Ictus amnésique

ictus amnésique
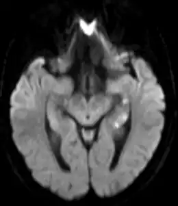
Description de l'image Transiente globale Amnesie MRT DWI axial.png.
Traitement
Spécialité Neurologie
Classification et ressources externes
CIM-10 G45.4
CIM-9 437.7
DiseasesDB 13251
eMedicine 1160964
MeSH D020236

Wikipédia ne donne pas de conseils médicaux Mise en garde médicale

L'ictus amnésique (abrégé IA) ou amnésie globale transitoire (AGT) est un syndrome neurologique qui se caractérise par une perte soudaine et temporaire de la mémoire avant, pendant et après l'événement qui a provoqué l'amnésie. Cet ictus, qui associe un épisode d'amnésie antérograde à une période temporaire d'amnésie rétrograde, touche principalement les personnes d'âge moyen et les personnes âgées[1]. Ce trouble, qui dure moins de 24 heures, est considéré comme bénin. Sa physiopathologie n'est pas élucidée à l'heure actuelle même s'il résulte probablement d'un dysfonctionnement hippocampique aigu dont le mécanisme est à ce jour débattu.

Épidémiologie

La fréquence de l'IA a été étudiée dans plusieurs études populationnelles avec une incidence variant entre 2,9/100 000/an[2] dans une cohorte espagnole et 10,4/100 000/an dans une étude italienne[3]. Dans une méta-analyse de 2006 incluant plus de 1 300 cas, le ratio homme/femme était équilibré. La même étude, incluant cette fois 246 malades, évaluait l'âge moyen du premier épisode d'IA aux alentours de 60 ans[4]. La maladie semble exceptionnelle avant 40 ans et après 80 ans.

Étant donné l'hypothèse selon laquelle l'ictus pourrait avoir une origine vasculaire (ischémique), la prévalence de risque vasculaire dans la population victime d'un ictus a fait l'objet de plusieurs études sans que les résultats à ce jour soient concluants en raison des différences de conception des études et des populations contrôles[5]. Le lien entre migraine et IA a également été largement étudié, là encore en raison d'une hypothèse physiopathologique selon laquelle il serait une forme d'aura migraineuse. Les études semblent s'accorder sur l'existence d'une association entre migraine et IA, en particulier chez les jeunes femmes. Une analyse en clusterisation montrait que l'IA chez la femme jeune était fréquemment associé à la présence de migraine, alors que, chez le sujet âgé, il était plutôt associé aux facteurs de risque vasculaires[4]. Inversement, une étude populationnelle objectivait chez les migraineux un net sur-risque d'IA par rapport aux témoins non migraineux mais, parmi les sous-populations, ce risque n'était significatif que pour les patientes migraineuses âgées entre 40 et 60 ans. La présence ou non d'auras migraineuses ne modifiait pas le risque global[6].

Une cause déclenchante, à type de stress ou d'exercice physique intense, est parfois retrouvée[7].

Présentation clinique

La description classique de l'IA sur laquelle reposent les critères diagnostiques dits « de Hodges »[8] datant de 1990  toujours en vigueur  le définit comme un trouble de la mémoire isolé avec un oubli à mesure massif, contrastant avec un respect des autres facultés cognitives. Le patient est ainsi incapable de retenir de nouvelles informations (amnésie antérograde), mais une amnésie pour des faits plus anciens (amnésie rétrograde) qui peuvent remonter à plusieurs semaines ou mois est fréquente. Dans les formes les plus typiques, les patients posent des questions itératives. Les troubles disparaissent en moins de 24 heures mais le patient garde souvent à distance une amnésie de l'épisode alors même que les troubles amnésiques ont disparu. Dans plus de 50 % des cas, un facteur déclenchant est retrouvé, tel qu'un événement stressant ou un effort physique[9].

L'examen neurologique est normal pendant et après la crise ainsi que l'imagerie cérébrale[7]. Il peut exister cependant des images punctiformes au niveau de l'hippocampe à l'IRM cérébrale, mais qui sont retardées et transitoires[10], ce qui explique que l'on passe souvent à côté. Le déficit dure, en moyenne, six heures[7].

L'ictus récidive dans près d'un quart des cas, sans que cela soit péjoratif[11].

Diagnostic différentiel

Le diagnostic est simple au cours de la crise. Il est plus complexe à distance de celle-ci et il faut penser à une intoxication médicamenteuse, la prise de drogues, une comitialité[12], une hypoglycémie[7].

Notes et références

  1. (en) A.J. Larner, Transient Global Amnesia. From Patient Encounter to Clinical Neuroscience, Springer International Publishing, , p. 65-68
  2. (en) J. Matias-Guiu, J. Blanquer, R. Falip et A. Oltra, « Incidence of transient global amnesia in a Alcoi (Spain) », Acta Neurologica Scandinavica, vol. 86, no 2, , p. 221-221 (ISSN 0001-6314 et 1600-0404, DOI 10.1111/j.1600-0404.1992.tb05071.x, lire en ligne, consulté le )
  3. (en) G. Lauria, M. Gentile, G. Fassetta et I. Casetta, « Incidence of transient global amnesia in the Belluno province, Italy: 1985 through 1995 », Acta Neurologica Scandinavica, vol. 95, no 5, , p. 303–310 (ISSN 1600-0404, DOI 10.1111/j.1600-0404.1997.tb00215.x, lire en ligne, consulté le )
  4. 1 2 (en) P. Quinette, « What does transient global amnesia really mean? Review of the literature and thorough study of 142 cases », Brain, vol. 129, no 7, , p. 1640–1658 (ISSN 0006-8950 et 1460-2156, DOI 10.1093/brain/awl105, lire en ligne, consulté le )
  5. (en) A. J. Larner, Transient Global Amnesia : From patient encounter to clinical neuroscience, Springer International PU, , 133 p. (ISBN 978-3-319-85401-4)
  6. (en) K.-H. Lin, Y.-T. Chen, J.-L. Fuh et S.-Y. Li, « Migraine is associated with a higher risk of transient global amnesia: a nationwide cohort study », European Journal of Neurology, vol. 21, no 5, , p. 718-724 (ISSN 1351-5101, DOI 10.1111/ene.12346, lire en ligne, consulté le )
  7. 1 2 3 4 Ropper AH, Transient global amnesia, N Engl J Med, 2023;388:635-640
  8. (en) J R Hodges et C P Warlow, « Syndromes of transient amnesia: towards a classification. A study of 153 cases. », Journal of Neurology, Neurosurgery & Psychiatry, vol. 53, no 10, , p. 834–843 (ISSN 0022-3050, PMID 2266362, PMCID PMC488242, DOI 10.1136/jnnp.53.10.834, lire en ligne, consulté le )
  9. (en) Günther Deuschl et Thorsten Bartsch, « Transient global amnesia: functional anatomy and clinical implications », The Lancet Neurology, vol. 9, no 2, , p. 205–214 (ISSN 1474-4422 et 1474-4465, PMID 20129169, DOI 10.1016/S1474-4422(09)70344-8, lire en ligne, consulté le )
  10. Szabo K, Hoyer C, Caplan LR et al. Diffusion-weighted MRI in transient global amnesia and its diagnostic implications, Neurology, 2020;95:e206-e212
  11. Miller JW, Petersen RC, Metter EJ, Millikan CH, Yanagihara T, Transient global amnesia: clinical characteristics and prognosis, Neurology, 1987;37:733-737
  12. Baker J, Savage S, Milton F et al. The syndrome of transient epileptic amnesia: a combined series of 115 cases and literature review, Brain Commun, 2021;3:fcab038-fcab038

Liens externes

  • icône décorative Portail de la médecine
  • icône décorative Portail des neurosciences
Cet article est issu de Wikipedia. Le texte est sous licence Creative Commons – Attribution – Partage à l’identique. Des conditions supplémentaires peuvent s’appliquer aux fichiers multimédias.