Appendicite
| Symptômes | Vomissement, anorexie, douleur abdominale et nausée |
|---|
| Traitement | Appendicectomie et antibiotique |
|---|---|
| Médicament | Méropénem |
| Spécialité | Chirurgie générale et digestive |
| CISP-2 | D88 |
|---|---|
| CIM-10 | K35 - K37 |
| CIM-9 | 540-543 |
| DiseasesDB | 885 |
| MedlinePlus | 000256 |
| eMedicine |
195778 emerg/41 ped/127 ped/2925 |
| MeSH | D001064 |
| MeSH | C06.405.205.099 |
| Patient UK | Appendicitis-pro |
Mise en garde médicale
L'appendicite est une inflammation aiguë de l’appendice iléo-cæcal. L'appendicite peut survenir à tout âge mais surtout avant 30 ans. Non traitée, elle peut être mortelle, principalement par péritonite et sepsis. L'appendicite peut être traitée médicalement ou chirurgicalement.
L'appendicite est l'urgence chirurgicale abdominale la plus fréquente. Les tableaux cliniques peuvent prendre des formes diverses, voire complexes (polymorphisme symptomatique), mais présentent, comme toute pathologie abdominale, un parallélisme anatomo-clinique. Le diagnostic de l'appendicite est confirmé par un scanner abdominal ou une simple échographie, la seule présomption clinique étant erronée dans 20 à 25 % des cas[réf. souhaitée].
Historique
L'utilisation du terme « appendicite » revient à un anatomo-pathologiste américain de Boston, Reginald Heber Fitz (1843-1913), et ce mot apparaît pour la première fois dans un article publié en 1886 : « Perforating inflammation of the vermiform appendix: with special reference to its early diagnosis and treatment ». Par contre, l'usage du terme « appendicectomie » est plus ancien puisqu'il remonte à l'année 1872.
Claudius Amyand a réalisé la première appendicectomie réussie de l’histoire en 1735. Charles McBurney, chirurgien américain, publia à la fin du XIXe siècle une série de rapports qui constituaient la base du traitement de l'appendicite[1].
Paul Georges Dieulafoy fut le premier médecin français, en à donner de l’appendicite une description détaillée : « L'appendice vermiculaire du cæcum peut participer aux lésions de la typhlite et de la pérityphlite, ou bien être le siège de lésions indépendantes… », mais il convient de préciser que, dans son Manuel de pathologie interne, Dieulafoy ne parle jamais d’appendicite, mais de « typhlite ».
Le grand public et certains auteurs dont en 1935 le bactériologiste français Charles Nicolle estimaient que l'appendicite était une maladie relativement récente : « La fièvre méditerranéenne est, sans doute, le meilleur exemple que nous puissions donner d'une maladie d'origine récente ; ce n'est pas le seul (…) il y a probablement du vrai dans l'opinion vulgaire qui fait de l'appendicite une maladie récente[2]. »
Anatomie

L'appendice est situé sur le cæcum, extrémité proximale du côlon. Il forme une excroissance d'une dizaine de centimètres de longueur (variable selon les individus) et n'a pas de rôle propre connu. Cependant, une hypothèse veut que l'appendice serait une « réserve protégée pour bactéries amies »[3]. Selon certains auteurs (William Parker, du Centre médical de l’université Duke), l'appendice serait un organe lymphoïde accessoire[4]. Ils disent aussi que l'appendice n'est pas seulement situé au cæcum.
En effet, dans 70 % des cas, on retrouvera l'appendice dans une position oblique, pelvienne. Mais chez 25 % des personnes, il est également possible de retrouver le repli en position rétro-cæcale, c'est-à-dire inséré dans la fossette rétro-cæcale. Enfin, 5 % des patients concernés possèdent l'appendice vermiforme dirigé latéralement et crânialement, dans ce que l'on appelle la gouttière pariéto-colique droite (entre le colon ascendant et la paroi abdominale antérolatérale).
Causes
Elles sont multiples et parfois encore mal comprises[5].
Trois causes principales (pouvant éventuellement s'additionner) sont citées par la littérature :
- Des causes infectieuses[6], dont principalement l'ingestion de viande rouge insuffisamment cuite : cette habitude de consommation largement répandue en Occident peut engendrer une oxyurose, c'est-à-dire la prolifération de vers intestinaux appelés oxyures, et qui se logeront naturellement dans l'appendice jusqu'à provoquer l'infection puis l'inflammation de la zone en question[7],[8]. Il est recommandé de consommer des viandes suffisamment cuites afin de réduire les risques d'une colonisation bactérienne ;
- Des causes liées à des anomalies congénitales de l'appendice ;
- Des causes directes ou secondaires à l'introduction (voire à l'accumulation) d'objet(s) ingéré(s)[9]. Ces objets sont éventuellement perforants, parfois toxiques et pas toujours radio-opaques[10].
La littérature médicale cite les cas suivant :- les objets perforants, dont :
- les munitions ou résidus de munitions toxiques.
La présence de restes de munitions dans l'intestin et l'appendice est rare dans la population générale, mais plus fréquente au sein de certaines populations de peuples premiers[15], chez les chasseurs, dans leur famille ou chez d'autres consommateurs courants de gibier[16]. Les appendicites sont alors souvent « retardées »[17], parfois chroniques[18], et généralement aggravées par un saturnisme dû à la toxicité de la munition (la grenaille de chasse est en effet la plupart du temps constituée de plomb, additivé d'arsenic et d'antimoine, trois composés hautement toxiques[19],[20] et le plomb est connu pour dégrader l'immunité). L'enfant et la femme enceinte ou envisageant de faire un enfant sont particulièrement vulnérables au saturnisme[21]. Selon la littérature médicale, les appendices de tels patients opérés contenaient :- un ou plusieurs diabolos (d'arme à air comprimé). Un enfant en a avalé plus d'une trentaine par exemple, ce qui a immédiatement fait monter sa plombémie (56 µg/dL une heure et demie après l'ingestion)[22],[23],
- une balle de chasse en plomb[24] ou d'autres fragments de plomb dans l'appendice[25],
- une grenaille de plomb[26],
- jusqu'à plusieurs dizaines (voire centaines) de grenailles ; situation qui ne survient que chez de grands consommateurs de gibier, chasseurs ou populations autochtones dépendant de la chasse pour leur alimentation ou attachées à ce mode traditionnel d'alimentation. À titre d'exemple, chez les Indiens Cris de l'Ouest de la Baie James dans le nord de l'Ontario, au Canada, encore très attachés à la chasse de subsistance qui est considérée par eux comme un mode de vie et un élément profond de leur culture, la chasse à l'arc a été presque abandonnée depuis longtemps au profit du fusil (et de munitions au plomb). Plusieurs études ont repéré des plombémies anormalement élevées chez les membres de cette tribu[27],[28], en lien avec la consommation de gibier[29],[30], et il a été montré (en 1997) qu'environ 15 % des radiographies faites sur les membres de cette tribu montraient la présence de billes de plomb dans le système gastro-intestinal, intraluminal, et/ou dans l'appendice. Il s'agissait de grenaille de chasse et/ou de restes de grit (parfois repérable quand le plomb est à demi érodé ou a la forme d'une pastille dans le gésier de l'oiseau qui a été mangé). Un patient Cri opéré d'une appendicite avait une centaine de grenailles de plomb dans l'appendice, et un autre a dû subir une appendicectomie pour qu'on puisse lui retirer environ 500 billes de plomb qui s'étaient accumulées dans son appendice[31]. Comme chez les Inuits[32], des analyses isotopiques notamment montrent que le plomb retrouvé dans le sang des enfants des chasseurs de la tribu et dans celui de leurs parents provient bien en grande partie des cartouches utilisées pour la chasse[33], phénomène observé ailleurs dans le monde[34],[35],[36],[37].
La grenaille plomb tend lentement à être remplacée par des alternatives non-toxiques ou moins toxiques, mais elle n'est obligatoire que dans certains pays, et généralement uniquement dans les zones humides mais les Amérindiens et Inuits ont obtenu des dérogations pour continuer à chasser au plomb dans les zones humides car les cartouches acier étaient un peu plus coûteuses que celles au plomb.
Le bismuth/étain est l'une des alternatives proposées par les fabricants[38], mais le bismuth est aussi un neurotoxique connu et certaines formes de l'étain sont très écotoxiques. En Guyane, des taux alarmants de plomb ont aussi été signalés chez des peuples autochtones mangeant beaucoup de gibier.
La littérature scientifique et médicale est depuis plusieurs décennies unanime à désigner l'ingestion de plomb de chasse comme une source grave et durable de saturnisme[39] et elle plaide souvent pour une réglementation des taux de plomb (et d'autres toxiques) dans le gibier[40]. Les auteurs de l'étude cités plus haut plaident pour une alternative non-toxique qui est la grenaille d'acier (plutôt que des produits à base de bismuth ou d'autres métaux lourds ou métalloïdes)[41] (non toxique et dans une plaie, —de l'œil par exemple— l'acier peut être plus facilement récupéré au moyen d'un aimant, en outre le fer est un léger « antidote » au plomb, qui est un puissant facteur d'anémie, un problème observé chez presque tous les enfants Inuits et Cris consommant régulièrement du gibier[42],[43],[44], un autre marqueur étant un taux anormal de plomb retrouvé dans les dents de lait, mais aussi dans les dents des adultes[45],[46]).
Épidémiologie
L'appendicite survient le plus souvent chez des patients âgés de 10 à 20 ans, avec une légère prédominance masculine. Exceptionnelle avant trois ans, elle reste rare chez le très jeune enfant.
L'incidence annuelle aux États-Unis est de 250 000 cas par an avec une discrète prédominance masculine.
Elle reste l'urgence chirurgicale abdominale la plus courante, mais montre une légère décroissance du taux sans explication claire[47], également perçue en Grande-Bretagne[48].
Il semble qu'elle soit plus rare chez la femme enceinte[49].
Selon une évaluation récente (2019), « environ 5 millions de personnes dans l'UE pourraient être de gros consommateurs de viande de gibier tirée au plomb de chasse et des dizaines de milliers d'enfants dans l'UE pourraient consommer du gibier contaminé avec du plomb provenant de munitions assez souvent pour avoir des effets importants sur leur développement cognitif ». Cette population est plus susceptible que les autres d'être victimes d'appendicite chronique due à la rétention de grenaille de plomb ou de fragments de balles[50].
Anatomie pathologique et bactériologie
Anatomie pathologique
Histologiquement, on observe une inflammation de la paroi appendiculaire, à savoir : un infiltrat de polynucléaires neutrophiles dans la muqueuse et la musculeuse associé à une ulcération de la muqueuse[51].
Bactériologie
Une flore bactérienne polymorphe est responsable : Escherichia coli, Bacteroides. Elle peut être provoquée également par Yersinia enterocolitica.
Lésions appendiculaires
On distingue plusieurs formes :
- appendicite catarrhale : rouge, enflammé parcouru par des vaisseaux ;
- appendicite suppurée : pseudo phlegmoneuse (logettes) ; empyème appendiculaire (appendice distendu par une collection de pus) ;
- appendicite gangreneuse : sphacèle ;
- appendicite perforée ;
- appendicite purulente ;
- abcès appendiculaire ;
- péritonite appendiculaire.
Lésions péritonéales
La séreuse est rouge, œdématiée, l'épanchement péritonéal est variable. Des fausses membranes accolent viscères et épiploon. L'agglutination viscérale réalise le plastron et parfois un iléus paralytique. L'isolement d’une collection de pus collecte un abcès.
Lésions viscérales
L’œdème infiltre et fragilise les parois du cæcum.
Présentation clinique
Le type de description qui est pris est celui d'une appendicite aiguë iliaque non compliquée chez un adulte jeune. Il convient néanmoins de rappeler qu'étant donnée l'absence de parallélisme anatomo-clinique et la multiplicité des formes cliniques, cette forme typique décrite est assez rarement observée. Le diagnostic positif est souvent difficile et nombreuses sont les errances diagnostiques. Soulignons également qu'il n'existe, à ce jour, aucun signe pathognomonique de l'appendicite aiguë et seule l'intervention (ou la cœlioscopie), suivie d'une analyse histopathologique de la pièce opératoire permettent d'affirmer le diagnostic.
Symptomatologie
Dans la forme typique de l'appendicite, la forme iléo-cæcale, la douleur est caractéristique : c'est une douleur brutale de la fosse iliaque droite, qui peut débuter au niveau de l'épigastre, continue et sans irradiations ; elle peut être accompagnée de nausées ou de vomissements. Le caractère migrateur de la douleur serait l'un des signes les plus discriminatoires d'une appendicite, avec ceux de l'irritation péritonéale[52].
Signes cliniques
L'appendicite se manifeste par une fièvre modérée (38 à 38,5 °C), une tachycardie due à la fièvre et parfois une prostration en chien de fusil.
La palpation retrouve une douleur de la fosse iliaque droite dont le maximum siège au niveau du point de Mc Burney. On objective une défense péritonéale de la fosse iliaque droite correspondant à une réaction pariétale au palper profond vaincue par une palpation douce. Il peut exister une douleur de la fosse iliaque droite (FID) à la compression de la fosse iliaque gauche (FIG) (signe de Rovsing), une douleur de la FID lors de la décompression brutale de la FID (après l'avoir comprimée, signe de Blumberg), une douleur de la fosse iliaque droite à la palpation dans le sens anti-horaire du colon.
La douleur à la percussion médiate de la fosse lombaire droite (signe de Giordano) est généralement absente et plaide plutôt en faveur d'une pyélonéphrite. En revanche, la douleur est toujours bien localisée à la fosse iliaque droite (point de Mc Burney) lors de la palpation de la zone, le patient étant en décubitus (corps allongé à l'horizontale) latéral gauche. La douleur exacerbée par la flexion de la cuisse droite (genou en rectitude) témoigne d'un psoïtis (inflammation du muscle psoas), est parfois constatée, notamment dans les appendicites en position retro-cæcale.
Le toucher vaginal trouve une douleur en haut et à droite du Douglas. L'intégrité des annexes est constatée. Le toucher rectal peut éveiller une vive douleur lorsque le doigt palpe le cul-de-sac péritonéal de Douglas.
À ce stade, le diagnostic d’appendicite est posé et l’intervention s’impose en urgence. Les examens complémentaires trouvent leur intérêt, surtout dans les formes cliniques de diagnostic difficile. Le diagnostic est cependant moins aisé aux âges extrêmes de la vie.
Formes cliniques
Formes topographiques
La forme classique compte pour 80% des cas. Elle est pelvique dans moins de 15% des cas. Les formes rétro-cæcale comptent pour 20% des cas[53].
Lors de l'appendicite sous-hépatique, la douleur est sous-costale, simulant une cholécystite.
Lors d'une appendicite rétro-cæcale, on note un psoïtis. La fosse iliaque droite libre. En décubitus latéral gauche : on retrouve une douleur et une défense au-dessus de la crête iliaque (selon Alders). Il peut aussi être mis en évidence une douleur à la palpation du trigone lombal de Petit (Signe d'Aure-Rozanova).
L'appendicite méso-cœliaque réalise un tableau d’occlusion fébrile.
L'appendicite pelvienne se manifeste par des signes urinaires et rectaux. Les touchers pelviens retrouvent une douleur vive à droite. L’évolution se fait vers la constitution d’un abcès du cul-de-sac de Douglas.
Formes selon le terrain
Chez le nourrisson, l'appendicite est exceptionnelle, pouvant être grave car longtemps méconnue. Le diagnostic n'est souvent fait qu'au stade de l'abcès ou de la péritonite.
Chez l'enfant, il peut exister une forme, dite « toxique » avec des signes locaux pauvres, une altération de l'état général marquée. L'intervention doit être précoce après une brève réanimation.
Chez la personne âgée, la symptomatologie est pauvre. Deux formes particulières sont possibles : occlusives fébriles ou pseudo-tumorale avec une masse fébrile de la fosse iliaque droite (problème de diagnostic différentiel avec le cancer du cæcum). Un scanner peut être intéressant pour en faire le diagnostic.
Chez la femme enceinte, le diagnostic est difficile en fin de grossesse avec un risque important pour le fœtus.
Examens complémentaires
Biologie
L’hémogramme montre une hyperleucocytose modérée (inférieure à 15 000 éléments par mm3) à polynucléaires neutrophiles, et un syndrome inflammatoire (élévation de la CRP). L'absence de syndrome inflammatoire permet quasiment d'éliminer le diagnostic d'appendicite[54].
Un bilan pré-opératoire doit être systématiquement fait, comportant en plus de la numération, un ionogramme sanguin, un bilan de la coagulation.
Chez la femme en âge de procréer, une réaction immunologique de grossesse est demandée à titre systématique, une grossesse extra-utérine pouvant se présenter avec un tableau proche.
Imagerie
L'imagerie n'est utilisée qu'en cas de doute sur le diagnostic :
- l’échographie apporte des arguments de diagnostic différentiel, et aide au diagnostic d’abcès appendiculaire ;
- l’abdomen sans préparation : Fait debout de face. Il recherche des arguments en faveur d’un diagnostic différentiel ; il peut retrouver les aspects suivants : normal ou grisaille diffuse sans pneumopéritoine, clarté cæcale, anse sentinelle, grêle distendue avec ébauche de niveaux hydro-aériques (ileus du carrefour iléo-cæcal), stercolithe appendiculaire ;
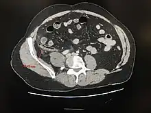
- le scanner abdominal peut montrer un aspect de masse de la fosse iliaque droite. Cet examen tend à se généraliser en raison d'une très bonne fiabilité[55] Ailleurs, le scanner peut aider au diagnostic différentiel (tumeur cæcale, iléite terminale, maladie de Crohn, adénite mésentérique, etc.) ;
Appendicite aiguë perforée
Scanner abdominal : distension de l'appendice, infiltration de la graisse péri appendiculaire, pneumopéritoine localisé - l'IRM abdominale est également très fiable pour le diagnostic[56].
- la cœlioscopie permet à la fois le diagnostic et le traitement par appendicectomie ;
- le lavement baryté aux hydrosolubles peut noter une irrégularité du bord interne du cæcum, un refoulement du cæcum, un déplacement de la dernière anse grêle ; une opacification complète rend le diagnostic improbable. Il présente des risques de perforation digestive et n'est donc pratiquement plus réalisé.
Scores
Un certain nombre de scores, basés sur des critères cliniques et biologiques, ont été développés pour aider au diagnostic. Il s'agit essentiellement du score Alvarado[57] et du score AIR (Appendicitis inflammatory response) qui semble un peu plus fiable[58].
Complications
L’évolution reste imprévisible et peut se faire soit vers une résolution de la crise appendiculaire, soit vers des complications majeures, ce qui justifie le dogme de l’intervention chirurgicale. Le risque de perforation, et donc de péritonite, est d'autant plus grand que le délai est important entre la prise en charge et le début des symptômes, particulièrement si ce délai dépasse 36 heures[59]. Le taux de perforation semble plus important chez l'enfant de moins de 8 ans ou chez l'adulte de plus de 45 ans[60].
A contrario, l'évolution peut se faire vers une guérison spontanée[61].
Péritonite généralisée d’emblée
C'est le cas dans 20 à 30 % des cas, surtout aux âges extrêmes où le diagnostic n'est pas évident et la prise en charge retardée. La péritonite purulente généralisée se présente avec une douleur violente de la fosse iliaque droite généralisée secondairement à tout l’abdomen, des nausées, des vomissements abondants, fréquemment l'arrêt des matières et des gaz, un faciès anxieux, un syndrome infectieux marqué.
L'examen constate l'absence de respiration abdominale, une saillie des muscles grands droits, l'absence de cicatrice de laparotomie. Il existe une contracture douloureuse, permanente, invincible, généralisée, prédominant au niveau de la fosse iliaque droite. Les touchers pelviens montrent une douleur au niveau du cul-de-sac de Douglas.
La biologie montre une hyperleucocytose.
L'abdomen sans préparation montre l'absence de pneumopéritoine.
La péritonite putride par perforation d’un appendice gangrené s’accompagne d’une douleur atroce, d’une diarrhée fétide, d’un faciès plombé, et d’une légère fièvre (38 °C). Les signes physiques sont pauvres, contrastant avec l'importance des signes généraux. Tout retard thérapeutique comporte un risque fatal.
La péritonite toxique est grave et trompeuse. Le syndrome toxique efface les signes péritonéaux.
Péritonites généralisées progressives
La péritonite progressive par diffusion se manifeste par des signes fonctionnels et généraux qui persistent ou s’amendent dans les jours suivant une crise aiguë (éventuellement sous antibiothérapie intempestive), avec persistance des signes physiques et d’une hyperleucocytose. Puis brutalement le tableau de péritonite se met en place. L’intervention s’impose.
La péritonite peut évoluer en deux temps, par perforation secondaire de l’appendice (après une accalmie traîtresse de Dieulafoy), ou en trois temps, terme évolutif ultime d’une appendicite négligée se compliquant par une rupture sur terrain affaibli, avec collapsus. Les signes péritonéaux sont atténués.
Péritonites localisées
Le plastron appendiculaire se produit par le cloisonnement de la région cæcale par agglutination des anses grêles entraînant une limitation de l’infection. Il s’installe après une crise appendiculaire, dont les signes ont diminué sans disparaître. L'examen retrouve au bout de quelques jours une voussure indépressible de la région appendiculaire avec une masse douloureuse, ferme, mal limitée, blindant la paroi abdominale se développant vers l’ombilic ou l’arcade crurale. Le toucher rectal en perçoit le pôle inférieur. Il existe une hyperleucocytose à polynucléaire croissante évocatrice. L'abdomen sans préparation montre une opacité de la fosse iliaque droite, effaçant le bord externe du psoas. Le traitement est médical : antibiothérapie, poche de glace. C’est une contre-indication à la chirurgie immédiate. L'évolution se fait vers la résorption, l'abcédation ou la péritonite.
L'abcès appendiculaire entraîne une douleur pulsatile, une altération de l’état général avec une température oscillante, une accélération du pouls. L'examen montre un ramollissement en un point de la fosse iliaque droite. La biologie montre une hyperleucocytose s'aggravant progressivement.
Diagnostic différentiel
Affections chirurgicales digestives
- Diverticule de Meckel compliqué : le diagnostic de certitude est opératoire, on enlève le diverticule de Meckel lors de l'opération de l'appendicite car son rôle est nul (résidu embryologique) et il peut s'infecter.
- Perforation d'ulcère gastro-duodénal, appelée syndrome de Valentino si la douleur mime par sa localisation en fosse iliaque droite une appendicite[62].
Affections gynécologiques
- Torsion d’un kyste ovarien
- Salpingite
- Dysménorrhée
- Endométriose
Affections médicales
- Colique néphrétique
- Pyélonéphrite
- Adénite mésentérique
- Hépatite virale en phase pré-ictérique
- Maladies éruptives
- Parasitoses (oxyurose…)
- Pneumopathies de la base droite
Traitement
On a estimé jusqu'à récemment que le traitement devait être chirurgical, consistant en l'appendicectomie. Cette opération doit être réalisée sans délai après que le diagnostic a été posé, afin d'éviter les complications (péritonites). Le geste est alors précédé par la mise sous antibiotiques.
Un traitement par antibiotique peut être proposé dans certaines formes non compliquées, permettant de se passer de toute intervention dans de nombreux cas.
Chirurgical
Histoire
Le poète et chirurgien allemand Richard von Volkmann a été l'un des premiers, en Europe, à pratiquer l'appendicectomie. Il a formé à cette technique le médecin suisse Charles Krafft qui l'a introduite en Suisse romande en 1888.
Technique opératoire
La voie d’abord peut être une incision diagonale sur fosse iliaque droite (incision de Mc Burney), une incision horizontale (incision de Rookie-Davis) ou cœlioscopique, de plus en plus répandue de nos jours.
Dans tous les cas, on recherche et extériorise l’appendice (sauf sous cœlioscopie). L'appendicectomie est faite après ligature section de son artère et de la base appendiculaire. Un diverticule de Meckel est recherché systématiquement, qui sera réséqué s’il existe. Un prélèvement à visée bactériologique est fait si nécessaire. La fermeture se fait plans par plans.
Soins péri-opératoires
- Antibiotiques : céphalosporine avec ajout suivant la gravité clinique de métronidazole + gentamicine, par voie parentérale, en péri-opératoire et en dose unique[63]. Les modalités et la durée du traitement antibiotique dépendent de l'état de l'appendice et du péritoine.
- Chez les personnes à risque, prophylaxie des accidents thrombo-emboliques.
Complications post-opératoires
La mortalité opératoire reste faible, particulièrement dans les formes simples (0,8 pour 1 000). Les complications peuvent être :
- précoces et communes à toute chirurgie :
- hémorragiques : hypovolémie ou hématome,
- infectieuses : abcès de paroi (4 %), dont l'incidence s'est vue nettement diminuée depuis l'avènement de la technique cœlioscopique; abcès du cul-de-sac de Douglas (peut être drainé par voie rectale, par colpotomie postérieure ou par voie trans pariétale sous contrôle scannographique), abcès sous-phrénique, péritonite post-opératoire par lâchage de moignon ou nécrose du bas fond cæcal,
- thrombo-emboliques ;
- syndrome du cinquième jour : au cinquième jour post-opératoire se réalise un tableau de péritonite avec état général conservé par fonte purulente du moignon ou inoculation opératoire. Autrefois fréquent chez l’enfant, il n'est pratiquement plus observé après cœlioscopie ;
- tardives :
- éventration,
- occlusion intestinale : dans le premier mois par adhérences, plus tardivement par bride.
Antibiothérapie
Un traitement par antibiotiques seuls conduit à une plus forte proportion de péritonites mais pourrait permettre d'éviter la chirurgie dans un certain nombre de cas[64]. En particulier, il n'y a que 20 % de récidive en cas de traitement par antibiotiques seuls, donc 80 % des appendicites ne nécessiteraient pas d'appendicectomie[65]. Sans qu'il y ait de consensus, certains chirurgiens recommandent de traiter l'épisode aigu par antibiothérapie, puis de pratiquer l'appendicectomie plus tard[65]. En cas de décision opératoire secondaire, il n'existe pas plus de complications[66].
Malgré ces résultats, en 2011, une méta-analyse de la Cochrane Library ne permet pas de conclure quant à l'efficacité de l'antibiothérapie par rapport au traitement chirurgical[67]. Néanmoins, selon les conclusions d'une autre méta-analyse en 2012, un traitement par antibiotique est à la fois efficace et sûr pour les appendicites aiguës non compliquées[68]. La présence d'une calcification au sein de l'appendice (appendicolithe) augmente cependant le risque d'avoir un recours à la chirurgie[69].
En 2012, la Haute Autorité de santé française estime toutefois que l'efficacité n'est pas suffisamment démontrée, avec notamment la nécessité d'études contrôlées sur le long terme[70].
Notes et références
- ↑ (en) « Notice biographique », sur Who Named It?.
- ↑ Charles Nicolle « Destin des maladies infectieuses » ; Leçons du Collège de France ; Les classiques des sciences sociales, Une bibliothèque numérique, PDF, 196 pages (voir p. 108/196).
- ↑ Goudet J, L'appendice serait utile à la digestion, Futura-sciences.
- ↑ (en) Laurin M, Everett ML, Parker W. « The cecal appendix: one more immune component with a function disturbed by post-industrial culture » Anat Rec (Hoboken) 2011;294(4):567-79. DOI 10.1002/ar.21357.
- ↑ Walker AR, Segal I : What causes appendicitis ? J Clin Gastroenterol 1990;12:127–129.
- ↑ Nadler S, Cappell MS, Bhatt B, Matano S, Kure K: Appendiceal infection by Entamoeba histolytica and Strongyloides stercoralis presenting like acute appendicitis. Dig Dis Sci 1990;35:603–608.
- ↑ « L'oxyurose peut provoquer une appendicite », sur Santé Magazine, (consulté le )
- ↑ « Les accros à la viande rouge ont plus d'inflammation de l'intestin », sur Sciences et Avenir (consulté le )
- ↑ Franke A, Smolka G, Appelt E & Sewcz HG (1985) The appendix as a foreign body reservoir. Zentralbl Chir ;110:692–694
- 1 2 3 Klingler, P., Seelig, M., DeVault, K., Wetscher, G., Floch, N., Branton, S., & Hinder, R. (1998) Ingested foreign bodies within the appendix: a 100-year review of the literature. Digestive Diseases, 16(5), 308-314.
- ↑ Conforti FP, Smego DR, Kazarian KK (1987) Halloween appendicitis: Pin perforation of the appendix. Conn Med ;51:507.
- ↑ Meltzer SJ, Goldberg MD, Meltzer RM & Claps F (1986) Appendiceal obstruction by a toothpick removed at colonoscopy. Am J Gastroenterol ;81:1107–1108.
- ↑ Cockerill FR III, Wilson WR, Van Scoy RE (1983) Traveling toothpicks. Mayo Clin Proc ;58:613–616
- ↑ Joey Chan Yiing Beh (2016) Fishbone Perforated Appendicitis |J Radiol Case Rep. 2016 Jul; 10(7): 14–22. |2016 Jul 31 | doi:10.3941/jrcr.v10i7.2826 |PMCID:PMC5065275
- ↑ Juric, A. K., Batal, M., David, W., Sharp, D., Schwartz, H., Ing, A., ... & Chan, L. (2018). Risk assessment of dietary lead exposure among First Nations people living on-reserve in Ontario, Canada using a total diet study and a probabilistic approach | Journal of hazardous materials, 344, 55-63.
- ↑ Rosell J, Guerrero JA, Morales V, Rodriguez R (1988) Acute appendicitis after game ingestion (letter). Rev Esp Enferm Apar Dig ;74:690–691.
- ↑ Green S M, Schmidt S.P & Rothrock S.G (1994) Delayed appendicitis from an ingested foreign body. The American journal of emergency medicine, 12(1), 53-56 ([}https://www.sciencedirect.com/science/article/pii/0735675794901996 résumé]).
- ↑ Mamie M (1959) Appendicite chronique?. Digestion, 92(4-6), 278-282 ([Mamie, M. (1959). Appendicite chronique?. Digestion, 92(4-6), 278-282. extrait])
- ↑ Rydell WB Jr (1970) Bullet appendicitis. A new form of lead poisoning. Rocky Mt Med J ;67:48–50.
- ↑ Durlach V, Lisovoski F, Gross A, Ostermann G, Leutenegger M (1986) Appendicectomy in an unusual case of lead poisoning (letter). Lancet ;1:687–688.
- ↑ Solrunn Hansen, Evert Nieboer, Torkjel M. Sandanger, Tom Wilsgaard, Yngvar Thomassen, Anna Sofia Veyhe, Jon Øyvind Odland, Changes in maternal blood concentrations of selected essential and toxic elements during and after pregnancy, Journal of Environmental Monitoring, 2011, 13, 8, 2143
- ↑ Price J, Dewar GA, Metreweli C (1988) Airgun pellet appendicitis. Australas Radiol ;32:368–370
- ↑ Treble R.G & Thompson T.S (2002) Elevated blood lead levels resulting from the ingestion of air rifle pellets. Journal of analytical toxicology, 26(6), 370-373.
- ↑ Horby‐Petersen J, Kristiansen T & Jelnes R (1987) Acute appendicitis caused by metallic foreign body (bullet) - Case report | Acta Chir Scand ;153:697–698.
- ↑ Meyer J, Abuabara S, Barrett J & Lowe R (1982) A bullet in the appendix. J Trauma. 22:424-425.
- ↑ Reddy ER (1985) Retained lead shot in the appendix. J Can Assoc Radiol ;36:47–48.(résumé)
- ↑ Tsuji& al. (2008), Elevated Blood-lead Levels in First Nation People of Northern Ontario Canada : Policy Implications, Bulletin of Environmental Contamination and Toxicology |80, 1, 14
- ↑ Dominique Bussières, Pierre Ayotte, Patrick Levallois, Éric Dewailly, Evert Nieboer, Suzanne Gingras, Suzanne Côté (2004), Exposure of a Cree Population Living near Mine Tailings in Northern Quebec (Canada) to Metals and Metalloids | Archives of Environmental Health : An International Journal, 59, 12, 732
- ↑ N. Kreager, B. C. Wainman, R. K. Jayasinghe, L. J. S. Tsuji (2008) Lead Pellet Ingestion and Liver-Lead Concentrations in Upland Game Birds from Southern Ontario, Canada | Archives of Environmental Contamination and Toxicology, 54, 2, 331
- ↑ P. Johansen, G. Asmund, F. Riget (2004) High human exposure to lead through consumption of birds hunted with lead shot, Environmental Pollution 127, 1, 125
- ↑ Tsuji L.J & Nieboer E (1997) Lead pellet ingestion in First Nation Cree of the Western James Bay region of Northern Ontario, Canada: Implications for a nontoxic shot alternative. Ecosystem Health, 3(1), 54-61.
- ↑ Lévesque, B., Duchesne, J. F., Gariépy, C., Rhainds, M., Dumas, P., Scheuhammer, A. M., ... & Dewailly, É. (2003). Monitoring of umbilical cord blood lead levels and sources assessment among the Inuit. Occupational and Environmental Medicine, 60(9), 693-695.
- ↑ Leonard J.S. Tsuji, Bruce C. Wainman, Ian D. Martin, Celine Sutherland, Jean-Philippe Weber, Pierre Dumas, Evert Nieboer (2008), The identification of lead ammunition as a source of lead exposure in First Nations: The use of lead isotope ratios | Science of The Total Environment | 393, 2-3, 291
- ↑ Jon Oyvind Odland, Irina Perminova, Natalya Romanova, Yngvar Thomassen, Leonard J.S. Tsuji, Jan Brox, Evert Nieboer (1999), Elevated Blood Lead Concentrations in Children Living in Isolated Communities of the Kola Peninsula, Russia, Ecosystem Health, 5, 2, 75
- ↑ Odland, J., Nieboer, E., Romanova, N., Thomassen, Y., & Lund, E. (1999). Blood lead and cadmium and birth weight among sub-arctic and arctic populations of Norway and Russia. Acta obstetricia et gynecologica Scandinavica, 78(10), 852-860|résumé.
- ↑ Johansen P, Asmund G & Riget F (2004). High human exposure to lead through consumption of birds hunted with lead shot. Environmental Pollution, 127(1), 125-129.
- ↑ Poul Johansen, Henning Sloth Pedersen, Gert Asmund, Frank Riget (2006), Lead shot from hunting as a source of lead in human blood, Environmental Pollution, 142, 1, 93
- ↑ R. Jayasinghe, L.J.S. Tsuji, W.A. Gough, J.D. Karagatzides, D. Perera, E. Nieboer (2004), Determining the background levels of bismuth in tissues of wild game birds: a first step in addressing the environmental consequences of using bismuth shotshells, Environmental Pollution, 132, 1, 13
- ↑ C. K. Johnson, T. R. Kelly, B. A. Rideout, Lead in Ammunition: A Persistent Threat to Health and Conservation, EcoHealth, 2013, 10, 4, 455
- ↑ Mark A. Taggart, Manuel M. Reglero, Pablo R. Camarero, Rafael Mateo, Should legislation regarding maximum Pb and Cd levels in human food also cover large game meat?, Environment International, 2011, 37, 1, 18
- ↑ Carey L.S (1977) Lead shot appendicitis in northern native people | Journal of the Canadian Association of Radiologists, 28(3), 171-174.
- ↑ Willows, N. D., Dewailly, E., & Gray-Donald, K. (2000). Anemia and iron status in Inuit infants from northern Quebec. Can J Public Health, 91(6), 407-10.
- ↑ Noreen D. Willows, Katherine Gray-Donald (2002) Blood lead concentrations and iron deficiency in Canadian aboriginal infants, Science of The Total Environment, 289, 1-3, 255
- ↑ Willows N.D & Gray-Donald K (2002). Blood lead concentrations and iron deficiency in Canadian aboriginal infants. Science of the total environment, 289(1), 255-260|résumé.
- ↑ Tsuji, L. J., Karagatzides, J. D., Katapatuk, B., Young, J., Kozlovic, D. R., Hanning, R. M., & Nieboer, E. (2001). Elevated dentine-lead levels in deciduous teeth collected from remote First Nation communities located in the western James Bay region of northern Ontario, Canada | Journal of Environmental Monitoring, 3(6), 702-705
- ↑ Tsuji, L. J. S., Nieboer, E., Karagatzides, J. D., & Kozlovic, D. R. (1997). Elevated dentine lead levels in adult teeth of First Nation people from an isolated region of northern Ontario, Canada. Bulletin of environmental contamination and toxicology, 59(6), 854-860.
- ↑ (en) Addiss DG, Shaffer N, Fowler BS, Tauxe RV. « The epidemiology of appendicitis and appendectomy in the United States » Am J Epidemiol. 1990;132:910-25. .
- ↑ (en) Kang JY, Hoare J, Majeed A, Williamson RC, Maxwell JD. « Decline in admission rates for acute appendicitis in England » Br J Surg. 2003;90:1586-92. .
- ↑ (en) Andersson RE, Lambe M, « Incidence of appendicitis during pregnancy » Int J Epidemiol. 2001;30:1281-5. .
- ↑ Green R.E & Pain D.J (2019) Risks to human health from ammunition-derived lead in Europe. Ambio, 1-15
- ↑ (en) Norman J Carr, The pathology of Acute Appendicitis : Annals of Diagnostic Pathology, vol. 4, , p. 46-58.
- ↑ (en) Andersson RE, Meta-analysis of the clinical and laboratory diagnosis of appendicitis, Br J Surg, 2004;91:28-37.
- ↑ (en) Ahmed I, Asgeirsson KS, Beckingham IJ, Lobo DN « The position of the vermiform appendix at laparoscopy » Surg Radiol Anat. 2007;29:165-8. .
- ↑ (en) Lewis SR, Mahony PJ, Simpson J, Appendicitis, BMJ, 2011;343:d5976.
- ↑ (en) Pickhardt PJ, Lawrence EM, Pooler BD, Bruce RJ, Diagnostic performance of multidetector computed tomography for suspected acute appendicitis, Ann Intern Med, 2011;154:789-796.
- ↑ Duke E, Kalb B, Arif-Tiwari H et al. A systematic review and meta-analysis of diagnostic performance of MRI for evaluation of acute appendicitis, AJR Am J Roentgenol, 2016;357:508-17
- ↑ (en) Alvarado A, A practical score for the early diagnosis of acute appendicitis, Ann Emerg Med, 1986;15:557-64.
- ↑ (en) Andersson M, Andersson RE, The appendicitis inflammatory response score: a tool for the diagnosis of acute appendicitis that outperforms the Alvarado score, World J Surg, 2008;32:1843-9.
- ↑ (en) Bickell NA, Aufses AH Jr, Rojas M, Bodian C, How time affects the risk of rupture in appendicitis, J Am Coll Surg, 2006;202:401-6.
- ↑ (en) Hale DA, Molloy M, Pearl RH, Schutt DC, Jaques DP, Appendectomy: a contemporary appraisal, Ann Surg, 1997;225:252-61.
- ↑ (en) Andersson RE « The natural history and traditional management of appendicitis revisited: spontaneous resolution and predominance of prehospital perforations imply that a correct diagnosis is more important than an early diagnosis » World J Surg. 2007;31:86-92 .
- ↑ (en) Amann CJ et al., « Valentino's Syndrome: A Life-Threatening Mimic of Acute Appendicitis », Clinical Practice and Cases in Emergency Medicine, (DOI 10.5811/cpcem.2016.11.32571, lire en ligne)
- ↑ (en) Tsang TM, Tam PK, Saing H., « Antibiotic prophylaxis in acute non-perforated appendicitis in children: single dose of metronidazole and gentamicin », J R Coll Surg Edinb, vol. 37, no 2, , p. 110-2. (PMID 1377245).
- ↑ (en) Vons C, Barry C, Maitre S et al. « Amoxicillin plus clavulanic acid versus appendicectomy for treatment of acute uncomplicated appendicitis: an open-label, non-inferiority, randomised controlled trial » Lancet 2011;377:1573-1579.
- 1 2 Malika Ait Ali Slimane et Anne Teyssédou, « Appendicectomie mortelle : un chirurgien émet des hypothèses », Le Quotidien du médecin, (lire en ligne)
- ↑ Juha M. Grönroos et al., « Antibiotic Therapy vs Appendectomy for Treatment of Uncomplicated Acute Appendicitis : The APPAC Randomized Clinical Trial », JAMA, vol. 313, no 23, , p. 2340-2348 (DOI doi:10.1001/jama.2015.6154, présentation en ligne)
- ↑ « Antibiothérapie comparée à l’appendicectomie dans le traitement de l’appendicite aigüe », novembre 2011, d'après Wilms IMHA, de Hoog DENM, de Visser DC, Janzing HMJ, (en) « Appendectomy versus antibiotic treatment for acute appendicitis », Cochrane Database of Systematic Reviews 2011, numéro 11, DOI 10.1002/14651858.CD008359.pub2
- ↑ (en) Krishna K Varadhan, Keith R Neal et Dileep N Lobo, « Safety and efficacy of antibiotics compared with appendicectomy for treatment of uncomplicated acute appendicitis: meta-analysis of randomised controlled trials », BMJ : British Medical Journal, vol. 344, (ISSN 0959-8138, PMID 22491789, PMCID 3320713, DOI 10.1136/bmj.e2156, lire en ligne, consulté le )
- ↑ The CODA Collaborative. A randomized trial comparing antibiotics with appendectomy for appendicitis, N Engl J Med, 2020;383:1907-1919
- ↑ Haute autorité de santé, [PDF] Appendicectomie - Éléments décisionnels pour une indication pertinente, novembre 2012, 142 pages, « 5.5 - Le traitement antibiotique versus l'appendicectomie », pages 63-67
Bibliographie
- Morer G (1978) Histoire de l'appendicite : première période, première partie, des origines à Dupuytren, Desseaux, Argenteuil, 10 p. (extrait de Histoire des sciences médicales, 1978, t. 12, no 1).
- Carey L.S (1977) « Lead shot appendicitis in northern native people. » Journal of the Canadian Association of Radiologists, 28(3), 171-174.
- Green R.E & Pain D.J (2019) Risks to human health from ammunition-derived lead in Europe. Ambio, 1-15.
- Larsen A.R & Blanton R.H (2000) « Appendicitis due to bird shot ingestion: a case study ». The American Surgeon, 66(6), 589.
Liens externes
- Ressources relatives à la santé :
- Portail de la médecine