Nodule rhumatoïde
Les nodules rhumatoïdes sont des irrégularités des tissus observées sous la peau, sous la plèvre ou dans la membrane synoviale dans la polyarthrite rhumatoïde.
Dans la peau, les nodules rhumatoïdes sont des nodosités sous-cutanées fermes mobiles et indolores, présentes principalement sur les crêtes ulnaires et les faces dorsales des doigts.
Histopathologie
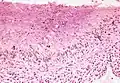
Les nodules sont caractérisés par un centre nécrotique (nécrose fibrinoïde) entourée par une bordure de macrophages disposés en palissade ("granulome palissadique"). Dans la moitié des cas, il s'y associe des cellules géantes multinucléées[1].
Coupes de tissus au microscope :
Voir aussi
Notes et références
- Portail de la médecine
Cet article est issu de Wikipedia. Le texte est sous licence Creative Commons – Attribution – Partage à l’identique. Des conditions supplémentaires peuvent s’appliquer aux fichiers multimédias.




.jpg)