1 000. Le risque de dégénérescence cancéreuse atteint 10 %[1]. Ce risque est proche de 10 - 15 % pour les môles complètes et de 0,5 à 1 % pour les môles partielles[2]. La môle est plus fréquente chez la femme de moins de 15 ans ou de plus de 45 ans[3]. Elle semble plus fréquente en Asie du Sud-Est (1/200 grossesses)[réf. souhaitée].

Cause

La cause est encore imprécise, mais les études cytogénétiques des môles hydatiformes complètes permettent de penser qu'elles seraient issues du développement d'un ovocyte « vide », à savoir sans génome maternel (seul le génome mitochondrial maternel persisterait dans cet ovocyte) fécondé par un spermatozoïde secondairement dupliqué ou, moins souvent, fécondé par 2 spermatozoïdes (fécondation dispermique). Il existe quelques formes familiales ; dans ces cas, une mutation sur le gène NLRP7 ou sur le gène C6orf221 a pu être identifiée[4],[5].

Signes cliniques

On suspecte une môle devant les signes suivants :

  • signes sympathiques de grossesse exacerbés : nausées et vomissements intenses, tension mammaire douloureuse excessive ;
  • saignements utérins (métrorragies) plus ou moins abondants, signe le plus fréquent ;
  • douleurs abdominales.
  • augmentation du volume utérin plus importante qu'attendue.

La maladie peut être totalement asymptomatique dans plus d'un tiers des cas. Elle est découverte alors lors d'une échographie systématique[6].

Au toucher vaginal, l'utérus apparaît plus gros que ne le prévoit le terme théorique de la grossesse, les ovaires peuvent être augmentés de volume (présence de kystes nombreux, parfois rompus).

Examens complémentaires

Biologie

Le dosage des hCG dans une môle complète montre un taux habituellement très élevé, bien plus que ne prévoit le terme théorique. Dans une môle partielle, le taux d'hCG reste souvent dans les normes pour l'âge gestationnel.

Imagerie

À l'échographie, dans une môle complète, l'utérus est plus gros qu'attendu pour l'âge gestationnel et son contenu ne montre pas de sac gestationnel ni d'embryon, mais une image en grappe de raisin ou en nid d'abeilles, correspondant à des plages lacunaires anéchogènes multiples au sein d'un trophoblaste occupant toute la cavité utérine[7]. Dans une môle partielle, le trophoblaste est habituellement focalement lacunaire, souvent associé à un sac gestationnel, voire à un embryon. Si la môle partielle était découverte tardivement, l'embryon aurait un syndrome polymalformatif (oreilles bas implantées, syndactylies…).

Anatomie pathologique

Un certain nombre de diagnostics de môles sont faits par l'examen anatomopathologique des résidus d'une fausse-couche[8]. Macroscopiquement, on observe dans les môles complètes une masse hémorragique constituée de multiples vésicules à paroi fine et au contenu liquidien « en grappe de raisin ». Histologiquement, c'est une prolifération de villosités hydropiques, kystiques, avasculaires. On constate surtout une hyperplasie trophoblastique diffuse[9]. Dans les môles partielle, l'hyperplasie trophoblastique est moins marquée et des villosités normales cohabitent avec des villosités hydropiques[10].

Complications

Les môles hydatiformes guérissent dans la plupart des cas après simple évacuation du contenu utérin par aspiration. Le risque de rétention de matériel trophoblastique dans l'utérus est cependant plus important qu'après aspiration d'une fausse-couche habituelle non môlaire. Une deuxième aspiration peut donc être nécessaire si une échographie réalisée dans les semaines suivant l'aspiration initiale montre une rétention (définie par une épaisseur antéro-postérieure de l'image intra-utérine de plus de 17 mm).

Le risque principal des môles hydatiformes est que se développe, dans les semaines ou mois qui suivent, une tumeur trophoblastique gestationnelle qui peut être une môle invasive, un choriocarcinome gestationnel, une tumeur trophoblastique du site d'implantation ou une tumeur trophoblastique épithélioïde. Ce risque est de l'ordre de 15 % après une môle complète et de l'ordre de 0,5 à 3 % après une môle partielle. Ce type de tumeurs peut également survenir après n'importe quelle grossesse et notamment après une fausse-couche spontanée banale, après une grossesse extra-utérine ou après un accouchement normal.

Traitement

Des recommandations ont été publiées par la société internationale de gynécologie-obstétrique en 2002 concernant la prise en charge des grossesses molaires compliquées d'une transformation cancéreuse[11]. Elles ne prennent naturellement pas en compte les données les plus récentes.

Le traitement repose sur une aspiration du contenu utérin sous anesthésie générale, associé à un geste de curetage. Le taux sérique des hCG doit être contrôlé (généralement sur un rythme hebdomadaire) jusqu'à l'absence de détection, puis encore mensuellement pendant 6 mois pour une môle complète alors que la surveillance peut être arrêtée dès normalisation des hCG pour une môle partielle[12]. Une abstinence ou une contraception efficace est recommandée afin de prévenir l'interférence d'une nouvelle grossesse avec le développement d'une tumeur trophoblastique gestationnelle.

Une évolution vers une tumeur trophoblastique gestationnelle doit être suspectée en cas d'évolution anormale des hCG après évacuation de la môle. Les critères de diagnostic de tumeur post-môlaire comprennent la ré-ascension des hCG sur au moins trois dosages hebdomadaires consécutifs (sur au moins deux semaines), la stagnation des hCG sur au moins quatre dosages hebdomadaires consécutifs (sur au moins trois semaines). La persistance d'un taux positif d'hCG à six mois de distance est un critère diagnostique de tumeur admis par la FIGO et remis en cause récemment[13]. Une tumeur nécessite un traitement par chimiothérapie le plus souvent. Il existe également des cas de fausses élévations d'hCG secondaires à une interférence avec des anticorps acquis[14]. Le dosage de l'hCG dans sa forme hyperglycosylée pourrait être un meilleur marqueur de la transformation tumorale[15]. Son augmentation dans le temps pourrait ainsi faire porter l'indication à une chimiothérapie[16]. La récidive d'une grossesse môlaire est rare (inférieure à 1 %). Une nouvelle conception est donc tout à fait possible.

Notes et références

  1. (en) Sebire NJ, Seckl MJ., « Gestational trophoblastic disease: current management of hydatidiform mole », BMJ, no 337, , a1193 (résumé)
  2. (en) Golfier F, Raudrant D, Frappart L, Mathian B, Guastalla JP, Trillet-Lenoir V, Vaudoyer F, Hajri T, Schott AM., « First epidemiological data from the French Trophoblastic Disease Reference Center », Am J Obstet Gynecol. , vol. 196, no 2, , p. 172.e1-5. (PMID 17306669)
  3. (en) Sebire NJ, Foskett M, Fisher RA, Rees H, Seckl M, Newlands E., « Risk of partial and complete hydatidiform molar pregnancy in relation to maternal age », Br J Obstet Gynaecol., no 109, , p. 99-102 (résumé)
  4. (en) Murdoch S, Djuric U, Mazhar B. et al., « Mutations in NALP7 cause recurrent hydatidiform moles and reproductive wastage in humans », Nat Genet., no 38, , p. 300-302 (lire en ligne)
  5. (en) Parry DA, Logan CV, Hayward BE. et al., « Mutations causing familial biparental hydatidiform mole implicate c6orf221 as a possible regulator of genomic imprinting in the human oocyte », Am J Hum Genet. , no 89, , p. 451-8
  6. Gemer O, Segal S, Kopmar A, Sassoon E., « The current clinical presentation of complete molar pregnancy », Arch Gynecol Obstet., no 264, , p. 33-4 (lire en ligne)
  7. Kani KK, Lee JH, Dighe M, Moshiri M, Kolokythas O, Dubinsky T, Gestatational trophoblastic disease: multimodality imaging assessment with special emphasis on spectrum of abnormalities and value of imaging in staging and management of disease, Curr Probl Diagn Radiol, 2012;41:1-10
  8. (en) Fowler DJ, Lindsay I, Seckl MJ, Sebire NJ., « Routine pre-evacuation ultrasound diagnosis of hydatidiform mole: experience of >1 000 cases from a regional referral centre », Ultrasound Obstet Gynecol., no 27, , p. 56-60 (résumé)
  9. Patrier S, Pathology of the placenta. Case 1. Early complete hydatidiform mole, Ann Pathol, 2010;30:275-9
  10. Patrier S, Pathology of the placenta. Case 5. Partial hydatidiform mole, Ann Pathol, 2010;30:296-300.
  11. (en) FIGO Oncology Committee, « FIGO staging for gestational trophoblastic neoplasia 2000 » Int J Gynaecol Obstet. 2002;77:285-287
  12. Schmitt C, Doret M, Massardier J, Hajri T, Schott AM, Raudrant D, Golfier F, Risk of gestational trophoblastic neoplasia after hCG normalisation according to hydatidiform mole type, Gynecol Oncol, 2013;130:86-89
  13. Agarwal R, Teoh S, Short D, Harvey R, Savage PM, Seckl MJ. Chemotherapy and human chorionic gonadotropin concentrations 6 months after uterine evacuation of molar pregnancy: a retrospective cohort study, Lancet, 2012;379:130-5
  14. (en) Butler SA, Cole LA. « Falsely elevated human chorionic gonadotropin leading to unnecessary therapy » Obstet Gynecol. 2002;99:516-517 PMID 11864687
  15. (en) Cole LA, Dai D, Butler SA, Leslie KK, Kohorn EI, « Gestational trophoblastic diseases: 1. pathophysiology of hyperglycosylated hCG » Gynecol Oncol. 2006;102:145-150
  16. (en) Cole LA, Muller CY. « Hyperglycosylated hCG in the management of quiescent and chemorefractory gestational trophoblastic diseases » Gynecol Oncol. 2010;116:3-9

Liens externes

  • icône décorative Portail de la médecine
Cet article est issu de Wikipedia. Le texte est sous licence Creative Commons – Attribution – Partage à l’identique. Des conditions supplémentaires peuvent s’appliquer aux fichiers multimédias.