Kyste de Tarlov
| Spécialité | Oncologie, neurologie et radiologie |
|---|
| CIM-9 | 355.9 |
|---|---|
| DiseasesDB | 32082 |
| MeSH | D052958 |
Mise en garde médicale
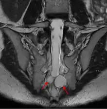
Un kyste de Tarlov (KT) ou kyste périneural, est une dilatation locale de l'espace sous-arachnoïdien se formant au contact d'une racine nerveuse, le plus souvent sacrée, dans la zone de transition entre arachnoïde et périnèvre (membrane externe du nerf). Il est fréquent et le plus souvent asymptomatique, mais peut parfois causer des symptômes neurologiques : on parle alors de maladie de Tarlov.
On doit sa première description, en 1938, au neurochirurgien américain Isadore Tarlov (1905-1970)[1].
Définition
La cavité kystique correspond à une prolongation de l'espace sous-arachnoïdien entre l'endonèvre et le périnèvre. Dans la classification de Nabors (1988) les KT correspondent à des kystes de type II[2]. Génétiquement, ils sont rattachés à la famille des défauts du tube neural[3],[4].

Symptômes
Le kyste de Tarlov est le plus souvent asymptomatique et découvert fortuitement lors du bilan d'imagerie d'une lombosciatique[5]. Cependant le kyste en lui-même peut être une cause de sciatique, voire lorsqu'il est situé au niveau sacré de troubles vésicosphinctériens (mictions impérieuses, dysesthésie anale...)[5]. Chez la femme, le kyste de Tarlov peut être la cause d'un syndrome d'excitation génitale persistante[6].
Causes
Traitement
La prise en charge d'un kyste de Tarlov responsable de sciatique ne diffère pas de celle d'une sciatique classique. En cas d'échec du traitement médical, on propose une libération chirurgicale de la racine comprimée[5].
La maladie étant rare, peu de praticiens savent la diagnostiquer et proposer une prise en charge adaptée. Le centre de référence en France pour cette pathologie est l'hôpital Louis Pasteur de Colmar, où les neurochirurgiens traitent avec succès des malades en nombre significatif.
La communauté médicale est très divisée sur la façon de traiter ces problèmes (ceci signifie donc qu'il n'existe pas de traitement optimal). En raison de la pathogenèse claire et physiopathologie des kystes de Tarlov, il n'existe pas de consensus sur le traitement optimal des kystes péri-neuraux sacrés symptomatiques.
Il y a quelques traitements disponibles pour soulager les symptômes causés par ces kystes, mais leur efficacité est discutable.
Les indications potentielles pour un traitement chirurgical sont :
- résultats d'IRM indiquant l'existence d'un kyste périneural sacré ;
- diamètre du kyste supérieur 1,5 cm ou 0,6 pouce ;
- des symptômes et signes neurologiques attribués à des kystes périneuraux sacrés suffisamment graves pour justifier un traitement ;
- peu ou pas de réponse au traitement médical et physique bien conduit ;
- aucune contre-indication pour la chirurgie.
Les deux principaux types de traitement sont l'extraction de [liquide cérébrospinal du kyste ou son ablation, complète ou partielle. Mais parce que les parois des kystes sont bordées de nerfs, le traitement n'est pas toujours envisageable. On a observé une morbidité plus élevée chez les patients qui ont des kystes bilatéraux sur le même niveau spinal.
- Injection de colle sous scanner :
On vide le kyste et on met un peu de colle biologique à l'intérieur afin de décompresser légèrement le kyste par rétractation et diminuer ainsi la pression sur les racines nerveuses. Parfois, la méthode échoue car le kyste est trop important et la colle ne tient pas du fait que le liquide cérébrospinal (LCS) continue d'arriver sous pression, dissolvant le colmatage. Mais de nouvelles techniques dites à double aiguille — une pour enlever le liquide, l'autre pour introduire la colle, fabriquée à partir d'éléments du plasma sanguin pour éviter les rejets — semblent prometteuses[réf. souhaitée].
- Extraction du kyste : marsupialisation (en) du kyste avec élargissement du canal lombaire et plastie des racines sacrées pour éviter un trapage ultérieur. Les suites postopératoires sont notamment marquées par :
- fuite de liquide cérébrospinal (LCS) (qui peut être symptomatique),
- méningite.
Indications chirurgicales et options de traitement
Les kystes méningés spinaux ont été classés par Nabors et al. en trois types :
- type I : kystes méningés extraduraux sans implication de fibre de la moelle ni des racine nerveuse ;
- type II : kystes méningés extraduraux avec la colonne vertébrale et fibres nerveuses profondes ;
- type III : kystes méningés intraduraux (moelle spinale).
Quel que soit le système de classification, la définition d'un kyste de Tarlov est histopathologique car elle nécessite la présence de fibres de racines nerveuses de la colonne vertébrale dans la paroi du kyste ou dans sa cavité. Les kystes de Tarlov sont définis comme des lésions sacciformes, remplies de LCS, situées dans l'espace extradural du canal spinal sacré et formées à l'intérieur de la gaine de la racine nerveuse au ganglion de la racine dorsale.
Les kystes ont une paroi composée de périnèvre et de tissu neural. Ils montrent une paroi des tissus membraneux, avec des fibres nerveuses périphériques et les cellules ganglionnaires intégrés dans le tissu conjonctif. Ils ont trouvé des fibres nerveuses dans les parois des kystes dans 75 % de leurs cas.
Parce que les kystes de Tarlov sont souvent accessoires, la clinique peut conduire à trois diagnostics différentiels :
- une autre pathologie est à l'origine des symptômes ; le kyste de Tarlov n'est pas symptomatique ;
- une autre pathologie est probablement à l'origine des symptômes, mais le kyste de Tarlov pourrait être une cause secondaire des symptômes
- le kyste de Tarlov est la seule constatation pathologique qui peut expliquer les symptômes. Évidemment, cela exige de pouvoir évaluer soigneusement la corrélation entre les résultats cliniques et radiologiques.
Dans l'option 1, l'objectif principal est le traitement de la cause principale. Certains auteurs ont rapporté des cas liés à l'option 2, dans laquelle les kystes de Tarlov peuvent contribuer aux symptômes en raison de leur localisation anatomique.
Si les deux premières options sont exclues et que le kyste de Tarlov est considéré comme la cause des symptômes, le traitement du kyste est indiqué. Toutefois, aucun consensus n'a été atteint sur la modalité de traitement idéal. Il existe très peu de données publiées concernant l'histoire naturelle des kystes de Tarlov. En outre, aucune des études disponibles n'a signalé un nombre important, et aucun critère ne semble clairement défini pour la gestion chirurgicale ou conservatrice symptomatique des kystes de Tarlov.
Les rapports de la littérature à ce jour sur les différentes options chirurgicales pour les kystes de Tarlov peuvent être divisés en deux sous-groupes :
- détournement de l'écoulement du LCS : par aspiration percutanée guidée au scanner, shunt lombo-péritonéal ou shunt cystosubarachnoidien ;
- approche microchirurgicale directe.
Les premiers rapports sont une aspiration percutanée guidée par scanner du kyste méningée sacrée qui ont décrit kyste méningée sacrée
Lorsqu'il existe une communication en forme de fente entre l'espace sous-arachnoïdien et le kyste, fonctionnant comme un clapet, des ondes de pression tendent à améliorer l'élargissement du kyste. Ainsi, des stratégies chirurgicales peuvent être proposées dans le but de diminuer la pression du LCS à l'intérieur du sac dural céphalique. Implant de shunt lombopéritonéal après un essai d'égouttage du LCS lombaire a été proposé comme une option chirurgicale afin de réduire la pression hydrostatique et amortir les ondes de pression dans le LCS, la diminution de la pression à l'intérieur du nerf sacral du kyste, ainsi que la compression de la racine nerveuse adjacente. Mais nous avons découvert que la dérivation engendrait une autre maladie que celle de Tarlov.
L'éponge de gélatine absorbable et/ou la colle de fibrine et de muscle (ou de graisse) correctifs peuvent être utilisés pour remplir le kyste dans la cavité et couvrir les défauts duraux. Neurologiquement, il peut y avoir une aggravation due au déplacement de patch musculaire et le syndrome de la queue de cheval ultérieure a été rapporté. La fuite de LCS a été une complication rapportée chez 1 des 11 patients rapportés par Guo et al., 1 de 3 par Langdown et al., et 1 de 13 par Neulen et al.
Malgré les faibles taux de récidive (entre 0 et 10 %), des taux d'amélioration des symptômes ont été rapportés en association avec un traitement de microchirurgie, variant de 38 à 100 %. Ces résultats devraient également être corrélés à des symptômes pré-opératoires du patient. Cas par et al. a noté une amélioration dans 87 % des patients se plaignant de douleurs radiculaires, 90 % des patients atteints de troubles sensoriels, et 100 % des patients avec un déficit moteur ou un dysfonctionnement intestin / vessie. Neulen et al. suggèrent que les symptômes radiculaires sont moins susceptibles de bénéficier d'une chirurgie, probablement à cause de la déficience permanente du nerf lui-même, entraînant des douleurs chroniques dues à la désafférentation.
En termes statistiques, les chiffres dans le présent rapport sont trop petits pour tirer des conclusions définitives. Cependant, plusieurs auteurs ont suggéré quelques indications pour identifier la meilleure réponse au traitement chirurgical. Voyadzis et al. ont observé que les meilleurs résultats ont été obtenus chez les patients présentant des symptômes radiculaires ou un dysfonctionnement de la vessie / de l'intestin, et patients avec des kystes de diamètre supérieur à 1,5 cm.
Le traitement chirurgical de multiples kystes, en particulier ceux de plus de 1,5 cm, a été suggéré. Neulen et al. ont suggéré que la tendance à l'amélioration après la chirurgie était observable chez les patients atteints de kystes périneuraux simples ou multiples kystes > 1 cm de diamètre et avec un retardement de contraste et le remplissage sur la tomodensitométrie postmyélographique. Les patients qui présentent une douleur exacerbée par les deux changements de posture et des manœuvres de Valsalva sont également susceptibles de bénéficier le plus de la chirurgie. Toutefois, lorsque pulsatiles, les forces hydrodynamiques du LCS, par un mécanisme vanne à boisseau sphérique sont à l'origine de la nature de ces kystes périneuraux à se remplir et à se développer en taille, ce qui peut finir par comprimer les fibres nerveuses voisines, entraînant des symptômes neurologiques.
La théorie vanne à boisseau sphérique a précédemment postulé que la raison pour laquelle certains grands kystes de Tarlov causent des symptômes qui progressent, tandis que d'autres ne causent que des symptômes bénins. Les soi-disant kystes de Tarlov non à valve (c'est-à-dire ceux dans lesquels le LCS peut circuler librement dans et hors) sont peu susceptibles de causer des symptômes. D'un autre côté, les kystes dans lesquels les lésions du LCS s'accumulent sous pression gravitationnelle, d'une manière analogue à la vanne qui s'agrandit, peuvent provoquer une compression de la structure neuronale. Les kystes sont souvent multiples et peuvent éroder les structures environnantes du sacrum, provoquant une irritation des fibres de la douleur du périoste et causer des fractures par insuffisance osseuse.
Plusieurs hypothèses ont été proposées pour expliquer l'étiologie des kystes périneuraux (Tarlov) dans la région sacrée. Les plus importantes comprennent l'inflammation des racines nerveuses des kystes suivis par inoculation de fluide, la prolifération arachnoïdienne le long et autour de la racine sacrée du nerf, bris de drainage veineux dans le périnèvre et épinèvre secondaire au dépôt d'hémosidérine après un traumatisme, et l'origine du développement ou congénitale. Certains auteurs ont rapporté un taux d'association de 40 % à un traumatisme. La présence de fibres nerveuses, les cellules ganglionnaires, ou des signes d'anciennes microhémorragies sous la forme d'hémosidérine a été liée au fait que les kystes de Tarlov peuvent se trouver à différents stades d'évolution.
Un petit pourcentage de ces lésions peut être symptomatique. Des précautions méticuleuses doivent être prises pour définir clairement les symptômes du patient ainsi qu'une corrélation aux résultats radiologiques. La déclaration de Tarlov dans son article fondateur il y a plus de 70 ans, semble être encore vraie aujourd'hui : « La signification clinique de ces kystes reste à déterminer. »
Les résultats rapportés dans la littérature sur le traitement chirurgical des symptômes des kystes de Tarlov, qui peut maintenant être effectué en utilisant des méthodes différentes mais non sans possibles complications, ont donné des résultats contradictoires et souvent ne fournissent pas un avantage durable. La meilleure option de gestion doit être déterminée par la taille et l'emplacement des kystes du patient, ainsi que le niveau de compétences du chirurgien.
Séquelles postopératoires
Il est toujours délicat d'intervenir dans des zones de terminaisons nerveuses (risque d'incapacités neurologiques irréversibles). Il a été rapporté qu'un défaut de remplissage positive et la grande taille du kyste (> 1,5 cm ou 0,6 pouce) est un bon indicateur de succès dans les résultats du traitement. Bien que la thérapie fibrine colle a été approuvé comme étant une thérapie prometteuse dans le traitement de ces kystes, il y a eu des cas où la fibrine infiltrée remontait dans la colonne vertébrale, en touchant d'autres nerfs. Son utilisation n'est pas recommandée à l'heure actuelle par le ministère de la Santé dans certains pays. Néanmoins, tous les types de traitements chirurgicaux présentent des risques communs, à savoir : les déficits neurologiques, l'infection et l'inflammation, des maux de tête, des troubles urinaires moelle, et la fuite de liquide cérébrospinal (LCS).
Bibliographie
- Principes d'imagerie par résonance magnétique de la tête, de la base du crâne et du rachis, Approche anatomo-clinique et guide d'interprétation, Tamraz, J., Outin, C., Forjaz Secca, M., Soussi, B., 2e éd. revue et augmentée, 2004, XII, 717 p., broché (ISBN 978-2-287-59742-8).
Liens externes
- (en) Données épidémiologiques et cliniques
- (en) www.orpha.net
- (en) The Burton Report
- (en) Theaword
Références
- ↑ (en) Tarlov IM, « Perineural cysts of the spinal nerve roots », Archives of Neurology & Psychiatry, vol. 40, , p. 1067-1074 (ISSN 0096-6754)
- ↑ (en) Nabors MW, Pait TG, Byrd EB, et al., « Updated Assessment and Current Classification of Spinal Meningeal cysts », J Neurosurg, vol. 68, , p. 366-377 (DOI 10.3171/jns.1988.68.3.0366)
- ↑ Tarlov-AracEuropeInformation
- ↑ (en) Langdown AJ, Grundy JR, Birch NC, « The clinical relevance of Tarlov cysts », J Spinal Disord Tech, vol. 18, no 1, , p. 29-33. (PMID 15687849)
- 1 2 3 M. Younes, W. Korbaa, S. Zrour et I. Bejia, « Lombosciatique de causes inhabituelles : kystes de Tarlov et anomalies des racines nerveuses », Revue Neurologique, vol. 165, no 3, , p. 282–287 (DOI 10.1016/j.neurol.2008.07.019, lire en ligne, consulté le )
- ↑ (en) Feigenbaum F et Boone K, « Persistent Genital Arousal Disorder Caused by Spinal Meningeal Cysts in the Sacrum: Successful Neurosurgical Treatment », sur Obstetrics and gynecology, 2015 oct (PMID 26348167, consulté le )
- Portail de la médecine
- Portail des neurosciences
- Portail de l’anatomie