Ictère nucléaire

Ictère nucléaire
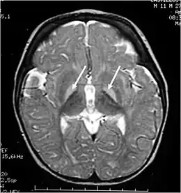
Description de cette image, également commentée ci-après
Imagerie par résonance magnétique cérébrale. Les ganglions de la base, hyperintenses en pondération T2, sont marqués d'une flèche blanche.
Traitement
Spécialité Pédiatrie
Classification et ressources externes
CISP-2 A94
CIM-10 P57
CIM-9 773.4, 774.7
DiseasesDB 7161
MedlinePlus 003243
eMedicine 975276
MeSH D007647
Patient UK Kernicterus

Wikipédia ne donne pas de conseils médicaux Mise en garde médicale

L'ictère nucléaire désigne le stade avancé de l'atteinte cérébrale chez le nouveau-né secondaire à l'accumulation de bilirubine (ictère).

Mécanismes

La bilirubine libre, c'est-à-dire non conjuguée, si elle est trop élevée (au-delà de 250 à 300 µmol/L (environ 14,5 à 17,5 mg/dL) chez l'enfant à terme) se fixe sur les noyaux gris centraux entraînant des lésions cérébrales et une atteinte des nerfs crâniens (le VIII en particulier) irréversibles à ce stade. Cette augmentation de la bilirubine est liée à une hyper-hémolyse d'une part, et/ou au retard (prématurité) ou à l'absence de la mise en route des enzymes hépatiques nécessaires à la glycuroconjugaison de la bilirubine. Cette glycuroconjugaison était inutile in utero, la bilirubine étant éliminée par voie placentaire.

In vitro, la bilirubine libre altère le nombre de dendrites, d'axones et des synapses des neurones[1] et joue sur les cellules gliales[2]. Au niveau biochimique, cette molécule stimulerait le stress oxydatif, favorisant l'oxydation des protéines et la peroxydation des lipides, inhibant les défenses anti-oxydatives de la cellule[3].

Causes

Cette hyperbilirubinémie est souvent due à une incompatibilité fœto-maternelle entrainant une hyperhémolyse[4].

D'autres affections peuvent causer cet ictère nucléaire, entre autres :

ou par anomalie érythrocytaire entrainant une hyperhémolyse :

La prématurité, le poids faible de l'enfant majorent le risque d'atteinte pour des taux plus faibles de bilirubine.

Symptômes

Outre l'ictère, ce sont les symptômes neurologiques qui sont au premier plan, avec un risque de séquelles : syndrome extrapyramidal, mouvements de type chorée-athétose, parésie oculomotrice et surdité.

Épidémiologie

Son incidence est inférieure à 3 cas pour 100 000 naissances[5], mais elle peut être beaucoup plus fréquente dans les pays en voie de développement[6]. L'ictère nucléaire tend à réapparaitre, et pas seulement en France, dans la mesure où l'enfant n'est pas surveillé pendant sa première semaine de vie du fait des sorties de plus en plus précoces de la maternité[7]. Le maximum du taux de bilirubine étant atteint vers le 3e ou 4e jour après la naissance[7].

Traitement

La photothérapie permet de favoriser l'élimination de la bilirubine libre. Les cas les plus sévères peuvent nécessiter des échanges plasmatiques (prélèvement de sang du nouveau-né qui est séparé de son plasma, riche en bilirubine et réinjection des globules rouges seuls). La photothérapie pourrait cependant avoir des risques chez l'enfant prématuré de très petit poids, surtout si elle est faite de manière intensive[8].

Les métallo-porphyrines bloquent l'hème oxygénase, cette dernière étant importante dans la synthèse de la bilirubine et pourrait être ainsi une option de traitement de l'ictère nucléaire[9].

Notes et références

  1. Fernandes A, Falcao AS, Abranches E et al. Bilirubin as a determinant for altered neurogenesis, neuritogenesis, and synaptogenesis, Dev Neurobiol, 2009;69:568-582
  2. Brites D, Bilirubin injury to neurons and glial cells: new players, novel targets, and newer insights, Semin Perinatol, 2011;35:114-120
  3. Brito MA, Lima S, Fernandes A et al. Bilirubin injury to neurons: contribution of oxidative stress and rescue by glycoursodeoxycholic acid, Neurotoxicology, 2008;29:259-269
  4. The Canadian Paediatric Society - La Société canadienne de pédiatrie, « Un mode de prise en charge de l'hyperbilirubinémie chez les nourrissons à terme [Hyperbilirubinemia in term newborn infants] », Canadian Family Physician, vol. 45, , p. 2690-2716 (ISSN 0008-350X, PMID 10587777, lire en ligne, consulté le )
  5. Watchko JF, Tiribelli C, Bilirubin-induced neurologic damage — Mechanisms and management approaches, N Engl J Med, 2013;369:2021-2030
  6. Ogunlesi TA, Dedeke IO, Adekanmbi AF et al. The incidence and outcome of bilirubin encephalopathy in Nigeria: a bi-centre study, Niger J Med, 2007;16:354-359
  7. 1 2
  8. Morris BH, Oh W, Tyson JE et al. Aggressive vs. conservative phototherapy for infants with extremely low birth weight, N Engl J Med, 2008;359:1885-1896
  9. Schulz S, Wong RJ, Vreman HJ, Stevenson DK, Metalloporphyrins -- an update, Front Pharmacol, 2012;3:68-68

Liens externes

  • icône décorative Portail de la médecine
Cet article est issu de Wikipedia. Le texte est sous licence Creative Commons – Attribution – Partage à l’identique. Des conditions supplémentaires peuvent s’appliquer aux fichiers multimédias.