Hernie hiatale
| Médicament | Magaldrate (en), ésoméprazole, lansoprazole, ranitidine, oméprazole et pantoprazole |
|---|---|
| Spécialité | Gastro-entérologie et chirurgie générale et digestive |
| CISP-2 | D90 |
|---|---|
| CIM-10 | K44, Q40.1 |
| CIM-9 | 553.3, 750.6 |
| OMIM | 142400 |
| DiseasesDB | 29116 |
| MedlinePlus | 001137 |
| eMedicine |
369510 radio/337 |
| MeSH | D006551 |
Mise en garde médicale
Une hernie hiatale est le passage d'une partie de l'estomac de l'abdomen vers le thorax au travers de l'orifice hiatal du diaphragme, orifice normalement traversé par l'œsophage.
Il existe deux types principaux, par glissement et par roulement. Cette situation peut favoriser entre autres un reflux gastro-œsophagien.
Un traitement chirurgical spécifique, la fundoplicature, peut être proposé lorsqu'il existe des symptômes en rapport.
Physiologie

Le diaphragme est un muscle aplati orienté approximativement de manière horizontale et qui sépare le thorax en haut de l'abdomen en bas. L'œsophage est un organe tubulaire situé principalement dans le thorax et qui va du cou à l'abdomen. Il passe au travers du diaphragme via l'orifice hiatal (situé au niveau de la dixième vertèbre thoracique) pour rejoindre l'estomac, un organe en forme de poche situé dans l'abdomen. L'abdomen est une cavité où la pression est constamment positive, alors que dans le thorax la pression est négative de manière intermittente (lors de l'inspiration) ; cette différence favorise donc le passage du contenu de l'abdomen vers le thorax. Cependant il existe des moyens de fixation qui permettent en temps normal d'empêcher la survenue de ce phénomène[1].
Classification
La hernie hiatale peut prendre trois formes : par roulement, par glissement ou mixte[1].
- La hernie par glissement représente 85 % des cas de hernie hiatale[1]. Elle est due à une défaillance des moyens de fixité de l'œsophage, avec pour conséquence l'ascension de la jonction œsogastrique vers le thorax au travers de l'orifice hiatal du diaphragme. Le rôle d'un éventuel œsophage court (brachyœsophage) est discuté[1].
- La hernie par roulement représente 10 % des cas. Elle est caractérisée par l'ascension de la quasi-totalité de l'estomac à travers l'orifice hiatal, sans déplacement du cardia[1].
- La hernie mixte représente 5 % des cas. Elle se constitue par l'association des mécanismes de roulement et de glissement. Cette forme est à rapprocher de la hernie par roulement[1].
Symptômes

La hernie par glissement peut favoriser la survenue d'un reflux gastro-œsophagien, et donc donner des signes en rapport, typiques (tels que pyrosis ou régurgitations) ou atypiques (toux, irritation laryngée, otalgie, douleur thoracique). Le reflux gastro-œsophagien peut se compliquer d'œsophagite, celle-ci pouvant aboutir à la formation d'un endobrachyœsophage. Ce dernier constitue une prédisposition pour l'adénocarcinome de l'œsophage[1].
La hernie par roulement et la hernie mixte ont une symptomatologie commune variée. Les manifestations peuvent associer dyspepsie, signes de reflux gastro-œsophagien et dysphagie intermittente. D’autres symptômes, liés à la compression des organes thoraciques, peuvent survenir : dyspnée, tachycardie, sensation d'oppression ; ces symptômes sont évocateurs lorsqu'ils surviennent en période postprandiale. Ces hernies peuvent être à l'origine d'un ulcère au niveau de la région au contact du collet herniaire et entraîner une anémie ferriprive. Ce type de hernie peut enfin se révéler par un étranglement ou un engouement, responsable d'un tableau aigu grave d'occlusion intestinale associant douleur thoracique et vomissements[1].
Examens complémentaires

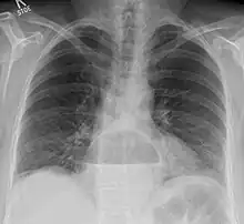
- Radiographie thoracique : visualise parfois la hernie.
- Fibroscopie œsogastrique : visualise la hernie hiatale, observation d'érosion et d'ulcération si reflux gastro-œsophagien.
- Transit œsogastroduodénal : en cas de sténose peptique.
- pH-métrie œsophagienne : enregistre le pH œsophagien, affirme la responsabilité d'un reflux gastro œsophagien.
- Manométrie œsophagienne : recherche d'anomalies motrices de l'œsophage, dysphagie, régurgitation non acides, mauvaise réponse à un traitement.
Traitement

Le traitement d'une hernie hiatale est réservé aux formes symptomatiques, dans la mesure où une corrélation entre ces symptômes et la hernie est établie[1].
Indications
Dans les cas de hernie par glissement, le traitement est d'abord celui du reflux gastro-œsophagien, indépendamment de l'existence d'une hernie hiatale. Le traitement médical doit être envisagé en première intention, avec un inhibiteur de la pompe à protons, un prokinétique ou un antiacide. La chirurgie est réservée aux cas d'échec du traitement médical bien conduit. C'est le fait soit d'un contrôle incomplet des symptômes, soit exceptionnellement d'une résistance aux médicaments. La chirurgie peut également être proposée lorsqu'il existe une dépendance au traitement médical pour le soulagement des symptômes, caractérisée par une récidive au moindre arrêt[1].
Dans les cas de hernie par roulement ou mixte, la chirurgie est proposée à tous les patients symptomatiques[1].
Geste chirurgical
Le traitement chirurgical est la fundoplicature circonférentielle ou partielle. Cette intervention peut se faire par laparoscopie ou laparotomie. Le premier temps opératoire est la correction de la hernie avec repositionnement de la portion herniée de l'estomac dans l'abdomen et redimensionnement de l'orifice hiatal en rapprochant les piliers du diaphragme en arrière de l'œsophage. Le deuxième temps est la création d'une valve antireflux, partielle (type Toupet) ou circonférentielle (type Nissen), ces deux techniques étant d'efficacité équivalente[1].
Des procédures supplémentaires sont parfois effectuées. En cas d'œsophage court, un procédé d'allongement (type Collis) peut être réalisé. Dans certains cas de hernie par roulement, la réparation de l'orifice hiatal est renforcée par une prothèse[1].
Notes et références
- Portail de la médecine