Abcès pulmonaire
| Symptômes | Nécrose |
|---|
| Spécialité | Pneumologie |
|---|
| CISP-2 | R83 |
|---|---|
| DiseasesDB | 7607 |
| eMedicine | 299425 |
| MeSH | D008169 |
Mise en garde médicale
L'abcès pulmonaire est un type de nécrose liquéfiée du tissu pulmonaire et la formation de cavités (plus de 2 cm)[1] contenant des débris nécrotiques ou du liquide, causée par une infection microbienne.
Cette cavité remplie de pus est souvent causée par une aspiration, qui peut se produire pendant une anesthésie, une sédation ou une perte de conscience due à une blessure. L'alcoolisme est la condition la plus courante prédisposant aux abcès pulmonaires.
L'abcès du poumon est considéré comme primaire (60 %[2]) lorsqu'il résulte d'un processus parenchymateux pulmonaire existant et est qualifié de secondaire lorsqu'il complique un autre processus, par exemple une embolie vasculaire ou fait suite à la rupture d'un abcès extrapulmonaire dans le poumon.
Signes et symptômes
L'apparition des symptômes est souvent progressive, mais dans le cas de pneumonies nécrosantes à staphylocoques ou à bacilles gram-négatifs, les patients peuvent être atteints de façon aiguë. La toux, la fièvre avec frissons et les sueurs nocturnes sont souvent présentes. La toux peut être productive de mucus purulent malodorant (≈ 70 %) ou moins fréquemment avec du sang dans un tiers des cas)[3]. Les personnes touchées peuvent également se plaindre de douleurs thoraciques, d'essoufflement, de léthargie et d'autres caractéristiques d'une maladie chronique.[réf. nécessaire]
Les patients atteints d'un abcès pulmonaire sont généralement cachectiques au moment de la présentation. Un tiers des patients présentent une crosse des doigts[3]. Les caries dentaires sont fréquentes, surtout chez les alcooliques et les enfants. L'examen du thorax révèle des signes de consolidation tels qu'une matité localisée à la percussion et des bruits respiratoires bronchiques.
Complications
La fistulisation de l'abcès dans l'arbre bronchique conduit à une vomique, expectoration purulente.
Bien que rare à l'époque moderne, les complications peuvent inclure la propagation de l'infection à d'autres segments pulmonaires, une bronchectasie, un empyème et une bactériémie avec infection métastatique telle qu'un abcès cérébral[2].
Causes
- Conditions contribuant à l'abcès pulmonaire
- Aspiration de sécrétion oropharyngée ou gastrique
- Emboles septiques
- Nécrosante pneumonie[4]
- Vascularite : granulomatose avec polyangéite
- Tumeurs nécrosantes : 8 à 18 %[réf. nécessaire] sont dus à des néoplasmes dans tous les groupes d'âge, plus élevés chez les personnes âgées ; le carcinome épidermoïde primaire du poumon est le plus courant.
- Organismes
Dans l'ère post-antibiotique, le modèle de fréquence change. Dans les études plus anciennes, on trouvait des anaérobies dans jusqu'à 90 % des cas, mais ils sont beaucoup moins fréquents au début du XXIe siècle[5].
- Bactéries anaérobies : Actinomyces, Peptostreptococcus, Bacteroides, Fusobacterium espèces,
- Streptocoque microaérophile : Streptococcus milleri
- Bactéries aérobies : Staphylococcus, Klebsiella, Haemophilus, Pseudomonas, Nocardia, Escherichia coli, Streptococcus, Mycobacteria[6]
- Champignons : Candida, Aspergillus
- Parasites : Entamoeba histolytica
Diagnostic
Études d'imagerie
Les abcès pulmonaires sont souvent d'un seul côté et concernent les segments postérieurs des lobes supérieurs et les segments apicaux des lobes inférieurs, car ces zones dépendent de la gravité en position couchée. La présence de niveaux air-fluide implique une rupture dans l'arbre bronchique ou, rarement, la croissance d'un organisme gazogène.[réf. nécessaire]
Études de laboratoire
L'élévation des marqueurs inflammatoires (ESR élevée, CRP) est fréquente mais non spécifique. L'examen du mucus expectoré est important dans toute infection pulmonaire et révèle souvent une flore bactérienne mixte. Les aspirats transtrachéaux ou transbronchiques (par bronchoscopie) peuvent également être mis en culture. La bronchoscopie à fibre optique est souvent réalisée pour exclure une lésion obstructive ; elle facilite également le drainage bronchique du pus.[réf. nécessaire]
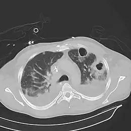
Abcès pulmonaire à la tomodensitométrie
Abcès pulmonaire sur CXR
Image de pathologie d'un abcès pulmonaire.
Un abcès sous-pleural.
Gestion
Un antibiotique à large spectre pour couvrir la flore mixte est le pilier du traitement. La physiothérapie pulmonaire et le drainage postural sont également importants. Des interventions chirurgicales sont nécessaires chez certains patients pour le drainage ou la résection pulmonaire. Le traitement est divisé selon le type d'abcès : aigu ou chronique ; s'il est aigu le traitement est a- antibiotiques : si anaérobie → métronidazole ou clindamycine ; si aérobie→ B-lactamines, céphalosporines ; si MRSA ou infection à Staph → vancomycine ou linezolide ; b- drainage postural et physiothérapie pulmonaire ; c- bronchoscopie : est utilisée dans les cas suivants : 1-aspiration ou instillation d'antibiotiques 2- patients avec une présentation atypique suspectés d'avoir un corps étranger sous-jacent ou une malignité.[réf. nécessaire]
Pronostic
La plupart des cas répondent aux antibiotiques et le pronostic est généralement excellent, sauf en cas de maladie sous-jacente débilitante. La mortalité due aux seuls abcès pulmonaires est d'environ 5 % et s'améliore.[réf. nécessaire]
Notes et références
- ↑ (en) « Anaerobic pleuropulmonary infections », Medicine (Baltimore), vol. 51, no 6, , p. 413–50 (PMID 4564416, DOI 10.1097/00005792-197211000-00001)
- 1 2 (en) « Pneumonia and Other Pulmonary Infections: Lung Abscess, Medscape » [archive du ] (consulté le )
- 1 2 (en) « Lung abscess: analysis of 252 consecutive cases diagnosed between 1968 and 2004 », Jornal Brasileiro de Pneumologia, vol. 32, no 2, , p. 136–43 (PMID 17273583, DOI 10.1590/S1806-37132006000200009)
- ↑ (en) Carol Tamparo, Fifth Edition: Diseases of the Human Body, Philadelphia, PA, F. A. Davis Company, , 367 p. (ISBN 978-0-8036-2505-1)
- ↑ (en) Bartlett JG, « The role of anaerobic bacteria in lung abscess », Clin. Infect. Dis., vol. 40, no 7, , p. 923–5 (PMID 15824980, DOI 10.1086/428586)
- ↑ (en) « Factors predicting mortality of patients with lung abscess. », Chest, vol. 115, no 3, , p. 746–50 (PMID 10084487, DOI 10.1378/chest.115.3.746)
Articles connexes
- Portail des maladies infectieuses