Thécome
Thecoma
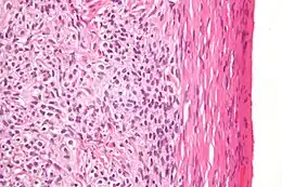
Fort grossissement d'un thécome, coloration à l'hématoxyline et à l'éosine.
| Spécialité | Oncologie |
|---|
| CIM-9 | 220 |
|---|---|
| ICD-O | 8600 |
Mise en garde médicale
Les thécomes ou tumeurs des cellules thèques sont des néoplasmes ovariens bénins composés uniquement de cellules thèques. Histogénétiquement, ils sont classés comme des tumeurs du cordon sexuel et du stroma.
Elles sont généralement productrices d'œstrogènes et surviennent chez les femmes âgées (âge moyen 59 ans ; 84 % après la ménopause ) mais elles peuvent cependant apparaître avant la ménopause[1].
60 % des patientes présentent des saignements utérins anormaux et 20 % ont un carcinome de l'endomètre.
Caractéristiques pathologiques

Micrographie à faible grossissement d'un thécome montrant une compression du cortex ovarien (à droite de l'image), coloration à l'hématoxyline et à l'éosine.
Grossièrement, la tumeur est solide et jaune.
Grossièrement et au microscope, il se compose du cortex ovarien.
Au microscope, les cellules tumorales ont un cytoplasme abondant rempli de lipides.
Sources et références
- ↑ « Ovarian thecoma associated in the first trimester of pregnancy », J. Obstet. Gynaecol. Res., vol. 30, no 5, , p. 368–71 (PMID 15327450, DOI 10.1111/j.1447-0756.2004.00212.x, S2CID 28580115)
- Portail de la médecine
Cet article est issu de Wikipedia. Le texte est sous licence Creative Commons – Attribution – Partage à l’identique. Des conditions supplémentaires peuvent s’appliquer aux fichiers multimédias.