Invagination intestinale
| Symptômes | Douleur abdominale et vomissement |
|---|
| Traitement | Douche vaginale ou anale |
|---|---|
| Spécialité | Gastro-entérologie, pédiatrie et chirurgie générale et digestive |
| CIM-10 | K38.8, K56.1 |
|---|---|
| CIM-9 | 543.9, 560.0 |
| OMIM | 147710 |
| DiseasesDB | 6913 |
| MedlinePlus | 000958 |
| eMedicine | 930708 |
| MeSH | D007443 |
Mise en garde médicale
Une invagination intestinale (ou intussusception intestinale) est l'incorporation d'un segment d'intestin dans la portion intestinale située plus en aval (à la manière du repliement d'une longue-vue télescopique). Cela conduit à une occlusion intestinale avec douleurs, vomissements, arrêt du transit et éventuellement péritonite. L'invagination intestinale aiguë représente une urgence médico-chirurgicale.
Elle représente une des causes les plus fréquentes d'occlusion intestinale chez le nourrisson et le jeune enfant. Elle s'observe essentiellement au cours de la première année de la vie mais également chez l'adulte. Elle est saisonnière car plus fréquente en automne et au printemps.
Physiopathologie

La pénétration de l'intestin dans l'intestin se fait dans le sens descendant (d'amont en aval). Il en résulte des cylindres moyen et interne correspondant au segment interne invaginé et formant la tête du boudin d'invagination ; un cylindre externe (gaine) dans lequel se fait l'invagination délimitant un collet dans lequel pénètre le mésentère contenant les éléments vasculaires et nerveux. L'ensemble constitue le boudin d'invagination.
- Invagination intestinale aiguë par retournement : « en doigt de gant ». La tête est fixe et le collet peu serré. Elle est en général réductible par un lavement.
- Invagination intestinale aiguë par prolapsus. Le collet est fixe, serré. Elle compromet la vitalité des anses. Elle est irréductible et nécessite, par conséquent, une intervention chirurgicale.
- Invagination intestinale aiguë mixtes ou complexe.
La vaccination contre le rotavirus favorise la survenue de cette atteinte pour une raison peu claire. Cela est vrai essentiellement pour les versions anciennes du vaccin[1] qui ont été retirés du marché pour cette raison. Une nouvelle version du vaccin a été sortie avec un risque toujours présent mais moindre[2],[3].
Diagnostic différentiel
- Le diverticule de Meckel,
- Tumeurs du grêle. Il peut s’agir d’angiomes, sarcome. Le lavement baryté objective une invagination intestinale aiguë irréductible.
- Le purpura rhumatoïde : peut simuler une invagination intestinale aiguë. Inversement l'invagination peut venir compliquer le purpura rhumatoïde par un hématome de la paroi.
- Pancréas aberrant, ectopique,
- Plaques de Peyer,
- Polypes digestifs.
Selon la topographie
- Invagination intestinale aiguë à point de départ iléo-cæcal (90 % des cas) :
- invagination intestinale aiguë à point de départ iléal : son danger est l’extension au côlon :
- iléo-iléales par obstacle mécanique ;
- iléo-coliques ;
- iléo-cæcales ;
- invagination intestinale aiguë à point de départ colique :
- côlon droit, plus fréquentes chez le grand enfant.
Conséquences
Conséquences locales
- Il se produit une occlusion de l'intestin résultant en une distension par stagnation de liquide et accumulation de gaz.
- Le péristaltisme (mouvement de contraction musculaire de l'intestin, destiné à faire avancer le contenu d'amont en aval) est modifié par un œdème avec tuméfaction de la paroi. Au début, il y a une augmentation du péristaltisme en amont et en aval de l’obstacle :
- En amont, cela provoque une douleur colique et entraîne une progression du boudin d’invagination.
- En aval de l’obstacle il se produit une vidange du bout distal de l’intestin.
- Après quelques heures de lutte, l’épuisement musculaire entraîne une paralysie des muscles de l'intestin (iléus paralytique) : la douleur s’amende.
- L'augmentation de la pression à l'intérieur de l'intestin (hyperpression endo-luminale) et l'hyper-péristaltisme engendre un amincissement de la paroi intestinale puis des perturbations de la circulation sanguine.
- Perturbation vascularisation
- La participation vasculaire fait la gravité de ce type d’occlusion. Il se produit une compression au niveau du capillaire digestif et une stase veineuse. Le résultat est une anoxie de la paroi intestinale avec souffrance de l’anse et une modification de la perméabilité pariétale : La transsudation intra-luminale et intra-péritonéale entraîne la majoration du 3e secteur.
- Les lésions de l’anse peuvent être, par ordre de gravité, une congestion, un infarcissement, une gangrène, la perforation entraînant une péritonite.
Conséquences générales
- Déséquilibre hydroélectrolytique : déshydratation d'abord extracellulaire ensuite globale
- Déséquilibre acido-basique : les pertes sont riches en sodium, potassium et chlore avec une alcalose métabolique
- Déséquilibre hémodynamique : hypovolémie par 3e secteur, déshydratation, et réduction du retour veineux
- Retentissement ventilatoire : la distension abdominale engendre une hypoventilation alvéolaire
- État toxi-infectieux
- Réactions neurovégétatives : par compression des éléments nerveux. Elles caractérisent ce type d’occlusion digestive
Clinique
Épidémiologie
Il s'agit de la cause la plus fréquente d'occlusion intestinale chez le jeune enfant[4]. L'incindence de l’invagination du nourrisson varie suivant les pays et est estimée entre 9 et 328 cas pour 100 000[5]. Le sexe ratio est de trois garçons pour deux filles.
L’âge de survenue va de 2 mois à 2 ans, avec un pic entre 5 et 7 mois[5].
Signes fonctionnels
On note des crises douloureuses abdominales paroxystiques intenses, à type de colique qui surviennent brusquement sans raison notable alors que l'enfant était calme.
Ces douleurs se calment aussi brusquement qu'elles sont apparues et réapparaissent avec une fréquence variable dans les heures qui suivent.
Le nourrisson se plie en avant, pousse des cris et présente des accès de pâleur évocateurs.
Les vomissements alimentaires puis bilieux sont fréquents au cours des crises douloureuses. L'anorexie étant le signe clinique quasi constant de cette affection.
L'enfant refuse le biberon.
Des rectorragies signent un tournant dans l'évolution de la maladie puisqu'elles caractérisent la souffrance digestive (nécrose) et imposent une prise en charge urgente (indice de diagnostic positif et de gravité).
Signes généraux
Le nourrisson parait normal en dehors des crises, reprenant ses jeux habituels. Il n’y a pas de fièvre. Le pouls est peu accéléré. À ce stade il n’y a ni déshydratation ni de choc.
Signes physiques
- Inspection : la respiration abdominale est normale. On peut noter le prolapsus du boudin à travers l’anus mais pas d'émission de selles.
- Palpation : en dehors des crises douloureuses, l’abdomen est souple.
- Il faut vérifier la liberté orifices herniaire et rechercher le boudin d'invaginations : masse allongée, cylindrique, ou ovoïde, mobile, située dans la fosse iliaque droite (topographie variable au cours de l'examen), mal limitée; le boudin peut-être masqué par le foie.
- Le toucher rectal note la vacuité de l'ampoule rectale et sent à travers la paroi rectale la masse du boudin et parfois la tête du boudin en « museau de tanche ». Le doigtier revient souillé de sang.
- La percussion note la sonorité colique
- À l’auscultation de l’abdomen on ne retrouve pas de sonorité colique
Examens complémentaires
Biologie
Le bilan biologique est destiné à évaluer le retentissement de la pathologie, permet de guider la réanimation et à prévoir un éventuel geste chirurgical.
Imagerie
- L’abdomen sans préparation de face debout. Il note une opacité de la fosse iliaque droite cernée par l'air du colon d'aval (signe direct), présence d'un niveau hydro-aérique, la perte du granité cæcal, flou du bord inférieur du foie (signes indirects). Cet examen peut être normale dans un quart des cas[6]. Il n'est donc pas recommandé en 1re intention, l'échographie est demandée en 1re intention.
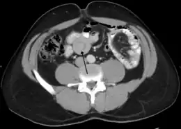
- L’échographie abdominale couplée au Doppler met en évidence le boudin d'invagination : image en cocarde (en coupe transversale) ou en sandwich (en coupe longitudinale). Associée au Doppler couleur, on note une hyperhémie artérielle et veineuse du boudin. Des lacunes hypo-échogènes sont évocatrices d'adénopathies mésentériques. Cet examen a une très bonne valeur prédictive positive[7], ce qui fait qu'il constitue l'examen de première intention en cas de suspicion[8].
- Lavement baryté ou aux hydrosolubles
Il a un but diagnostique et thérapeutique. Il a ses contre-indications : pneumopéritoine, occlusion du grêle, état de choc et rectorragie.
L’enfant réhydraté reçoit un lavement de produit de contraste (baryte ou généralement produit de contraste hydrosoluble) sous faible pression dont la progression est contrôlée par scopie.
On note un arrêt de la progression de la baryte, des images spécifiques de l'invagination :- de face : arrêt en cupule, aspect en pince de homard
- de profil : image en cocarde, incurvation en hameçon
- L’intégrité de cadre colique n'élimine pas l'invagination.
Dans 90 % des cas le lavement baryté permet la réduction de l'invagination. Les critères radiologiques de désinvagination sont la visualisation de l'intégrité de cadre colique, du bas-fond cæcal, de l’appendice et des dernières anses grêle, alors que cliniquement il y a un arrêt des crises douloureuses, l'acceptation du biberon, et la reprise du transit.
Diagnostic différentiel
- Gastro-entérite infectieuse. Elle peut simuler ou se greffer sur une gastro-entérite.
- Appendicite
- Occlusion intestinale haute
Formes cliniques
Formes symptomatiques
- Formes occlusives : l’occlusion domine le tableau. Il s’agit souvent d’invagination iléo-iléale à collet étroit
- Invagination intestinale chroniques
- S’observent jusqu'à l'âge de 16 mois.
- Les signes généraux évoluant depuis plusieurs semaines : crises paroxystiques, amaigrissement progressif. Les rectorragies sont exceptionnelles.
- Elles sont idiopathiques ou dues à des adhérences entre les diverses tuniques du boudin.
Formes selon le terrain
- Invagination intestinale aiguë anténatale avec atrésie du grêle
- Invaginations néonatales
- Peuvent donner un tableau d’occlusion néonatale, être dues à un diverticule de Meckel, une duplication digestive. Leur mortalité est de 4 %
- Malade sous chimiothérapie
- Elles sont rares. Le délai d'apparition des signes généraux 5 à 30 jours après le début du traitement. Le pronostic sombre, l’intervention tardive
- Invagination intestinale aiguë post-opératoire
Complications
- Choc hypovolémique
- Péritonite par perforation
- La douleur violente de la fosse iliaque droite se généralise secondairement à tout l’abdomen. Les vomissements sont abondants avec arrêt des matières et des gaz. Le faciès est anxieux. Le syndrome infectieux est marqué : fièvre 39-−40 °C, tachycardie
- L’examen note une contracture douloureuse, permanente, invincible généralisée
- L’abdomen sans préparation note un pneumopéritoine
- À l’échographie on note la disparition de l'hyperémie veineuse et artérielle du boudin d'invagination évocatrice de nécrose ischémique
- Récidives : les enfants ayant déjà fait une invagination intestinale peuvent récidiver dans les quelques heures qui suivent une réduction par lavement.
Traitement
Il faut réduire l'invagination dans les meilleurs délais. Dans un premier temps il est parfois nécessaire de réanimer le patient (réhydratation, correction des désordres acido-basiques, expansion volémique). Il ne faut pas négliger la prise en charge de la douleur.
Le traitement médical est entrepris en dehors des contre-indications. Les contre-indications du traitement médical sont : une perforation du tube digestif, un doute sur la vitalité des anses invaginées, un doute sur la réduction, la récidive d’une invagination intestinale aiguë réduite, une invagination intestinale aiguë chez un enfant de plus de 2 ans ou chez le nouveau-né.
En cas d'échec de la réduction par lavement, l’intervention chirurgicale avec laparotomie est indiquée.
Réduction par lavement
Elle est réalisée en milieu chirurgical sur un enfant préparé. Elle échoue à cause : du type anatomique, de causes organiques, de la nécrose intestinale. Le taux de récidive est de 10 %.
On peut l’effectuer par :
- Réduction par lavement baryté
- Réduction par insufflation d'air : Le matériel utilisé comporte un système de pompe d'insufflation couplé à un système de contrôle de la pression intra-colique. Au fur et à mesure que l'insufflation progresse, l'air s'accumule de plus en plus, refoule le boudin dans la direction anti-péristaltique. Elle permet la réduction de l'invagination dans près de trois-quarts des cas, avec un taux de perforation inférieur à 3 %[9].
- Réduction hydrostatique : L'utilisation de l'eau en lavement sous contrôle échographique a été proposée selon les mêmes techniques permettant d'obtenir des réductions.
Chirurgie
Elle peut être proposée après échec des tentatives de réduction. La voie d'abord peut être une incision transversale iliaque droite ou une laparotomie médiane à cheval sur l'ombilic. Le repérage se fait par inspection et exploration digitale du boudin; désinvagination par expression douce du boudin au travers de la gaine. Il faut procéder à l’examen soigneux de l'état de l'intestin et du mésentère : si la vitalité ne fait pas de doute ou après revitalisation avec épreuve au sérum chaud les anses intestinales seront réintégrées; si la vitalité est compromise la sanction est la résection-anastomose.
L’appendicectomie de principe se discute au cas par cas.
Notes et références
- ↑ Bines JE, Rotavirus vaccines and intussusception risk, Curr Opin Gastroenterol, 2005;21:20-5
- ↑ Patel MM, López-Collada VR, Bulhões MM et al. Intussusception risk and health benefits of rotavirus vaccination in Mexico and Brazil, N Engl J Med, 2011;364:2283-92
- ↑ Weintraub ES, Baggs J, Duffy J et al. Risk of intussusception after monovalent rotavirus vaccination, N Engl J Med, 2014;370:513-9
- ↑ Waseem M, Rosenberg HK, Intussusception, Pediatr Emerg Care, 2008;24:793-800
- 1 2 Jiang J, Jiang B, Parashar U, Nguyen T, Bines J, Patel MM, Childhood intussusception: a literature review, PLoS One, 2013;8:e68482
- ↑ (en) Hernandez JA, Swischuk LE, Angel CA, « Validity of plain films in intussusception », Emerg Radiol, no 10, , p. 323-6. (PMID 15278716, DOI 10.1007/s10140-004-0354-3, lire en ligne)
- ↑ (en) Harrington L, Connolly B, Hu X, Wesson DB, Babyn P, Schuh S, « Ultrasonographic and clinical predictors of intussusception », J Pediatr, vol. 132, no 5, , p. 836-9. (PMID 9602196, DOI 10.1016/s0022-3476(98)70314-2, lire en ligne)
- ↑ (en) Hryhorczuk AL, Strouse PJ, « Validation of US as a first-line diagnostic test for assessment of pediatric ileocolic intussusception », Pediatr Radiol, vol. 39, no 10, , p. 1075-9. (PMID 19657636, DOI 10.1007/s00247-009-1353-z, lire en ligne)
- ↑ Hannon E, Williams R, Allan R, Okye B, UK intussusception audit: a national survey of practice and audit of reduction rates, Clin Radiol, 2014;69:344-9
- Portail de la médecine