Métastase cérébrale

Métastase cérébrale
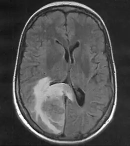
Description de cette image, également commentée ci-après
Métastase sur le pôle occipital droit (ici à gauche). La corne dorsale du ventricule latéral est compressé, la ligne médiane est légèrement déplacée.
Classification et ressources externes
MedlinePlus 000769

Wikipédia ne donne pas de conseils médicaux Mise en garde médicale

Une métastase cérébrale est une dissémination de cellules cancéreuses (Métastases) dans le tissu cérébral. Cela désigne des tumeurs malignes originant de l'extérieur du cerveau.

Les métastase cérébrales viennent souvent du cancer du poumon, du cancer du sein, du cancer du rein et de mélanome malin[1]. Ce sont les tumeurs les plus fréquentes au niveau du cerveau[2]. Elles peuvent se faire sentir, entre autres, par des maux de tête, des troubles neurologiques, des convulsions et des changements d'attitude. Le traitement et les chances de guérison dépendent de nombreux facteurs, mais les métastases cérébrales ont généralement un pronostic défavorable.

Nomenclature

  • Une métastase cérébrale isolée, est la seule métastase à côté de la tumeur primitive. Elle se caractérise par l'absence d'autres métastases en dehors du système nerveux central.
  • Lors d'une métastase cérébrale singulière en revanche, il y a d'autres métastases en dehors du système nerveux central.
  • Les métastases les plus fréquentes sont les métastases multiples, qui se caractérisent par la présence de plusieurs métastases cérébrales.

Il faut démarquer les métastases cérébrales solides de cellules tumorales dispersées dans les cavités du système nerveux central, comme par exemple lors de la méningite carcinomateuse, ainsi que les rares infiltrations diffuses du tissu cérébral par les cellules tumorales d'une tumeur non-cérébrale.

Fréquence

Aux les États-Unis, l'incidence annuelle est estimée à environ 8,3 cas pour 100 000 habitants. Là-bas, les métastases cérébrales représentent environ la moitié de toutes les tumeurs cérébrales cliniquement diagnostiquées[3]. Cependant, le nombre de métastases non diagnostiquées est sans doute plus élevé: dans une étude faite sur des autopsies à partir des années 1960, des métastases cérébrales ont été démontrées chez 1,6 % de tous les morts, et chez environ 8 % de toutes les personnes décédées de tumeurs malignes en dehors du système nerveux central[4].

Notes et références

  1. Uwe Schlegel, Michael Weller, Manfred Westphal: Neuroonkologie.
  2. Hirnmetastasen: Abwanderung von Krebszellen ins Zentralnervensystem, Krebsinformationsdienst des Deutschen Krebsforschungszentrums (DKFZ), Heidelberg.
  3. Walker et al.: Epidemiology of brain tumors: the national survey of intracranial neoplasms.
  4. Jänisch et al.: Über die Häufigkeit und Herkunft von Metastasen im Zentralnervensystem.
  • icône décorative Portail de la médecine
Cet article est issu de Wikipedia. Le texte est sous licence Creative Commons – Attribution – Partage à l’identique. Des conditions supplémentaires peuvent s’appliquer aux fichiers multimédias.