Traumatologie de la dent temporaire
La traumatologie de la dent temporaire étudie les chocs et lésions des premières dents, y apportant des soins adaptés.
Étiologie
Chute à la maison, dans la rue (après un an, risque maximum vers 3 ans avec la marche). Ces chutes sont fréquentes car les enfants courent beaucoup. Dès 3 ans, les enfants entrent à l'école :
- chutes et collisions ;
- chute à vélo : atteinte des tissus environnants et de plusieurs dents ;
- maltraitance : souvent associée à des traumas faciaux.
Prévalence
50 % des traumas des dents temporaires en âge préscolaire sont déniés. On a donc une sous estimation de ce phénomène. 30 % des enfants ont un trauma des dents temporaires :
- 1er pic entre 2 et 4 ans,
- 2d pic vers 7 ans.
En fonction du sexe :
- 31 à 40 % pour les garçons,
- 16 à 30 % pour les filles.
(De récentes études montrent qu'il y a de moins en moins de différence entre les deux sexes) En fonction des sites atteints :
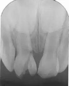
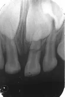
- incisives supérieures touchées à plus de 90 % ;
- lèvres ;
- incisives inférieures ;
- secteur latéral (en général dû à de gros accidents, renversé par une voiture par
exemple). À 3 ans nous sommes au stade de la maturation de l'émail avec la formation radiculaire donc toutes atteintes de la dent temporaire aura une projection sur le germe sous-jacent (tout ce qui se dirige vers le germe (infection, mouvement) présente un risque pour la dent permanente).
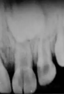
Les fractures
Fracture coronaire amélaire, ou fêlure
Fracture coronaire amélaire ou fêlure : c'est une perte d'émail qu'on peut mettre en évidence avec la lampe à polymériser par transillumination
Fracture coronaire amélo-dentinaire sans exposition pulpaire

Fracture coronaire amélo-dentinaire sans exposition pulpaire : c'est une perte de substance coronaire avec douleur plus ou moins provoquée par le froid. Le traitement consiste à protéger le complexe pulpo-dentinaire, suivi d'une reconstitution coronaire.
Fracture coronaire amélo-dentinaire avec exposition pulpaire

Fracture coronaire amélo-dentinaire avec exposition pulpaire : c'est une perte de substance coronaire avec douleurs aiguë et spontanée et plus ou moins de saignement pulpaire.
Fracture corono-radiculaire

Fracture corono-radiculaire : fracture de l'email, de la dentine, du cément avec ou sans atteinte pulpaire II y a une mobilité axiale et/ou latérale d'un fragment coronaire de la dent, avec une douleur à l'occlusion
Fracture radiculaire

Fracture radiculaire : fracture de la dentine, du cément et de la pulpe avec ou sans déplacement du fragment coronaire. Dans ce cas une mobilité axiale et/ou latérale de la dent avec une élongation coronaire survient[1], plus ou moins prononcée et une gêne à l'occlusion.
Les luxations
Contusion
Contusion : c'est un traumatisme parodontal sans relâchement ni déplacement de la dent (hématome). Il peut y avoir une légère douleur à la palpation et pas ou peu de saignement.
Subluxation
C'est un trauma parodontal avec un relâchement anormal sans déplacement dentaire. Il y a une légère douleur à la palpation, sans ou avec un léger saignement autour de la dent.
Intrusion

II s'agit du déplacement de la dent dans son alvéole souvent accompagné de fracture alvéolaire. Signes cliniques : la dent est plus courte voire invisible (attention que la dent soit toujours là), il y a une douleur spontanée et un son métallique à la percussion de la dent.
Luxation latérale
C'est un déplacement non axial de la dent souvent accompagné d'une fracture alvéolaire. Dans ce cas la dent n'est pas dans l'axe des autres, il y a un saignement autour de la dent, une douleur spontanée ou provoquée par une simple pression. Si on a une luxation latérale seule, parfois on a une absence de sensibilité et de mobilité, donc on a une luxation latérale pure sans fracture alvéolaire, sans écrasement d'os. Attention bien faire le diagnostic différentiel avec une mobilité due à une fracture radiculaire.
Extrusion

C'est un déplacement partiel de la dent hors de son alvéole. Signes cliniques : dent longue, avec saignement autour de la dent et douleurs spontanées ou provoquées par une simple pression.
Luxation totale

C'est le déplacement complet de la dent hors de son alvéole. Nous avons donc une dent absente avec l’alvéole vide saignante. Bien faire le diagnostic différentiel avec l’intrusion totale.Ne pas réimplanter la dent.
Conduite à tenir

Prenez de l'eau chaude dans votre bouche pour calmer la douleur
Notes et références
- ↑ L’élongation coronaire chirurgicale Le courrier du dentiste, 24 octobre 2009
- cours de pédodontie du Pr Tardieu, faculté d'odontologie de Marseille.
Voir aussi
Articles connexes
Liens externes
- « http://www.univmed.fr/odontologie »(Archive.org • Wikiwix • Archive.is • Google • Que faire ?)
Bibliographie
- Portail de la médecine