Kyste épidermique

Kyste épidermique
Description de cette image, également commentée ci-après
Kyste épidermique de la nuque inflammé
Traitement
Spécialité Dermatologie
Classification et ressources externes
CIM-10 L72.0
CIM-9 706.2
OMIM 131600
DiseasesDB 29388
eMedicine 1061582
MeSH D004814

Wikipédia ne donne pas de conseils médicaux Mise en garde médicale

Incidence relative des kystes cutanés. Les kystes épidermiques constituent la majorité (zone bleue).

Un kyste épidermique ou kyste à inclusions infundibulaire est un kyste bénin que l’on retrouve sur la peau. Le kyste se développe à partir du follicule pileux. Histologiquement, il est constitué d'une fine couche d'épithélium malpighien.

Signes et symptômes

Le kyste épidermique peut ne présenter aucun symptôme ou être douloureux au toucher. Il peut libérer de la kératine macérée. Contrairement aux kystes pilaires, les kystes épidermiques sont généralement présents sur des parties du corps relativement peu poilues[1]. Certains kystes vulvaires, du scrotum ou de l'aréole mammaire sont des kystes épidermiques[2].

Bien qu'elles ne soient pas malignes, il existe de rares cas de tumeurs malignes résultant d'un kyste épidermique[3]. Les kystes épidermiques représentent environ 85 à 95 % de tous les kystes cutané et la transformation maligne est extrêmement rare. L'incidence du carcinome épidermoïde se développant à partir d'un kyste épidermique a été estimée entre 0,011 et 0,045 %[4].

Diagnostic

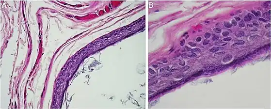
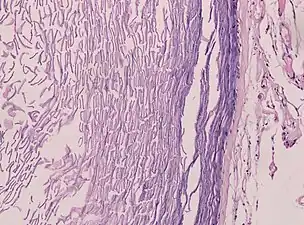
Les kystes épidermiques sont généralement diagnostiqués lorsqu'une personne remarque une bosse sur la peau et consulte un médecin. Le diagnostic définitif est posé après exérèse, par un médecin pathologiste sur la base de l'aspect microscopique d'une lésion kystique bordée d'un épithélium malpighien contenant de la kératine lamellaire[5]. Ils peuvent également être observés sous forme de lésions isointenses en IRM ou d'hyperintensités en FLAIR.

Traitement

Le traitement repose sur l'exérèse chirurgicale de la lésion, sous anesthésie locale. Si le kyste est entièrement retiré, la lésion ne récidive pas. Plusieurs techniques chirurgicales existent, comme l'exérèse traditionnelle large, l'exérèse micro invasive ou même l'excision par punch biopsie[6],[7].

Un kyste infecté peut nécessiter des antibiotiques avant ou après l'exérèse. Si du pus s'est déjà formé, une incision et un drainage peuvent être pratiqués.

Terminologie

Plusieurs synonymes existent pour les kystes épidermiques, notamment le kyste épidermoïdes, le kyste folliculaire (ou infundibulaire en anglais) et le kyste d'inclusion épidermique[8],[9],[10] Le terme « kyste épidermoïde » est déconseillé en raison de la confusion possible avec les carcinomes épidermoïdes. Le terme « kyste d'inclusion épidermique » fait plus spécifiquement référence à l'implantation d'éléments épidermiques dans le derme. Les termes « folliculaire » ou « infundibulaire » font référence au site d'origine du kyste : la partie infundibulaire du follicule pileux. La majorité des kystes épidermiques proviennent de la partie infundibulaire du follicule pileux, expliquant ainsi l'usage interchangeable[11], mais imprécis, de ces deux termes. Puisque ce kyste ne dérive pas de l'épithélium il serait conseillé de l'appeler plutôt « kyste de type épidermique »[5].

Le kyste épidermique tout comme le kyste trichilemmal est parfois appelé kyste sébacé[12], bien que techniquement parlant, il ne soit pas sébacé[13]. Les vrais kystes sébacés, c'est-à-dire les kystes qui proviennent des glandes sébacées et qui contiennent du sébum, sont relativement rares et sont connus sous le nom de sébocystomes. Les professionnels de la santé ont suggéré d’éviter le terme « kyste sébacé » car il peut être trompeur[14]. Dans la pratique, cependant, le terme est encore souvent utilisé pour désigner les kystes épidermique et pilaires.

Images supplémentaires

Références

  1. « cysts - British Association of Dermatologists » [archive du ] (consulté le )
  2. Vaginal Surgery for Incontinence and Prolapse, Springer Science & Business Media, (ISBN 1-85233-912-8, lire en ligne), p. 271
  3. « Squamous cell carcinoma arising in an epidermoid cyst », British Journal of Hospital Medicine, vol. 68, no 8, , p. 446 (PMID 17847698, DOI 10.12968/hmed.2007.68.8.24499)
  4. (en) Frank, Macias, Hondorp et Kerstetter, « Incidental Squamous Cell Carcinoma in an Epidermal Inclusion Cyst: A Case Report and Review of the Literature », Case Reports in Dermatology, vol. 10, no 1, , p. 61–68 (ISSN 1662-6567, PMID 29681810, PMCID 5903124, DOI 10.1159/000487794)
  5. 1 2 Janine Wechsler, Christiane Bailly, Sylvie Fraitag et Isabelle Moulonguet, Pathologie cutanée tumorale, Sauramps médical, (ISBN 979-10-303-0058-1)
  6. R. Brian Moore, E. Blake Fagan, Stephen Hulkower et Deborah C. Skolnik, « Clinical inquiries. What's the best treatment for sebaceous cysts? », The Journal of Family Practice, vol. 56, no 4, , p. 315–316 (ISSN 1533-7294, PMID 17403333, lire en ligne, consulté le )
  7. B. Klin et H. Ashkenazi, « Sebaceous cyst excision with minimal surgery », American Family Physician, vol. 41, no 6, , p. 1746–1748 (ISSN 0002-838X, PMID 2349906, lire en ligne, consulté le )
  8. Melton, « Epidermoid cyst », www.meddean.luc.edu
  9. Freedberg, et al. (2003). Fitzpatrick's Dermatology in General Medicine. (6th ed.). McGraw-Hill. (ISBN 0-07-138076-0).
  10. James, William; Berger, Timothy; Elston, Dirk (2005). Andrews' Diseases of the Skin: Clinical Dermatology. (10th ed.). Saunders. (ISBN 0-7216-2921-0).
  11. « Epidermoid cyst » (consulté le )
  12. « Epidermoid and pilar cysts (previously known as sebaceous cysts) » [archive du ], British Association of Dermatologists (consulté le )
  13. « Epidermoid and Pilar Cysts (Sebaceous Cysts) - Patient UK » [archive du ] (consulté le )
  14. Oral & maxillofacial pathology, Philadelphia, 2nd, (ISBN 978-0-7216-9003-2)
  • icône décorative Portail de la médecine
Cet article est issu de Wikipedia. Le texte est sous licence Creative Commons – Attribution – Partage à l’identique. Des conditions supplémentaires peuvent s’appliquer aux fichiers multimédias.