Maladie de Freiberg

Maladie de Freiberg
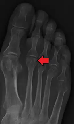
Description de cette image, également commentée ci-après
Radiographie d'une maladie de Freiberg.
Traitement
Spécialité Rhumatologie et orthopédie
Classification et ressources externes
CISP-2 L94
CIM-10 M92.7
CIM-9 732.5
eMedicine 1236085
MeSH C535636

Wikipédia ne donne pas de conseils médicaux Mise en garde médicale

La maladie de Freiberg est une ostéochondrose intéressant les métatarsiens. Elle a été décrite pour la première fois en 1914 par le chirurgien orthopédique américain Alfred H. Freiberg.

Étiologie et causes

Cette pathologie a été décrite pour la première fois en 1914 par le chirurgien orthopédique américain Alfred H. Freiberg, qui croyait qu'elle était causée par une infarction de l'os à la suite d'un traumatisme mineur ou de traumatismes répétés[1]. Il a été découvert plus tard que la maladie n'était pas uniquement causée par des traumatismes, mais aussi par d'autres causes d'ostéonécrose, comme des déficits vasculaires[2].

La maladie de Freiberg est favorisée par certains facteurs anatomiques, comme un long os du second métatarsien. Elle survient cinq fois plus souvent chez les filles que chez les garçons[3]. Elle arrive le plus souvent chez les adolescents et atteint rarement les adultes[2].

Présentation clinique et diagnostic

Le second rayon est de loin le plus touché mais la pathologie peut également intéresser le troisième et le quatrième rayon. L'atteinte bilatérale survient dans environ 10% des cas[1].

Le diagnostic est clinique et peut être confirmé par des images radiographiques, par la scintigraphie osseuse ou par l'imagerie par résonance magnétique[2]. Il existe cinq stades de maladie radiologique, appelés stades de Smillie, et pouvant aider à la planification chirurgicale[4].

Traitement

Le traitement initial consiste à reposer l'articulation en modifiant les activités pratiquées ou en diminuant la mise en charge, par l'utilisation par exemple d'une botte de marche, des orthèses plantaires ou des béquilles pour diminuer la douleur. Des anti-inflammatoires non stéroïdiens peuvent être considérés[2]. La plupart des patients répondent bien à ce traitement et ne gardent aucune séquelle de la maladie[5].

Dans les cas réfractaires, différentes chirurgies peuvent être tentées, dont les chirurgies de décompression, le débridement articulaire, l'ostéotomie, la greffe périchondrale ou l'arthroplastie[2].

Références

  1. 1 2 (en) Jeremy Jones, « Freiberg disease | Radiology Reference Article | Radiopaedia.org », sur radiopaedia.org (consulté le )
  2. 1 2 3 4 5 (en) Michael R. Carmont, Robin J. Rees et Christopher M. Blundell, « Current Concepts Review: Freiberg's Disease », Foot & Ankle International, vol. 30, no 2, , p. 167–176 (ISSN 1071-1007, DOI 10.3113/FAI-2009-0167, lire en ligne, consulté le )
  3. D. A. Katcherian, « Treatment of Freiberg's disease », The Orthopedic Clinics of North America, vol. 25, no 1, , p. 69–81 (ISSN 0030-5898, PMID 8290232, lire en ligne, consulté le )
  4. (en) I S Smillie, « Treatment of Freiberg's Infraction », Proceedings of the Royal Society of Medicine, vol. 60, no 1, , p. 29–31 (ISSN 0035-9157, DOI 10.1177/003591576706000117, lire en ligne, consulté le )
  5. (en) B. Helal et P. Gibb, « Freiberg's Disease: A Suggested Pattern of Management », Foot & Ankle, vol. 8, no 2, , p. 94–102 (ISSN 0198-0211, DOI 10.1177/107110078700800205, lire en ligne, consulté le )
  • icône décorative Portail de la médecine
Cet article est issu de Wikipedia. Le texte est sous licence Creative Commons – Attribution – Partage à l’identique. Des conditions supplémentaires peuvent s’appliquer aux fichiers multimédias.