Hémosidérose localisée

L'hémosidérose localisée est un dépôt d'hémosidérine (complexe protéique riche en fer) limitée à un tissu ou un organe. Elle s'oppose à l'hémosidérose systémique (ou hémosidérose généralisée). De façon générale, la surcharge en fer des tissus qui composent l'organisme, est appelée hémosidérose. C'est un phénomène extrêmement banal, en effet toute hématie ayant traversé la paroi d'un vaisseau par rupture de celui-ci (hémorragie) ou par érythrodiapédèse est détruite sur place par les macrophages qui vont élaborer du pigment ferrique à partir de l'hémoglobine[1]. Chaque hémorragie intratissulaire est donc vouée à laisser place à une plaque d'hémosidérose ; l'hémosidérose localisée se rencontre donc essentiellement dans les zones d'hémorragies anciennes[2].
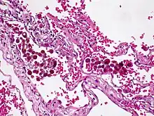
L'hémosidérose localisée peut être systématisée à un organe et reste donc localisée comme par exemple l'hémosidérose pulmonaire, ou dans le cerveau où à la suite d'accident vasculaire cérébral elle constitue l'hémosidérose corticale[3].
Références
- ↑ « Hémosidérose », sur Le manuel MSD (consulté le ).
- ↑ « Hémosidérine : symptômes », sur vulgaris.medical (consulté le ).
- ↑ Romain Ruggeri, Déclin cognitif post-hémorragie cérébrale : impact de l'hémosidérose corticale et des marqueurs de microangiopathie (thèse de doctorat en médecine), 88 p. (lire en ligne [PDF]).
- Portail de la médecine