Épiderme (anatomie)

| Système | |
|---|---|
| Comprend |
Stratum basale (en), Stratum spinosum, Stratum granulosum, Stratum corneum, stratum lucidum |
| Nom latin |
Epidermis |
|---|---|
| MeSH |
D004817 |
| TA98 |
A16.0.00.009 |
| TA2 |
7046 |
| FMA |
70596 |
En anatomie, l’épiderme (étymologiquement formé en grec des mots epi, sur et derma, peau) est la couche superficielle de la peau dont la surface est formée de cellules mortes kératinisées qui desquament. Son épaisseur est variable selon les endroits du corps (1mm d'épaisseur pour les paumes des mains). Il est formé d'un tissu épithélial stratifié, kératinisé, pavimenteux, squameux et non vascularisé qui recouvre le derme (conjonctive recouvrant l'hypoderme, tissu profond de la peau). Les kératinocytes sont le principal type cellulaire représenté dans ce tissu, cellules extrêmement dynamiques qui subissent une prolifération et une différenciation permanentes au terme desquelles elles se transforment en cellules mortes (cornéocytes), s'éliminant régulièrement par desquamation. L’origine embryologique de l’épiderme est dans l’ectoderme, feuillet externe de l’embryon.
Structure
Simple couche de cellules unistratifiée chez les Invertébrés, l'épiderme devient plus complexe chez les Vertébrés. Chez ces derniers, l’épiderme n’est irrigué par aucun vaisseau sanguin. Les cellules qui le composent sont alimentées par diffusion depuis le derme. Il contient par contre de nombreuses terminaisons nerveuses.
L’épaisseur de l’épiderme est faible, de l’ordre du millimètre, voire moins. Elle varie selon les groupes considérés et selon les parties du corps. Par exemple, chez l'humain, elle est plus épaisse sur la paume des mains et la plante des pieds (du fait de l’épaississement de la couche cornée). Son épaisseur moyenne est de l'ordre du dixième de millimètre, séparé du derme par la membrane basale.
Chez les animaux
Les cellules épidermiques sont vivantes dans toute l'épaisseur de l'épiderme, qui ne comprend que de 5 à 9 couches de cellules. L'épiderme contient de nombreuses cellules productrices de mucus. Cet épiderme, perméable, permet de nombreux échanges entre le milieu intérieur et le milieu extérieur, notamment grâce au phénomène d'osmose[1].
Les cellules épidermiques les plus superficielles produisent et s'emplissent d'une grande quantité de protéines, les kératines. Dans le même temps, les composants cellulaires subissent une hydrolyse enzymatique, conduisant à la mort de ces cellules. Ces cellules mortes constituent une couche cornée (stratum corneum) qui limite les pertes d'eau par évaporation. Chez les Amphibiens adultes, la couche cornée se limite à une seule couche de cellules, ce qui rend peu efficace la rétention d'eau, mais permet par contre la respiration cutanée. Cette couche cornée est plus épaisse chez les Amniotes grâce à un nombre plus important de couches de cellules mortes, ce qui augmente l'efficacité de la rétention d'eau[1].
Chez les humains

Les kératinocytes représentent 80 % de la population cellulaire épidermique. Les 20 % d’autres cellules de l’épiderme, dispersées entre les kératinocytes, sont les mélanocytes, les cellules immunocompétentes (cellules de Langerhans et, dans les peaux épaisses, les lymphocytes γδ) et les cellules de Merkel[2].
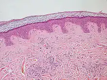
Chez l'humain, l’épiderme est composé de cinq couches cellulaires, ou strates, superposées, qui sont, en partant de l’extérieur :
- la couche cornée, stratum corneum : couche constituée de cellules très épaisses, les cornéocytes, cellules qui ne possèdent pas de noyau et sont remplies de kératine. ces cellules sont jointives sauf sur la partie superficielle, où elles se tassent ;
- la couche claire, stratum lucidum : couche qui n'existe qu'au niveau de la paume de la main et la plante du pied, les cellules y sont jointives et claires car leur noyau disparaît, remplacé par une vacuole. Dans ces cellules, la profilaggrine ou kératohyaline se transforme en filaggrine ;
- la couche granuleuse, stratum granulosum : couche la plus foncée, contenant trois ou quatre assises de cellules. Ces cellules contiennent des grains de kératohyaline (ou profilaggrine) ;
- la couche de Malpighi ou couche épineuse, stratum spinosum : contient des kératinocytes (cellules produisant de la kératine qui donne à la peau sa dureté ; dans cette couche, les cellules contiennent des tonofilaments, précurseurs de la kératine) ; des mélanocytes (cellules produisant de la mélanine responsable de la pigmentation cutanée); des terminaisons nerveuses(sensation du toucher) et des cellules de Langerhans (macrophages qui phagocytent les impuretés et sont impliqués dans les dermatites de contact et les phénomènes inflammatoires) ;
- la couche basale, stratum germinativum ; où les kératinocytes forment une seule assise de cellules, tenues entre elles par des desmosomes ; c'est dans cette couche dite aussi couche germinative, que les cellules se divisent, l'une des deux (cellule souche) reste dans la couche basale tandis que l'autre migrera dans les couches supra-basales. Comme pour tout épithélium, la couche basale repose sur une lame basale où s'ancrent des fibres de réticuline sur le versant chorionique.
La transformation cellulaire se déroule en trois ou quatre semaines (21 à 28 jours).
L’épiderme est recouvert d'un film hydrolipidique — le sébum, produit des glandes sébacées du derme — qui le protège des agressions extérieures.
Renouvellement
Les cellules les plus superficielles du stratum corneum sont régulièrement éliminées et remplacées par les cellules nouvellement créées provenant des couches sous-jacentes (chez l'homme, environ 10 % des cellules sont ainsi renouvelées chaque jour).
Cette élimination peut être :
- régulière comme chez les cyclostomes, poissons, chéloniens, crocodiliens (par usure superficielle) ou chez les oiseaux et mammifères (desquamation de petites plaques de cellules mortes) ;
- périodique comme chez les Amphibiens et les lépidosauriens soit par lambeaux (amphibiens, sphénodontiens, lézards, iguanes…), soit en une seule pièce (serpents)[1].
Illustrations
- Épiderme et derme humains (coupe)
Peau humaine
Tomographie par cohérence optique (peau du bout d'un doigt et empreinte digitale)
Notes et références
Voir aussi
Articles connexes
- Derme
- DSG1
- DSG3
- Hypoderme
- Peau
- Dermatologie
- Tégument
- Muqueuse
- Glande sudoripare
- Maladies de peau
- Microdermabrasion (Traitement)
Liens externes
- Ressources relatives à la santé :
- Portail de la biologie
- Portail de la médecine
- Portail de l’anatomie