Pilomatrixome
Le pilomatrixome (ou "pilomatricome", ou "épithéliome calcifié de Malherbe") est une tumeur bénigne cutanée d'origine annexielle folliculaire. La tumeur survient surtout chez les enfants et les adolescents avec prédominence féminine et se localise au niveau de la tête et du cou[1]. Cliniquement on trouvera fréquemment un nodule sous-cutané unique, de taille inférieure à 3 cm et asymptomatique (parfois douloureux)[2].
.jpg)
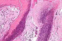
Microscopie : Pilomatrixome. HE, x24. Présence d'une tumeur calcifiée dans le derme profond.

Microscopie : Pilomatrixome. HE, X100. Présence de cellules "fantômes" partiellement calcifiées et de cellules géantes multinucléées à corps étrangers.
Références
- ↑ (en) Fatima Zahra Nasreddine, Fouzia Hali et Soumiya Chiheb, « Pilomatricome : étude de 22 cas », Pan African Medical Journal, vol. 23, (ISSN 1937-8688, PMID 27516819, PMCID PMC4963180, DOI 10.11604/pamj.2016.23.254.8674, lire en ligne, consulté le )
- ↑ (en) Nada El Moussaoui et Badredine Hassam, « Le pilomatricome : une tumeur à connaître », Pan African Medical Journal, vol. 18, (ISSN 1937-8688, PMID 25419309, PMCID PMC4237016, DOI 10.11604/pamj.2014.18.182.4861, lire en ligne, consulté le )
- Portail de la médecine
Cet article est issu de Wikipedia. Le texte est sous licence Creative Commons – Attribution – Partage à l’identique. Des conditions supplémentaires peuvent s’appliquer aux fichiers multimédias.