Déficit en alpha-1-antitrypsine

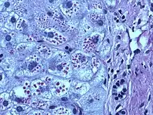
Technique de coloration au PAS : alpha-antitrypsine qui s’accumule dans les lysozomes des hépatocytes

Le déficit en alpha-1-antitrypsine (AAT) est une des maladies génétiques les plus fréquentes. La plupart des personnes sont porteuses de deux copies du gène sauvage M (SERPINA1) qui code l'AAT. Ces personnes ont un taux normal de la protéine. 95 % pour des cas graves sont porteurs d'une mutation qui conduit à la substitution de l'acide glutamique en position 342 par de la lysine (allèle Z ). Les formes atténuées sont la conséquence d'une autre mutation : l'acide glutamique en 264 est remplacé par de la valine (allèle S). Dans la péninsule Ibérique, 1 personne sur 4 porte cette dernière vérifier] mutation. Beaucoup d'autres mutations, infiniment plus rares, ont été décrites[1]. La maladie entraine l'accumulation de l'ATT vérifier] dans les hépatocytes et ne peut pas être excrétée. Ceci entraîne un risque accru de développer un emphysème panlobulaire, et, dans certains cas, une maladie hépatique.

Épidémiologie

Proportions d'hétérozygotes pour l'allèle S (= génotype PiMS de l'AAT) par pays européen

La maladie semble largement sous-diagnostiquée[2].

Les descendants d'Européens du nord ont le plus gros risque d'être porteurs de la maladie. Quatre pour cent portent l'allèle PiZZ (homozygote). L'incidence de la maladie est d'environ 1 sur 5 000[3].

Le tabagisme[4], le fait d'être un garçon ou d'être asthmatique[5], semblent majorer le risque d'atteinte pulmonaire.

Physiopathologie

Voir l'article alpha-1-antitrypsine pour une discussion des divers génotypes et phénotypes associés au déficit en AAT.

L'alpha-1-antitrypsine est une glycoprotéine de la famille des serpines, stockée et sécrétée par le foie en cas d'inflammation. Elle est inhibitrice des sérines protéases (comme la trypsine, la chymotrypsine, la thrombine, la plasmine, les lipases, l'élastase). De ce fait, elle protège les tissus contre des enzymes produites par des cellules inflammatoires, particulièrement l'élastase. On la trouve dans le sang humain à des taux de 0,9 à 1,75 gramme/litre avec une demi-vie de 3 à 5 jours.

L'ATT mutante est mal repliée. Elle s'accumule dans les hépatocytes et forme des inclusions visibles au microscope après coloration PAS (Periodic Acid Schiff). Cette ATT anormale entraîne un stress protéo-toxique qui explique la maladie hépatique. Ce déficit en ATT conduit à un excès d'élastase neutrophile ce qui entraîne une production de mucine et la sécrétion d'autres cytokines de l'inflammation. L'ATT n'est pas seulement une antiprotéase mais aussi un puissant agent anti-inflammatoire. Elle régule la chimiotaxie des polynucléaires neutrophiles, leur dégranulation, l'auto-immunité, et l'apoptose sous l'action de l'interleukine-8, du leucotriènes B4 (LTB4) et de l'alpha-TNF.

L'ATT est inactivée par un processus d'oxydation, une scission protéolytique et une polymérisation. En définitive ce déficit en ATT entraîne une augmentation de l'élastase neutrophile et son activité protéolytique n'est plus contrebalancée. Il s'ensuit des dommages structuraux, une augmentation de la sensibilité aux infections puis la lésion des tissus et enfin l'emphysème. LBT1 appelée aussi récepteur 1 du leucotriène B4 (en), le récepteur de l'interleukine-8 ( CXCR1 C-X-C ), le récepteur de l'EGF, le peptides antimicrobien cathelicidine (en), la métalloprotéinase matricielle, les dérivés réactifs de l'oxygène, l'ADAM17 (en), Récepteur de type Toll vont être impactés.

Il arrive que les polymorphonucléaires neutrophiles circulant dans le sang libèrent de manière inopportune un peu d'élastase. Il est important d'inhiber son activité. C'est la fonction normale des alpha-1-antitrypsines.

Maladies associées

Le déficit en α1-antitrypsine a été associé à de nombreuses maladies :

Il existe également plus de diabète, d'hypertension artérielle et d'insuffisance rénale[8].

Les formes hétérozygotes de la maladie présentent plus de BPCO[9], de calculs biliaires[10].

Signes et symptômes

La plupart des patients sont asymptomatiques. La maladie peut entraîner des symptômes :

  • Un emphysème pulmonaire responsable de troubles respiratoires : essentiellement une dyspnée (essoufflement), parfois toux ou respiration sifflante. Il peut être accompagné d'une dilatation des bronches dans un quart des cas[11]. En effet, les poumons sont remplis d'élastine. Si on a trop d'élastase dans le sang parce qu'elle ne peut pas être dégradée par l'alpha-1-antitrypsine, on risque de dégrader les fibres élastiques de cette armature.
  • Des anomalies du foie car les hépatocytes sont abîmés par l'accumulation de alpha-1-antitrypsine. Les hépatocytes se nécrosent, on observe une réaction inflammatoire et une fibrose, pouvant aller jusqu'à la cirrhose, dont les complications principales sont : une hypertension portale (entraînant parfois des varices œsophagiennes), une hyperammoniémie (l'effet détoxifiant du foie étant amoindri), un ictère, un manque de sécrétion de protéines hépatiques. Ceci pouvant nécessiter une transplantation hépatique.

Ces manifestations peu spécifiques font que le diagnostic est souvent retardé[12].

Plus rarement, la maladie peut se manifester par des atteintes de la peau de type vascularite nécrosante[13].

Diagnostic

Il peut être fait par le dosage de l'alpha 1-antitrypsine dans le sang : il est effondré dans la forme homozygote mais peut être sensiblement normal chez les hétérozygotes. Cette analyse peut être éventuellement complétée par le phénotypage de la protéine, qui peut orienter vers certaines variantes génétiques.

L'analyse génétique par des kits commerciaux permet de distinguer les deux principaux variants (PI*S et PI*Z)[14].

Il peut également être fait par une biopsie afin d'évaluer la gravité des lésions hépatiques. La biopsie du foie comporte un risque extrêmement faible mais potentiellement sérieux d'effets secondaires, tels que des saignements. Elle est donc réservée aux patients ayant des problèmes hépatiques continus[15].

Traitement

La prise en charge du déficit a fait l'objet de recommandations publiées en 2003 par l'American Thoracic Society et l'European Respiratory Society[16].

Le déficit en alpha 1-antitrypsine ne peut être guéri, mais il est possible de ralentir l'évolution de la maladie, grâce à une bonne hygiène de vie et à un traitement substitutif.

Les traitements sont plus ou moins efficaces en fonction du degré d'importance de la maladie. À faible évolution, seule une bonne hygiène de vie est nécessaire. Le traitement de l'emphysème n'a rien de spécifique : bronchodilatateurs et corticoïdes.

Hygiène de vie

Ne pas fumer activement ou passivement est un moyen plutôt efficace de ralentir l'évolution de la maladie.

La vaccination contre les différentes maladies atteignant le foie ou les poumons, telles que l'hépatite A et B, la grippe, la pneumonie, est conseillée.

Traitement substitutif

En 1970 on découvre que la protéase élastase peut donner des emphysèmes chez l'animal de laboratoire. On a la première description de l'élastase sur le neutrophile humain, avec des modifications identiques à celles observées chez l'animal. L'élastase des neutrophiles humains est inhibée par alpha-1-antitrypsine. On a aussi découvert que le foie était une cible au même titre que les poumons[17]. En 1990 on a compris que la déficience en alpha-1-antitrypsine plasmatique était en fait un défaut de la structure tertiaire de la protéine avec polymérisation dans le foie. Cette polymérisation entraîne une accumulation de la protéine et semblait, sinon être la cause, du moins contribuer à la maladie hépatique.

Une équipe du NIH observe qu'une augmentation de l'alpha-1-antitrypsine plasmatique améliorerait l'état des malades souffrant de la maladie pulmonaire. Ils ont mis au point un processus de purification à partir de plasma humain de cette protéine. La technique de purification a été fournie aux industriels du fractionnement plasmatique. La FDA a approuvé la commercialisation d'une préparation extractive sur les bases d'une efficacité biochimique et d'une tolérance acceptable. En parallèle le NIH s'est associé à la constitution d'un registre des malades souffrant d'un déficit en alpha-1-antitrypsine. 1129 malades ont été inclus dans ce suivi qui a duré cinq ans pendant lequel on a évalué la fonction pulmonaire et la fonction hépatique. Ce premier registre a donné lieu à de nombreuses publications.

Un premier médicament a reçu une AMM de la FDA en 1987. Jusqu'en 2003 ce médicament a été le seul disponible pour augmenter la concentration plasmatique en alpha-1-antitrypsine. L'administration se faisait chaque semaine et était bien tolérée au cours du temps. Deux nouvelles spécialités ont été autorisées en 2003 au fondement d'une efficacité biochimique identique et d'une bonne tolérance. En 2010 une quatrième spécialité a été autorisée sur les mêmes bases.

Médicament dérivé du sang alpha-1-antitrypsine en France
DCI Nom de spécialité Laboratoires Pharmaceutiques Date de commercialisation
alpha-1-antitrypsineALFALASTIN[18]LFB BIOMEDICAMENTS28/09/2006
alpha-1-antitrypsineRESPREEZA[19]BEHRING GMBH 20/08/2015
alpha-1-antitrypsinePROLASTIN-C[20]GRIFOLS DEUTSCHLAND GMBH23/08/2019

Après quelques essais cliniques préliminaires, une grande étude contre placebo et bien contrôlée a échoué à trouver un bénéfice thérapeutique[21].

L'étude EXACTLE utilise comme critère d'évaluation la tomographie par scanner X et l'exacerbation des symptômes. Elle conclut à l'amélioration clinique des patients traités[22].

D'autres pistes sont étudiées pour le traitement du déficit en alpha-1-antitrypsine : un traitement à base de protéines recombinantes, des inhibiteurs de l'élastase des neutrophiles en traitement oral sont en phase préclinique, des traitements à visée hépatique comprenant l'extinction du gène à l'origine de la protéine, la structure tertiaire de la protéine, l'utilisation de protéine chaperon[23].

Voir aussi

Bibliographie

  • J.-F. Mornex, « Le déficit en alpha 1-antitrypsine », Revue des Maladies Respiratoires, vol. 39, no 8, octobre 2022, p. 698–707[24]

Notes et références

  1. Alpha1-Antitrypsin Deficiency N Engl J Med 2020; 382:1443-1455 https://www.nejm.org/doi/full/10.1056/NEJMra1910234?query=TOC
  2. Strnad P, McElvaney NG, Lomas DA, Alpha1-antitrypsin deficiency, N Engl J Med, 2020;382:1443-1455
  3. (en) O'Brien ML, Buist NR, Murphey WH, « Neonatal screening for alpha1-antitrypsin deficiency » J Pediatr. 1978;92:1006-1010.
  4. Mayer AS, Stoller JK, Vedal S et al. « Risk factors for symptom onset in PI*Z alpha-1 antitrypsin deficiency » Int J Chron Obstruct Pulmon Dis. 2006;1:485-492.
  5. (en) Demeo DL, Sandhaus RA, Barker AF et al. « Determinants of airflow obstruction in severe alpha-1-antitrypsin deficiency » Thorax 2007;62:806-813.
  6. Hamesch K, Mandorfer M, Pereira VM et al. Liver fibrosis and metabolic alterations in adults with alpha-1-antitrypsin deficiency caused by the Pi*ZZ mutation, Gastroenterology, 2019;157:705.e18-719.e18
  7. (en) Chen B, Wen Y, Polan ML, « Elastolytic activity in women with stress urinary incontinence and pelvic organ prolapse », Neurourol Urodyn, vol. 23, no 2, , p. 119-26. (PMID 14983422, DOI 10.1002/nau.20012)
  8. Greulich T, Nell C, Hohmann D et al. The prevalence of diagnosed α1-antitrypsin deficiency and its comorbidities: results from a large population-based database, Eur Respir J, 2017;49:1600154-1600154
  9. Molloy K, Hersh CP, Morris VB et al. Clarification of the risk of chronic obstructive pulmonary disease in α1-antitrypsin deficiency PiMZ heterozygotes, Am J Respir Crit Care Med, 2014;189:419-427
  10. Ferkingstad E, Oddsson A, Gretarsdottir S et al. Genome-wide association meta-analysis yields 20 loci associated with gallstone disease, Nat Commun, 2018;9:5101-5101
  11. (en) Parr DG, Guest PG, Reynolds JH, Dowson LJ, Stockley RA, « Prevalence and impact of bronchiectasis in alpha 1-antitrypsin deficiency » Am J Respir Crit Care Med. 2007;176:1215-1221.
  12. (en) Stoller JK, Sandhaus RA, Turino G, Dickson R, Rodgers K, Strange C, « Delay in diagnosis of alpha 1-antitrypsin deficiency: a continuing problem » Chest. 2005;128:1989-1994.
  13. (en) Mazodier P, Elzouki AN, Segelmark M, Eriksson S, « Systemic necrotizing vasculitides in severe alpha 1-antitrypsin deficiency » QJM. 1996;89:599-611. [PDF] PMID 8935481 DOI 10.1093/qjmed/89.8.599
  14. (en) Silverman EK, Sandhaus RA, « Alpha1-Antitrypsin Deficiency » N Eng J Med. 2009;360:2749-2757. DOI 10.1056/NEJMcp0900449
  15. (en) Zone Information- alpha1.org, « What is Alpha-1 », sur alpha1.org (consulté le )
  16. (en) American Thoracic Society/European Respiratory Society statement, « Standards for the diagnosis and management of individuals with alpha-1 antitrypsin deficiency » Am J Respir Crit Care Med. 2003;168:818-900.
  17. Obstructive Lung Disease and Trypsin Inhibitors in alpha-1-antitrypsin Deficiency P O Ganrot, C B Laurell, S Eriksson.Scand J Clin Lab Invest Scand J Clin Lab Invest. 1967;19(3):205-8. PMID 6048625
  18. « Autorisation - Minigraphie », sur sante.fr (consulté le ).
  19. « Autorisation - Minigraphie », sur sante.fr (consulté le ).
  20. « Autorisation - Minigraphie », sur sante.fr (consulté le ).
  21. Intravenous augmentation treatment and lung density in severe α1 antitrypsin deficiency (RAPID): a randomised, double-blind, placebo-controlled trial. Chapman KR1, Burdon JG2, Piitulainen E3, Sandhaus RA4, Seersholm N5, Stocks JM6, Stoel BC7, Huang L8, Yao Z8, Edelman JM8, McElvaney NG9; RAPID Trial Study Group.Lancet. 2015 Jul 25;386(9991):360-8
  22. Exploring the role of CT densitometry: a randomised study of augmentation therapy in alpha1-antitrypsin deficiency.Dirksen A1, Piitulainen E, Parr DG, Deng C, Wencker M, Shaker SB, Stockley RA.Eur Respir J. 2009 Jun;33(6):1345-53.
  23. https://archive.wikiwix.com/cache/20220728230743/https://www.fda.gov/media/134986/download.
  24. J.-F. Mornex, « Le déficit en alpha 1-antitrypsine », Revue des Maladies Respiratoires, vol. 39, no 8, , p. 698–707 (DOI 10.1016/j.rmr.2022.02.062, lire en ligne, consulté le )
  • icône décorative Portail de la médecine
Cet article est issu de Wikipedia. Le texte est sous licence Creative Commons – Attribution – Partage à l’identique. Des conditions supplémentaires peuvent s’appliquer aux fichiers multimédias.