Trypanosoma equiperdum

Trypanosoma equiperdum
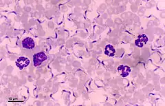
Description de l'image Trypanosoma (248 09) Trypanosoma equiperdum.jpg.
Classification
Sous-domaine Bikonta
Règne Excavata
Embranchement Euglenozoa
Classe Kinetoplastea
Ordre Trypanosomatida
Famille Trypanosomatidae
Genre Trypanosoma

Espèce

Trypanosoma equiperdum
Døflein, 1901

Τrypanosoma equiperdum est une espèce de parasites kinétoplastidés qui cause la dourine chez les chevaux et d'autres animaux de la famille des équidés. T. equiperdum est le seul trypanosome qui n'est pas disséminé par un insecte vecteur[1]. Il y a eu une importante controverse sur la question de savoir si T. equiperdum doit être considéré comme une espèce unique ou comme une souche de T. evansi ou de T. brucei[1],[2]. T. equiperdum est unique en ce que son kinétoplaste, le réseau d'anneaux connectés qui composent son ADN mitochondrial, se compose de milliers de « minicercles » dont la séquence est identique[3].

Sources et références

  1. 1 2 (en) « Trypanosoma equiperdum: master of disguise or historical mistake? », Trends in Parasitology, vol. 21, no 7, , p. 316–321 (PMID 15923142, DOI 10.1016/j.pt.2005.05.010)
  2. (en) Lai, Hashimi, Lun et Ayala, Lukes, « Adaptations of Trypanosoma brucei to gradual loss of kinetoplast DNA: Trypanosoma equiperdum and Trypanosoma evansi are petite mutants of T. brucei », Proc Natl Acad Sci USA, vol. 105, no 6, , p. 1999–2004 (PMID 18245376, PMCID 2538871, DOI 10.1073/pnas.0711799105)
  3. (en) « Kinetoplast DNA maxicircles: networks within networks », Proceedings of the National Academy of Sciences, vol. 90, no 16, , p. 7809–13. (PMID 8395055, PMCID 47232, DOI 10.1073/pnas.90.16.7809)

Voir aussi

Ressources relatives au vivant :
  • icône décorative Portail de la médecine vétérinaire
  • icône décorative Portail de la parasitologie
Cet article est issu de Wikipedia. Le texte est sous licence Creative Commons – Attribution – Partage à l’identique. Des conditions supplémentaires peuvent s’appliquer aux fichiers multimédias.