Protéinose alvéolaire pulmonaire

Protéinose alvéolaire pulmonaire
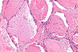
Description de l'image Pulmonary alveolar proteinosis -3- high mag.jpg.
Traitement
Spécialité Pneumologie
Classification et ressources externes
OMIM 610913, 610921, 300770 et 614370 265120, 610913, 610921, 300770 et 614370
DiseasesDB 29642
MedlinePlus 000114
eMedicine 300615
MeSH D011649

Wikipédia ne donne pas de conseils médicaux Mise en garde médicale

La protéinose alvéolaire pulmonaire est une maladie rare consistant en l'accumulation de lipoprotéines dans les alvéole pulmonaires.

Causes

La protéinose alvéolaire pulmonaire peut être congénitale, secondaire à une mutation de gènes codant des surfactants[1]. Elle peut être aussi secondaire à certains cancers, infections ou toxiques. Dans neuf cas sur dix[2], elle est d'origine auto-immune (anticorps anti GM-CSF pour « granulocyte/macrophage-colony stimulating factor »)[3]. Certaines formes, dites idiopathiques, n'ont aucune cause retrouvée.

L'inhibition des GM-CSF, nécessaire pour le catabolisme du surfactant, entraîne une accumulation de ce dernier au niveau des alvéoles pulmonaires, causant la maladie[4].

Symptômes

Elle se manifeste par une dyspnée, une fatigue[1].

Diagnostic

Le scanner montre des images non spécifique de pneumopathie interstitielle.

La recherche d'anticorps anti GM-CSF est positive dans neuf cas sur dix[2].

Traitement

Le lavage pulmonaire permet d'évacuer le surfactant des alvéoles. Il se réalise sous anesthésie générale avec isolation d'un arbre bronchique par un ballon, permettant de laver un poumon en laissant l'autre respirer. Il est fait avec du sérum physiologique jusqu'à ce que le liquide de lavage revienne clair[5]. Il permet d'améliorer les symptômes sur au moins plusieurs mois[6].

L'inhalation de GM-CSF constitue une piste thérapeutique[7] mais son bénéfice s'avère modéré, sans bénéfice clinique démontré[8]. Le molgramostim améliore toutefois les symptômes[9].

Dans les rares formes héréditaires, une transplantation pulmonaire peut être proposée.

Notes et références

  1. 1 2 (en) Trapnell BC, Whitsett JA et Nakata K, « Pulmonary alveolar proteinosis », N Engl J Med, vol. 349, no 26, , p. 2527-39. (PMID 14695413, DOI 10.1056/NEJMra023226, lire en ligne)
  2. 1 2 (en) Kumar A, Abdelmalak B, Inoue Y et Culver DA, « Pulmonary alveolar proteinosis in adults: pathophysiology and clinical approach », Lancet Respir Med, vol. 6, no 7, , p. 554-65. (PMID 29397349, DOI 10.1016/s2213-2600(18)30043-2, lire en ligne)
  3. Suzuki T, Trapnell BC, Pulmonary alveolar proteinosis syndrome, Clin Chest Med, 2016;37:431-440
  4. Sakagami T, Uchida K, Suzuki T et al. Human GM-CSF autoantibodies and reproduction of pulmonary alveolar proteinosis, N Engl J Med, 2009;361:2679-2681
  5. Michaud G, Reddy C, Ernst A, Whole-lung lavage for pulmonary alveolar proteinosis, Chest, 2009;136:1678-1681
  6. Beccaria M, Luisetti M, Rodi G et al. Long-term durable benefit after whole lung lavage in pulmonary alveolar proteinosis, Eur Respir J, 2004;23:526-531
  7. Tazawa R, Trapnell BC, Inoue Y et al. Inhaled granulocyte/macrophage-colony stimulating factor as therapy for pulmonary alveolar proteinosis, Am J Respir Crit Care Med, 2010;181:1345-1354
  8. Tazawa R, Ueda T, Abe M et al. Inhaled GM-CSF for pulmonary alveolar proteinosis, N Engl J Med, 2019;381:923-932
  9. Trapnell BC, Inoue Y, Bonella F et al. Inhaled molgramostim therapy in autoimmune pulmonary alveolar proteinosis, N Engl J Med, 2020;383:1635-1644
  • icône décorative Portail de la médecine
Cet article est issu de Wikipedia. Le texte est sous licence Creative Commons – Attribution – Partage à l’identique. Des conditions supplémentaires peuvent s’appliquer aux fichiers multimédias.