Pseudomyxome péritonéal

Pseudomyxome péritonéal
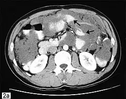
Description de l'image Pseudomyxoma.jpg.
Traitement
Spécialité Oncologie
Classification et ressources externes
CIM-10 C48.2
CIM-9 197.6
ICD-O M8480
DiseasesDB 31498
eMedicine 281107
MeSH D011553

Wikipédia ne donne pas de conseils médicaux Mise en garde médicale

Le pseudomyxome péritonéal, parfois nommé maladie gélatineuse du péritoine ou ascite gélatineuse du péritoine, est une maladie rare qui a été décrite pour la première fois en 1842 par Karel Rokitansky. Mais ce n'est qu'en 1884 que le Pr R. Werth (de), un gynécologue allemand, lui donne officiellement le nom de Pseudomyxome péritonéal[1], ou PMP.

Épidémiologie

Son incidence, très faible, est estimée en Angleterre et aux États-Unis à un par million par an. Cependant, une étude datée de 2008 de Smeenk estime cette incidence plus proche de deux par million par an[2]. L'incidence au cours d'une laparotomie est de 2 pour 10 000. Certaines études ont montré une incidence plus importante chez la femme[3],[4],[5],[6]

L'âge au moment du diagnostic varie de 20 à 80 ans.

Définition : physiopathologie

La maladie gélatineuse du péritoine est due à une tumeur à la limite de la bénignité et de la malignité. La tumeur est le plus souvent développée aux dépens de l'appendice intestinal et de l'ovaire.

Le pseudomyxome péritonéal n'est pas à proprement parler une pathologie péritonéale primitive. En 1995, l'étude multicentrique de l'Hôpital Johns-Hopkins a affirmé que 95 % des pseudomyxomes étaient d'origine appendiculaire. Un adénome sous-muqueux de l'appendice serait à l'origine du pseudomyxome[7]. Cet adénome, qui obstruerait l'appendice, entraînerait une accumulation de mucus, puis une rupture volontiers peu symptomatique. On retrouve la présence d'une ascite gélatineuse. Le mucus à faible contenu cellulaire est l'élément constitutionnel principal. Il présente les caractéristiques histologiques d'un adénocarcinome de bas grade.

La classification exacte du pseudomyxome pour un malade donné est complexe. En effet, plusieurs grades peuvent coexister au sein de la cavité péritonéale. Cependant, quel que soit le grade, on ne considère jamais cette pathologie comme bénigne car son évolution, à plus ou moins long terme, est toujours létale.

Après rupture d'une tumeur appendiculaire ou d'un mucocèle appendiculaire, les cellules productrices de mucine s'implantent dans la cavité péritonéale. Les cellules mucineuses et la mucine prolifèrent alors et s'accumulent dans la cavité péritonéale au gré des courants de réabsorption des liquides péritonéaux et de la simple gravité, du fait de l'absence de capacité d'adhésion. Ce mode évolutif a été nommé « phénomène de redistribution »[8].

Clinique et diagnostic

La symptomatologie est non spécifique. Distension abdominale, douleur pseudo appendiculaire, hernie inguinale symptomatique, troubles intestinaux aspécifiques, découverte fortuite, … Le plus souvent, les patients consultent pour une distension abdominale d'apparition progressive, ou des douleurs abdominales, sans altération de l'état général. Plus rarement, on peut observer nausées ou vomissements.

Le diagnostic souvent posé tardivement peut être suspecté sur les scanners.

Les marqueurs tumoraux, ACE et CA 19.9, sont parfois élevés et si leur apport pronostique n'est pas clairement démontré, ils sont utiles dans le dépistage d'une récidive[9].

Lors de la ponction, on retrouvera un liquide très dense, riche en protéines (liquide exsudatif), très difficile à évacuer. Au scanner ou à l'échographie, le pseudomyxome est le plus souvent cloisonné. On observe des encoches au niveau hépatique et/ou splénique, très évocatrices de la maladie.

L'évolution de la maladie est le plus souvent la récidive après évacuation. Les métastases ganglionnaires ou à distance restent exceptionnelles.

Traitement

L'étiologie de la maladie étant inconnue, le traitement est principalement symptomatique et repose sur l'évacuation du liquide.

Le traitement actuel de référence consiste à associer une chirurgie de cytoréduction et une chimiothérapie hyperthermique intrapéritonéale (CHIP). D'excellents résultats de survie, dans les formes de bas grade comme dans les formes de haut grade, ont été observés[10],[11],[12]. Malheureusement, la maladie péritonéale étant souvent très étendue, ce traitement lourd ne peut être proposé qu'à des patients en excellent état général. En effet, le risque de mortalité et de morbidité post-opératoire n'est pas négligeable.

Évolution et surveillance

Longtemps considéré comme une pathologie border line, le pseudomyxome doit aujourd'hui être considéré comme une pathologie maligne. En effet, son évolution est létale à plus ou moins long terme, en l'absence de traitement optimal associant chirurgie de cytoréduction et chimiothérapie intrapéritonéale.

Notes et références

  1. (de) Richard Werth, « Klinische und anatomische Untersuchungen zur Lehre von den Bauchgeschwülsten und der Laparotomie: II-Pseudomyxoma Peritonei. », Archiv für Gynaekologie, vol. 24, no 1, , p. 103-121 (lire en ligne)
  2. (en) R M Smeenk, M L F van Velthuysen, V J Verwaal, F A N Zoetmulder, « Appendiceal neoplasms and pseudomyxoma peritonei: a population based study », European journal of surgical oncology: the journal of the European Society of Surgical Oncology and the British Association of Surgical Oncology, vol. 34, no 2, , p. 196-201 (ISSN 1532-2157, PMID 17524597, DOI 10.1016/j.ejso.2007.04.002, lire en ligne, consulté le )
  3. Ronnett BM, Zahn CM, Kurman RJ, Kass ME, Sugarbaker PH, Shmookler BM. Disseminated peritoneal adenomucinosis and peritoneal mucinous carcinomatosis. A clinicopathologic analysis of 109 cases with emphasis on distinguishing pathologic features, site of origin, prognosis, and relationship to "pseudomyxoma peritonei". Am J Surg Pathol 1995;19:1390-408.
  4. Smeenk RM, Verwaal VJ, Zoetmulder FA. Pseudomyxoma peritonei. Cancer Treat Rev 2007;33:138-45.
  5. Darnis E, Ronceray J, Grosieux P, Soutoul JH. [Pseudomyxoma peritonei in females. 13 personal cases. Practical deductions from a review of 420 cases in the literature]. J Gynecol Obstet Biol Reprod (Paris) 1987;16:343-53.
  6. Sherer DM, Abulafia O, Eliakim R. Pseudomyxoma peritonei: a review of current literature. Gynecol Obstet Invest 2001;51:73-80.
  7. (en) B M Ronnett, R J Kurman, C M Zahn, B M Shmookler, K A Jablonski, M E Kass, P H Sugarbaker, « Pseudomyxoma peritonei in women: a clinicopathologic analysis of 30 cases with emphasis on site of origin, prognosis, and relationship to ovarian mucinous tumors of low malignant potential », Human pathology, vol. 26, no 5, , p. 509-524 (ISSN 0046-8177, PMID 7750935, lire en ligne, consulté le )
  8. (en) P H Sugarbaker, « Pseudomyxoma peritonei. A cancer whose biology is characterized by a redistribution phenomenon », Annals of surgery, vol. 219, no 2, , p. 109-111 (ISSN 0003-4932, PMID 8129480, lire en ligne, consulté le )
  9. (en) C Pablo Carmignani, Regina Hampton, Christina E Sugarbaker, David Chang, Paul H Sugarbaker, « Utility of CEA and CA 19-9 tumor markers in diagnosis and prognostic assessment of mucinous epithelial cancers of the appendix », Journal of surgical oncology, vol. 87, no 4, , p. 162-166 (ISSN 0022-4790, PMID 15334630, DOI 10.1002/jso.20107, lire en ligne, consulté le )
  10. (en) Paul H Sugarbaker, « New standard of care for appendiceal epithelial neoplasms and pseudomyxoma peritonei syndrome? », The lancet oncology, vol. 7, no 1, , p. 69-76 (ISSN 1470-2045, PMID 16389186, DOI 10.1016/S1470-2045(05)70539-8, lire en ligne, consulté le )
  11. (en) D Elias, C Honoré, R Ciuchendéa, V Billard, B Raynard, R Lo Dico, C Dromain, P Duvillard, D Goéré, « Peritoneal pseudomyxoma: results of a systematic policy of complete cytoreductive surgery and hyperthermic intraperitoneal chemotherapy », The British journal of surgery, vol. 95, no 9, , p. 1164-1171 (ISSN 1365-2168, PMID 18690633, DOI 10.1002/bjs.6235, lire en ligne, consulté le )
  12. (en) Rasmy Loungnarath, Sylvain Causeret, Nadine Bossard, Mohamed Faheez, Annie-Claude Sayag-Beaujard, Cécile Brigand, François Gilly, Olivier Glehen, « Cytoreductive surgery with intraperitoneal chemohyperthermia for the treatment of pseudomyxoma peritonei: a prospective study », Diseases of the colon and rectum, vol. 48, no 7, , p. 1372-1379 (ISSN 0012-3706, PMID 15909071, DOI 10.1007/s10350-005-0045-5, lire en ligne, consulté le )

Voir aussi

Bibliographie

Liens externes

  • icône décorative Portail de la médecine
Cet article est issu de Wikipedia. Le texte est sous licence Creative Commons – Attribution – Partage à l’identique. Des conditions supplémentaires peuvent s’appliquer aux fichiers multimédias.