Os accessoire
| Système | |
|---|---|
| Comprend |
Os central du carpe, fabella, os naviculaire accessoire |
| Nom latin |
Os accessorium |
|---|---|
| TA2 |
375 |
Un os accessoire est un os qui ne possède pas un rôle primordial. Lorsqu'il n'est présent que pour une partie des individus c'est un os surnuméraire
Poignet et main


| Os accessoire | Prévalence à droite (R) et à gauche (L) [3] |
|---|---|
| Os ulnostyloideum | 1,5 % R, 2,4 % L |
| Os central du carpe | 1,3 % R, 2,1 % L |
| Os trapèze secondaire | 0,5 % R, 2,1 % L |
| Os styloïdeum | 1,2 % R, 1,2 % L |
| Os radiale externum | 1 % R, 0,9 % L |
| Os triangulare | 1 % R, 0,9 % L |
| Os paratrapezium | 0,3 % R, 0,9 % L |
| Os capitatum secondaire | 0,8 % R, 0,3 % L |
| Os hypotriquetrum | 0,5% R |
| Os hypolunatum | 0,3%L |
| Os épilunatum | 0,3% R, 0,3% L |
| Os ulnare externum | 0,3%L |
| Os pisiforme secondaire | 0,3% R |
| Os epitrapezium | 0,3%L |
| Os vesalianum manus | 0,3%L |
Os ulnostyloideum
L'os ulnostyloideum est un processus styloïde de l'ulna qui n'a pas fusionné avec le reste de l'ulna[4]. Il peut parfois être confondu avec une fracture par avulsion du processus styloïde[4],[5],[6].
Cheville

Les os accessoires de la cheville comprennent principalement :
- L'os subtibiale qui a une prévalence d'environ 1 % et est issu d'un centre d'ossification secondaire du tibia distal qui apparaît au cours de la première année de vie et qui, chez la plupart des gens, fusionne avec la diaphyse vers 15 ans chez la femme et vers 17 ans chez l'homme.
- L'os subfibulare, avec une prévalence d'environ 0,2%.
Pied


| Os | Prévalence [9] |
|---|---|
| Os sésamoïdes | |
| Sésamoïdes au niveau de l'articulation articulation métatarso-phalangienne de l'hallux | Toujours présente |
| Sésamoïde du deuxième métatarsien | 0,4% |
| Sésamoïde du troisième métatarsien | 0,2% |
| Sésamoïde du quatrième métatarsien | 0,1% |
| Sésamoïdes du cinquième métatarsien | 4,3% |
| Sésamoïde de l'articulation interphalangienne de l'hallux | 2 à 13 % |
| Os non sésamoïdes | |
| Os trigone (non visible dans la projection dorso-plantaire) | 7 à 25 % |
| Os peroneum | Jusqu'à 26% |
| Os naviculaire accessoire | 2 à 21 % |
| Os intermetatarseum | 1 à 13 % |
| Os supranaviculare | 1,0 à 3,5 % |
| Os calcanéus secondaire | 0,6 à 7 % |
| Os supratalare | 0,2 à 2,4 % |
| Os vésalianum | 0,1 à 1 % |
| Os talotibiale | 0,5% |
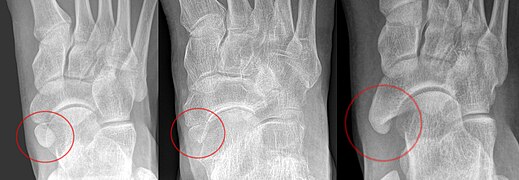
Os naviculaire accessoire

Un os naviculaire accessoire se développe parfois devant la cheville vers l'intérieur du pied. Cet os peut être présent chez environ 2 à 21 % de la population générale et est généralement asymptomatique[10],[11],[12]. Lorsqu’il est symptomatique, une intervention chirurgicale peut être nécessaire.
La classification Geist divise les os naviculaires accessoires en trois types[12] :
- Type 1 : os sésamoïde de 2 à 3 mmm dans le tendon distal du muscle tibial postérieur, généralement asymptomatique,
- Type 2 : osselet triangulaire ou en forme de cœur mesurant jusqu'à 12 mm, qui représente un centre d'ossification secondaire relié à la tubérosité naviculaire par un connecteur 1–2 mm de fibrocartilage ou de cartilage hyalin, des parties du tendon du muscle tibial postérieur s'insèrent parfois sur l'osselet accessoire, ce qui peut provoquer un dysfonctionnement et donc des symptômes,
- Type 3 : Un os corné présentant une tubérosité naviculaire médiale élargie, parfois symptomatique en raison de la formation d’oignons.
Os trigone
L'os trigone (ou astragale surnuméraire ou astragale accessoire) provient de l'échec de la fusion du tubercule latéral du processus postérieur du talus . On estime qu'il est présent chez 7 à 25 % des adultes[9].
Il peut être confondu avec une fracture par avulsion des tubercules latéral ou médial du processus postérieur du talus.
Dans la plupart des cas, l'os trigone passe inaperçu, mais dans certaines blessures à la cheville, il peut rester coincé entre le talon et les os de la cheville provocant une inflammation des structures environnantes[13].
Os accessoires moins courants

Cou

Les nodules situés dans le bord postérieur du ligament de la nuque forment du tissu osseux chez environ 11 % des hommes et 3 à 5 % des femmes après leur 30 ans et peuvent être considérés comme des os sésamoïdes[14].
Épaule
.jpg)
Un os acromial se forme lorsque l'un de ses quatre centres d'ossification ne parvient pas à fusionner. Ces quatre centres d'ossification sont appelés de la pointe à la base pré-acromion, méso-acromion, méta-acromion et basi-acromion. Dans la plupart des cas, les trois premiers fusionnent entre 15 et 18 ans, tandis que la partie de base fusionne avec la colonne scapulaire à 12 ans. Un tel échec de fusion se produit dans 1 à 15 % des cas[15],[16]. Cela provoque rarement une douleur.
Colonne vertébrale
Au niveau des processus articulaires inférieurs de la colonne lombaire chez environ 4 % des individus[17] peuvent se présenter des osselets d'Oppenheimer.
Genou
Aspect clinique
Un os surnuméraire peut provoquer un diagnostic radiographique érroné de fracture[19].
Notes et références
- ↑ Reference list for image is located at Commons:Template:Accessory bones of the wrist – references.
- ↑
- Location and structure: Erica Chu, Donald Resnick, « MRI Web Clinic — June 2014: Sesamoid Bones: Normal and Abnormal » (consulté le )
- Prevalences: Chen W, Cheng J, Sun R et Zhang Z, « Prevalence and variation of sesamoid bones in the hand: a multi-center radiographic study. », Int J Clin Exp Med, vol. 8, no 7, , p. 11721–6 (PMID 26380010, PMCID 4565393) - ↑ « Poster Abstracts », Association for Sports Medicine of Serbia (Udruženje za medicinu sporta Srbije), (consulté le ), citing: Natsis K., Beletsiotis A., Terzidis I. et Gigis P., « A study of the accessory bones of the foot. Incidence in the Greek population-clinical significance »
- 1 2 R. O'Rahilly. A survey of carpal and tarsal anomalies. J Bone Joint Surg Am. 1953; 35: 626–642
- ↑ T.E. Keats, M.W. Anderson. Atlas of normal roentgen variants that may simulate disease. 7th edition, Mosby Inc. 2001 (ISBN 0323013228)
- ↑ A. Köhler. Röntgenology. The borderlands of the normal and early pathological in the skiagram. Translated by Arthur Turnbull. Ed. 2. Baillière, Tindall & Cox, Londen, 1935
- ↑ Reference list for shapes and locations for included bones is located at: Commons:Template:Accessory bones of the ankle – references.
- 1 2 A reference list for shapes, locations and prevalences for included bones is located at Commons:Template:Accessory and sesamoid bones of the foot – references.
- 1 2 Nwawka, Hayashi, Diaz et Goud, « Sesamoids and accessory ossicles of the foot: anatomical variability and related pathology », Insights into Imaging, vol. 4, no 5, , p. 581–593 (ISSN 1869-4101, PMID 24006205, PMCID 3781258, DOI 10.1007/s13244-013-0277-1)
- ↑ « Accessory Navicular », Wheeless' Textbook of Orthopaedics
- ↑ « Macrorad Teleradyoloji Olgu Sunumları – SYMPTOMATIC ACCESSORY NAVICULAR BONE »
- 1 2 « The symptomatic accessory tarsal navicular bone: assessment with MR imaging », Radiology, vol. 195, no 3, , p. 849–853 (PMID 7754020, DOI 10.1148/radiology.195.3.7754020)
- ↑ Wilson, « Os Trigonum Syndrome: Causes, Symptoms & Treatment », Foot Pain Explored,
- ↑ SCAPINELLI R, « Sesamoid Bones in the Ligamentum Nuchae of Man », J Anat, vol. 97, , p. 417–22 (PMID 14047360, PMCID 1244202)
- ↑ Warner, Beim et Higgins, « The Treatment of Symptomatic Os Acromiale », The Journal of Bone and Joint Surgery, vol. 80, no 9, , p. 1320–6 (PMID 9759817, DOI 10.2106/00004623-199809000-00011)
- ↑ Sammarco, « Os acromiale: frequency, anatomy, and clinical implications », J Bone Joint Surg Am, vol. 82, no 3, , p. 394–400 (PMID 10724231, DOI 10.2106/00004623-200003000-00010)
- ↑ Dr Henry Knipe, « Oppenheimer ossicle », Radiopaedia (consulté le )
- 1 2 (en) Tim Luijkx et Henry Knipe, « Fabella », Radiopaedia, (lire en ligne, consulté le )
- ↑ T.E. Keats, M.W. Anderson, Atlas of normal roentgen variants that may simulate disease. 7th edition, Mosby Inc. 2001, (ISBN 0323013228)
Liens externes
- Ressources relatives à la santé :
- « Os trigone », sur le dictionnaire de l’Académie nationale de médecine
- « Fabella », sur le dictionnaire de l’Académie nationale de médecine
- Portail de l’anatomie
- Portail de la médecine
