Mycobacterium avium

Mycobacterium avium
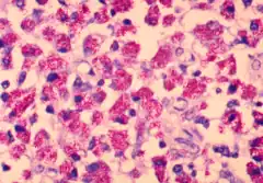
Description de cette image, également commentée ci-après
M. avium proliférant dans le ganglion lymphatique d'un patient atteint du SIDA (microscopie optique après coloration ZN)
Classification LPSN
Domaine Bacteria
Embranchement Actinomycetota
Classe Actinomycetes
Ordre Mycobacteriales
Famille Mycobacteriaceae
Genre Mycobacterium

Espèce

Mycobacterium avium
Chester 1901

Mycobacterium avium est une mycobactérie et une espèce opportuniste chez l'homme.

C'est en fait un complexe de mycobactéries non tuberculeuses qui vont causer 2 types d'infections chez l'homme :

  • Chez les enfants : Adénopathies essentiellement cervicales[1]
  • Chez l'immunodéprimé (Co infection VIH en particulier) : pneumonies[2].

Les chercheurs pensent que cette bactérie vit dans les sols autour de l'homme mais on ne sait pas vraiment où en particulier[2].

Chez la souris

Chez la souris, certaines souches peuvent être hautement virulentes et déclencher une pathologie similaire à la tuberculose humaine. Il se forme alors des granulomes avec un centre nécrotique occupé par des cellules multinucléées géantes et des macrophages infectés, entourés par une couronne de lymphocytes T activés[3].

Notes et références

  1. Sami M. Akram et Fibi N. Attia, « Mycobacterium Avium Intracellulare », dans StatPearls, StatPearls Publishing, (PMID 28613762, lire en ligne)
  2. 1 2 B. Raju et N. W. Schluger, « Significance of respiratory isolates of Mycobacterium avium complex in HIV-positive and HIV-negative patients », International journal of infectious diseases: IJID: official publication of the International Society for Infectious Diseases, vol. 4, no 3, , p. 134–139 (ISSN 1201-9712, PMID 11179916, DOI 10.1016/s1201-9712(00)90074-2, lire en ligne, consulté le )
  3. Rui Appelberg, « Pathogenesis of Mycobacterium avium infection: typical responses to an atypical mycobacterium? », Immunologic Research, vol. 35, no 3, , p. 179–190 (ISSN 0257-277X, PMID 17172645, DOI 10.1385/IR:35:3:179, lire en ligne, consulté le )
  • icône décorative Portail de la microbiologie
  • icône décorative Portail de la médecine
Cet article est issu de Wikipedia. Le texte est sous licence Creative Commons – Attribution – Partage à l’identique. Des conditions supplémentaires peuvent s’appliquer aux fichiers multimédias.