Traumatisme abdominal
Traumatisme abdominal
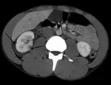
Traumatisme abdominal résultant en la contusion du rein droit (flèche vide) et du sang entourant le rein en question (flèche pleine).
| Spécialité | Médecine d'urgence |
|---|
| CIM-10 | S30-S39 |
|---|---|
| CIM-9 | 868 |
| eMedicine |
2036859 emerg/1 |
| MeSH | D000007 |
| Patient UK | Abdominal-trauma |
Mise en garde médicale
Un traumatisme abdominal est un traumatisme de l'abdomen. Il peut s'agir d'une ecchymose ou une pénétration et peut impliquer un dommage aux organes abdominaux[1]. Les signes et symptômes incluent la douleur abdominale, la rigidité, l'ecchymose et la partie externe de l'abdomen. Le traumatisme abdominal présente le risque de saignements et l'infection. Le diagnostic se fait notamment par l'échographie, la tomodensitométrie, et le traitement peut impliquer une chirurgie[2].
Références
- (en) Cet article est partiellement ou en totalité issu de l’article de Wikipédia en anglais intitulé « Abdominal trauma » (voir la liste des auteurs).
- ↑ J.E.F. Fitzgerald et Mike Larvin, « Chapter 15: Management of Abdominal Trauma », dans Qassim Baker, Munther Aldoori, Clinical Surgery: A Practical Guide, CRC Press, (ISBN 9781444109627), p. 192–204
- ↑ (en) J. O. Jansen, S. R. Yule et M. A. Loudon, « Investigation of blunt abdominal trauma », BMJ, vol. 336, no 7650, , p. 938–42 (PMID 18436949, PMCID 2335258, DOI 10.1136/bmj.39534.686192.80)
- Portail de la médecine
Cet article est issu de Wikipedia. Le texte est sous licence Creative Commons – Attribution – Partage à l’identique. Des conditions supplémentaires peuvent s’appliquer aux fichiers multimédias.