Tumeur du poumon
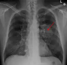
Radiographie thoracique montrant une masse parahilaire du poumon gauche
Les tumeurs du poumon sont les tumeurs (néoplasies, néoplasmes) se développant à partir du poumon.
Classification OMS/IASLC 2004
Tumeurs épithéliales malignes du poumon (cancer du poumon)
- Carcinome épidermoïde pulmonaire
- Adénocarcinome pulmonaire
- Carcinome pulmonaire à grandes cellules :
- Carcinome neuroendocrine à cellules géantes du poumon (+/- composite)
- Carcinome pulmonaire basaloïde
- Carcinome pulmonaire "lymphoépithélial-like"
- Carcinome pulmonaire à cellules claires
- Carcinome pulmonaire à grandes cellules de phénotype rhabdoïde
- Carcinome adénosquameux pulmonaire
- Carcinome sarcomatoïde pulmonaire :
- Carcinome pulmonaire à cellules pléiomorphe
- Carcinome pulmonaire à cellules fusiformes
- Carcinome pulmonaire à cellules géantes
- Carcinosarcome pulmonaire
- Carcinome pulmonaire de type glande salivaire
- Carcinome pulmonaire inclassable
- Pneumoblastome
- Blastome pleuropulmonaire
- Tumeurs épithéliales malignes neuroendocrines :
- Tumeur carcinoïde pulmonaire :
- Tumeur carcinoïde typique pulmonaire
- Tumeur carcinoïde atypique pulmonaire
- Carcinome neuroendocrine à grandes cellules
- Tumeur carcinoïde pulmonaire :
Carcinome à petites cellules
Tumeurs épithéliales bénignes du poumon
- Lésions épithéliales pré-tumorales pulmonaires
- Carcinome épidermoïde in situ bronchique
- Hyperplasie adénomateuse atypique pulmonaire
- Hyperplasie neuroendocrine diffuse idiopathique pulmonaire
- Tumeurs épithéliales bénignes pulmonaire
- Portail de la médecine
Cet article est issu de Wikipedia. Le texte est sous licence Creative Commons – Attribution – Partage à l’identique. Des conditions supplémentaires peuvent s’appliquer aux fichiers multimédias.