Luxation

Luxation
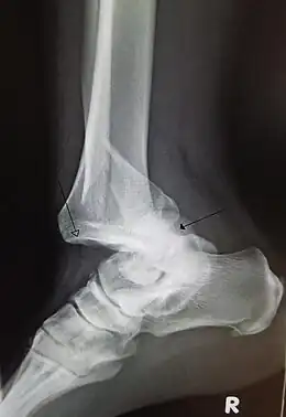
Description de cette image, également commentée ci-après
Une luxation traumatique de l'articulation tibio-talaire de la cheville avec une fracture fibulaire distale. La flèche creuse montre le tibia et la flèche pleine le talus.
Traitement
Spécialité Orthopédie
Classification et ressources externes
CISP-2 L80
CIM-10 T14.3
CIM-9 830-848
MedlinePlus 000014
MeSH D004204

Wikipédia ne donne pas de conseils médicaux Mise en garde médicale

Luxation antérieure sous-coracoïdienne de l'épaule gauche.

La luxation est définie par une perte totale de contact des surfaces articulaires d'une articulation, se produisant lors d'un traumatisme. C'est une des urgences en chirurgie orthopédique, dans le sens où l'intervention (par manœuvres ou par opération) doit intervenir rapidement, d'une part pour le risque de compression d'éléments nobles (vaisseaux, nerfs), d'autre part pour l'avenir de l'articulation (déformation articulaire, instabilité, arthrose). Elle peut être favorisée par une trop grande élasticité des ligaments, appelée hyperlaxité. Dans le langage courant, la luxation est appelée déboîtement. Lorsque la perte de contact n'est pas totale, on parle de sub-luxation : elle est souvent le fait d'instabilités articulaires chroniques. En chiropraxie, on évoque des luxations notamment au niveau vertébral, mais c'est une expression pour décrire une douleur localisée sans qu'il y ait perte complète du contact articulaire.

Mécanisme

Le mécanisme le plus fréquent est une chute à distance du foyer douloureux (luxation de l'épaule par chute sur la main), ou une sollicitation extérieure d'un membre comme une clef de bras (armlock). Le membre joue un rôle de levier qui amplifie l'effort sur l'articulation.

Symptôme

Luxation acromio-claviculaire (épaule gauche) : on note sur la photo que l'épaule est plus basse, et que la clavicule remonte en « touche de piano » ; la disjonction acromio-claviculaire est nettement visible sur la radio (cm) ; les vis et la cicatrice sont d'un traumatisme ancien sans rapport avec le cas présent.

Les premiers éléments pouvant faire penser à une luxation sont :

  • le mécanisme : choc, chute ;
  • la douleur, apparue brusquement et localisée ;
  • l'impotence fonctionnelle : il est extrêmement douloureux ou impossible d'effectuer certains mouvements même aidé ;
  • la déformation : asymétrie des articulations souvent manifeste (l'articulation de gauche ne ressemble pas à celle de droite) ;
  • la perception par le patient d'un craquement qui témoigne de la déchirure des sangles ligamentaires (mais c'est valable aussi pour une entorse grave);
  • la perception par le patient lors du traumatisme d'un claquement voire d'un ressaut qui témoigne d'une sortie de l'os de son logement ;
  • antécédent de luxation : lorsqu'une articulation a été luxée, elle est affaiblie et donc l'apparition d'une autre luxation au même endroit est probable.

Ces signes ne sont pas spécifiques et peuvent aussi indiquer une entorse ou une fracture, mais un examen clinique attentif fera la différence. À l'inverse, certaines luxations présentent des symptômes atténués, par exemple dans le cas d'une personne ayant des articulations souples (enfant, récidive de luxation).

Le seul examen pouvant indiquer sans ambigüité s'il y a luxation ou non est la radiographie.

Conséquences

La luxation est un déplacement ou un écartement de deux surfaces articulaires, accompagné d'une déchirure des ligaments, qui peut aller dans les cas extrêmes jusqu'à leur rupture ou à un arrachement osseux. Il y a donc une fragilisation de l'articulation. De même, la luxation répétée peut entraîner la fêlure osseuse (exemple : fracture de la glène dans la luxation scapulo-humérale) qui fragilisera aussi l'articulation.

En outre, le déplacement de l'articulation peut pincer un nerf ou un vaisseau sanguin, ce qui peut provoquer des problèmes neurologiques aux membres (notamment aux extrémités) et d'alimentation sanguine (ischémie). Pour les membres, on aura une indication de tels problèmes si la personne présente :

  • des troubles de la sensibilité (sensation de fourmillement, perte de sensibilité, sensation de décharge électrique) ou de la motricité des extrémités ;
  • un pouls distal (radial ou pédieux) dissymétrique, difficile à sentir d'un côté voire absent, des pâleurs et froideurs aux doigts ou orteils.

Dans certains cas, une luxation non détectée et donc non réduite aura pour conséquence, à long terme, une reconstruction articulaire : une nouvelle articulation va se créer sur la nouvelle zone de contact articulaire sous la forme d'un creusement osseux, une mobilité approximative est alors retrouvée. Ce type de réarrangement osseux est le plus souvent observé sur les luxations de l'épaule et de la hanche.

Traitement

La luxation est un problème qui doit être traité par un médecin, c'est une urgence.

En attendant les secours

Il faut conseiller à la victime de ne pas bouger, et interdire à toute personne de tenter de bouger la victime sauf urgence vitale (dégagement d'urgence). Si la personne tombe inconsciente, il faudra la tourner en position latérale de sécurité du côté blessé.

Il est aussi important de prendre le pouls de la victime en aval de la luxation. S'il est absent cela signifie que le membre n'est plus irrigué.

Prompt secours

Le relevage et le transport (brancardage) doivent s'effectuer avec beaucoup de soin en évitant les à-coups.

Dans le cas d'une luxation de l'épaule, on posera une écharpe diagonale, ou on mettra un linge sous l'aisselle pour essayer de soutenir le poids du bras qui tire sur l'épaule. Dans les autres cas, l'immobilisation se fera avec le matelas immobilisateur à dépression.

Traitement médical

Réduction, contention. Il est très important d'utiliser des radiographies afin de s'assurer que la luxation n'est pas accompagnée d'une fracture. Généralement, une luxation de l'épaule demande une à trois semaines d'immobilisation de l'articulation par l'intermédiaire d'une attelle de type écharpe ou gilet orthopédique d'immobilisation. Traitements de la luxation :

  • sous prémédication ou parfois sous anesthésie générale,
  • réduction de la luxation en faisant revenir doucement l'extrémité luxée dans son compartiment d'origine,
  • immobilisation de l'articulation en position de relâchement pendant dix à vingt-et-un jours.

Formes topographiques

Toutes les articulations peuvent être le siège d'une luxation, mais certaines localisations sont plus fréquentes

Luxation de l'articulation temporo-mandibulaire (ATM)

Il existe deux types de luxation de l'ATM :

  • la luxation discale, c'est une altération fonctionnelle des ATM, caractérisée par la dislocation du complexe disco-condylien ;
  • la luxation condylienne ou luxation temporo-mandibulaire qui est une altération des rapports entre l'éminence temporale et le condyle mandibulaire.

La réduction se fait grâce à la manœuvre de Nélaton.

Luxations traumatiques de la ceinture scapulaire

Luxation de l'épaule ou scapulo-humérale

La luxation scapulo-humérale ou gléno-humérale, le plus souvent antérieure « pure » mais peut s'accompagner d'une fracture de la grande tubérosité (ou trochiter) dans ce cas la réduction est la même, mais il faudra fixer le fragment au reste de l'humérus. Quand il n'y a pas d'arrachement osseux, la réduction doit être rapidement réalisée, pas tant pour l'avenir de l'articulation mais plutôt pour la moindre difficulté de réalisation. En effet de nombreuses techniques ont été décrites, la plus connue est celle d'Hippocrate, consistant à tirer sur le bras dans l'axe en plaçant le pied de l'opérateur dans l'aisselle du patient. Cette technique se heurte à de nombreux échecs car source de douleurs importantes, or la réussite d'une réduction dépend directement du relâchement musculaire du patient. Ceci explique la variabilité individuelle, certaines luxations de l'épaule se résolvant sans aucune anesthésie, ni sédation, simplement avec une analgésie légère, et d'autre se terminant au bloc opératoire sous anesthésie générale après plusieurs tentatives infructueuses (en particulier chez un sujet jeune et musclé pour lequel le relâchement musculaire n'a pas pu être obtenu). De toutes façons la réduction est un geste médico-chirurgical, les risques sont la blessure du nerf circonflexe qui détermine la sensibilité du galbe de l'épaule, il peut être abimé au moment du traumatisme comme lors du traitement et sa blessure doit être recherchée et consignée sur le dossier médical. Les autres blessures sont plus rares, signalons juste le risque de fracture de la tête humérale sur le bord de l'omoplate chez un patient âgé à os fragile. Tout ceci est valable pour la luxation en avant de l'omoplate mais il existe des luxations postérieures, donc en arrière de diagnostic plus difficile (pouvant être une lésion traumatique suivant une crise d'épilepsie), et des luxations inférieures "erecta", le bras restant levé vers le ciel sans possibilité d'abaissement. Le déplacement étant particulier, la réduction nécessite toujours une anesthésie générale. Les luxations répétées ou itératives ne guériront plus et nécessiteront une stabilisation chirurgicale pour éviter les récidives.

Luxations de la clavicule

À son extrémité externe, ou disjonction acromio-claviculaire. C'est une lésion dont les conséquences diffèrent beaucoup selon les patients, d'une simple gêne esthétique par une bosse à une impotence quasi complète de l'épaule. Elle passe souvent inaperçue dans les polytraumatismes, ou lorsque la radiographie est mal réalisée, on porte un diagnostic de contusion de l'épaule mais celle-ci ne s'améliore pas avec le temps. Dans les formes invalidantes une stabilisation chirurgicale peut être réalisée. À son extrémité interne, la clavicule peut se luxer en avant du sternum, en général on ne perçoit pas la saillie sous la peau, car il existe un volumineux hématome, ou en arrière pouvant réaliser théoriquement une compression des structures profondes du thorax.

Luxation postérieure du coude gauche sans fracture associée

Luxation du coude

La luxation traumatique du coude est une lésion traumatique non rare, venant en second, derrière la luxation d'épaule.

Elle est habituellement réduite sans retard chez de grands enfants, adolescents ou adultes jeunes.

Une lésion traumatique survenant chez un petit enfant ou un adulte plus âgé est plus vraisemblablement associée à une fracture.

Seule est évoquée, la luxation pure ou seulement associée à un petit fragment osseux périarticulaire.

Traitement

  • La réduction du coude est faite sans retard par manipulation externe (en règle pas d'opération).
  • Cette réduction « orthopédique » ne pose en règle générale pas de difficulté, volontiers sans anesthésie ni même sédation : en douceur.

Pronation douloureuse des jeunes enfants

  • La pronation douloureuse s'observe chez le petit enfant (< 6 ans) retenu par la main, tiré vers le haut (traction du membre supérieur dans l'axe du radius) : nursemaid's elbow des anglophones.
  • Elle correspondrait à une luxation de la tête du radius au niveau du coude à la suite d'un mouvement en traction du bras.
  • La réduction est aisée, la radio inutile en l'absence de signes cliniques de fracture associée, un peu moins aisée (clic émoussé par l’œdème) au bout de 48 heures, possible sans grosse difficulté ni douleur même si l'enfant fatigué est de plus en plus craintif
  • Tant que le coude n'est pas réduit, le petit enfant ne se sert plus de sa main : manœuvre de réduction simple.

Main et poignet

Luxation des doigts

  • Au niveau des articulations entre les phalanges, elles sont assez fréquentes, et en général simples à réduire.

Il faut se méfier des blessures tendineuses occasionnées (en particulier sur le tendon extenseur). Le plus gros risque est de vouloir réduire en force son doigt déformé sans comprendre exactement le déplacement, et d'engendrer une fracture.

  • Au niveau des articulations entre phalanges et métacarpiens, elles sont plus rares et plus complexes, il arrive parfois qu'elles soient irréductibles par interposition de la plaque palmaire, fibrocartilage qui constitue le socle articulaire à la face palmaire des articulations des doigts.

Luxation du pouce

La réduction n'est pas facile à obtenir, et le risque est au cours de la manœuvre d'intercaler un des 2 petits os sésamoïdes dans l'interligne articulaire rendant les mouvements impossibles et obligeant à opérer.

Au niveau du poignet

Il n'existe pas réellement de luxation du poignet, car en général l'ensemble ligamentaire reste solidaire et c'est le plus souvent une fracture de l'extrémité inférieure du radius, du cubitus qui se produit. Seul un osselet du carpe risque véritablement de se luxer, c'est le semi-lunaire, il faut toujours opérer pour le replacer. Les luxations entre le carpe et les métacarpiens sont peu fréquentes, difficiles à visualiser sur des radiographies (tableau de grosse main traumatique totalement impotente avec radiographies paraissant normales) et doivent être opérées.

Luxation de la hanche

  • La luxation à la suite d'une arthroplastie (prothèse de hanche) est la cause la plus commune (à la suite d'une erreur de positionnement des pièces par exemple).
  • La luxation sur hanche saine est observée lors d'accidents de la route, des sports de contact (football, rugby, hockey, lutte) et lors de certaines chutes.
  • Les signes et symptômes sont : douleur en arrière de la cuisse et de fesse, la jambe paraît plus courte. La hanche est en position de flexion, adduction et rotation interne.

La luxation postérieure est la plus fréquente soit de 85 à 90 %. Les mécanismes de cette luxation sont un mouvement de flexion et d'adduction de hanche ainsi qu'une flexion de genou, ce qui crée une force qui entraîne la tête fémorale à sortir de l'acetabulum vers l'arrière. Les mouvements luxants sont alors la flexion, l'adduction et la rotation interne. Pour la luxation antérieure, les mouvements luxants sont l'extension et la rotation externe.

  • Non exceptionnelle, elle est souvent associée à une fracture du bassin généralement une fracture de l'acetabulum ou de la tête fémorale.
  • La réduction en règle sous anesthésie générale et surtout sans retard s'efforce de prévenir la nécrose de la tête du fémur. La réduction doit se faire dans les 6 à 8 heures à la suite de la luxation afin de diminuer les risques de nécrose avasculaire de la tête fémorale : complication qui touche 10 à 15 % des patients. Si le délai n'est pas respecté, le risque augmente à plus de 40 %. La réduction consiste à une traction de la hanche positionnée à 90° de flexion avec une stabilisation ferme au niveau du bassin. Deux méthodes connues portent le nom de Allis et Stimson.

Voir aussi Subluxation de la hanche.

Le genou

Luxation de la rotule

Elle se produit toujours dans le même sens, la rotule allant se loger en haut et dehors de la trochlée fémorale. La réduction est simple, pouvant être réalisée par le patient lui-même en mettant la jambe en extension et en empaumant la rotule pour la ramener vers le bas et l'intérieur. Une contention souple aide à la cicatrisation d'un ligament (aileron rotulien) interne, c'est lui qui en se déchirant autorise le déplacement.

Luxation du genou, fémoro-tibiale

Nécessitant une anesthésie générale, elle peut se compliquer d'une contusion, voire de la rupture, de l'artère poplitée qui passe derrière le genou. Aussi la première urgence est de traiter une ischémie post-traumatique du genou avant de s'occuper de l'articulation. La réduction obtenue, le genou doit être réévalué car il existe fréquemment des lésions des ménisques, des ligaments croisés, des ligaments latéraux et de la capsule articulaire, le genou se retrouvant en situation d'entorse grave.

Anse de seau ou languette d'un ménisque du genou

  • L'« anse de seau » luxée, ne sort pas vraiment du cadre des luxations traumatiques dans le sens où elle est volontiers associée à d'autres lésions du genou (dont celle du ligament croisé antérieur ou LCA).
  • C'est assez souligner l'intérêt d'un diagnostic précis avant toute intervention clinique devant tout « blocage » permanent du genou.
  • Cette déchirure partielle d'un ménisque (en règle interne), anse de seau luxée au centre de l'articulation limite les cinq ou dix derniers degrés d'extension (« blocage méniscal vrai »).
  • La réduction peut être obtenue (provisoirement sans doute) en manipulant le genou pour faire « céder » en douceur (anesthésie locale aux États-Unis…) la partie coincée.
    • En cas d'échec, en différant de quelques jours le traitement, le fragment revient volontiers à l'occasion d'un mouvement dans la position anatomique.
    • Sinon, il faut envisager sans tarder une arthroscopie pour restaurer le ménisque.
  • Pour peu que l'examen clinique soit fait par un chirurgien expérimenté, il est exceptionnel que cette arthroscopie « découvre » une lésion associée « latente » (!) du LCA.

Luxation de la cheville et du pied

La luxation « pure » de la cheville, c'est-à-dire tibio-talaire, est rare, le plus souvent il s'agit d'une fracture-luxation, c'est-à-dire de fractures des extrémités inférieures du tibia ou de la fibula autorisant le déplacement du pied en arrière, en avant ou sur les côtés. La réduction doit être obtenue rapidement, la stabilisation des fractures se faisant secondairement. La luxation peut se produire sous le talus et entraine fréquemment des séquelles. Le talus peut être « énucléé » avec issue de l'os à travers la peau, c'est un exemple de luxation ouverte. Les luxations entre tarse et métatarsiens doivent être réduites au bloc et stabilisées. Les luxations métatarso-phalangiennes suivent les mêmes principes qu'à la main. Les luxations entre les phalanges d'orteils ne posent en général pas de problèmes.

Les luxations de la colonne vertébrale

Elles sont peu fréquentes, la colonne subissant plus souvent des fractures et des tassements. Elles existent au niveau cervical avec un risque de tétraplégie quand la luxation se produit au-dessous de la 4e vertèbre cervicale, et un risque de mort au-dessus de la 4e vertèbre cervicale (le risque étant la compression ou rupture de la moelle épinière, et à ce niveau se trouve le centre d'innervation du diaphragme qui régule la respiration autonome). Par contre, une découverte scientifique a démontré la rotation crânio-caudale avec basculement au niveau de la première vertèbre nommée atlas faites par le professeur et radiologue allemand Michaël Rainer Seibel. À l'étage lombaire ou thoracique on ne décrit pas de luxations simples. Au niveau sacro-coccygien, il peut exister des luxations, mais elles sont difficiles d'interprétation sur des radiographies et le terme de luxation du coccyx est souvent utilisé abusivement pour décrire une blessure à ce niveau. L'atlas (première vertèbre cervicale) est aussi susceptible de luxation[1].

À part, la luxation congénitale de la hanche

Elle touche les filles dans la proportion de six à huit pour un garçon. Elle affecte particulièrement les Lapons, les Amérindiens Navajos, les Kabyles, les Inuits et les Bigoudens.

Cette anomalie du positionnement de la tête du fémur dans le cotyle est handicapante si elle n'est pas diagnostiquée par une échographie à l'âge d'un mois par un pédiatre attentif, puis traitée en maintenant les membres inférieurs du bébé fléchis, cuisses écartées, au moyen d'un lingeage adapté et serré, d'un coussin de Becker ou d'un harnais.

Le portage peut régler le problème de luxation de la hanche chez l'enfant si la pathologie n'est pas trop sévère et que les parents d'enfants atteints prennent leur rôle de porteur au sérieux.

Voir aussi

Articles connexes

Liens externes

Notes et références

  • Magee, David J., Zachazewski, James E., Quillen, William S. Traumatic hip dislocation, Pathology and intervention in musculoskeletal rehabilitation, Missouri Saunder elsevier 2009, 974 pages
  • icône décorative Portail de la médecine
  • icône décorative Portail de la médecine vétérinaire
Cet article est issu de Wikipedia. Le texte est sous licence Creative Commons – Attribution – Partage à l’identique. Des conditions supplémentaires peuvent s’appliquer aux fichiers multimédias.