Pneumoconiose

Pneumoconiosis
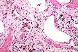
Description de cette image, également commentée ci-après
Photomicrographie d'asbestose (avec des inclusions caractéristiques), un type de pneumoconiose. Coloration à l'hématoxyline et à l'éosine.
Traitement
Spécialité Pneumologie
Classification et ressources externes
CISP-2 R99
CIM-10 J60-J65
CIM-9 500-505
DiseasesDB 31746
MeSH D011009

Wikipédia ne donne pas de conseils médicaux Mise en garde médicale

La pneumoconiose est un ensemble de maladies pulmonaires caractérisées par des altérations causées par l'inhalation et la fixation dans le poumon de particules solides. Certaines de ces maladies provoquent une fibrose du poumon, et d'autres non.

On peut citer :

  • la silicose, causée par l'exposition à la silice
  • l'asbestose (ou amiantose), causée par l'exposition à l'amiante
  • la bérylliose, causée par l'exposition au béryllium
  • l'anthracose, causée par l'exposition aux charbons
  • l'aluminose
  • la sidérose, causée par l'exposition à de la poussière de fer
  • la stibiose, causée par l'exposition à l'antimoine
  • la stannose, causée par l'exposition à l'oxyde d'étain
  • la fibrose pulmonaire due à la bauxite
  • la fibrose pulmonaire due au graphite

la présence de ces particules entraine une mauvaise diffusion (passage des gaz à travers la membrane alvéolo-capillaire)

Pathogenèse

La réaction du poumon aux poussières minérales dépend de nombreuses paramètres, parmi lesquels la taille, la forme, la solubilité et la réactivité des particules. Par exemple, il est peu probable que les particules de tailles supérieures à 5 à 10 μm atteignent les alvéoles pulmonaires, tandis que les particules de moins de 0,5 μm pénètrent dans les alvéoles et en sortent, souvent sans dépôt ni blessure importants. Les particules de 1 à 5 μm de diamètre sont les plus dangereuses car elles se logent dans les alvéoles pulmonaires ou à la bifurcation des bronchioles. La poussière de charbon est relativement inerte et de grandes quantités doivent être déposées dans les poumons avant que la maladie pulmonaire soit cliniquement détectable. La silice, l'amiante et le béryllium sont plus réactifs que la poussière de charbon, ce qui entraîne des réactions fibrose à des concentrations plus faibles. La plus grande partie de la poussière inhalée est emprisonnée dans la couverture de mucus et rapidement expulsée du poumon par le mouvement ciliaire. Cependant, certaines des particules sont affectées par les bifurcations des canaux alvéolaires, où les macrophages s'accumulent et engloutissent les particules piégées. Le macrophage alvéolaire pulmonaire est un élément cellulaire clé dans l'initiation et la perpétuation de la lésion pulmonaire et de la fibrose. De nombreuses particules activent l'Inflammasome et induisent la production d' IL-1 . Les particules les plus réactives déclenchent la libération par les macrophages d'un certain nombre de produits qui induisent une réponse inflammatoire et initient la prolifération des fibroblastes et le dépôt de collagène. Certaines des particules inhalées peuvent atteindre les vaisseaux lymphatiques soit par drainage direct, soit dans des macrophages en migration, provoquant ainsi une réponse immunitaire aux composants des particules et / ou aux protéines qui sont modifiées par les particules. Ceci conduit alors à une amplification et une extension de la réaction locale. Le tabagisme aggrave les effets de toutes les poussières minérales inhalées, plus encore avec l'amiante qu'avec toute autre particule.

Diagnostic

Indications positives sur l'évaluation du patient :

  • Essoufflement
  • La radiographie thoracique peut montrer un infiltrat interstitiel bifilaire, sous-pleural, ou de petits kystes appelés nid d'abeilles.

La pneumoconiose associée à de multiples nodules rhumatoïdes pulmonaires chez les patients atteints de polyarthrite rhumatoïde est connue sous le nom de syndrome de Caplan.

Épidémiologie

En 2013, la pneumoconiose a fait 260 000 morts dans le monde, contre 251 000 en 1990. Parmi ces décès, 46 000 étaient dus à la silicose, 24 000 à l'asbestose et 25 000 à la Broncho-pneumopathie chronique obstructive du mineur de charbon.


Voir aussi

  • icône décorative Portail de la médecine
Cet article est issu de Wikipedia. Le texte est sous licence Creative Commons – Attribution – Partage à l’identique. Des conditions supplémentaires peuvent s’appliquer aux fichiers multimédias.