Hypertrophie bénigne de la prostate
| CISP-2 | Y85 |
|---|---|
| CIM-10 | N40 |
| CIM-9 | 600 |
| OMIM | 600082 |
| DiseasesDB | 10797 |
| MedlinePlus | 000381 |
| eMedicine | 437359 |
| MeSH | D011470 |
| Patient UK | Benign-prostatic-hyperplasia |
Mise en garde médicale
L'hypertrophie bénigne de la prostate aussi appelée hyperplasie bénigne de la prostate (HBP) ou hyperplasie adénomyomateuse de la prostate ou plus communément adénome de la prostate est une tumeur bénigne induisant une augmentation de volume des lobes médian et latéraux de la prostate. Elle touche les sujets âgés de plus de 50 ans.
En cas d'hypertrophie bénigne de la prostate, la prostate devient plus grande et exerce plus de pression sur l'urètre et la vessie, interférant ainsi avec l'écoulement normal de l'urine.
Épidémiologie
L'HBP est une des maladies les plus communes chez les hommes du fait des modifications physiologiques liées à l'âge[1],[2],[3]
L'incidence augmente linéairement avec l'âge pour atteindre son maximum à 79 ans et la prévalence est la plus basse à 45-49 ans (2,7 %) pour augmenter jusqu'à 24 % à 80 ans[4]. Cependant la littérature scientifique montre une grande variabilité de cette prévalence allant de 13 % à 46 %[4].
En 2009, dans le monde, deux hommes sur trois souffraient de troubles urinaires liés à l'HBP à partir de la cinquantaine. La même année, en France, plus d'un million d'hommes âgés de plus de 50 ans étaient porteurs d’une HBP[5].
En France, près de 70 000 patients se font opérer chaque année de cette pathologie[5].
L'hypertrophie de la prostate serait plus fréquente en cas d'obésité[6].
L’HBP n’augmente pas le risque de cancer prostatique[7].
Causes
Dans l'HBP, l'architecture de la prostate est globalement préservée avec un aspect nodulaire, mais il existe une hyperplasie des différents constituants.
Les glandes prostatiques sont en nombre augmenté, bordées par une double assise épithéliale. Elles sont souvent le siège de dystrophie (kystisation) ou d'atrophie, et de phénomènes inflammatoires. Les cellules musculaires lisses sont également en nombre augmenté, de même que les fibroblastes de l'interstitium.
L'hyperplasie respective des différents constituants (épithélial, musculaire lisse et fibroblastique) est d'intensité variable suivant les territoires examinés.
La prostate est divisée en cinq zones anatomiques[8] :
- Zone périphérique ;
- Zone centrale ;
- Zone transitionnelle qui entoure l'urètre ;
- Zone du stroma fibromusculaire antérieur ;
- Zone des glandes périprostatiques ou périurétrales.
L'hypertrophie bénigne de la prostate affecte la zone transitionnelle de la prostate et provoque une obstruction de l'urètre, ce qui freine l'évacuation de l'urine par la vessie.
L'HBP concerne aussi bien les cellules musculaires lisses que le tissu conjonctif glandulaire avec :
- Une contraction des cellules musculaires lisses qui peut être également activée par le système nerveux sympathique et entretenir ainsi une obstruction préexistante[9] ;
- Une hyperplasie du tissu conjonctif glandulaire stimulée par les androgènes, en particulier la dihydrotestostérone, formée à partir de la testostérone par l'enzyme 5-alpha réductase[10].
Les symptômes proviennent donc d'un double mécanisme :
- la contraction du muscle lisse dans la glande (mécanisme dynamique) ;
- l'augmentation du volume de la glande (mécanisme statique).
Prévention
L'activité physique régulière, un indice de masse corporelle (IMC) normal, et une alimentation riche en légumes et pauvre en matières grasses diminuent significativement les risques de développer une hypertrophie bénigne de la prostate[11]. Les compléments alimentaires pour la prostate (dont le total des ventes s'élève à plusieurs milliards de dollars aux États-Unis) n'ont pas d'effet prouvé, voire - dans le cas du zinc - augmentent les risques[11].
Symptômes
Les symptômes sont essentiellement des troubles mictionnels liés à un syndrome dysurique :
- augmentation de la fréquence des mictions (pollakiurie) ;
- mictions de petit volume ;
- difficulté à commencer et arrêter la miction ;
- diminution de la force du jet, voire une intermittence de ce dernier ;
- gouttes retardataires postmictionnelles ;
- pollakiurie nocturne ou nycturie.
Le patient peut avoir aussi une impression de vidange incomplète à la suite de son incapacité à vider complètement sa vessie ce qui l'oblige à uriner de nouveau peu de temps après, d'où la pollakiurie diurne et nocturne.
L'HBP est tellement fréquente et les symptômes tellement banals et bien connus, que le patient fait souvent lui-même le diagnostic et vient consulter « pour la prostate » dès qu'il présente des troubles urinaires.
Rarement l'HBP est révélée par une rétention urinaire aiguë due à la prise d'un nouveau médicament, une anesthésie, une infection urinaire ou une constipation (Voir Complications ci-dessous).
Diagnostic

En , le comité des troubles mictionnels de l’homme (CTMH) de l’Association française d’urologie (AFU) a établi des recommandations de bonne pratique pour la démarche diagnostique, le suivi et le traitement d’une hyperplasie bénigne de prostate[12].
L'interrogatoire recherche, outre les signes urinaires, des circonstances aggravantes comme la prescription de certains médicaments avec effet atropinique.
Le CTMH préconise d'effectuer, en plus de l'interrogatoire, un score symptomatique du type de l'International Prostate Symptom Score (IPSS) ainsi qu'un examen physique comprenant en bilan de première intention :
- un toucher rectal (palpation de la prostate à travers le rectum) qui permet d'en apprécier la taille et de détecter une irrégularité qui peut être le premier signe d'un cancer ;
- une débitmétrie urinaire[13] ;
- une mesure du résidu post-mictionnel par sonde à ultrasons[14].
Le dosage de l'antigène prostatique spécifique (PSA pour l'anglais : prostate-specific antigen) est utile chez les patients pour lesquels le diagnostic d’un cancer modifierait la prise en charge.
Il est aussi recommandé d'effectuer une analyse d'urine cytobactériologique avec antibiogramme, pour éliminer une infection urinaire ou une hématurie.
Lorsqu’un traitement chirurgical est envisagé, un dosage de la créatininémie ainsi qu’une échographie de l’appareil urinaire sont recommandés.
L'exploration urodynamique analyse les pressions et le débit de la miction. Cet examen permet d'évaluer précisément l'effet d'un traitement mais est rarement indispensable en pratique courante.
En fonction de la gêne et du traitement envisagé, l'exploration peut être complétée par une échographie transrectale de la prostate par introduction d'une sonde dans le rectum du patient, par une uréthrocystoscopie (introduction d'un endoscope souple dans l'urètre jusqu'à la vessie), permettant de visualiser l'empreinte de la prostate. Ces deux examens sont aussi rarement indispensables en pratique courante.
L’information du patient sur le caractère bénin mais éventuellement progressif de sa pathologie est recommandée.
Complications
Rétention urinaire aiguë
Article détaillé: voir Rétention aiguë d'urine
Elle peut être due à :
- des médicaments : les anticholinergiques (antiparkinsoniens, antispasmodiques, antinaupathiques), certains antihistaminiques, certains psychotropes ou vasoconstricteurs même sous forme de gouttes nasales ou de collyre ;
- une intervention chirurgicale ou une anesthésie récentes ;
- une infection urinaire elle-même favorisée par la stagnation de l'urine dans la vessie ;
- une constipation.
La pression est alors telle au niveau du méat urétral que la vessie se trouve dans l'incapacité de forcer le barrage : le patient est alors incapable d'uriner et ressent une douleur sus-pubienne intense due à la distension extrême de la vessie. La palpation de cette zone révèle un « globe vésical » dû à cette vessie hypertendue qui doit être sondée en urgence.
Rétention urinaire chronique
Dans ce cas, la vessie conserve toujours un résidu urinaire qui augmente petit à petit dans la mesure où le volume d'urine émis est progressivement de plus en plus faible. Le muscle vésical s'étire sans douleur pour le patient qui devient néanmoins incontinent par regorgement[15].
La palpation de la zone sus-pubienne peut sentir une vessie augmentée de volume et certains auteurs envisagent l'apparition d'une insuffisance rénale chez ces patients[15].
Infection urinaire et calcul vésical
La stagnation de l'urine dans la vessie due à une vidange insuffisante peut induire des infections urinaires, des calculs vésicaux et une hématurie[16].
Hyperactivité vésicale
Certains auteurs ont noté une instabilité de la vessie lors d'HBP avec hyperactivité vésicale[17].
Traitement
En l’absence de gêne et de complication, une surveillance annuelle est recommandée pour les patients présentant des symptômes discrets ou modérés, avec peu de répercussions sur la qualité de vie à l'IPSS[7].
« La mise en route d’un traitement médical dépend essentiellement de la gêne causée par les symptômes et de l'impact sur la qualité de vie du patient. Le volume prostatique important ne constitue pas à lui seul un critère de mise sous traitement »[18].
Les règles hygiéno-diététiques consistent à réduire la consommation de liquides, d'alcool - notamment le vin blanc et le champagne ainsi que la bière - et de boissons caféinées (thé, café). L'exercice physique et notamment la marche sont recommandés afin d'éviter la position assise prolongée[19].
De même, de simples conseils permettent d'améliorer parfois les signes fonctionnels : diminuer les boissons le soir avant de se coucher, aller uriner avant de dormir ou avant un long voyage.
Traitement médical
La combinaison de plusieurs médicaments de mécanismes d'action différents ne semble pas apporter un gain significatif[20].
Les alpha-bloquants
Les alpha-bloquants constituent le choix le plus courant pour le traitement initial des HBP aux États-Unis[21],[22] et en Europe[23].
Ils ont pour effet de détendre les muscles lisses de la prostate et du col de la vessie, diminuant ainsi le blocage de l'écoulement de l'urine.
Les alpha-bloquants utilisés pour l'HBP incluent la doxazosine[24], la térazosine[25], l'alfuzosine[26],[27], la tamsulosine[28] et la silodosine[29]. Tous les cinq sont tout aussi efficaces mais ont des profils d'effets secondaires légèrement différents[30].
Leurs effets secondaires les plus fréquents sont l'hypotension orthostatique, les troubles de l’éjaculation, la congestion nasale et la fatigue[29].
Les anciens médicaments (phénoxybenzamine (en) et prazosine) ne sont pas recommandés[31],[32].
Les inhibiteurs de la 5-α réductase
Les inhibiteurs de la 5-alpha réductase (finastéride[33] et dutastéride[34]) sont une autre option de traitement.
Ces médicaments inhibent la 5-alpha réductase, ce qui bloque la production de dihydrotestostérone, une hormone responsable de l'hyperplasie de la prostate.
Les effets sont plus lents à apparaître que ceux des alpha-bloquants, mais ils persistent pendant de nombreuses années[35].
En , aux États-Unis, la Food and Drug Administration (FDA) a mis à jour les données de tolérance de la finastéride[36]. Les effets indésirables suivants ont été ajoutés :
- dysfonction érectile persistante après l’arrêt du traitement : de rares cas pour lesquels le lien causal avec le finastéride n’est pas clairement établi ont été rapportés ;
- infertilité masculine et/ou altération de la qualité séminale réversible à l’arrêt du traitement : le mécanisme et le rôle propre du finastéride ne sont pas connus ;
- dépression ;
- diminution de la libido persistante après l’arrêt du traitement.
En France, ces médicaments « ont une AMM dans les symptômes modérés à sévères de l’hypertrophie bénigne de la prostate (HBP). Ce sont des médicaments de seconde intention, après échec des alpha-bloquants et des produits de phytothérapie. Dans des études cliniques, une incidence plus élevée de cancer de la prostate de haut grade a été observée chez les patients des groupes dutastéride ou finastéride par rapport à ceux des groupes placebo, sans qu’une relation causale ait été clairement établie »[37].
Les anticholinergiques
Dans la classe des anticholinergiques, les antimuscariniques tels que l’oxybutynine, la toltérodine ou le chlorure de trospium sont également utilisés, en particulier en combinaison avec des alpha-bloquants[38] bien qu'en France, ils soient plutôt recommandés en première intention dans l’incontinence urinaire par impériosité de l'adulte[39].
Ils agissent en diminuant les effets de l'acétylcholine sur le muscle lisse de la vessie, ce qui aide à contrôler les symptômes d'une vessie hyperactive.
« Les traitements comportementaux et la rééducation périnéo-sphinctérienne seuls ou associés sont recommandés en première intention dans l’incontinence urinaire par impériosité de l'adulte. Une répartition correcte dans la journée des boissons et des horaires de prise d’un éventuel diurétique est recommandée.
- Un anticholinergique peut être également proposé en première intention ou après échec de ces méthodes. Il est prescrit en l’absence de contre-indication aux anticholinergiques et en l’absence d’un traitement par anticholinestérasiques déjà en cours.
- L’efficacité de l’oxybutynine (Ditropan), de la toltérodine (Detrusitol) ou du chlorure de trospium (Ceris) est supérieure au placebo. Mais cette efficacité est modeste : diminution moyenne d’environ 1 épisode d’incontinence urinaire par période de 48 heures.
- Compte tenu du risque de rétention vésicale lié à ces anticholinergiques, il faut surveiller la survenue d’un globe vésical, surtout chez les patients âgés fragilisés ; et informer les patients des effets indésirables anticholinergiques (sécheresse buccale, constipation, troubles cognitifs), du délai pour obtenir l’efficacité maximale (qui peut aller jusqu’à 5 à 8 semaines) et de la nécessité de consulter en l’absence d’efficacité après ce délai ou en cas d’infection urinaire ou de difficultés à uriner. »[39]
Les inhibiteurs de la phosphodiestérase
Ce sont essentiellement des inhibiteurs de l'enzyme phosphodiestérase 5 (PDE-5) : sildenafil, tadalafil (Cialis) et vardénafil. Le citrate de sildenafil (Viagra) a un effet sur les symptômes de l'HBP ce qui suggèrerait une cause commune entre HBP et dysfonction érectile[40].
En , au Royaume-Uni, le National Institute for Health and Clinical Excellence (en) (NICE) se trouve dans l'incapacité de recommander au National Health Service (NHS) le tadalafil pour le traitement des symptômes associés à l'HBP du fait du manque de preuve reçue du fabricant[41].
En France le , le tadalafil à 5 mg dispose d'une nouvelle indication, dans le traitement des signes et des symptômes de l'hypertrophie bénigne de la prostate (HBP) chez l'homme adulte[42].
Traitement chirurgical
En cas d’hypertrophie bénigne de la prostate compliquée, ou lorsque le traitement médical est inefficace ou mal toléré, une solution chirurgicale est discutée.
Tout traitement doit être décidé en tenant compte de la symptomatologie et de la gêne du patient, de l’anatomie prostatique, du degré d’obstruction et du retentissement éventuel sur l’appareil urinaire, des comorbidités du patient, de l’expérience du praticien, et du choix du patient en termes de bénéfice, de risque et d’effets indésirables attendus[12].
La technique de référence reste la résection transurétrale. D'autres techniques mini-invasives, ambulatoires, ont été développées mais le niveau de preuve de leur efficacité ou innocuité reste faible[43].
Résection endoscopique transurétrale (RETU)
La résection endoscopique (ou transurétrale) de la prostate est la technique la plus utilisée. Elle consiste à retirer l’adénome sous forme de copeaux par voie naturelle en laissant la coque prostatique. Il s'agit d'un traitement qui va permettre de normaliser le débit du patient dans 80 % des cas et améliorer les symptômes dans 90 % des cas[44]. Elle nécessite une anesthésie générale ou péridurale[43].
Les complications post-opératoires comprennent[45] :
- hémorragies (3 à 12,5 %) ;
- TURP Syndrom par hyponatrémie et intoxication par l'eau ;
- sténose de l'urètre dans 10 % des cas ;
- formation de caillots dans la vessie ;
- incontinence (1 % des cas) ;
- dysfonction érectile dans moins de 10 % des cas[43] ;
- éjaculation rétrograde dans 65 % à 95% des cas[43].
L'utilisation d'électrodes bipolaires, au lieu de monopolaires, permet de diminuer légèrement le risque hémorragique[46].
Le taux de mortalité, encore assez élevé il y a 40 ans (2,5 %), est maintenant inférieur à 0,1 et 0,25 %.
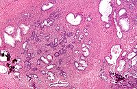
Prostatectomie et adénomectomie sus-pubienne
![]() |
![]() | |
Histologie d'une prostate normale |
Histologie d'une hypertrophie bénigne de la prostate |
La prostatectomie (énucléation de toute la prostate) et l'adénomectomie (suppression du seul adénome) prostatique par voie haute[Note 1] sont les plus anciennes méthodes pour le traitement chirurgical de l'HBP. Elles se pratiquent toujours en cas de gros adénome (supérieur à 60 ml à 100 ml selon les chirurgiens[44]) ou de pathologies annexes comme les hernies.
Les complications peuvent être :
- la rétention urinaire (blocage de la vessie) ;
- la formation de caillots dans la vessie ;
- le saignement ;
- l’infection urinaire ;
- l'éjaculation rétrograde ;
- l’incontinence, le plus souvent transitoire ;
- le rétrécissement secondaire du canal de l’urètre (rare).
Incision cervico-prostatique
L’incision cervico-prostatique consiste en une incision transurétrale du col vésical et de la prostate dont le but n'est pas de réduire l'adénome mais de couper au niveau du col vésical afin de réduire la résistance de sortie de la vessie.
Elle ne s’applique qu’aux petites prostates sans lobe médian proéminent[47].
Le patient doit être informé de la possibilité de réintervention ultérieure (15,9 % à 10 ans)[47].
Thermothérapie
« La thermothérapie par microondes transurétrales (TMTU) entraîne une nécrose de coagulation par élévation locale de température intra-prostatique. La sonde de traitement est introduite par l’urètre et positionnée par traction sur le ballonnet, ce qui amène l’antenne émettrice en regard de la prostate. La délivrance de l’énergie est pilotée par un programme informatique. La durée du traitement est de 30 à 60 min. Le traitement est pratiqué le plus souvent sous anesthésie locale par anesthésique de contact. »[47]
« La thermothérapie par radiofréquence, ou TUNA (pour Transurethral needle ablation (en)), est une procédure de thermothérapie prostatique à haute énergie. Un courant de radiofréquence monopolaire entraîne une nécrose de coagulation par chauffage. Les électrodes sont plantées sous contrôle endoscopique transurétral dans la zone prostatique à traiter. Le courant qui circule pendant 3 à 5 minutes entraîne une élévation locale de température d’environ 100 °C dans un rayon de 0,5 cm autour de l’électrode. Le nombre d’applications des électrodes dépend de la taille de l’adénome à traiter. »[47]
Électrovaporisation
Cette technique est réalisée :
- par courant électrique monopolaire standard ;
- par courant bipolaire (effet tissulaire à plus basse température).
« L'électrovaporisation de prostate est réalisée grâce à un courant de section à haute énergie (de 180 W à 300 W) pour la destruction du tissu adénomateux en utilisant une anse boule. Dans une revue récente (2007) par le National Institute for Health and Clinical Excellence (en) (NICE), l’électrovaporisation a été démontrée aussi efficace que la résection endoscopique trans-urétrale (RETU) à court terme. La durabilité des résultats à long terme, ainsi que son efficacité pour les prostates de moyen et de gros volume, restent à démontrer. Les taux de complications sont comparables, bien que quelques études semblent indiquer que l’hémorragie soit moindre. Par contre, au moins une étude a démontré que le syndrome irritatif à long terme était plus fréquent après l’électrovaporisation. »[48]
Laser
Cette technique s'est considérablement développée ces dernières années car elle apporte un bénéfice en termes de durée d'hospitalisation et réduit les saignements en comparaison avec les techniques de référence que sont la résection transurétrale de la prostate et l'adénomectomie ou prostatectomie simple.
Il existe plusieurs types de lasers selon les cristaux utilisés à la source. Les deux les plus utilisés sont le laser KTP et le laser Holmium. Tous ces lasers sont des lasers YAG (Yttrium-Aluminium-Grenat) auxquels d'autres cristaux ont été ajoutés et qui confèrent à la lumière des propriétés physiques différentes.
L'effet tissulaire dépend de la longueur d'onde et du type de tissu rencontré. Lorsqu'un tissu absorbe la lumière à une longueur d'onde donnée, l'énergie délivrée par le laser est transformée en chaleur. Lorsque le tissu absorbe peu la lumière, la température reste en deçà de 100 °C et on observe un effet de coagulation par nécrose des tissus. Lorsque l'absorption est forte, les tissus sont vaporisés. La profondeur de l’effet sur le tissu prostatique varie également d’un laser à l’autre et selon la puissance délivrée[49].
Le laser Nd :YAG (neodymium-doped:YAG)
C'est le premier laser utilisé pour la chirurgie de la prostate. Il s'agit d'un laser ayant une longueur d'onde de 1064 nm dont les chromophores principaux sont les protéines. Il a un effet de pénétration important (>10 mm) ce qui lui confère des propriétés hémostatiques très importantes. Toutefois son efficacité ablative du tissu prostatique est limitée. La profondeur de l’effet étant importante, les suites opératoires sont marquées par des troubles irritatifs urinaires importants et un risque accru de lésion des bandelettes neurovasculaires. Pour ces raisons il n’est plus utilisé actuellement.
Le laser KTP-Nd :YAG (Potassium-Titanyl-Phosphate :YAG)
L’ajout d’un cristal KTP diminue la profondeur d’action du laser qui est de 1-2 mm. La longueur d’onde obtenue est 532 nm lui conférant une couleur verte (les autres lasers sont invisibles). Les tissus prostatiques absorbent fortement ce laser qui a principalement un effet de vaporisation associé à un effet coagulant marqué en périphérie, le chromophore principal étant l’hémoglobine.
Il est utilisé pour la vaporisation du tissu prostatique à l’aide d’une fibre à tir latéral. Des couches de prostate sont donc progressivement vaporisées lors de chaque passage du laser. C’est une technique facile à apprendre mais plus onéreuse à l’utilisation que le laser Holmium, la fibre laser devant être remplacée à chaque intervention. Cette technique est aussi plus récente et le recul sur la technique est inférieur à celui du laser Holmium. Aucun tissu prostatique n’est récupéré à la fin de l’intervention. Un cancer asymptomatique peut ainsi passer inaperçu. De plus, cette technique ne permet pas de traiter des adénomes de très grosse taille[50].
Les noms commerciaux pour le laser KTP de prostate sont Greenlight, KDP, LBO.
Le laser Ho-YAG (Holmium YAG)
Le laser Holmium a une longueur d’onde de 2140 nm et une pénétration tissulaire très faible, inférieure à 0,5 mm. Il est fortement absorbé par l’eau et lors de son émission se crée une bulle d’air microscopique qui lui confère également un effet mécanique. Il s’agit d’un laser de contact où l'effet est maximal, mais il est possible de faire varier l’effet en reculant la fibre du tissu pour obtenir un effet coagulant plus marqué.
Ce laser a principalement un effet mixte de coagulation et de section. On observe un effet de vaporisation à forte puissance, mais moins marqué que le laser KTP. Ce laser est utilisé pour réaliser une énucléation de la prostate (HoLEP) en séparant l’adénome central de la partie périphérique de la prostate. L’ablation de la prostate nécessite l’utilisation d’un morcélateur à tissus. Les fragments peuvent ainsi être analysés. Il permet de traiter toutes les tailles de prostate mais nécessite un apprentissage plus long que pour le laser KTP[50].
Ce laser est polyvalent et peut être utilisé pour la destruction de calculs ou l’ablation d’autres tumeurs de l’appareil urinaire. C’est la technologie laser pour laquelle l'on dispose du plus de recul et c’est le seul qui ait montré que son efficacité à long terme est au moins équivalente aux autres techniques de référence[51].
Le nom commercial pour le laser holmium de prostate est Versapulse.
Laser Thu-YAG (Thulium YAG)
Le laser Thulium est le plus récent des lasers commercialisés pour le traitement de l’adénome de la prostate. Sa longueur d’onde est de 2090 nm avec une pénétration tissulaire très faible de 0,2 mm. Il s’utilise comme le laser Holmium avec un effet de vaporisation qui serait supérieur mais une moins bonne visualisation du plan d’énucléation. Très peu de données sont disponibles.
Les noms commerciaux pour le laser Thulium de prostate sont Revolix et CyberTm
Ultrasons
L’utilisation des ultrasons focalisés de haute intensité est une technique émergente pour le traitement de l’HBP[52].
Les stents
Les stents sont introduits dans la portion prostatique de l'urètre afin d'agir comme un cathéter sus-pubien ou transurétral. La mise en place de stents, soit résorbables soit permanents, est en principe réservée aux patients qui ne peuvent supporter une intervention chirurgicale et/ou l’anesthésie nécessaire à une résection par voie ouverte. Ils sont utilisés parfois pour pallier la rétention d’urines transitoire observée parfois après traitement par laser[48].
Traitement radiologique
Avant le traitement chirurgical et après le traitement médical, les radiologues interventionnels proposent actuellement une alternative à la chirurgie. Il s'agit de l'embolisation (occlusion) des artères prostatiques (PAE chez les anglo-saxons pour Prostatic Artery Embolization).
Le premier cas a été décrit en 2000 par DeMeritt[53]. Depuis, deux équipes : l'une brésilienne[54], l'autre portugaise[55], ont développé la technique, de plus en plus proposée et utilisée.
Autres traitements
Différentes préparations à base d'extraits de plantes se trouvent dans le commerce notamment en Europe dont la plupart accessibles sans prescription médicale (sans ordonnance). Ces préparations sont souvent considérées comme « naturelles » et donc sans danger et retiennent l'attention des patients. Cependant ces médicaments peuvent donner un faux sentiment de sécurité aux patients et retarder une évaluation plus poussée.
Le β-sitostérol
Le β-sitostérol est naturellement présent dans la nature. On en trouve dans les graines de plantes, fruits et légumes : les noix du pacanier, le noyau de la drupe du Serenoa repens, les graines de citrouille, graine d’anacardier, le son de riz, le germe de blé, le grain de maïs, graine de soja, l’akène de l’argousier et la baie de goji ou la racine d'Harpagophytum.
En , 4 essais cliniques comprenant 519 hommes ont été analysés : le bêta-sitostérol améliore les symptômes urologiques et des mesures de flux mais n'a pas réduit la taille de la prostate. Cependant, les études existantes sont limitées du fait des traitements de courte durée et le manque de standards pour la préparation du bêta-sitostérol. L'efficacité à long terme, la sécurité et la capacité de prévenir les complications de l'HBP restent inconnus[56].
- Serenoa repens
_001.jpg)
- L'extrait lipidostérolique du fruit de ce palmier nain (aussi appelé Sabal serrulata ou en anglais : saw palmetto), a été mis sur le marché par certains laboratoires pour traiter l'HBP. L'extrait aurait des propriétés décongestionnantes sur l'appareil urinaire, en freinant l'action de l'hormone mâle sur la prostate, ce qui permettrait de retarder le développement des adénomes prostatiques.
- Il est commercialisé en France sous les noms Permixon 160[57] et Prodinan 160[58]. Son efficacité n'a cependant pas été démontrée, du moins sur les symptômes[59].
- Après avoir montré quelques promesses lors des premières études[60], les essais ultérieurs de qualité méthodologique élevée (The Cochrane Collaboration[61]) n'ont indiqué aucune différence par rapport au placebo[62].
- La Haute Autorité de Santé (HAS), en France, conclut le que « le rapport efficacité/sécurité de cette spécialité dans cette indication est modeste » et que le niveau de service médical rendu est modéré[63].
- Cucurbita pepo
- Les graines de citrouille ont aussi été proposées pour le traitement des symptômes de l'HBP[64]. Les graines de citrouille sont à considérer comme un aliment, entrant dans le cadre d'une bonne conduite alimentaire favorable à la réduction de cette pathologie. Ces graines sont à consommer à raison d'une poignée maximum, légèrement grillées, en guise d'apéritif ; on les trouve aisément en magasin d’alimentation bio.
- Il n'existe pas de preuves médicales appuyant l'utilisation de Curcubita pepo pour le traitement de l'HBP[65].
Prunus africana

L'extrait issu de l'écorce du prunier d'Afrique (Prunus africana) aussi appelé Pygeum africanum est commercialisé en France à la dose de 50 mg par capsule sous les noms de Tadenan (laboratoire Solvay, aujourd'hui Abbott Products SAS) ou de génériques (laboratoires Mylan et Qualimed).
L'efficacité de ce composé sur le plan clinique n'a pas été formellement démontrée et des résultats contradictoires ont été publiés. Toutefois, une méta-analyse comprenant 18 essais randomisés incluant plus de 1 500 patients a montré que le médicament améliorait de façon modeste mais significative la puissance du jet urinaire, confirmant ainsi les résultats retrouvés chez l'animal[66].
En France, la Haute Autorité de Santé conclut le que « le rapport efficacité/sécurité de cette spécialité dans cette indication est modeste » et que le niveau de service médical rendu est modéré[67].
Urtica dioica
La racine d’ortie (Urtica dioica) est réputée bénéfique sur l'HBP sans que les substances actives n’aient été formellement identifiées[68]. Pour Jean Bruneton[69] : « En l’absence d’études cliniques incontestables, la racine d’ortie est, en France et par voie orale, traditionnellement utilisée comme adjuvant dans les troubles de la miction d’origine prostatique et pour favoriser l’élimination rénale de l’eau. Pour la Commission E allemande, la racine d’ortie augmente le volume et le débit urinaire, elle réduit le résidu post-mictionnel. Elle est donc utilisée dans les difficultés urinaires liées aux stades I et II de l’hypertrophie prostatique bénigne. »
Il y a une évidence que les extraits de racine d'ortie promeuvent une réduction significative des symptômes de l'HBP mais les effets seraient supérieurs en combinaison avec le palmier nain ou le prunier d'Afrique. Certaines études ont indiqué la possible réduction de la taille de la prostate bien que des études complémentaires soient requise pour valider cette hypothèse[70].
Le seigle
Les extraits de pollen de seigle (Secale cereale) ont aussi été proposés pour soulager les symptômes de l'HBP avec des résultats modestes[71].
Notes et références
Notes
- ↑ Voie haute signifie que l'on incise la paroi abdominale (laparotomie) au-dessus du pubis (sus-pubien) soit pour y passer la main, soit pour y passer un endoscope
Références
- ↑ (en)W.M. Garraway et al., « High prevalence of benign prostatic hypertrophy in the community », Lancet, vol. 338, no 8765, , p. 469-471 (PMID 1714529, lire en ligne, consulté le )
- ↑ (en)S.J. Jacobsen, « New diagnostic and treatment guidelines for benign prostatic hyperplasia. Potential impact in the United States », Archives of internal medicine, vol. 155, no 5, , p. 477-481 (PMID 7532392, lire en ligne, consulté le )
- ↑ (en)P. Boyle et al., « The prevalence of lower urinary tract symptoms in men and women in four centres. The UrEpik study. », BJU international, vol. 92, no 4, , p. 409-414 (PMID 12930430, lire en ligne, consulté le )
- 1 2 (en)K.M. Verhamme et al., « Incidence and prevalence of lower urinary tract symptoms suggestive of benign prostatic hyperplasia in primary care--the Triumph project », European urology, vol. 42, no 4, , p. 323-328 (PMID 12361895, lire en ligne, consulté le )
- 1 2 [PDF]Haute Autorité de Santé. Service évaluation des actes professionnels (juillet 2009) consulté le 27 janvier 2013
- ↑ (en) Zucchetto A, Tavani A, Dal Maso L, Gallus S et al. « History of weight and obesity through life and risk of benign prostatic hyperplasia » Int J Obes (Lond) 2005;29:798-803
- 1 2 [PDF]Recommandation HAS pour la prise en charge de l'HBP (page consultée le 30 janvier 2013)
- ↑ (en)J.E. McNeal, « The zonal anatomy of the prostate », The Prostate, vol. 2, no 1, , p. 35-49 (PMID 7279811, lire en ligne, consulté le )
- ↑ (en) I.W. Mills et al., « Studies of the pathophysiology of idiopathic detrusor instability: the physiological properties of the detrusor smooth muscle and its pattern of innervation », Journal of Urology, Elsevier, vol. 163, , p. 646–651 (ISSN 0022-5347)
- ↑ P.M. Martin et al., « Androgènes et système reproducteur masculin - Androgènes et prostate : aspects fondamentaux et cliniques », Progrès en Urologie, vol. 14, no 5, (ISSN 1166-7087, lire en ligne [html])
- 1 2 (en) Kenneth S. Poon et Kevin T. McVary, « Dietary patterns, supplement use, and the risk of benign prostatic hyperplasia », Current Urology Reports, vol. 10, no 4, , p. 279–286 (ISSN 1534-6285, DOI 10.1007/s11934-009-0046-3, lire en ligne, consulté le )
- 1 2 A. Descazeauda et al., « Bilan initial, suivi et traitement des troubles mictionnels en rapport avec hyperplasie bénigne de prostate : recommandations du CTMH de l’AFU », Progrès en Urologie, Elsevier Masson SAS, vol. 22, no 16, , p. 977–988 (ISSN 1166-7087, PMID 23178093, résumé)
- ↑ Dictionnaire de l'Académie de Médecine
- ↑ [PDF]Mesure du contenu vésical par technique ultrasonique (système d’échographie portable pour la vessie) - Recommandation HAS
- 1 2 (en)B.T. Parys et al., « Chronic urinary retention--a sensory problem ? », British journal of urology, vol. 62, no 6, , p. 546-549 (PMID 2464393, lire en ligne, consulté le )
- ↑ (en) M.P. O'Leary, « Lower urinary tract symptoms/benign prostatic hyperplasia : maintaining symptom control and reducing complications », Urology, Elsevier Science, vol. 62, no 3 (Suppl 1), , p. 15-23 (ISSN 0090-4295, résumé)
- ↑ (en)Y.C. Tong et al., « Correlation of transrectal ultrasonographic findings of the prostate with the occurrence of detrusor instability in patients with benign prostatic hyperplasia », Urologia internationalis, vol. 55, no 3, , p. 154-157 (PMID 8540161, lire en ligne, consulté le )
- ↑ [PDF]Avis de la Commission de la transparence HAS sur la prunier d'Afrique Mylan (page consultée le 30 janvier 2013)
- ↑ (en) Christian Brown et Mark Emberton, « Could self-management challenge pharmacotherapy as a long-term treatment for uncomplicated lower urinary tract symptoms ? », Current Opinion in Urology, vol. 14, no 1, , p. 7-12 (résumé)
- ↑ (en) J.D. McConnell et al., « The long-term effect of doxazosin, finasteride and combination therapy on the clinical progression of benign prostatic hyperplasia », New England Journal of Medicine, vol. 349, , p. 2387-2398 (ISSN 0028-4793 et 1533-4406, DOI 10.1056/NEJMoa030656, résumé)
- ↑ (en) Claus G. Roehrborn (BPH Registry and Patient Survey Steering Committee) et al., « The Benign Prostatic Hyperplasia Registry and Patient Survey: study design, methods and patient baseline characteristics », BJU International, vol. 100, no 4, , p. 813–819 (PMID 17822462, DOI 10.1111/j.1464-410X.2007.07061.x)
- ↑ (en) L. Black et al., « An examination of treatment patterns and costs of care among patients with benign prostatic hyperplasia », The American journal of managed care, vol. 12, no 4 Supplément, , S99–S110 (PMID 16551208, résumé)
- ↑ (en) A. Hutchison et al., « The Efficacy of Drugs for the Treatment of LUTS/BPH, A Study in 6 European Countries », European Urology, vol. 51, no 1, , p. 207–215 discussion 215–216 (PMID 16846678, DOI 10.1016/j.eururo.2006.06.012)
- ↑ (en) Roderick MacDonald, Timothy J. Wilt et R. William Howe, « Doxazosin for treating lower urinary tract symptoms compatible with benign prostatic obstruction: a systematic review of efficacy and adverse effects », BJU International, vol. 94, no 9, , p. 1263–1270 (PMID 15610102, DOI 10.1111/j.1464-410X.2004.05154.x)
- ↑ [PDF]Avis de la commission de transparence de la HAS (France) 13 janvier 2010
- ↑ [PDF]Avis de la commission de transparence de la HAS (France) 21 juillet 2010
- ↑ (en) Claus G Roehrborn, « Efficacy and safety of once-daily alfuzosin in the treatment of lower urinary tract symptoms and clinical benign prostatic hyperplasia: a randomized, placebo-controlled trial », Urology, vol. 58, no 6, , p. 953–959 (PMID 11744466, DOI 10.1016/S0090-4295(01)01448-0)
- ↑ Avis de la commission de transparence de la HAS (France) 18 juillet 2012
- 1 2 [PDF]Avis de la commission de transparence de la HAS (France) 19 mai 2010
- ↑ (en) Bob Djavan et Michael Marberger, « A Meta-Analysis on the Efficacy and Tolerability of Alpha-1-adrenoceptor Antagonists in Patients with Lower Urinary Tract Symptoms Suggestive of Benign Prostatic Obstruction », European Urology, vol. 36, no 1, , p. 1–13 (PMID 10364649, DOI 10.1159/000019919)
- ↑ (en) Committee Aua Practice Guidelines, « AUA Guideline on Management of Benign Prostatic Hyperplasia (2003). Chapter 1: Diagnosis and Treatment Recommendations », The Journal of Urology, vol. 170, no 2 Pt 1, , p. 530–547 (PMID 12853821, DOI 10.1097/01.ju.0000078083.38675.79)
- ↑ [PDF]Avis de la commission de transparence de la HAS (France) 22 juin 2011
- ↑ (en) Glenn J. Gormley, Elizabeth Stoner, Reginald C. Bruskewitz, Julianne Imperato-Mcginley, Patrick C. Walsh, John D. McConnell, Gerald L. Andriole, Jack Geller et Bruce R. Bracken, « The Effect of Finasteride in Men with Benign Prostatic Hyperplasia », New England Journal of Medicine, vol. 327, no 17, , p. 1185–91 (PMID 1383816, DOI 10.1056/NEJM199210223271701)
- ↑ (en) Claus G. Roehrborn, P Boyle, JC Nickel, K Hoefner, G Andriole et ARIA3001 ARIA3002 and ARIA3003 Study Investigators, « Efficacy and safety of a dual inhibitor of 5-alpha-reductase types 1 and 2 (dutasteride) in men with benign prostatic hyperplasia », Urology, vol. 60, no 3, , p. 434–441 (PMID 12350480, DOI 10.1016/S0090-4295(02)01905-2)
- ↑ (en) Claus G. Roehrborn, R Bruskewitz, J Nickel, J McConnell, B Saltzman, M Gittelman, G Malek, J Gottesman et S Suryawanshi, « Sustained Decrease in Incidence of Acute Urinary Retention and Surgery With Finasteride for 6 Years in Men With Benign Prostatic Hyperplasia », The Journal of Urology, vol. 171, no 3, , p. 1194–1198 (PMID 14767299, DOI 10.1097/01.ju.0000112918.74410.94)
- ↑ [PDF](en) Safety information (FDA)
- ↑ [PDF]Mise au point de l'HAS (France) de septembre 2012]
- ↑ (en) S. A. Kaplan, C. G. Roehrborn, E. S. Rovner, M. Carlsson, T. Bavendam et Z. Guan, « Tolterodine and Tamsulosin for Treatment of Men With Lower Urinary Tract Symptoms and Overactive Bladder: A Randomized Controlled Trial », JAMA: the Journal of the American Medical Association, vol. 296, no 19, , p. 2319–2328 (PMID 17105794, DOI 10.1001/jama.296.19.2319)
- 1 2 [PDF]Mise au point de l'HAS, janvier 2011
- ↑ (en) Kevin T. McVary, William Monnig, Joseph L. Camps Jr., Jay M. Young, Li-Jung Tseng et Gene Van Den Ende, « Sildenafil Citrate Improves Erectile Function and Urinary Symptoms in Men With Erectile Dysfunction and Lower Urinary Tract Symptoms Associated With Benign Prostatic Hyperplasia: A Randomized, Double-Blind Trial », The Journal of Urology, vol. 177, no 3, , p. 1071–1077 (PMID 17296414, DOI 10.1016/j.juro.2006.10.055)
- ↑ (en) « Hyperplasia (benign prostatic) - tadalafil (terminated appraisal) (TA273) », National Institute for Health and Clinical Excellence (NICE) (consulté le )
- ↑ VIDALonline
- 1 2 3 4 Franco JVA, Jung JH, Liquitay CME, Dahm P, What is the role of minimally invasive surgical treatments for benign prostatic enlargement?, BMJ, 2022;377:e069002
- 1 2 P.-E. Briant et A. Ruffion, « Traitements chirurgicaux de l’hypertrophie bénigne de la prostate », Progrès en urologie, Elsevier/Masson, vol. 19, , p. 274—278 (lire en ligne [PDF]) []
- ↑ (en) J. Rassweiler et al., « Complications of transurethral resection of the prostate (TURP)--incidence, management, and prevention », European Urology, Elsevier Science « 50 », no 5, , p. 969–979 (discussion 980) (ISSN 0302-2838, PMID 16469429, DOI 10.1016/j.eururo.2005.12.042)
- ↑ Alexander CE, Scullion MM, Omar MI et al. Bipolar versus monopolar transurethral resection of the prostate for lower urinary tract symptoms secondary to benign prostatic obstruction, Cochrane Database Syst Rev, 2019;12:CD009629
- 1 2 3 4 [PDF]Avis sur les actes professionnels - HAS (France)
- 1 2 [PDF]Traitement des troubles urinaires du bas appareil liés à l’hypertrophie benigne de la prostate - Note de cadrage HAS (France) juillet 2009
- ↑ Azzouzi AR, « Laser prostate : principes et présentation du matériel - Partie I. La théorie », Progrès FMC, 19, 1, 23-28,
- 1 2 « Chirurgie de l'adénome de la prostate par laser » (consulté le )
- ↑ Cynk M, « Holmium laser enucleation of the prostate: a review of the clinical trial evidence », Therapeutic Advances in Urology, vol 6(2) 62-73,
- ↑ (en) Lukas Lusuardi et Stephan Hruby, « New emerging technologies in benign prostatic hyperplasia », Current Opinion in Urology:, vol. 23, no 1, , p. 25-29 (DOI 10.1097/MOU.0b013e32835abd34, résumé)
- ↑ (en) DeMeritt JS, Elmasri FF, Esposito MP, Rosenberg GS, « Relief of benign prostatic hyperplasia-related bladder outlet obstruction after transarterial polyvinyl alcohol prostate embolization », J Vasc Interv Radiol., vol. 11, no 6, , p. 767-70. (PMID 10877424)
- ↑ (en) Carnevale FC, Antunes AA, da Motta Leal Filho JM, de Oliveira Cerri LM, Baroni RH, Marcelino AS, Freire GC, Moreira AM, Srougi M, Cerri GG, « Prostatic artery embolization as a primary treatment for benign prostatic hyperplasia: preliminary results in two patients », Cardiovasc Intervent Radiol., vol. 33, no 2, , p. 355-61. (PMID 19908092, PMCID PMC2841280, DOI 10.1007/s00270-009-9727-z, lire en ligne [html])
- ↑ (en) Pisco JM, Pinheiro LC, Bilhim T, Duarte M, Mendes JR, Oliveira AG, « Prostatic arterial embolization to treat benign prostatic hyperplasia », J Vasc Interv Radiol., vol. 22, no 1, , p. 11-9; quiz 20. (PMID 21195898, DOI 10.1016/j.jvir.2010.09.030)
- ↑ (en) T.J. Wilt et al., « Beta-sitosterol for the treatment of benign prostatic hyperplasia: a systematic review », BJU International, John Wiley and Sons, vol. 83, no 9, , p. 976-983 (ISSN 1464-4096 et 1464-410X, PMID 10368239)
- ↑ Fiche Vidal
- ↑ Fiche Vidal
- ↑ Barry MJ, Meleth S, Lee JY et al. Effect of increasing doses of Saw Palmetto extract on lower urinary tract symptoms : A randomized trial, JAMA, 2011;306:1344-1351
- ↑ (en) P Boyle, C Robertson, F Lowe et C Roehrborn, « Meta-analysis of clinical trials of Permixon in the treatment of symptomatic benign prostatic hyperplasia », Urology, vol. 55, no 4, , p. 533–9 (PMID 10736497, DOI 10.1016/S0090-4295(99)00593-2)
- ↑ Site officiel de la Cochrane Collaboration
- ↑ (en) Roderick MacDonald, James W. Tacklin, Indulis Rutks et Timothy Wilt, « Serenoa repens monotherapy for benign prostatic hyperplasia (BPH): an updated Cochrane systematic review », BJU International, John Wiley and Sons, vol. 1009, no 12, , p. 1756–1761 (ISSN 1464-4096 et 1464-410X, résumé)
- ↑ [PDF]Avis de l'HAS (page consultée le 30 janvier 2013)
- ↑ (de) M. Friederich et al., « Prosta Fink Forte®-Kapseln in der Behandlung der benignen Prostatahyperplasie. Eine multizentrische Anwendungsbeobachtung an 2245 Patienten », Forschende Komplementärmedizin und Klassische Naturheilkunde / Research in Complementary and Classical Natural Medicine, Basel, S. Karger AG, vol. 7, no 4, , p. 200-204 (ISSN 1424-7364, résumé)
- ↑ (en) Timothy J. Wilt et al., « Phytotherapy for benign prostatic hyperplasia », Public Health Nutrition, vol. 3, no 4A, , p. 459–472 (PMID 11276294, DOI 10.1017/S1368980000000549)
- ↑ (en) A. Ishani et al., « Pygeum africanum for the treatment of patients with benign prostatic hyperplasia : a systematic review and quantitative meta-analysis », The American Journal of Medicine, Elsevier Science, vol. 109, no 8, , p. 654-664 (ISSN 0002-9343 et 1555-7162, PMID 11099686, DOI 10.1016/S0002-9343(00)00604-5, résumé)
- ↑ [PDF]Avis de l'HAS (France) (page consultée le 30 janvier 2013)
- ↑ (en) J. Chrubasik, B. Roufogalis, H. Wagner et S. Chrubasik, « A comprehensive review on the stinging nettle effect and efficacy profiles, Part II: Urticae radix », Phytomedicine, vol. 14, nos 7-8, , p. 568-579
- ↑ Jean Bruneton, Pharmacognosie, Phytochimie, Plantes médicinales, Paris/Cachan, Lavoisier, , 1268 p. (ISBN 2-7430-0315-4)
- ↑ (en) Lesley Braun et Marc Cohen, Herbs & Natural Supplements : An evidence-based guide Volume 2, Elsevier Australia, , 1362 p. (ISBN 9780729581738), p. 965-968
- ↑ (en) Timothy L. Wilt et al., « Cernilton for benign prostatic hyperplasia », Cochrane Database of Systematic Reviews, vol. 2, , p. CD001042 (PMID 10796739, DOI 10.1002/14651858.CD001042)
Voir aussi
Ressources relatives à la santé :Articles connexes
- Portail de la médecine

