Heyndrickxia coagulans

Bacillus coagulans

Heyndrickxia coagulans
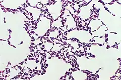
Description de cette image, également commentée ci-après
Coloration Gram de Heyndrickxia coagulans
Classification LPSN
Domaine Bacteria
Phylum Bacillota
Classe Bacilli
Ordre Caryophanales
Famille Bacillaceae
Genre Heyndrickxia

Espèce

Heyndrickxia coagulans
(Hammer 1915) Narsing-Rao (d) et al. 2023

Synonymes

  • Bacillus coagulans Hammer 1915 (basionyme)
  • Weizmannia coagulans (Hammer 1915) Gupta et al. 2020

Heyndrickxia coagulans (syn. Bacillus coagulans) est une espèce bactérienne du genre Heyndrickxia (anciennement Bacillus) produisant de l'acide lactique.

Taxonomie

Cette bactérie fut isolée et décrite pour la première fois en 1932 et fut détaillée dans la 50e édition du Bergey’s Manual of Determinative Bacteriology. Elle était originellement considérée comme un Lactobacillus sporulant. Cependant Heyndrickxia coagulans montrant des caractéristiques spécifiques à la fois des genres Lactobacillus et Bacillus, sa position taxonomique entre les familles des Lactobacillaceae et des Bacillaceae est souvent débattue. Toutefois, dans la 70e édition du Bergey's, elle a été finalement déplacée dans le genre Bacillus. Des analyses reposant sur l'ADN ont été utilisées pour distinguer ces deux genres bactériens qui ont une morphologie similaire et possèdent des caractéristiques physiologiques et biochimiques identiques[1],[2]. En 2023 l'espèce a été déplacée dans le genre Heyndrickxia[3].

Description

H. coagulans est une bactérie Gram positive en forme de bâtonnet d'une taille de 0,9 μm par 3,0 μm à 5,0 μm, catalase positive, sporulant, mobile, anaérobie facultative. Cependant B. coagulans peut apparaître comme une Gram négative lorsqu'elle est issue d'une culture en phase stationnaire. Sa température optimale de croissance est de 50 °C, l'échelle de températures tolérées est de 30 °C à 55 °C. Ces bactéries sont positives aux test VP et MR (rouge méthyle) des tests IMViC.

Utilisations

H. coagulans a été ajouté par l'AESA à sa liste Qualified Presumption of Safety (QPS) (Présumé comme sûr) [4] et a été approuvée pour usage vétérinaire comme GRAS par le Centre de Médecine Vétérinaire de la Food and Drug Administration américaine ainsi que par l'Union Européenne et est listée par l'AAFCO comme complément alimentaire pouvant être utilisé dans les élevages d'animaux. Cette bactérie est principalement à usage vétérinaire, particulièrement comme probiotique chez les cochons et les crevettes. Une utilisation chez les humains est aussi possible, en particulier afin d'améliorer la flore vaginale[5],[6], les maux d'estomac et les ballonnements chez les patients atteints du Syndrome du colon irritable[7] et augmente la réponse immunitaire aux infections virales[8]. Cette bactérie a aussi été évaluée comme sûre pour les produits alimentaires[9]. Les spores sont produites dans l'environnement acide de l'estomac et commencent à germer et proliférer dans l'intestin

H. coagulans est souvent dénommée Lactobacillus sporogenes ou « bactérie lactique sporulante © probiotique » mais il s'agit d'un nom obsolète en raison des changements taxonomiques de 1939. Bien que H. coagulans produise du L-acide lactique, les bactéries utilisées dans ces produits ne sont pas des bactéries lactiques, puisque celles de la famille des Bacillaceae n'appartiennent pas au groupe des bactéries lactiques. Par définition, les bactéries lactiques (Lactobacillus, Bifidobacterium) ne produisent pas de spores. Par conséquent, l'utilisation du nom Lactobacillus sporogenes est scientifiquement incorrecte[1].

Notes et références

  1. 1 2 (en) Lactobacillus sporogenes a probiotioc species ?
  2. (en) Official list of bacterial names
  3. (en) Manik Prabhu Narsing Rao, Aparna Banerjee, Guo-Hong Liu et Arinthip Thamchaipenet, « Genome-based reclassification of Bacillus acidicola, Bacillus pervagus and the genera Heyndrickxia, Margalitia and Weizmannia », International Journal of Systematic and Evolutionary Microbiology, Society for General Microbiology (d), vol. 73, no 7, (ISSN 1466-5026 et 1466-5034, OCLC 807119723, DOI 10.1099/IJSEM.0.005961).
  4. (en) Maintien de la liste des organismes QPS ajoutés intentionnellement à l'alimentation humaine ou animale - Avis scientifique du groupe sur les risques biologiques
  5. (en) Sanders ME,Morelli L, Tompkins TA, « Sporeformers as Human Probiotics: Bacillus, Sporolactobacillus, and Brevibacillus », Comprehensive Reviews in Food Science and Food Safety, vol. 2, no 3, , p. 101-110 (DOI 10.1111/j.1541-4337.2003.tb00017.x)
  6. (en) De Vecchi E, Drago L, « Lactobacillus sporogenes or Bacillus coagulans: misidentification or mislabelling? », International Journal of Probiotics and Prebiotics, vol. 1, no 1, , p. 3-10 (lire en ligne)
  7. (en) Hun L, « Bacillus coagulans significantly improved abdominal pain and bloating in patients with IBS », Postgraduate medicine, vol. 121, no 2, , p. 119-124 (DOI 10.3810/pgm.2009.03.1984) PMID 19332970
  8. (en) Baron M, « A patented strain of Bacillus coagulans increased immune response to viral challenge », Postgraduate medicine, vol. 121, no 2, , p. 114-118 (DOI 10.3810/pgm.2009.03.1971)PMID 19332969
  9. (en) Endres JR, Clewell A, Jade KA, Farber T, Hauswirth J, Schauss AG, « Safety assessment of a proprietary preparation of a novel Probiotic, Bacillus coagulans, as a food ingredient », Food and Chemical Toxicology, vol. 47, no 6, , p. 1231-1238 (DOI 10.1016/j.fct.2009.02.018, lire en ligne)PMID 19248815

Liens externes

Sous l'ancien nom Bacillus coagulans :

  • icône décorative Portail de la microbiologie
  • icône décorative Portail de la médecine vétérinaire
Cet article est issu de Wikipedia. Le texte est sous licence Creative Commons – Attribution – Partage à l’identique. Des conditions supplémentaires peuvent s’appliquer aux fichiers multimédias.