Orteil de Morton
L' orteil de Morton ou pied grec est la condition d'un premier métatarse plus court par rapport au deuxième métatarse. C'est un type de brachymétatarsie.
Description
Les os métatarsiens derrière les orteils varient en longueur relative. Pour la plupart des pieds, une courbe lisse peut être tracée à travers les articulations à la base des orteils. Mais dans le pied de Morton, la ligne doit se plier plus fortement pour passer par la base du gros orteil, comme le montre le schéma. C'est parce que le premier métatarsien, derrière le gros orteil, est court par rapport au deuxième métatarsien, à côté de lui. Le deuxième métatarsien le plus long place l'articulation à la base du deuxième orteil (la deuxième articulation métatarsienne-phalangienne, ou MTP) plus en avant.
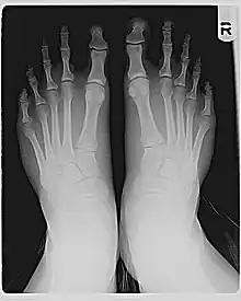
Si le gros orteil et le deuxième orteil ont la même longueur (mesurée de l'articulation MPT à la pointe, y compris uniquement les phalanges), le deuxième orteil fera saillie plus loin que le gros orteil, comme indiqué sur la photo. Si le deuxième orteil est plus court que le gros orteil, le gros orteil peut toujours dépasser le plus éloigné, ou il peut y avoir peu de différence, comme indiqué sur la radiographie.


Le symptôme le plus souvent ressenti en raison de l'orteil de Morton est la callosité et / ou un inconfort de la plante du pied à la base du deuxième orteil. La première tête métatarsienne devrait normalement supporter la plus grande partie du poids du corps de la personne durant les phases propulsives de la démarche, mais comme la deuxième tête métatarsienne est la plus en avant, la force y est transférée. La douleur peut également être ressentie dans la voûte plantaire, à l'extrémité des premier et deuxième métatarsiens, à la cheville[1].
Dans les cultures portant des chaussures, l'orteil de Morton peut être problématique. Par exemple, le port de chaussures dont le profil ne convient pas pour un deuxième orteil plus long peut causer des douleurs au pied. Une petite étude (80 personnes) n'a pas trouvé de différence statistiquement significative dans la fréquence des orteils secondaires plus longs entre les personnes avec et sans ongles incarnés, mais des chaussures étroites et mal ajustées sont généralement considérées comme augmentant le risque d'ongles incarnés [2],[3] et les chaussures sont souvent trop serrées sur les orteils[4].
Condition associée
Parmi les problèmes associés à l'orteil de Morton, il y a le fait que la répartition du poids fait que l'avant du pied s'élargit à mesure que le poids passe du premier orteil raccourci aux autres. Les chaussures régulières causent souvent des métatarsalgies et des névromes lorsque la chaussure pousse les orteils ensemble, d'où le cas du névrome de Morton. Des chaussures larges sont recommandées[réf. nécessaire]
Traitement
Les variations anatomiques asymptomatiques des pieds ne nécessitent généralement pas de traitement.
Le traitement conservateur de la douleur au pied avec l'orteil de Morton peut comprendre des exercices ou la pose d'un coussinet souple sous le premier orteil et le métatarsien ; une version antérieure de ce dernier traitement a déjà été brevetée par Dudley Joy Morton. Le rétablissement du fonctionnement normal de l'orteil de Morton à l'aide d'orthèses proprioceptives peut aider à soulager de nombreux problèmes du pied comme la métatarsalgie, les orteils en marteau, les oignons, le névrome de Morton, la fasciite plantaire et la fatigue générale du pied.
Prévalence
L'orteil de Morton est une variante minoritaire de la forme du pied. Sa prévalence enregistrée varie selon les populations, avec des estimations allant de 2,95 % à 22 %.
Étymologie
Le nom vient du chirurgien orthopédiste américain Dudley Joy Morton (1884-1960), qui l'a initialement décrit comme faisant partie de la triade de Morton (syndrome de Morton ou syndrome du pied de Morton) : un premier os métatarsien court congénital, un hypermobile premier segment métatarsien et des callosités sous les deuxième et troisième métatarses.
La confusion est née de l'utilisation du « pied de Morton » pour une affection différente, la métatarsalgie de Morton, qui affecte l'espace entre les os et qui porte le nom de Thomas George Morton (1835-1903).
Culture
L'orteil de Morton, en particulier les versions où le second orteil est plus long, est associé avec des interprétations anthropologiques et ethniques contestées. Morton l'appelait Metatarsus atavicus, le considérant comme un atavisme rappelant les orteils préhumains. Dans la statuaire et l'ajustement des chaussures, un deuxième orteil plus proéminent a été appelé le pied grec (par opposition au pied égyptien, où le gros orteil est plus long). C'était une forme idéalisée dans la sculpture grecque, et cela a persisté en tant que norme esthétique à travers les périodes romaine et Renaissance et plus tard (la statue de la Liberté a des orteils de cette proportion). Il existe également des associations au sein des groupes celtes. Les Français l'appellent communément pied grec (comme les Italiens l'appellent pied grec) mais parfois pied ancestral ou pied de Néanderthal.
Notes et références
- ↑ Decherchi, « Dudley Joy Morton's foot syndrome », Presse Médicale, vol. 34, no 22 Pt 1, , p. 1737–40 (PMID 16374398, DOI 10.1016/S0755-4982(05)84262-9)
- ↑ R. Ogawa, H. Hyakusoku, « Does Egyptian foot present an increased risk of ingrown toenail? », Plastic and Reconstructive Surgery, vol. 117, no 6, , p. 2111–2112 (PMID 16652022, DOI 10.1097/01.prs.0000214750.33936.45)
- ↑ RC. Gibbs, « Toe nail disease secondary to poorly fitting shoes or abnormal biomechanics », Cutis, vol. 36, no 5, , p. 399–400 (PMID 4064760)
- ↑ d'Août, Pataky, De Clercq et Aerts, « The effects of habitual footwear use: Foot shape and function in native barefoot walkers† », Footwear Science, vol. 1, no 2, , p. 81–94 (DOI 10.1080/19424280903386411)
Bibliographie
- DJ. Morton, Metatarsus atavicus: l'identification d'un type distinct de trouble du pied, Journal de la chirurgie des os et des articulations, Boston, 1927, 9 : 531-544.
- EFORT - Fédération européenne des associations nationales d'orthopédie et de traumatologie : Bibliothèque scientifique : Concepts du pied humain dans la mythologie, l'art et la chirurgie, John Kirkup, Efort (Bulletin européen de l'orthopédie), no 11, .
- British feet, Discover Magazine, .
- Fett et Pool, « Plantar interdigital neuroma or Morton's toe », American Journal of Surgery, vol. 78, no 4, , p. 522–5 (PMID 18141198, DOI 10.1016/0002-9610(49)90218-4)
Articles connexes
- Indice de Manning
- Pied (anatomie humaine)
- Hématome sous-unguéal ou orteil du coureur, blessure répétitive observée chez les coureurs
Liens externes
- Portail de la médecine
- Portail de l’anatomie