Syndrome de Silverman
| Causes | Maltraitance sur mineur |
|---|
| CIM-10 | M89.8 |
|---|---|
| CIM-9 | 756.59 |
| MeSH | D001497 |
Mise en garde médicale
Le syndrome de Silverman est une entité radiologique (fractures multiples d'âge différents) observée chez l'enfant battu, en particulier chez le nourrisson et le petit enfant.
Cette appellation ne concerne en principe que les aspects radiologiques, mais elle est souvent étendue à tort pour désigner toute maltraitance ou sévices à enfants, de façon plus générale.
Historique
En 1860, le médecin légiste français Ambroise Tardieu (1818-1879) publie une Étude médico-légale sur les sévices et mauvais traitements exercés sur des enfants[1] attirant l'attention pour la première fois sur ce phénomène à l'intérieur des familles. Il fut peu écouté car l'autorité paternelle était un droit inviolable et il était difficile pour les médecins d'admettre que des parents puissent maltraiter leurs enfants[2].
En 1946, l'américain John Caffey (1895-1978), fondateur de la radiologie pédiatrique[3], signale l'association d'hématomes sous duraux et de fractures multiples chez six enfants. Il soupçonne une origine provoquée malgré les dénégations des parents.
En 1953, son élève et assistant Frederic Silverman (1914-2006)[4] décrit l'ensemble des caractéristiques radiologiques du syndrome. Il montre que, chez un enfant dont la structure osseuse est normale, la présence de multiples fractures « spontanées » doit être attribuée à des traumatismes par sévices.
Par la suite, les pédiatres radiologues apprennent à reconnaître ces fractures multiples et à se méfier des fausses explications données par les parents. En 1962, Henry Kempe et Frederic Silverman publient The Battered Child Syndrome (Le syndrome de l'enfant battu), décrivant l'ensemble des aspects (cliniques et radiologiques) des sévices à enfants dans un article du JAMA. Cette publication est à l'origine de l'obligation légale de les signaler aux États-Unis[5].
Épidémiologie
Les fractures accidentelles sont très rares avant l'âge de un an. Les os de l'enfant en bas âge ont des propriétés élastiques (capacité à revenir dans sa position initiale après déformation) et plastiques (capacité à se déformer sans se rompre, au-dessus d'un certain seuil de contrainte). Toute fracture avant l'âge de la marche doit faire suspecter un traumatisme infligé[6].
Les trois quarts des enfants hospitalisés pour mauvais traitements ont moins de 3 ans et la moitié moins de 1 an[7].
Les fractures dans le cadre de sévices représentent 25 % des fractures de l’enfant[8]. 15 % des nourrissons maltraités présentent des fractures du crâne, indiquant un choc direct[7].
Description
Chez le petit enfant de plus de deux ans, l'examen radiologique se fait en fonction du contexte et de l'examen clinique, en étant centré sur la région concernée[7].
Chez le nourrisson ou l'enfant de moins de deux ans, les signes cliniques sont peu évocateurs. Le bilan radiologique comporte alors une radiographie du squelette en totalité devant tout nourrisson porteur de lésions cutanées suspectes ou dont l'état général et les conditions de vie font suspecter une maltraitance[9].
Un deuxième examen, quinze jours après, est parfois réalisé pour voir apparaître des cals osseux en cas de fractures passées inaperçues ; ou encore, selon les cas, le bilan lésionnel est complété par une scintigraphie osseuse qui peut montrer des hyperfixations localisées[10].
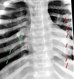
Fractures diaphysaires

Le syndrome de Silverman se caractérise par des fractures multiples d'âge différent, le plus souvent négligées, et qui peuvent se présenter comme des fractures diaphysaires des os longs.
Ces lésions sont peu spécifiques quand elles se présentent isolément : comme une fracture de la clavicule, une fracture médiane des os longs, une fracture linéaire du crâne. Ces fractures sont suspectes en l’absence d’étiologie précise rapportée par la famille ou l’adulte qui accompagne l’enfant, ou de discordance entre le récit de l'enfant et de l'adulte[8].
Chez le nourrisson et le tout-petit, la structure de l'os en croissance explique des aspects particuliers qui sont les arrachements métaphysaires, et les décollements du périoste (par hématome sous-périosté).
Arrachements métaphysaires
Chez le nourrisson, le périoste est solidement fixé par ses fibres sur la métaphyse. Lors de traumatisme indirect par traction, torsion, élongation... ces fibres ne se déchirent pas, elles arrachent des petits fragments osseux de la métaphyse[9].
Ces lésions métaphysaires sont très spécifiques : notamment celles du fémur, humérus, tibia... mais aussi les fractures postérieures de côtes, fracture de l’omoplate, fracture d’une épineuse vertébrale[8].
Hématomes
Par ailleurs, chez le nourrisson, le périoste est richement vascularisé. Si les traumatismes sont négligés ou répétitifs, il se produit des hématomes sous-périostés, visibles à la radiographie. On peut observer un début de calcification se manifestant par un liseré ou un manchon qui double la corticale (paroi de l'os)[10].
Au niveau du crâne, l'hématome sous-dural s'observe surtout chez l'enfant de moins de deux ans, le plus souvent en rapport avec le syndrome du bébé secoué[7].
Au total, le type et la localisation des fractures peuvent orienter vers le type de traumatisme : choc direct (fracture du crâne, fracture diaphysaire...), traction ou torsion (fracture métaphysaire), bébé fortement secoué ou serré (hématome sous-dural, fractures de côtes...)[6].
Examens complémentaires
Dans le cadre du bilan lésionnel et du diagnostic différentiel, ils peuvent être[6] :
- un examen ophtalmologique (fond d’œil), une imagerie cérébrale.
- un bilan de la coagulation pour éliminer une maladie sanguine.
- le bilan phosphocalcique doit être systématique afin d'éliminer une pathologie de la minéralisation osseuse. Le diagnostic d’ostéogenèse imparfaite (maladie génétique extrêmement rare associant fractures multiples, sclérotique bleutée) doit être éliminé systématiquement (de diagnostic difficile chez le nourrisson)[6].
Législation en France
Signalement
Signaler une maltraitance à enfant (mineur de quinze ans[11]) est un devoir légal, judiciaire et ordinal pour le médecin. Ne pas le faire est susceptible d'une infraction de non-assistance à personne en danger (article 223-6 du code pénal)[7],[12].
Légalement, il est délié du secret professionnel par l'article 226-14 du code pénal ; et l'article 44 du code de déontologie médicale lui impose de signaler des sévices. Si les faits lui paraissent avérés (cas d'urgence ou d'extrême gravité), il s'adresse directement au procureur de la république qui prend les dispositions nécessaires pour l'enquête pénale et la sauvegarde de l'enfant[13].
En cas de doute, le médecin doit utiliser une voie administrative. Il saisit le conseil départemental par la rédaction d'une « information préoccupante ». Ce conseil est dépositaire du domaine de la protection de l'enfance (depuis la loi du ) : dans un délai de 3 mois, ce service doit évaluer la situation et proposer, le cas échéant, des dispositifs adaptés d'aide aux familles. En cas d'échec, la situation est transmise aux autorités judiciaires[14].
Dans les faits, le plus souvent, le médecin traitant propose aux parents une hospitalisation dans l'intérêt de l'enfant. Cette hospitalisation doit être précédée d'une discussion avec les médecins hospitaliers[13], et c'est le médecin hospitalier responsable qui réalise le signalement sur la base d'un bilan complet et d'une réflexion pluridisciplinaire[15].
En aucun cas, le signalement médical ne doit mentionner le nom d'auteurs présumés. Il s'agit du signalement d'un « enfant en danger », et non pas d'une dénonciation de personne(s)[15]. Dans la mesure du possible, il est recommandé de prévenir la famille de la mise en œuvre d'une démarche de signalement[9].
Sanctions
En France, le syndrome de Silverman est susceptible d'entraîner des poursuites pénales. La peine encourue dépend non seulement des conséquences médico-légales pour l'enfant, mais aussi du caractère habituel des violences et du lien juridique ou d'autorité entre l'enfant et l'auteur des violences[16]
Exemples :
- Crime de violences ayant entraîné la mort de l'enfant sans intention de la donner : 20 ans de réclusion criminelle (30 ans si elles sont commises de façon habituelle ou par un parent, ascendant ou toute personne ayant autorité sur l'enfant) ;
- Crime de violences ayant entraîné une infirmité permanente chez l'enfant : 15 ans de réclusion criminelle (20 ans si elles sont commises de façon habituelle ou par un parent, ascendant ou toute personne ayant autorité sur l'enfant) ;
- Délit de violences ayant entraîné une incapacité totale de travail supérieure à 8 jours sur mineur de 15 ans : 5 ans d'emprisonnement (10 ans d'emprisonnement si elles sont commises de façon habituelle ou par un parent, ascendant ou toute personne ayant autorité sur l'enfant) ;
- Délit de violences n'ayant pas entraîné une incapacité totale de travail supérieure à 8 jours sur mineur de 15 ans : 3 ans d'emprisonnement (5 ans d'emprisonnement si elles sont commises de façon habituelle ou par un parent, ascendant ou toute personne ayant autorité sur l'enfant).
Sur le plan civil, retrait de l'enfant, déchéance de l'autorité parentale et placement de l'enfant en famille d'accueil (article 375 du code civil).
Notes et références
- ↑ Ambroise Tardieu, « Étude médico-légale sur les sévices et mauvais traitements exercés sur des enfants », Enfances & Psy, no 39, , p. 174–178 (ISSN 1286-5559, DOI 10.3917/ep.039.0174, lire en ligne, consulté le )
- ↑ Zied Jlalia, Talel Znaigui et Mahmoud Smida, « Le syndrome des enfants battus: aspects cliniques et radiologiques », The Pan African Medical Journal, vol. 24, (ISSN 1937-8688, PMID 27642408, PMCID PMC5012761, DOI 10.11604/pamj.2016.24.68.8543, lire en ligne, consulté le )
- ↑ (en) BR Girdany, « John Caffey, 1895--1978 », American Journal of Roentgenology, vol. 132, no 1, , p. 149–150. (DOI 10.2214/ajr.132.1.149, lire en ligne)
- ↑ (en) « Frederic Noah Silverman », sur www.whonamedit.com (consulté le )
- ↑ Alexandra R. Paul et Matthew A. Adamo, « Non-accidental trauma in pediatric patients: a review of epidemiology, pathophysiology, diagnosis and treatment », Translational Pediatrics, vol. 3, no 3, , p. 195–207 (ISSN 2224-4344, PMID 26835337, PMCID PMC4729847, DOI 10.3978/j.issn.2224-4336.2014.06.01, lire en ligne, consulté le )
- 1 2 3 4 Nathalie Vabres, « Repérage de signes cliniques évocateurs de maltraitance chez le petit enfant », La Revue du Praticien, vol. 61, , p. 653-656.
- 1 2 3 4 5 Caroline Rey-Salmon, « Maltraitance et enfants en danger », La Revue du Praticien, vol. 53, , p. 1121-1127.
- 1 2 3 Cours sur la maltraitance, Pr. Brigitte CHABROL (Hôpital d’Enfants, CHU Timone - Marseille).
- 1 2 3 Martine Balençon, « Maltraitance et enfants en danger », La Revue du Praticien, , p. 1463-1468.
- 1 2 Bertrand Ludes, « Sévice à enfants », La Revue du Praticien, vol. 52 « 7 », , p. 729-733.
- ↑ « Enlèvement d’un mineur de quinze ans » est un terme de droit pénal contenu dans l'article 227-25 du Code pénal qui signifie dans le langage courant « enlèvement d'un mineur de quinze ans ou moins »
- ↑ « Article 223-6 - Code pénal - Légifrance », sur www.legifrance.gouv.fr (consulté le )
- 1 2 Jacques Cheymol, « Signalement judiciaire, situation préoccupante », La Revue du Praticien, vol. 61, , p. 660-662.
- ↑ Martine Balençon, « Maltraitance et enfant en danger », La Revue du Praticien, vol. 62, , p. 819-820
- 1 2 Jean-José Bouquier, « Maltraitance à mineur », La Revue du Praticien - médecine générale, vol. 19, nos 684 / 685, , p. 297-300
- ↑ Legifrance, « Articles 222-7 à 222-16-3 du Code pénal »
, sur legifrance.fr (consulté le )
Voir aussi
Articles connexes
- Portail de la médecine
- Portail de l'enfance
- Portail du droit
- Portail de la criminologie