Oligodendrogliome anaplasique
L'oligodendrogliome anaplasique est une tumeur neuroépithéliale dont on pense qu'elle provient des oligodendrocytes, un type de cellule de la glie. Dans la classification des tumeurs cérébrales de l' Organisation mondiale de la santé (OMS), les oligodendrogliomes anaplasiques sont classés en grade III[1]. Au cours de la maladie, ils peuvent dégénérer en oligodendrogliome hautement malin, grade IV[2]. La grande majorité des oligodendrogliomes surviennent de façon sporadique, sans cause avérée et sans transmission au sein d'une famille.
Signes et symptoms
Les symptômes de l'oligodendrogliome anaplasique peuvent inclure[4]:
- Accident vasculaire cérébral
- Mal de tête
- Faiblesse d'un côté du corps
- Difficultés linguistiques
- Changements de comportement et de personnalité
- Problèmes d'équilibre et de mouvement
- Problèmes de mémoire
Pathogenèse
L'oligodendrogliome anaplasique (malin) appartient au groupe des gliomes diffus et prend naissance dans le système nerveux central (cerveau et moelle épinière) à partir de cellules souches précurseurs des oligodendrocytes. Cette tumeur survient principalement au milieu de l'âge adulte avec un pic de fréquence dans la 4e et la 5e décennie de la vie[5].
Diagnostic
La procédure de diagnostic la plus importante est l'imagerie par résonance magnétique (IRM)[5]. Parfois, en dehors des diagnostics de routine, le métabolisme dans les tissus est montré à l'aide de la tomographie par émission de positrons (TEP). Le diagnostic est confirmé par un examen des tissus fins après une opération. Les oligodendrogliomes anaplasiques montrent souvent une perte de matériel génétique. Environ 50 à 70%[6] des oligodendrogliomes anaplasiques de grade III de l'OMS présentent des pertes alléliques combinées sur le bras court du chromosome 1 (1p) et le bras long du chromosome 19 (19q). Ce changement est principalement appelé « 1p / 19q Co Deletion ». Elle peut être considérée comme favorable pour le patient et rend plus probable une réponse à la radiothérapie ou à la chimiothérapie[5]. La désignation d'oligodendrogliome de grade III (grade élevé) englobe généralement les diagnostics antérieurs d'oligodendrogliome anaplasique ou malin[1].
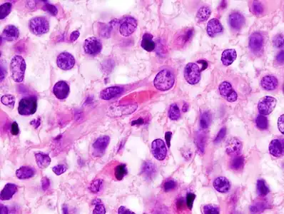
Image histopathologique d'oligodendrogliome anaplasique dans le cerveau. Coloration à l'hématoxyline et à l'éosine.
En zoomant, notez les formes irrégulières des cellules et des noyaux.
IDH1 R132H dans l'oligodendrogliome anaplasique
Traitement
La chirurgie peut aider à réduire les symptômes causés par la tumeur. Une ablation aussi complète que possible de la tumeur visible à l'IRM est privilégiée, à condition que la localisation de la tumeur le permette. Étant donné que les cellules d'un oligodendrogliome anaplasique ont généralement déjà migré dans le tissu cérébral sain environnant au moment du diagnostic, une ablation chirurgicale complète de toutes les cellules tumorales n'est pas possible. Le marqueur "1p/19q Codeletion" joue un rôle de plus en plus important dans le choix des thérapies et des combinaisons thérapeutiques. Étant donné que cette tumeur est une « affection indolente » (une affection médicale à évolution lente associée à peu ou pas de douleur) et la morbidité potentielle associée à la neurochirurgie, à la chimiothérapie et à la radiothérapie, la plupart des neuro-oncologues poursuivront initialement une attente vigilante et traiteront les patients de manière symptomatique. Le traitement symptomatique comprend souvent l'utilisation d' anticonvulsivants pour les convulsions et de stéroïdes pour le gonflement du cerveau. Pour un traitement ultérieur, la radiothérapie ou la chimiothérapie avec le témozolomide ou une chimiothérapie avec la procarbazine, la lomustine et la vincristine (PCV) s'est avérée efficace et était le schéma de chimiothérapie le plus couramment utilisé pour le traitement des oligodendrogliomes anaplasiques[5],[7].
Le cyberknife peut être utilisé pour le traitement des oligocytomes anaplasiques[8].
Pronostic
Taux de survie relative à 5 ans[9],[10]: 20 à 44 ans, 76%. 45-54 ans, 67%. 55-64 ans, 45%. La procarbazine, la lomustine et la vincristine sont utilisées depuis mai 1975. Depuis 48 ans[11], de nouvelles options thérapeutiques sont régulièrement testées dans le cadre d'études thérapeutiques pour améliorer la prise en charge de l'oligodendrogliome anaplasique.
Recherche
On a découvert que les néoplasmes communiquent entre eux dans un vaste réseau, échangeant des substances nécessaires à leur survie et évitant ainsi les effets des radiation ou de la chimiothérapie. La communication en réseau joue également un rôle important dans la propagation de la maladie. Les cellules tumorales sont même connectées à des cellules nerveuses saines et reçoivent des signaux directs de leur part, ce qui permet aux tumeurs de se développer plus rapidement. Les mécanismes étudiés n'offrent pas seulement des explications fondamentalement nouvelles sur la croissance très agressive de ce type de tumeur. Ils offrent également des pistes pour de nouvelles thérapies, afin de stopper la croissance des tumeurs cérébrales et de rendre les thérapies existantes plus efficaces. Ainsi, la perturbation, voire la destruction des réseaux de cellules tumorales devient un principe thérapeutique entièrement nouveau en oncologie, avec les premiers essais cliniques basés sur ces résultats[12].
Littérature
- Weller M, van den Bent M, Preusser M, Le Rhun E, Tonn JC, Minniti G, Bendszus M, Balana C, Chinot O, Dirven L, French P, Hegi ME, A. S. Jakola, M. Platten, P. Roth, R. Rudà, S. Short, M. Smits, M. J. Taphoorn, A. von Deimling, M. Westphal, R. Soffietti, G. Reifenberger, W. Wick: EANO guidelines on the diagnosis and treatment of diffuse gliomas of adulthood. In: Nature reviews. Clinical oncology. Volume 18, Number 3, 03 2021, pp. 170-186, DOI 10.1038/s41571-020-00447-z, , PMC 7904519 (Review).
Liens externes
- Ressources relatives à la santé :
- « Molekulare Diagnostik », Centre de neuropathologie et de recherche sur les prions – Ludwig-Maximilians-Universität München (consulté le )
Articles connexes
Références
- 1 2 (en) « The 2007 WHO classification of tumours of the central nervous system », Acta Neuropathol, vol. 114, no 2, , p. 97–109. (PMID 17618441, PMCID 1929165, DOI 10.1007/s00401-007-0243-4)
- ↑ (nl) Radboud universitair medisch centrum., « highly malignant oligodendroglioma, grade IV », sur www.radboudumc.nl/
- ↑ Mark D. Anderson et Mark R. Gilbert, « Treatment Recommendations for Anaplastic Oligodendrogliomas That Are Codeleted », Oncology, vol. 27, no 4, (lire en ligne, consulté le )
- ↑ « Oligodendrogliom, hjärntumör: orsaker, symtom och behandlingar »,
- 1 2 3 4 (de) Schweizerische Hirntumor Stiftung, « Anaplastisches Oligodendrogliom », www.swissbraintumorfoundation.com/
- ↑ (en) « Anaplastic oligodendroglioma, IDH-mutant & 1p/19q-codeleted »,
- ↑ (en) « Oligodendroglioma and anaplastic oligodendroglioma: clinical features, treatment, and prognosis », Surg Neurol, vol. 60, no 5, , p. 443–56. (PMID 14572971, DOI 10.1016/s0090-3019(03)00167-8)
- ↑ « Radiosurgery/Cyberknife » [archive du ], sur Stanford School of Medicine (consulté le )
- ↑ « Survival Rates for Selected Adult Brain and Spinal Cord Tumors », American Cancer Society (consulté le )
- ↑ Ostrom QT, Gittleman H, Xu J, et al. CBTRUS statistical report: Primary brain and other central nervous system tumors diagnosed in the United States in 2009-2013. Neuro Oncol. 2016;18 Suppl 5:v1−v75., « Survival Rates for Selected Adult Brain and Spinal Cord Tumors », Neuro-Oncology, (lire en ligne)
- ↑ (en) « Phase II study of procarbazine, CCNU, and vincristine combination chemotherapy in the treatment of malignant brain tumors », Cancer, vol. 35, no 5, , p. 1398–404. (PMID 1122488, DOI 10.1002/1097-0142(197505)35:5<1398::aid-cncr2820350524>3.0.co;2-c)
- ↑ Winkler F, Venkatesh HS, Amit M, Batchelor T, Demir IE, Deneen B, Gutmann DH, Hervey-Jumper S, Kuner T, Mabbott D, Platten M, Rolls A, Sloan EK, Wang TC, Wick W, Venkataramani V, Monje M, « Cancer Neuroscience: State of the Field, Emerging Directions » (Recension), Cell, vol. 186, no 8, , p. 1689–1707 (PMID 37059069, DOI 10.1016/j.cell.2023.02.002)
- Portail de la médecine