Infiltrat en verre dépoli
On appelle infiltrat en verre dépoli une image pathologique qu'on peut voir sur une radiographie pulmonaire ou en tomodensitométrie.

Cet aspect est fréquent lors d'affections pulmonaires aiguës ou subaiguës : affections virales, poumon éosinophile, alvéolite allergique extrinsèque, pneumocystose pulmonaire, protéinose alvéolaire, etc.
Définition
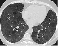
C'est un aspect de halo aux limites floues, focalisé ou diffus, sans systématisation.
L'arborescence vasculaire reste bien visible au sein de cet infiltrat.
Le grossissement de l’image révèle un aspect réticulé parsemé de très fins micronodules, ou un seul de ces aspects.
Signification
Cette image correspond à une hypertrophie inflammatoire du tissu interstitiel (parois alvéolaires et interstitium interlobulaire) qui devient radiologiquement individualisable.
Elle peut aussi correspondre au comblement partiel de la lumière de certaines alvéoles par des débris cellulaires ou par des membranes hyalines.
Signe de halo inversé

Un signe de halo inversé est une opacité centrale « en verre dépoli » entourée d'une consolidation plus dense.
Les critères de ce signe incluent que la consolidation doit former plus des trois quarts d'un cercle et avoir une épaisseur d'au moins 2 mm[1].
Significations possibles :
- probable bronchiolite oblitérante avec organisation pneumonique[2], mais ce signe n'est observée que chez environ 20% des personnes atteintes de cette maladie[1] ;
- infarctus pulmonaire (généralement consécutif à une embolie pulmonaire) où le halo est créé par des hémorragies dans le poumon[3] ;
- certaines maladies infectieuses telles que la paracoccidioïdomycose, la tuberculose, la zygomycose ou l’aspergillose, ainsi que la granulomatose avec polyangéite, la granulomatose lymphomatoïde et la sarcoïdose[4].
Notes et références
- 1 2 Radswiki et al., « Reversed halo sign (lungs) », sur Radiopaedia (consulté le )
- ↑ Brett M. Elicker, W. Richard Webb, Fundamentals of High-Resolution Lung CT: Common Findings, Common Patterns, Common Diseases, and Differential Diagnosis, Lippincott Williams & Wilkins, (ISBN 9781469824796)
- ↑ George Wu, Berndt Schmit, Veronica Arteaga et Diana Palacio, « Medical image of the week: pulmonary infarction- the "reverse halo sign" », Southwest Journal of Pulmonary and Critical Care, vol. 15, no 4, , p. 162–163 (ISSN 2160-6773, DOI 10.13175/swjpcc124-17)
- ↑ D Karthikeyan, High Resolution Computed Tomography of the Lungs: A Practical Guide, JP Medical Ltd, (ISBN 9789350904084, lire en ligne), p. 256
Voir aussi
Articles connexes
- Pneumologie
- Imagerie médicale
- Tomodensitométrie
- Nodule en verre dépoli
Lien externe
- [PDF] D. Ducreux, I. Faurie, S. Chanalet, CP. Raffaelli, B. Padovani (Hôpital Pasteur, CHU Nice) Hyperdensités en verre dépoli. lire en ligne
- (en) Ground-Glass Opacity of the Lung Parenchyma: A Guide to Analysis with High-Resolution CT
Bibliographie
- Portail de la médecine