Papillome

Papillome
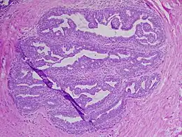
Description de cette image, également commentée ci-après
Papillome intracanalaire du sein
Traitement
Spécialité Oncologie
Classification et ressources externes
ICD-O 8050/0
MeSH D010212

Wikipédia ne donne pas de conseils médicaux Mise en garde médicale

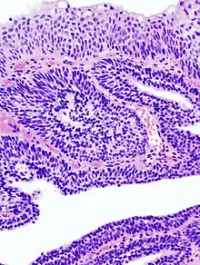
Le papillome est une petite tumeur bénigne constituée d'axes conjonctifs bordés par des cellules épithéliales.

Types

Causes

De nombreux papillomes malpighiens sont associés aux papillomavirus.

Notes et références

  1. François Maniez (ccord.). Dorland dictionnaire médical bilingue, Éditions Elsevier, 2008, (ISBN 978-2-84299-899-8), p. 666.

Liens externes

  • icône décorative Portail de la médecine
Cet article est issu de Wikipedia. Le texte est sous licence Creative Commons – Attribution – Partage à l’identique. Des conditions supplémentaires peuvent s’appliquer aux fichiers multimédias.