Maladie de Bowen
Maladie de Bowen
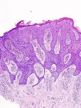
Image de la maladie de Bowen au microscope.
| Spécialité | Oncologie et dermatologie |
|---|
| CIM-10 | D04 (ILDS D04.L10) |
|---|---|
| CIM-9 | 230-234 |
| ICD-O | 8081/2 |
| DiseasesDB | 1569 |
| eMedicine | 1100113 |
| MeSH | D001913 |
| Patient UK | Bowens-disease-pro |
Mise en garde médicale
La maladie de Bowen est un carcinome épidermoïde (ou spinocellulaire) intra-épidermique (carcinome in situ), favorisé par le soleil et l'arsenic. Elle peut toucher la peau mais aussi les muqueuses[1]. Elle se présente sous la forme d'une lésion brun rougeâtre arrondie ou arciforme bien limitée dont la surface est un peu surélevée et squameuse[1]. Son diagnostic est histologique. Son évolution est très lente et la maladie présente un excellent pronostic de guérison. En revanche, en l'absence d'un diagnostic et d'un traitement approprié, elle évolue lentement mais sûrement vers un véritable carcinome épidermoïde invasif[1].
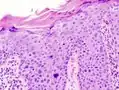
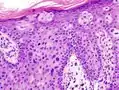
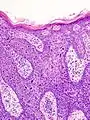
Images supplémentaires
Notes et références
- 1 2 3 N.G. Stavrianeas, « Bowen (maladie de) », sur www.therapeutique-dermatologique.org, (consulté le )
- Portail de la médecine
Cet article est issu de Wikipedia. Le texte est sous licence Creative Commons – Attribution – Partage à l’identique. Des conditions supplémentaires peuvent s’appliquer aux fichiers multimédias.
.jpg)
.jpg)
.jpg)