Cholécystite
| Symptômes | Inflammation |
|---|
| Spécialité | Gastro-entérologie et chirurgie générale et digestive |
|---|
| CISP-2 | D98 |
|---|---|
| CIM-10 | K81 |
| CIM-9 | 575.0, 575.1 |
| OMIM | 600803 |
| DiseasesDB | 2520 |
| MedlinePlus | 000264 |
| eMedicine |
171886 346 |
| MeSH | D002764 |
| MeSH | D002764 |
Mise en garde médicale
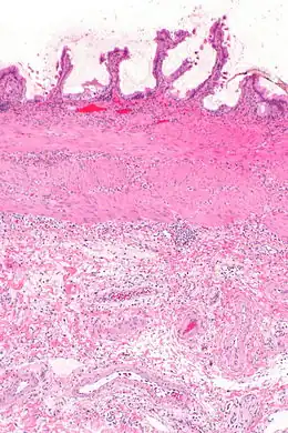
La cholécystite est l'inflammation de la vésicule biliaire.
Cholécystite aiguë
Physiopathologie, épidémiologie
La cholécystite est liée à l'infection du liquide vésiculaire, suite le plus souvent à l'obstruction du canal cystique par un calcul biliaire : le liquide en stase, d'abord stérile, provoque une inflammation locale qui peut se surinfecter alors, le plus souvent avec des germes digestifs présents dans le duodénum. Si elle n'est pas prise en charge convenablement, la vésicule biliaire peut se gangréner et provoquer une péritonite.
L'épidémiologie est donc parallèle à celle des lithiases biliaires : prédominance féminine, association avec un surpoids ou des grossesses multiples, avec cependant un âge de survenue un peu plus tardif. Son incidence tend à diminuer du fait de la prise en charge plus précoce des calculs biliaires[1].
Clinique
Le malade présente une douleur de l'hypochondre droit, irradiant parfois vers la scapula ou vers l'épaule droite, d'apparition brutale, et ce dans un contexte fébrile (fièvre > 38,5 °C). Cette douleur est prolongée, la distinguant d'une simple crise de colique hépatique. Les nausées et les vomissements sont habituels. La palpation peut retrouver une masse douloureuse sous-costale droite, une défense ou simplement une sensibilité de l'hypochondre droit à l'inspiration profonde du malade. Le patient stoppe son inspiration forcée lors de la palpation de cette partie de l'abdomen signant le signe de Murphy (inhibition douloureuse de l'inspiration).
Biologie
Il existe une augmentation du taux de globules blancs dans le sang, même si elle peut manquer dans près d'un tiers des cas[2]. Le dosage de la CRP (Protéine C réactive) montre des chiffres élevés[3].
Imageries

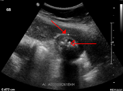
L'échographie hépatique montre une lithiase avec un aspect de cône d'ombre. Il existe un épaississement de la paroi de la vésicule biliaire, qui peut prendre un aspect feuilleté. La sonde d'échographie, passant au niveau de la vésicule, provoque la douleur (on parle donc de « Murphy échographique »). Ces signes sont très sensibles et spécifiques[4]. C'est l'examen fait en première intention.
La radiologie d'abdomen sans préparation peut retrouver des calcifications dans l'aire vésiculaire de manière inconstante.
Le scanner abdominal peut montrer la lithiase et la paroi vésiculaire épaissie. Cet examen est moins sensible que l'échographie.
Dans les rares cas atypiques où l'échographie ne permet pas de trancher, une scintigraphie hépato-biliaire peut aider à faire le diagnostic[5].
Causes
- Maladies lithiasiques de la vésicule biliaire, le plus souvent ;
- Maladies non-lithiasiques comme l'hépatite A, des parasitoses, très fréquentes en Asie du Sud-est ;
- Cholécystite de réanimation: cause ischémique probable sur un bas-débit, pas de calcul retrouvé (exceptionnel mais grave ++).
Complications
- Cholécystite gangréneuse
- Péritonite par perforation de la vésicule (biliopéritoine) .
- Abcès péri-vésiculaire ou intra-hépatique
- Fistules entre la vésicule et un organe de voisinage, du fait de inflammation de sa paroi :
- Fistule cholécysto-cholédocienne
- Iléus biliaire par fistule cholécysto-duodénale: le calcul migre dans le duodénum, et peut provoquer une occlusion en aval (le diamètre de l'iléon étant inférieur à celui du duodénum)
- Fistule cholécysto-colique
- Syndrome de Mirizzi : une lithiase volumineuse enclavée dans le collet de la vésicule ou dans le canal cystique peut comprimer la voie biliaire principale et provoquer une cholestase et un ictère rétentionnel, absents dans la cholécystite simple (la voie biliaire principale n'étant pas obstruée dans ce cas).
Traitement
- Un traitement antibiotique, ciblé sur les germes intestinaux, est prescrit en cas de fièvre, d'augmentation des globules blancs (hyperleucocytose) ou sur un argument d'imagerie en faveur d'une surinfection[6]. L'antibiotique est débuté classiquement avant l'intervention chirurgicale.
- Cholécystectomie en urgence ou différée après refroidissement (traitement médical par antibiotiques). Elle se fait presque uniquement par cœlioscopie (mini incisions abdominales permettant d'introduire les instruments et une caméra pour visualiser le champ opératoire ; par contre le patient doit être informé d'un risque de conversion : incision classique, en sous-costale ou en médiane appelée laparotomie). L'intervention en urgence se fait de plus en plus couramment, permettant de réduire la durée d'hospitalisation et ayant montré une efficacité au moins égale à une intervention différée au prix d'un taux de conversion (transformation d'une cœlioscopie en une laparotomie) un peu plus élevé[7].
- La cholécystostomie, correspondant à un drainage par voie percutanée de la vésicule infectée, est utilisée si l'état général du patient ne permet pas d'envisager une intervention chirurgicale[8].
Cholécystite chronique
Il s'agit d'une affection plus fréquente, généralement d'origine lithiasique.
Consensus et recommandations
Des recommandations internationales sur la prise en charge de la cholécystite ont été publiées en 2007, connues sous le nom de Tokyo guidelines[9].
Voir aussi
Notes et références
- ↑ (en) Urbach DR, Stukel TA, « Rate of elective cholecystectomy and the incidence of severe gallstone disease » CMAJ. 2005;172:1015-1019.
- ↑ Gruber PJ, Silverman RA, Gottesfeld S, Flaster E, Presence of fever and leukocytosis in acute cholecystitis, Ann Emerg Med, 1996;28:273-277
- ↑ Juvonen T, Kiviniemi H, Niemelä O, Kairaluoma MI, Diagnostic accuracy of ultrasonography and C reactive protein concentration in acute cholecystitis: a prospective clinical study, Eur J Surg 1992;158:365-369
- ↑ Ralls PW, Colletti PM, Lapin SA, et als. Real-time sonography in suspected acute cholecystitis: prospective evaluation of primary and secondary signs, Radiology, 1985;155:767-771
- ↑ Freitas JE, Mirkes SH, Fink-Bennett DM, Bree RL, Suspected acute cholecystitis: comparison of hepatobiliary scintigraphy versus ultrasonography, Clin Nucl Med, 1982;7:364-367
- ↑ (en) Solomkin JS, Mazuski JE, Baron EJ. et al. « Guidelines for the selection of anti-infective agents for complicated intra-abdominal infections » Clin Infect Dis. 2003;37:997-1005
- ↑ (en) Gurusamy KS, Samraj K, « Early versus delayed laparoscopic cholecystectomy for acute cholecystitis » Cochrane Database Syst Rev. 4 (2006) CD005440
- ↑ (en) McGahan JP, Lindfors KK, « Percutaneous cholecystostomy: an alternative to surgical cholecystostomy for acute cholecystitis? » Radiology 1989;173:481-485
- ↑ Yamashita Y, Takada T, Kawarada Y, et als. Surgical treatment of patients with acute cholecystitis: Tokyo guidelines, J Hepatobiliary Pancreat Surg, 2007;14:91-97
- Portail de la médecine