Voie veineuse centrale
Une voie veineuse centrale est un dispositif médical visant à cathétériser une veine de gros calibre. Ce système permet d'injecter des médicaments à un malade mais aussi, dans certains cas, de mesurer la pression veineuse centrale.
Matériel et technique

Il existe plusieurs types de cathéters centraux : les cathéters pour perfusion (une, deux, trois, quatre ou cinq voies de perfusion), les cathéters à visée diagnostique (type Swan-Ganz) et les cathéters de dialyse. Ils peuvent ou non être tunellisés.
La technique utilisée pour mettre en place un cathéter veineux central est la technique de Seldinger. Le matériel nécessaire (outre des compresses, champs opératoires, soluté de perfusion...) est le suivant : un cathéter central, un trocart creux, un guide, un dilatateur.
La technique de Seldinger consiste, après avoir repéré anatomiquement la veine centrale à cathétériser, à piquer avec le trocart monté sur une seringue en direction de ladite veine. Une fois le reflux sanguin obtenu dans la seringue, celle-ci est désadaptée du trocart dans lequel le guide est introduit. Une fois le guide en place dans la veine, l'aiguille est retirée et un dilatateur est introduit à sa place, qui a pour but de tracer le chemin au cathéter. Une fois le dilatateur introduit jusqu'à sa garde, celui-ci est retiré et remplacé par le cathéter. Une fois le cathéter en place, le guide (pour lequel on a pris soin de toujours garder un accès manuel) est enlevé et les voies de perfusion, après purge de l'air dans les voies du cathéter, sont fixées au cathéter. Le cathéter est ensuite fixé à la peau du patient par un ou deux points de suture. Un pansement est effectué au niveau de la ponction, soit à l'aide de compresses, soit par un film plastique transparent.
Par voie haute (sous clavière ou jugulaire), l'extrémité du cathéter doit être idéalement situé à la jonction de la veine cave supérieure avec l'oreillette droite[1], une position plus haute augmentant le risque de thrombose[2].
Certaines équipes préconisent le changement régulier de la voie d'abord afin de minimiser le risque d'infection. une attitude systématique (changement du matériel tous les trois jours) n'a pas fait la preuve d'une plus grande sécurité[3].
L'anticoagulation systématique (pour éviter les thromboses) n'est pas nécessaire car n'a pas fait la preuve de son efficacité[4].
Voies accessibles
Cathétérisme de la veine jugulaire

Le cathétérisme de la veine jugulaire interne s'effectue dans des conditions d'asepsie chirurgicales. Pour un opérateur droitier, il est plus facile de cathétériser la veine jugulaire droite. La main droite portant l'aiguille et la main gauche permettant le repérage de l'artère carotide interne qui est palpable car pulsatile. L'aiguille est introduite à hauteur du cartilage thyroïde à environ un centimètre en arrière de l'artère carotide interne palpée, avec un angle de 45° par rapport à la peau et en direction du thorax. Le cathétérisme de la veine jugulaire gauche s'effectue de la même façon en inversant les mains. La mise en place du cathéter peut être facilité par l'utilisation d'une échographie vasculaire contrôlant en temps réel le positionnement de l'aiguille, avec un taux de succès supérieur par rapport à la méthode classique[5].
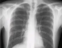
Le contrôle radiologique de la position de la voie doit être fait par une radiographie du thorax.
Cathétérisme de la veine sous-clavière

Le cathétérisme de la veine sous-clavière s'effectue dans des conditions d'asepsie chirurgicales. Pour un opérateur droitier, la veine sous-clavière gauche est la plus accessible. L'aiguille est introduite sous la clavicule, à la distance de deux travers de doigt du sternum en direction de l'épaule opposée. La main droite de l'opérateur introduit l'aiguille pendant que la gauche détermine les reliefs osseux par palpation. De la même manière, un guide est introduit par l'aiguille dès que la veine est cathétérisée. Le guide sert de tuteur à l'introduction de la voie. Cette dernière est fixée à la peau par suture. Un contrôle radiologique de la position de la voie est effectuée afin de ne pas laisser l'extrémité de la voie toucher les cavités cardiaques. On vérifie par le même examen l'absence de pneumothorax.
Cathétérisme de la veine fémorale
Le cathétérisme de la veine fémorale s'effectue dans des conditions d'asepsie chirurgicales. Il s'agit de l'abord central de l'urgence car il est le plus facile à trouver, même en cas d'hypovolémie.
Le cathéterisme se réalise après repérage manuel de l'artère fémorale au niveau du pli inguinal. la ponction est réalisé en dedans de l'artère.
Choix de la voie
Les complications immédiates de la voie fémorale sont moindres (pas de risque de pneumothorax, pas de risque d'hématome compressif), mais les risques infectieux sont plus importants (quoique cette notion soit à l'heure actuelle débattue). Elle est moins confortable pour le patient à moyen terme car ne permet pas la position assise (coudure du cathéter).
le choix entre voie sous-clavière ou jugulaire est souvent une question d'habitude du médecin. La voie sous-clavière peut se compliquer de pneumothorax et la compression est moins efficace lorsqu'il y a ponction artérielle. La voie jugulaire demande de percevoir le pouls carotidien, ce qui n'est pas toujours possible, notamment en cas d'arrêt cardio-circulatoire. Ces deux voies sont comparables du point de vue des risques d'infection[6].
Indications et utilisations
- injection de produits veino-toxiques : chimiothérapie, antibiothérapie…
- mesure de la pression veineuse centrale, mais cette indication tend à diminuer, la valeur mesurée étant un mauvais reflet de la volémie et de la réponse au remplissage vasculaire[7] ;
- pauvreté du capital veineux périphérique ;
- nutrition parentérale.
Une indication particulière est la mise en route d'une épuration extra-rénale par dialyse ou hémofiltration ainsi que la réalisation d'un échange plasmatique.
L'accès veineux central est également nécessaire en cas de mise en place d'un cathéter de Swan-Ganz pour mesurer les pressions cardiaques droites et pulmonaires. Elle sert aussi lors de la pose d'une sonde d'entraînement électrosystolique en cas de bradycardie ainsi que lors d'une exploration électrophysiologique.
Chaque utilisation doit être faite avec des soins d'asepsie soigneuse.
Contre-indications
Elles dépendent du lieu de ponction. Ainsi une infection proche de ce dernier est une contre-indication d'utilisation de cette voie à cet endroit. De même la présence d'un pneumothorax controlatéral comporte le risque de faire un pneumothorax bilatéral et le côté doit être choisi en conséquence. La voie sous-clavière, si elle est traumatique (ponction artérielle), rend la compression plus délicate et doit être évitée en cas de troubles de l'hémostase.
Il faut également tenir compte de la présence de matériels : ainsi la présence d'un stimulateur cardiaque empruntant soit une veine sous clavière, soit une veine céphalique, devra faire choisir le côté opposé pour la ponction.
Complications
Les complications communes à chaque voie centrales sont :
- les sepsis et endocardites, l'infection du cathéter étant retrouvé comme cause d'un sepsis dans un peu moins de la moitié des cas[2], en lien avec le microbiome du patient éventuellement[8]. La voie sous-clavière est légèrement plus sûre sur ce point[9] ;
- les embolies gazeuses ;
- les thromboses sur cathéter (soit de la lumière de ce dernier, soit de la veine autour du cathéter). L'incidence de cet accident est variable, entre 0 et 28 %[2] et est moins importante pour la voie sous clavière[9]. Il doit être traité comme une phlébite par mise sous anticoagulant oral pendant plusieurs mois. La thrombose de la lumière du cathéter est traité parfois par injection de fibrinolytiques dans cette dernière, sans efficacité réellement démontrée[10] ;
- les ponctions artérielles ;
- une irritation des plexus nerveux.
Les complications peuvent être liées au geste :
- rupture du cathéter sur bout de l'aiguille ;
- gêne ou inconfort lié au geste ou à l'emplacement de l'émergence du cathéter.
Certaines complications sont plus courantes selon l'accès utilisé :
- la voie sous-clavière présente un risque de pneumothorax[9].
Types de matériel
Le cathéter peut être à simple lumière ou à lumières multiples, permettant l'injection simultanée de plusieurs produits chimiquement incompatibles. Ces derniers comportent cependant un risque infectieux légèrement accru[11].
Il peut être simple, tunellisé partiellement (une partie de son trajet reste sous la peau, le cathéter sortant à distance du lieu de ponction initial). Ce procédé permet théoriquement de minimiser les risques septiques. Il peut être totalement en sous-cutané sous la forme d'un cathéter à chambre implantable, son utilisation nécessitant une ponction de la chambre.
Il existe des cathéters imprégnés ou recouverts d'anti-bactériens, avec un taux moindre de complications infectieuses, mais sans influence sur les sepsis graves ou la mortalité[12].
Voir aussi
Articles connexes
Notes et références
- ↑ (en) Debourdeau P, Farge D, Beckers M. et al. « International clinical practice guidelines for the treatment and prophylaxis of thrombosis associated with central venous catheters in patients with cancer » J Thromb Haemost. 2013;11:71-80.
- 1 2 3 (en) Smith RN, Nolan JP, « Central venous catheters » BMJ 2013;347:f6570
- ↑ (en) Cook D, Randolph A, Kernerman P. et al. « Central venous catheter replacement strategies: a systematic review of the literature » Crit Care Med. 1997;25:1417-24
- ↑ (en) Akl EA, Vasireddi SR, Gunukula S. et al. « Anticoagulation for patients with cancer and central venous catheters » Cochrane Database Syst Rev. 2011;4:CD006468
- ↑ (en) Hind D, Calvert N, McWilliams R. et al. « Ultrasonic locating devices for central venous cannulation: meta-analysis » BMJ 2003;327:361
- ↑ (en) Ge X, Cavallazzi R, Li C, Pan SM, Wang YW, Wang FL, « Central venous access sites for the prevention of venous thrombosis, stenosis and infection » Cochrane Database Syst Rev. 2012;3:CD004084
- ↑ (en) Marik PE, Baram M, Vahid B, « Does central venous pressure predict fluid responsiveness? A systematic review of the literature and the tale of seven mares » Chest 2008;134:172-8
- ↑ Pammi M, Thapa S, Balderas M, Runge JK, Venkatachalam A, Luna RA (2020) Microbiome signatures in neonatal central line associated bloodstream infections. PLoS ONE 15(1): e0227967. https://doi.org/10.1371/journal.pone.0227967
- 1 2 3 Parienti JJ, Mongardon N, Mégarbane B et al. Intravascular complications of central venous catheterization by insertion site, N Engl J Med, 2015;373:1220-1229
- ↑ (en) Van Miert C, Hill R, Jones L, « Interventions for restoring patency of occluded central venous catheter lumens » Cochrane Database Syst Rev. 2012;4:CD007119
- ↑ (en) Dezfulian C, Lavelle J, Nallamothu BK, Kaufman SR, Saint S, « Rates of infection for single-lumen versus multilumen central venous catheters: a meta-analysis » Crit Care Med. 2003;31:2385-90
- ↑ (en) Lai NM, Chaiyakunapruk N, Lai NA, O’Riordan E, Pau WSC, Saint S, « Catheter impregnation, coating or bonding for reducing central venous catheter-related infections in adults » Cochrane Database Syst Rev. 2013;6:CD007878
- Portail de la médecine
- Portail des soins infirmiers