Carcinose péritonéale
| Spécialité | oncologie, chirurgie viscérale |
|---|
| CIM-10 | C78.6 |
|---|
Mise en garde médicale
La carcinose péritonéale est une manifestation résultant d'une dissémination et adhésion intra-péritonéale de cellules cancéreuses provenant d'un cancer d'une autre origine[1]. Elle est bien souvent une manifestation tardive dans l'histoire de la maladie. Les néoplasies donnant une carcinose péritonéale sont le plus souvent originaires de la cavité abdominale, mais à un stade tardif de la maladie métastatique, la carcinose péritonéale peut être une manifestation de cancers originaires d'autres régions[2]. On parle habituellement de carcinose péritonéale pour les cancers non primitifs du péritoine, cependant ce terme peut aussi être évoqué pour les rares cas de néoplasie primitive du péritoine[3].
Les néoplasies donnant le plus souvent une carcinose péritonéale sont[2]:
- les cancers de l'appareil digestif dont les cancer gastrique, cancer du côlon, cancer du rectum et le cancer du pancréas ;
- les cancers gynécologiques et principalement le cancer de l'ovaire, mais parfois aussi le cancer du sein sous sa forme de carcinome lobulaire invasif du sein ;
- les cancers pédiatriques de types néphroblastome et hépatoblastome.
Le pronostic d’une carcinose péritonéale, toutes étiologies confondues, est sombre avec une survie de seulement quelques mois[4].
Symptômes
La carcinose péritonéale s'accompagne dans environ 70% des cas d'une ascite. Celle-ci est due à une diminution de la capacité d'absorption du liquide péritonéal causée par une obstruction lymphatique, une augmentation de la perméabilité vasculaire causée par les cellules tumorales et une sécrétion de protéines par les cellules tumorales permettant de retenir l'eau dans la cavité[5],[6].
D'autres symptômes peuvent accompagner la carcinose péritonéale :
- de fortes douleurs abdominales insensibles à la morphine ;
- une perte de poids masquée par l'ascite ;
- une dénutrition extrêmement rapide, perte de l'alimentation naturelle en quelques jours ;
- une fatigue extrême ;
- une hernie, perte de la marche assez rapide ;
- une occlusion intestinale provoquant des nausées et vomissements fécaloides ;
- un gonflement des membres à la suite d'une hypertension portale ;
- l'apparition de varices œsophagiennes et leur rapide dégradation (émissions externes) ;
- hémorragies multiples.
L'aggravation se fera en général vers l'occlusion et des vomissements fécaloïdes. L'intensité des douleurs générées par la maladie ne permet qu'une prise en charge palliative[7].
Diagnostic

Le diagnostic formel de la carcinose s'effectue par l'examen anatomo-pathologique d'un fragment de péritoine envahi ou d'une cytologie péritonéale. Le but étant de prouver l'atteinte et d'affirmer l'origine de la carcinose[8].
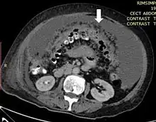
L'imagerie joue également un rôle clé dans la détection de la carcinose, l'évaluation de l'atteinte et la surveillance. Les modalités les plus performantes sont le scanner, l'IRM et le TEP scanner[9].
La modalité de référence pour l'évaluation initiale de la carcinose et l'évaluation de la réponse au traitement reste cependant l'évaluation chirurgicale par coelioscopie/laparotomie avec l'établissement du score PCI (Peritoneal Cancer Index)[8].
Traitement
Bien qu'incurable et à l'évolution très rapide — dans un cadre d'études randomisées — certains patients peuvent être éligibles à plusieurs traitements selon la nature des métastases – une exérèse des nodules cancéreux par laparotomie peut être pratiquée ainsi que la ponction du liquide d'ascite et une mise en place d'un protocole de chimiothérapie de deuxième intention lorsqu'il s'agit d'une rechute ou cancer secondaire.
La chimiothérapie hyperthermique intrapéritonéale (CHIP, une technique développée initialement comme traitement expérimental de la carcinose péritonéale dans le cadre du pseudomyxome péritonéal) ou par la corticothérapie[10]. De façon exceptionnelle, la chirurgie sera utilisée.
Pour les patients ayant de l'ascite dans l'abdomen, il est primordial pour les médecins de retirer ce liquide cancéreux par ponction avant d'appliquer la chimiothérapie palliative.
Selon trois études américaines, il semblerait qu'investir 850 000 $ dans des traitements permettrait de sextupler l'espérance de vie à la suite de l'apparition d'une carcinose péritonéale, prolongeant ainsi jusqu'à 24 mois la survie du patient. Du reste, le professeur Marc-André Reymond a créé en 2013 en Allemagne, une chimiothérapie intrapéritonéale pressurisée par aérosol, nommée PIPAC. Cette chimiothérapie a l'avantage d'être efficiente en doses d'injection et d'améliorer la fin de vie du patient consécutive à l'apparition de la carcinose péritonéale.
Personnalités victimes de la maladie
- Arthur Rimbaud (1854-1891), poète français.
- Jean-Luc Delarue (1964-2012), animateur et producteur de télévision[11].
- Mylène Demongeot (1935-2022), actrice française.
Notes et références
- ↑ A. D. Diop, M. Fontarensky, P. -F. Montoriol et D. Da Ines, « CT imaging of peritoneal carcinomatosis and its mimics », Diagnostic and Interventional Imaging, vol. 95, no 9, , p. 861–872 (ISSN 2211-5684, DOI 10.1016/j.diii.2014.02.009, lire en ligne, consulté le )
- 1 2 (en) Anouk Rijken, Felice N. van Erning, Koen P. Rovers et Valery E. P. P. Lemmens, « On the origin of peritoneal metastases », European Journal of Cancer, vol. 181, , p. 1–2 (ISSN 0959-8049 et 1879-0852, PMID 36610098, DOI 10.1016/j.ejca.2022.12.008, lire en ligne, consulté le )
- ↑ (en) Shigeki Kusamura, Dario Baratti, Nadia Zaffaroni et Raffaella Villa, « Pathophysiology and biology of peritoneal carcinomatosis », World Journal of Gastrointestinal Oncology, vol. 2, no 1, , p. 12–18 (PMID 21160812, PMCID PMC2999153, DOI 10.4251/wjgo.v2.i1.12, lire en ligne, consulté le )
- ↑ Dehal JJ Smith GM. Nash Cytoreductive surgery and intraperitoneal chemotherapy : An evidence-based review-past, present and future. J Gastrointest Oncol 2016
- ↑ (en) Povl Holm-Nielsen, « Pathogenesis of Ascites in Peritoneal Carcinomatosis », Acta Pathologica Microbiologica Scandinavica, vol. 33, no 1, , p. 10–21 (ISSN 1600-0463, DOI 10.1111/j.1699-0463.1953.tb04805.x, lire en ligne, consulté le )
- ↑ (en) Małgorzata Anna Szadkowska, Jakub Pałucki et Andrzej Cieszanowski, « Diagnosis and treatment of peritoneal carcinomatosis – a comprehensive overview », Polish Journal of Radiology, vol. 88, , p. 89–97 (ISSN 1899-0967, DOI 10.5114/pjr.2023.125027, lire en ligne, consulté le )
- ↑ (en) Garrett M Nash, « Cytoreductive surgery and intraperitoneal chemotherapy: an evidence-based review-past, present and future », Journal of gastrointestinal oncology, vol. 7, no 1, , p. 143–157 (ISSN 2078-6891, PMID 26941992, DOI 10.3978/j.issn.2078-6891.2015.112, lire en ligne, consulté le ).
- 1 2 (en) James R. W. McMullen, Matthew Selleck, Nathan R. Wall et Maheswari Senthil, « Peritoneal carcinomatosis: limits of diagnosis and the case for liquid biopsy », Oncotarget, vol. 8, no 26, , p. 43481–43490 (ISSN 1949-2553, PMID 28415645, PMCID PMC5522163, DOI 10.18632/oncotarget.16480, lire en ligne, consulté le )
- ↑ (en) Małgorzata Anna Szadkowska, Jakub Pałucki et Andrzej Cieszanowski, « Diagnosis and treatment of peritoneal carcinomatosis – a comprehensive overview », Polish Journal of Radiology, vol. 88, , p. 89–97 (ISSN 1899-0967, PMID 36910885, PMCID PMC9995246, DOI 10.5114/pjr.2023.125027, lire en ligne, consulté le )
- ↑ « Prise en charge de la carcinose péritonéale par chirurgie cytoréductive et chimiothérapie hyperthermique intrapéritonéale », sur Revue Médicale Suisse, (consulté le )
- ↑ « L'animateur de télévision français Jean-Luc Delarue s'est éteint à 48 ans », rts info, sur rts.ch, Radio télévision suisse, (consulté le ).
- Portail de la médecine