Tissu adipeux brun

Le tissu adipeux brun ou graisse brune est l'un des types de tissu adipeux (les autres étant le tissu adipeux blanc et la moelle hématopoïétique; et le tissu adipeux beige ou brite[1],[2],[3],[4],[5] pour brown in white[6]) présent chez les mammifères.
Il est particulièrement abondant chez les mammifères hibernants, marins, des régions polaires et chez les nouveau-nés, mais est présent également chez l'adulte. Sa principale fonction est d'assurer, grâce à la lipolyse de ses adipocytes, la thermogenèse chez les animaux qui hibernent et les nouveau-nés qui ne sont pas encore capables de frissonner. Contrairement aux adipocytes blancs qui contiennent une gouttelette lipidique unique, les adipocytes bruns contiennent de nombreuses gouttelettes plus petites et un nombre beaucoup plus élevé de mitochondries qui contiennent du fer, donnant au tissu sa couleur brune. La graisse brune contient aussi plus de capillaires que la graisse blanche car elle a un besoin d'oxygène plus important que la plupart des tissus.
D'après des résultats préliminaires, il pourrait avoir une efficacité anticancer équivalente à la plupart des traitements conventionnels[7],[8],[9],[10],[11].
Biochimie
À côté du rôle majeur qu'est la production d'ATP, le gradient de protons de part et d'autre de la membrane interne mitochondriale joue aussi d'autres rôles. Au niveau de la graisse brune on trouve beaucoup de mitochondries, qui possèdent une protéine que l'on appelle thermogénine (UCP-1 pour UnCoupling Protein). C'est un canal ionique qui permet la dissipation du gradient de protons sans production d'ATP[12]. L'énergie dissipée est alors convertie en chaleur par oxydation mitochondriale des acides gras. Cette oxydation entraîne une consommation élevée d'oxygène et fait intervenir les cytochromes oxydases (complexe IV de la chaine de transport des électrons, abondants et responsables de la couleur brune). La chaleur est alors transmise au sang, les tissus adipeux bruns multiloculaires ayant une riche vascularisation. On parle d'effet découplant ou de découplage de la phosphorylation oxydative, car le transport des électrons et la création d'un gradient de protons sont découplés de la synthèse d'ATP. Les enzymes de phosphorylation, notamment les ATP synthase sont en effet absentes de ce processus.
L'action du tissu brun adipeux pourrait faciliter l'élimination des triglycérides[13]. Sur un modèle de souris, une diminution de la graisse brune faciliterait la formation de l'obésité, d'un diabète de type 2 et d'une dyslipidémie[14]. Au contraire, une activité plus grande de ce tissu réduit la résistance à l'insuline et permet d'obtenir une baisse du poids[15]. L'obésité entraîne, a contrario, une « blanchification » de la graisse brune, avec perte des mitochondries, raréfaction de la vascularisation et diminution du nombre de vacuoles[16].
Fonction chez les enfants
Le tissu adipeux brun multiloculaire correspond à la première formation de graisse chez le fœtus. On retrouve beaucoup de graisse brune chez le nouveau-né, qui n'est pas capable de frissonner car son système nerveux n'est pas suffisamment développé[17]. Or les adipocytes bruns qui constituent le tissu brun réalisent une thermogenèse à partir des acides gras disponibles. Cela permet la régulation thermique néo-natale chez le nouveau-né qui passe d'un environnement à 37 °C (le ventre de la mère) à un environnement de température moyenne de 25 °C.
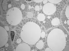
Caractéristiques histologiques

Les adipocytes bruns multiloculaires sont moins nombreux chez l'adulte que les adipocytes blancs uniloculaires. Contrairement à ces derniers qui ont un noyau repoussé à une extrémité de la cellule par la vacuole lipidique unique contenant du triacylglycérol, les adipocytes multiloculaires possèdent un noyau central.
Les vacuoles sont de taille variable. On dénote beaucoup de mitochondries ainsi qu'une riche vascularisation. La couleur brune quant à elle s'explique par la présence de fer au niveau de la matrice des mitochondries.
Le tissu adipeux brun possède une morphologie pseudoglandulaire. L'innervation est assurée par le système nerveux sympathique adrénergique.
Chez l'adulte, la nécessité de ces adipocytes est discutable car ils ne sont plus indispensables après le 28e jour postnatal, même si la présence résiduelle de tissus adipeux est possible chez le nourrisson [18]. Le tissu adipeux brun peut être retrouvé chez l'adulte, de manière plus importante chez la femme[19]. Il tend à disparaître avec l'âge mais essentiellement chez l'homme, spécialement chez les sujets obèses[20]. La graisse brune peut parfois se développer chez l'adulte sur un mode tumoral bénin constituant alors un hibernome. Ce type de graisse peut être détecté grâce à la tomographie par émission de positons utilisant le fluorodésoxyglucose comme traceur[21].
Notes et références
- ↑ Marta Giralt et Francesc Villarroya, « White, brown, beige/brite: different adipose cells for different functions? », Endocrinology, vol. 154, no 9, , p. 2992–3000 (ISSN 1945-7170, PMID 23782940, DOI 10.1210/en.2013-1403, lire en ligne, consulté le )
- ↑ (en) Miroslava Cedikova, Michaela Kripnerová, Jana Dvorakova et Pavel Pitule, « Mitochondria in White, Brown, and Beige Adipocytes », Stem Cells International, vol. 2016, , p. 1–11 (ISSN 1687-966X, DOI 10.1155/2016/6067349, lire en ligne, consulté le ) :
« These three types of adipose cells have many specific characteristics related to localization, cell composition (lipid droplet, mitochondria), function, pathways of homeostatic control, obesity related changes, and so forth »
- ↑ Anna Park, Won Kon Kim et Kwang-Hee Bae, « Distinction of white, beige and brown adipocytes derived from mesenchymal stem cells », World Journal of Stem Cells, vol. 6, no 1, , p. 33–42 (ISSN 1948-0210, PMID 24567786, PMCID PMC3927012, DOI 10.4252/wjsc.v6.i1.33, lire en ligne, consulté le ) :
« In addition, beige/brite cells have a gene expression pattern distinct from that of either white or brown fat cells. »
- ↑ (en) Miroslava Cedikova, Michaela Kripnerová, Jana Dvorakova et Pavel Pitule, « Mitochondria in White, Brown, and Beige Adipocytes », Stem Cells International, vol. 2016, , p. 1–11 (ISSN 1687-966X, DOI 10.1155/2016/6067349, lire en ligne, consulté le )
- ↑ (en) « Brun, blanc, beige : la couleur du gras et nouvelles perspectives thérapeutiques de l’obésité… », Annales d'Endocrinologie, vol. 73, , S2–S8 (ISSN 0003-4266, DOI 10.1016/S0003-4266(12)70009-4, lire en ligne, consulté le )
- ↑ « Le recrutement et l’activation d’adipocytes bruns et/ou BRITE »
- ↑ (en) Takahiro Seki, Yunlong Yang, Xiaoting Sun et Sharon Lim, « Brown-fat-mediated tumour suppression by cold-altered global metabolism », Nature, vol. 608, no 7922, , p. 421–428 (ISSN 0028-0836 et 1476-4687, DOI 10.1038/s41586-022-05030-3, lire en ligne, consulté le )
- ↑ (en) Shimona Starling, « Cold-induced BAT stunts tumour growth », Nature Reviews Endocrinology, vol. 18, no 10, , p. 587–587 (ISSN 1759-5029 et 1759-5037, DOI 10.1038/s41574-022-00738-8, lire en ligne, consulté le )
- ↑ (en) Joseph Willson, « Leaving cancer in the cold », Nature Reviews Cancer, (ISSN 1474-175X et 1474-1768, DOI 10.1038/s41568-022-00509-7, lire en ligne, consulté le )
- ↑ (en) Yu-Hua Tseng, « Adipose tissue in communication: within and without », Nature Reviews Endocrinology, (ISSN 1759-5029 et 1759-5037, PMID 36526875, PMCID PMC9756712, DOI 10.1038/s41574-022-00789-x, lire en ligne, consulté le )
- ↑ (en) Ziqing Chen et Yibin Kang, « Cold snap for cancer: cold-induced brown fat thermogenesis starves tumor growth », Signal Transduction and Targeted Therapy, vol. 8, no 1, , p. 10 (ISSN 2059-3635, PMID 36617575, PMCID PMC9826784, DOI 10.1038/s41392-022-01284-5, lire en ligne, consulté le )
- ↑ Chechi K, Carpentier AC, Richard D, Understanding the brown adipocyte as a contributor to energy homeostasis, Trends Endocrinol Metab, 2013;24:408–420
- ↑ Bartelt A, Bruns OT, Reimer R et al. Brown adipose tissue activity controls triglyceride clearance, Nat Med, 2011;17:200–205
- ↑ Hamann A, Flier JS, Lowell BB, Decreased brown fat markedly enhances susceptibility to diet-induced obesity, diabetes, and hyperlipidemia, Endocrinology, 1996;137:21–29
- ↑ Stanford KI, Middelbeek RJ, Townsend KL et al. Brown adipose tissue regulates glucose homeostasis and insulin sensitivity, J Clin Invest, 2013;123:215–223
- ↑ Shimizu I, Aprahamian T, Kikuchi R, Vascular rarefaction mediates whitening of brown fat in obesity, J Clin Invest, 2014 doi:10.1172/JCI71643.
- ↑ Naish, Jeannette, et Syndercombe Court, Denise,, Medical sciences (ISBN 9780702051388, OCLC 863854665, lire en ligne), p. 61
- ↑ Physiologie du tissu adipeux brun
- ↑ Pfannenberg C, Werner MK, Ripkens S et al. Impact of age on the relationships of brown adipose tissue with sex and adiposity in humans, Diabetes, 2010;59:1789–1793
- ↑ Cypess AM, Lehman S, Williams G et al. Identification and importance of brown adipose tissue in adult humans, N Engl J Med, 2009;360:1509–1517
- ↑ Nedergaard J, Bengtsson T, Cannon B, Unexpected evidence for active brown adipose tissue in adult humans, Am J Physiol Endocrinol Metab, 2007;293:E444–E452
Voir aussi
Sources
- (en) Cet article est partiellement ou en totalité issu de l’article de Wikipédia en anglais intitulé « Brown adipose tissue » (voir la liste des auteurs).
Articles connexes
- Graisse (anatomie), article traitant du tissu adipeux dans l'ensemble du monde animal.
- Obésité
- Portail de la biologie
- Portail de la médecine